-
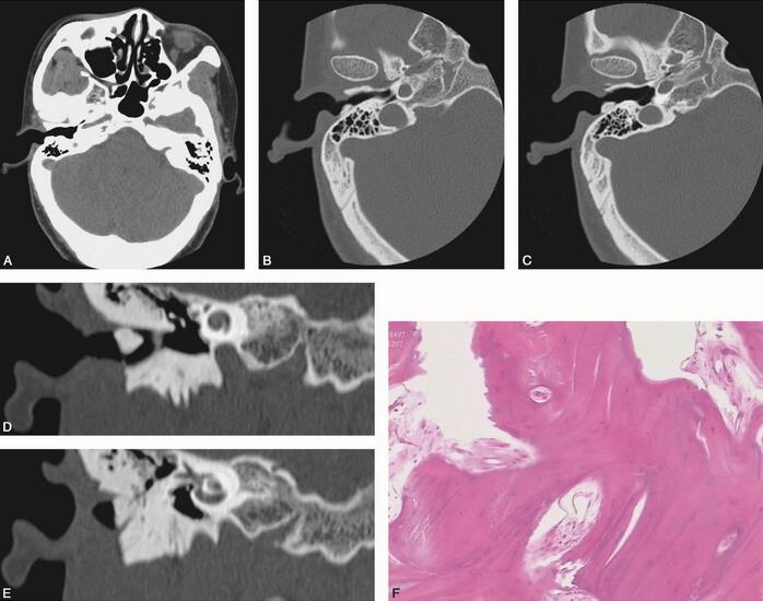
女39岁,发现右耳道渐进性狭窄8个月
环球医学资讯
2016年08月26日
点击量:645
1小时条评论女,39岁,发现右耳道渐进性狭窄8个月。查体示右侧外耳道后壁明显隆起,表面光滑,未见充血和瘘管,按压无明显压痛,质硬。 【影像学表现】 于右侧骨性外耳道内可见一不规则形致密高密度隆起病灶,自外耳道后上壁向外耳道内突入(图2-2-1A),约6. 8mmtimes;2. 8mm...
-
女67岁,直肠癌术后半年,化疗6周期后肝转移
环球医学资讯
2016年08月23日
点击量:732
1小时条评论主诉 直肠癌术后半年,化疗6周期后肝转移。 现病史 患者因肠道肿物行直肠癌前切除术。术中见肿物位于腹膜反折下方,直径约5cm。术后病理:直肠中‐低分化腺癌,浸出纤维膜,上下切端(-),淋巴结转移2/5,肠周淋巴结2/2,肠系膜下动脉淋巴结0/1,直肠上动脉...
-
女66岁,2个月前因发现右乳包块10年、1年前自觉肿块…
环球医学资讯
2016年08月23日
点击量:1017
1小时条评论主诉 右乳腺癌3周期新辅助化疗第20天。 现病史 患者女性,66岁。2个月前因发现右乳包块10年,1年前自觉肿块变大来我院就诊。查体见右乳头内陷,乳晕周围皮肤可见橘皮样改变,伴局部红肿破溃,右乳晕及上方可触及一肿块,大小约9c mtimes;8c m,质硬,边界不清无触...
-
女35岁,间断性左侧腰部疼痛1周
环球医学资讯
2008年10月16日
点击量:1343
1小时条评论【病例资料】 患者女性,35岁。 主诉:间断性左侧腰部疼痛1周。 现病史:患者1周前无明显诱因出现左侧腰部疼痛,呈绞痛,伴恶心、呕吐,为胃内容物,无血尿,无尿频、尿急、尿痛,无腹胀、腹泻,自服索米痛片不能缓解。在家中休息一夜后症状缓解。外院CT检查示左...
-
男57岁,右肺鳞癌1周期化疗6月余,放疗后17天
环球医学资讯
2008年05月16日
点击量:1065
1小时条评论病例介绍 主诉 右肺鳞癌1周期化疗6月余,放疗后17天。 现病史 患者7个月前无明显诱因出现间断咳嗽、咳痰,痰中带血丝,伴胸闷、憋气,无胸痛、声嘶,无发热。当地医院给予抗炎止血治疗(具体不详),效果不佳。症状持续1个月后行胸部CT:符合右肺上叶中心型肺癌...
-
女63岁,子宫内膜癌术后3年余,下腹疼痛10天
环球医学资讯
2008年05月16日
点击量:1284
1小时条评论病例介绍 主诉 子宫内膜癌术后3年余,下腹疼痛10天。 现病史 患者女性,63岁。3年前因子宫内膜癌入我院行广泛子宫切除+双附件切除+腹膜内双侧盆腔淋巴清扫术,术中见子宫体略大,表面光滑,活动可;宫颈略增粗;双侧卵巢、输卵管质地较硬,表面可见结节性赘生...
-
中年女性,神志清,精神差,胃癌术后3月余
环球医学资讯
2016年07月15日
点击量:1004
1小时条评论病例介绍 主诉 胃癌术后3月余。 现病史 患者无明显诱因出现腹痛不适,腹胀,并伴有反酸、恶心,于我院行上消化道钡餐示胃窦占位,胃潴留。门诊以胃窦占位收入普外科,并于3个月前行剖腹探查术,胃空肠吻合术,大网膜活检术;病理显示胃窦腺癌。术后患者恢复尚可...
-
男60岁,右隐睾肿瘤术后13天
环球医学资讯
2016年07月15日
点击量:1046
1小时条评论主诉 右隐睾肿瘤术后13天。 现病史 患者老年男性,60岁。自幼发现右侧阴囊空虚,于当地医院诊断为右侧隐睾,未行治疗。1月余前患者出现右下腹疼痛不适,不伴恶心、呕吐、腹泻、便秘等不适。后疼痛加重,右侧腹股沟可扪及一枣样包块,逐渐增大,至某医院就诊,CT检...
-
女44岁,左乳腺癌术后4月余,5周期化疗第20天
环球医学资讯
2007年07月16日
点击量:1107
1小时条评论病例介绍 主诉 左乳腺癌术后4月余,5周期化疗第20天。 现病史 患者女性,44岁。4个月前因左乳腺癌入我院行左侧乳腺癌改良根治术,术中见包块约2cmtimes;1.5cm大小,术后病理示:(左侧)乳腺浸润性导管癌Ⅰ级(面积:2cmtimes;1.5cm);乳头、残腔、底切线均未查...
-
女38岁,卵巢癌术后4年余,肺转移7周期化疗第21天
环球医学资讯
2007年07月16日
点击量:1506
1小时条评论病例介绍 主诉 卵巢癌术后4年余,肺转移7周期化疗第21天。 现病史 患者4年前无意间扪及左侧下腹部包块,呈进行性增大,腹胀。行腹部及妇科B超示卵巢肿瘤伴大量腹水,肝脏、胆囊、胰腺、脾脏、双肾均未见异常;胸部X线平片示未见明显异常;CA125 1449U/ml(uarr;...










会员登录

