-
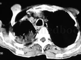
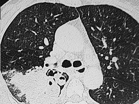
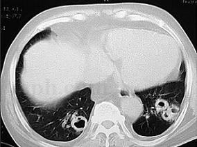
男69岁,咳嗽、咳痰28年,咯血、气促2年,加重并胸…
环球医学资讯
2016年12月05日
点击量:285
1小时条评论一、病史摘要 男性,69岁,因咳嗽、咳痰28年,咯血、气促2年,加重并胸痛1个月余于2008年6月13日入住我院。患者于1980年3月起受凉后开始咳嗽,咳白色黏液样痰,在当地诊断为肺结核抗结核治疗10个月。2006年3月因咳嗽、咳痰、气促、咽喉疼痛第一次在我科住院,诊断为...
-
男64岁,反复发作性晕厥1年半,加重伴活动后胸闷气…
环球医学资讯
2016年12月05日
点击量:366
1小时条评论一、病史摘要 患者,男性,64岁,农民,瑶族,因反复发作性晕厥1年半,加重伴活动后胸闷气促1个月余于2011年11月9日入院。患者自述于2010年3月晨起收衣服时突发胸闷、气促、头晕,跌倒在地,当时呼之不应,无抽搐及呕吐,无大小便失禁,未予特殊处理,约2分钟后自行...
-
男60岁,咳嗽、呼吸困难进行性加重、肺部弥漫性片状…
环球医学资讯
2016年11月23日
点击量:727
1小时条评论患者男性,60岁,于2008年6月22日入院。 一、主 诉 发热、咳嗽、咳痰及进行性气短2周。 二、病史询问 (一)初步诊断思路及问诊目的 该患者为老年男性,近2周出现发热、咳嗽、咳痰症状,伴有进行性呼吸困难,根据患者上述表现,按优先考虑常见病与多发病的临床...
-
女23岁,右上肺囊肿切除术后持续咳嗽、咳痰、咯血3…
环球医学资讯
2016年11月23日
点击量:286
1小时条评论一、病史摘要 患者,女性,23岁,因右上肺囊肿切除术后持续咳嗽、咳痰、咯血3个月余,于2008年12月15日入院。患者于2008年9月24日诊断为右上肺囊肿,在胸腔镜下行右上肺囊肿切除术。术后患者于2008年10月中旬无明显诱因出现持续性咳嗽,伴白色泡沫样痰,遂于当地医...
-
女42岁,反复发作性喘息20年,加重1周
环球医学资讯
2016年11月11日
点击量:919
1小时条评论患者女性,42岁,2007年9月20日来诊。 一、主诉 反复发作性喘息20年,加重1周。 二、病史询问 (一)初步诊断思路及问诊目的 患者病史长达20年,初始起病时年纪较轻,20年来反复发作性喘息,诊断首先考虑支气管哮喘。问诊的目的应围绕着喘息症状的特点,如起病...
-
女48岁,咯血伴胸痛8年,加重1周,CT示右上肺后段见…
环球医学资讯
2016年11月07日
点击量:658
1小时条评论一、病史摘要 患者,女性,48岁,农民,因咯血伴胸痛8年,加重1周,于2007年12月31日入院。患者诉8年前无明显诱因出现咯血,为鲜红色,量不多,伴右侧胸背部隐痛,无咳嗽、咳痰、发热等不适,遂入当地医院就诊,予以止血、抗感染等对症支持处理后病情好转。但之后患...
-
男61岁,咳嗽、咳痰、咯血25天,影像示双肺空洞病变
环球医学资讯
2016年11月07日
点击量:247
1小时条评论一、病史摘要 患者,男性,61岁,农民,因反复咳嗽、咳痰、咯血25天于2011年8月11日入院。患者25天前感冒后出现咳嗽,咳少量白色黏痰,伴呼吸困难、头晕,无头痛、发热、咯血,至当地诊所输液治疗。2天后,患者咳嗽更加频繁,痰量较前渐增多,并出现痰中带鲜红色血...
-
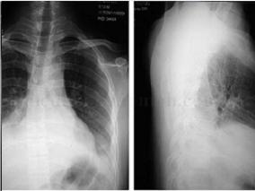
男27岁,反复大咯血26天
环球医学资讯
2016年10月26日
点击量:175
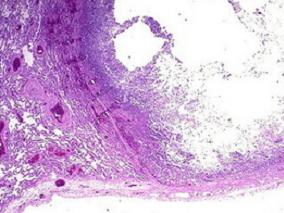
1小时条评论一、病史摘要 患者,男性,27岁,因反复咯血26天于2009年10月5日入院。患者于2009年9月9日修车时突然出现咯血,量约250ml(1~2次),鲜红色,无发热、咳嗽、咳痰、气促及胸痛等不适,就诊于当地县人民医院,胸片示右下肺不张(图120‐1),予以垂体后叶素等药物治...
-
女48岁,反复喘息发作4年,大气道阻塞
环球医学资讯
2016年10月26日
点击量:341
1小时条评论一、病史摘要 患者,女性,48岁,航空公司职员,因反复喘息发作4年,再发加重伴意识障碍半小时于2010年4月4日急诊就诊。患者于2006年3月始多次因受凉后出现喘息、干咳,多次就诊于当地医院,诊断为支气管哮喘,口服抗生素并吸入硫酸沙丁胺醇气雾剂、沙美特罗替卡松...
-
女64岁,发热,咳嗽9天,伴声嘶,气促3天
环球医学资讯
2016年09月26日
点击量:385
1小时条评论一、病史摘要 患者,女性,64岁,因发热,咳嗽9天,伴声嘶,气促3天于2007年7月6日入住我院。患者8天前受凉后出现畏寒、发热,至当地卫生所住院治疗5天,用克林霉素、头孢西丁抗感染治疗2天后体温恢复正常,但出现阵发性咳嗽,不剧烈,自觉有痰不易咳出,成拉丝状;...










会员登录

