女35岁,间断性左侧腰部疼痛1周
【病例资料】
患者女性,35岁。
主诉:间断性左侧腰部疼痛1周。
现病史:患者1周前无明显诱因出现左侧腰部疼痛,呈绞痛,伴恶心、呕吐,为胃内容物,无血尿,无尿频、尿急、尿痛,无腹胀、腹泻,自服索米痛片不能缓解。在家中休息一夜后症状缓解。外院CT检查示左肾占位,遂来我院。发病以来饮食、睡眠可,大小便正常,体重未见明显变化。
【体格检查】
一般情况:体温:36.5℃,心率:74次/分,血压:120/75mmHg,呼吸:18次/分。患者神志清,全身皮肤黏膜未见黄染,全身浅表淋巴结未触及肿大。心肺腹未见明显阳性体征。
泌尿外科专科查体:双肾区无异常隆起,双肾下极未触及,双肾区无压痛和叩击痛;双侧输尿管走行区无压痛;耻骨上区无压痛,膀胱未充盈;正常女性外阴,尿道外口无红肿,无分泌物。
【辅助检查】
实验室检查:血、尿常规:未见异常。生化全项:肝功能正常,血肌酐及尿素氮正常。
心电图未见异常。
影像学检查:
X线胸片未见异常。
泌尿系B超:左肾中、下极肾盂旁探及一类圆形、直径3.1cm的低回声实性占位,外形规则,表面光滑,内部回声不均,未见血流信号,肾静脉及下腔静脉未见瘤栓,肾门及腹膜后未见肿大淋巴结。经超声诊断为左肾癌(T1N0MX)。
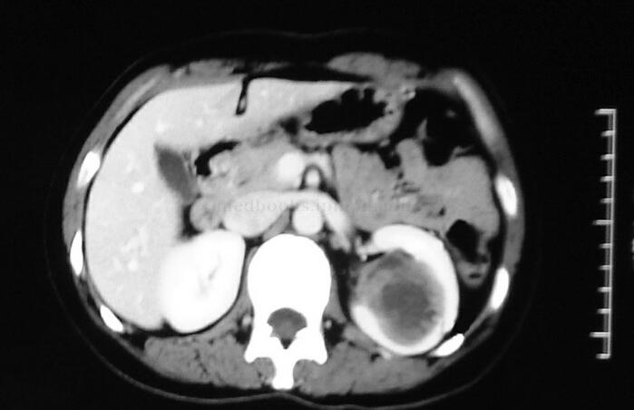
腹部计算机体层摄影(computed tomography,CT)(图10-1,图10-2):非增强扫描显示左肾体积略增大,左肾后下段可见一类圆形肿块影,包膜完整,密度不均匀,病变内散在类圆形及新月形低密度影,大小约4.3cm×4cm×4cm,周边可见花边样较高密度影;增强扫描显示低密度区未见明显强化,较高密度区可见轻度至中度强化,强化程度明显低于肾实质,周围肾实质明显受压变薄,左侧肾窦受压,肾窦内局部肾血管及肾盂、肾盏受压移位。经CT提示左肾占位性病变,合并局部出血。

图10-1 非增强扫描显示左肾密度不均的肿物

图10-2 增强扫描显示左肾肿物未见明显强化
【术前诊断】
左肾癌
左肾错构瘤?
【治疗经过】
1. 完善术前相关检查。
2. 手术治疗:左肾根治性切除术。
手术过程:患者右侧卧位,于全麻下经左十一肋间切口进入腹膜后间隙,切开肋间肌后,用手指将肋间后膜深层的胸膜窦和膈肌角向上推开至切口上端,保护切口后开胸器牵开切口,探查肿瘤位于左肾中段。在肾周筋膜后叶与腰大肌之间,肾周筋膜前叶与腹膜后之间游离肾脏,向上下极分离,遇纤维索条予以切断结扎,保留肾上腺,将输尿管分离至髂窝,切断结扎,充分游离肾蒂后上三把肾蒂钳,在第二、第三把间切断肾蒂,移除标本,10号线结扎,缝扎肾蒂,7号丝线三重结扎肾蒂残端。充分止血,留置左肾窝引流管(术后第二天拔去引流管)。
术中所见:术后切开标本见肿瘤位于左肾中段,大小约4cm×4cm,部分压迫肾盂,包膜完整,外周呈暗黄色,中心呈暗黑色。
【术后诊疗】
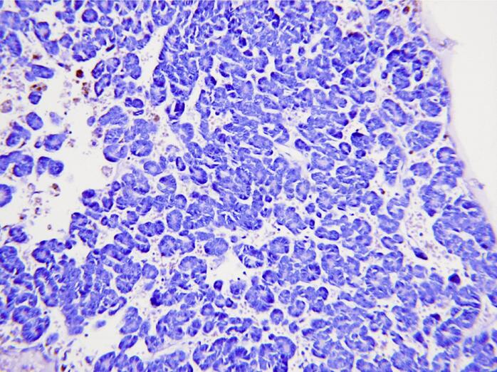
1. 术后病理(图10-3)
(左)肾母细胞瘤(Wilms tumor),上皮型。属中度危险肿瘤。肿瘤大小4cm×3.5cm×3cm。可见大片出血、坏死。肿瘤以上皮性成分为主,多为早期上皮性分化。未分化的胚芽成分较少见。未见明显异型增生。肿瘤局限于肾内,临床分期(stage):Ⅰ期。输尿管手术断端未见肿瘤。免疫组化(图10-4):广谱细胞角蛋白AE1/AE3(cytokeratin,pan)部分(+),波形蛋白Vim(vimentin)部分(+),神经元特异性烯醇化酶NSE(neuron specific enolase)部分(+),Wilms瘤基因WT1(Wilms’ tumor)部分(+)。
2. 诊断
左肾母细胞瘤(Wilms瘤)。

图10-3 组织病理学显示肿瘤以上皮组织为主(HE×100)

图 10-4 免疫组化显示 WT1 部分阳性(IHC×200)
3. 依照儿童Ⅰ期Wilms瘤治疗方案对患者术后进行化疗,未行放疗。考虑到成人患者的预后较差,故在儿童Ⅰ期化疗方案的基础上加用了阿霉素,共6个周期,每隔3周进行一次(共18周)。具体方案如下:化疗第1天使用放线菌素(dactinomycin D,AMD)6.4μg/(kg•d),长春新碱(vincristine,VCR)1.3mg/m2,阿霉(doxorubicin,DOX)33.3mg/m2;化疗第2~5天仅使用放线菌素D 6.4μg/(kg•d)。患者完成6个周期化疗,一般情况可,仅有Ⅲ度脱发和Ⅰ度肝损伤[丙氨酸转氨(alanine transaminase,ALT)和天冬氨酸转氨酶(aspartate transaminase,AST)超过正常值上限的1.26~2.5倍]。患者平时的工作、生活并没有受到影响,术后6个月复查X线胸片和CT并没有发现新的病灶。
【讨论内容】
文献综述:肾母细胞瘤(nephroblastoma)又称Wilms瘤,是婴幼儿最常见的恶性实体瘤之一,80%以上患者小于5岁,发病平均年龄为3.5岁。临床表现主要是腰、腹部包块(超过90%),其他还有肉眼血尿、发热、腹痛和高血压等。儿童Wilms瘤的生存率由20世纪30年代的30%左右提高到目前的90%以上。美国国家肾母细胞瘤研究组(National Wilms Tumor Study Group,NWTSG)自1969年起对儿童肾母细胞瘤进行了5组临床研究,为其诊断、分期和治疗提出了不少重要建议。
成人肾母细胞瘤是一种非常罕见的恶性肾实体瘤,仅占Wilms瘤患者中的1%~2%。成人中位年龄为33岁(范围15~85岁),男女患病率相同。Kilton于1980年提出了成人Wilms瘤的诊断标准:①肾原发性肿瘤;②具有原始母细胞样梭形或圆形细胞成分;③病理发现不成熟胚胎样肾小球、肾小管样结构;④无肾癌组织;⑤组织学图像明确(由原生质、上皮和基质成分组成);⑥年龄大于15岁。
临床表现方面儿童患者一般以腰腹部无痛性肿块为首发症状,成人Wilms瘤最常见的首发症状为腰痛。亦有人认为,血尿为成人Wilms瘤的最常见症状,70%的患者发现有血尿。成人患者季肋部的包块较腰痛和血尿少见。成人患者最常见的转移部位为肺、肝、脑、骨。
对成人患者进行尿液分析可表现血尿。X线胸片可以提供肺转移的证据。超声仅能发现肿块,而不能提示肿块的性质。CT扫描可以提供有关肿瘤扩散、对侧肾情况以及有无区域淋巴结转移的信息,CT增强提示肿块与肾实质之间可以出现线状强化的假包膜影。磁共振成像(magnetic resonance imaging,MRI)在确定肿瘤进入下腔静脉的范围方面可以提供重要信息。肾动脉造影表现为肿瘤血管不十分丰富,供养血管纤细,排列整齐,呈弯曲波浪状进入肿瘤组织,即“蔓藤状血管”。本病例经CT增强扫描肿瘤区未见明显强化,显示成人Wilms瘤少血供的特性。82%的成人Wilms瘤在肾动脉造影上具有上述特点,所以可将此作为与其他肾肿瘤相鉴别的依据。而典型肾癌在肾动脉造影上表现为更为丰富的肿瘤血管和肿瘤染色,动静脉瘘和粗大肿瘤静脉早显则更为多见。针吸活检对无法切除肿瘤的患者,在诊断和术前评估方面有其独特的作用,并为制订化疗方案提供依据。
成人Wilms瘤手术后行进一步综合治疗的关键是患者的临床分期,不同的分期,治疗方案不同。Ⅰ期:肿瘤局限于肾脏能被完整切除;肿瘤没有浸透肾脏被膜,没有累及肾窦血管;Ⅱ期:肿瘤超出肾脏仍能被完整切除;无淋巴结转移;至少有下列一项:浸透肾脏被膜,侵及肾窦血管,术前有穿刺活检史,术中肿瘤局限性破裂;Ⅲ期:术后有大体或微小残存,包括:不能切除的肿瘤,切缘阳性,肿瘤破裂污染腹膜,区域淋巴结转移,脉管瘤栓;Ⅳ期:血行转移(肺、肝、骨、脑)或腹部以外的淋巴结转移;Ⅴ期:双侧肾母细胞瘤。
典型的Wilms瘤病理由不同比例的原生质、上皮和基质成分组成。美国国立肾母细胞瘤研究组(NWTSG)把病理标本与临床结果联系起来,将多种组织特征分为较好的和不好的预后两组:①较好预后的肿瘤组织(favorable histology,H)包括未发生间变的所有的Wilms瘤;②不好预后的肿瘤组织(unfavorable istology,UH)含有局灶性(focal)或弥漫性(diffuse)的间变细胞成分(anaplasia),或Wilms瘤内含有肾透明细胞肉瘤(clear cell sarcoma of the kidney,CCSK)和杆状肿瘤(rhabdoid tumor of the kidney,RTK)成分。术后病理为成人患者的进一步治疗以及预后提供了依据。
在20世纪80年代,成人Wilms瘤被认为是恶性度很高的肿瘤,总生存(overall survival,OS)仅为18%~27%。在肿瘤的组织病理学上,成人和儿童Wilms瘤并没有明显的差别。Babain等认为导致成人预后差的原因之一是患者就诊时临床分期较高。超过50%的成人患者就诊时的临床分期在Ⅲ期和Ⅳ期。然而,即使与儿童患者同一临床分期比较,成人患者的预后也较差。约有5%的肾母细胞瘤细胞可发生间变,预后差。2岁以内的患儿罕见间变,而5岁患者增至约13%。同一分期成人患者较儿童预后较差是否与间变比例升高有关,还没有相关文献报道。
由于受病例数的影响,国内外成人Wilms瘤治疗方面的争论主要是:是否可以采用儿童Wilms瘤治疗指南来提高成人患者的预后。
1982年,NWTSG第一次报道对31例成人Wilms瘤患者的治疗结果(1968年至1979年)。28例(90%,28例/31例)行手术治疗,30例(97%,30例/31例)行化疗,24例(77%,24例/31例)接受术后放疗,16例(52%,16例/31例)处在Ⅲ期和Ⅳ期,3年OS是23%(7例/31例),当时儿童患者OS为74%。作者认为成人Wilms瘤预后差,无论处在哪个临床分期都应该积极地进行三联化疗,同时对肿瘤床行放疗[总剂量为4500 centigrays(cGy,厘戈瑞)]。
1990年,NWTSG第一次报道对27例成人患者通过采用儿童治疗方案获得较好的预后(1979年至1987年)。4例(15%,4例/27例)为Ⅳ期合并间变肿瘤,Ⅲ期和Ⅳ期患者15例(56%,15例/27例)。25例(93%,25例/27例)患者行化疗,0例(74%,20例/27例)患者行放疗。3年的OS为67%(18例/27例)。除去间变肿瘤,患者3年OS为79%(18例/23例)。作者认为对Ⅰ期患者行二联化疗,无需放疗;对Ⅱ、Ⅲ、Ⅳ期患者应行三联化疗加对肿瘤床放疗(总剂量000 cGy)。
1994年,Kattan等报道22例大于16岁的Wilms瘤患者,治疗时间超过19年。所有患者行肾切除;15例(68%,15例/22例)患者接受放、化疗;6例(27%,例/22例)患者接受化疗;1例(5%,1例/22例)患者仅接受了放疗。平均随访100个月,患者存活率为55%(12例/22例),无病生存率(disease-free survival,DFS)为45%(10例/22例)。作者认为对超过Ⅱ期(包括Ⅱ期)患者建议行三联化疗加放疗。
2002年,王子平等在《中国肿瘤临床》上报道11例成人Wilms瘤的治疗效果。11例患者中Ⅰ期3例(27%,3例/11例),Ⅱ期5例(46%,5例/11例),Ⅲ期3例(27%,3例/11例)。所有患者均接受了肾切除手术。7例(64%,7例/11例)患者术后接受了辅助性化、放疗:2例(29%,2例/7例)为Ⅰ期,3例(42%,3例/7例)为Ⅱ期,2例(29%,2例/7例)为Ⅲ期。2例(18%,2例/11例)Ⅰ期患者至今无瘤生存28年和17年。尽管使用了多种治疗手段,其余较晚期患者预后不佳。作者认为用治疗儿童肾母细胞瘤的方案治疗成人肾母细胞瘤预后不尽满意;早期分化好的成人肾母细胞瘤预后较令人满意,晚期成人肾母细胞瘤应采用多种手段积极治疗;只要可能,化疗方案中应该含有放线菌素D。
2003年,Reinhard等在国际儿童肿瘤学会(SIOP)上报道30例成人Wilms瘤的治疗结果。治疗依据SIOP最新制订的儿童Wilms瘤治疗方案(SIOP 93-01)。6例(20%,6/30)患者诊断为高度危险肿瘤;10例(33%,10/30)被发现远处转移。所有患者行手术和化疗,其中14例(47%,14/30)同时接受放疗。平均随访4年,DFS和OS分别为57%(17/30)和83%(25/30)。作者认为通过儿童Wilms瘤治疗方案对成人患者治疗可以获得好的预后。
2004年,Monica等报道,依据不同时期儿童Wilms瘤治疗指南(1980年至1987年;1992年至2000年),对17例成人Wilms瘤患者(16~29岁,平均诊断年龄17.5岁)从1983年至2001年进行治疗,平均随访131个月。患者分期依照第4组NWTSG标准(1987年至1994年)。9例(53%,9例/17例)患者肿瘤复发或是出现疾病进展,6例(35%,6例/17例)死亡。对复发患者进行手术切除肿瘤后,对2例(22%,2例/9例)分别随访24个月和152个月无复发,对1例(11%,1例/9例)随访30个月后出现再次复发。平均随访131个月中(范围18~213个月),5年的DFS和OS分别为41%(7例/17例)和59%(10例/17例)。作者相信应用儿童Wilms瘤诊断及治疗指南,可以提高成人患者的预后。
【专家点评】
诊断问题:
1. 本病例基本特点 本病属于罕见病例,我院依据Kilton的诊断标准,自1950年至2007年共收治6例成人肾母细胞瘤(表1)。术前正确的诊断较为困难,术前辅助检查只能提示肾脏占位。
2. 鉴别诊断难点 成人肾母细胞瘤是一种非常罕见的恶性肾实体瘤,仅占Wilms瘤患者中的1%~2%,它主要与肾实质肿瘤相鉴别,如肾细胞癌、肾腺癌、肉瘤等,当然也需注意肾囊肿破裂出血,这种情况往往提示有恶性可能,例如肾多房囊性肾细胞癌;也需要注意与肾盂上皮肿瘤相鉴别,不过后者多表现有间歇性无痛全程血尿;还需要与几种良性肾肿瘤鉴别,如肾血管平滑肌脂肪瘤(肾错构瘤)、肾嗜酸细胞腺瘤、肾球旁细胞瘤等。

表 6例成人肾母细胞瘤患者的临床分期,治疗,生存状态及生存时间
S(surgery),手术;R(radiotherapy),放疗;C(chemotherapy),化疗;V(vincristine),长春新碱;A doxorubicin),阿霉素;D(dactinomycin D),放线菌素D
多房囊性肾细胞癌;也需要注意与肾盂上皮肿瘤相鉴别,不过后者多表现有间歇性无痛全程血尿;还需要与几种良性肾肿瘤鉴别,如肾血管平滑肌脂肪瘤(肾错构瘤)、肾嗜酸细胞腺瘤、肾球旁细胞瘤等。
诊治问题:
1. 成人肾母细胞瘤是一种非常罕见的恶性肾实体瘤。成人出现腰背部疼痛,季肋部包块,影像学发现肾肿物,需要考虑Wilms瘤的可能。由于超声、CT、RI和肾动脉造影等影像学诊断仅能显示肾肿物的存在,所以成人Wilms瘤的术前诊断比较困难。
2. 术后临床分期和病理为成人患者的进一步治疗以及预后提供了依据。术后的辅助治疗可以提高成人患者的预后。
3. 近年来由于病例数的影响,成人Wilms瘤在术后治疗方面至今没有一个定论。但是不难看出,依据儿童Wilms瘤治疗指南,成人Wilms瘤的预后有了明显改善。
术后注意事项、并发症及处理:
1. 术后护理注意事项 手术以肾根治性切除为主,术后主要注意引流、切口及肠蠕动恢复情况。
2. 术后并发症及处理 出血是最需要注意的并发症,可发生于肾动脉、主动脉或腔静脉,也可发生于未发现的小血管,如出血量大时需急诊手术止血。腰部径路手术还有可能因腹腔干神经的损伤出现肠梗阻,病人在肠蠕动恢复后方可进食。
来源:《泌尿外科疑难病例讨论精选》
作者:那彦群 陈 山
参编:王建业 王晓峰 李汉忠 万奔 马潞林
页码:40-46
出版:人民卫生出版社
- 评价此内容
- 我要打分
近期推荐
热门关键词
最新会议
- 2013循证医学和实效研究方法学研讨会
- 欧洲心脏病学会年会
- 世界帕金森病和相关疾病2013年会议
- 英国介入放射学学会2013年第25届年会
- 美国血液学会2013年年会
- 美国癫痫学会2013年第67届年会
- 肥胖学会 2013年年会
- 2013年第9届欧洲抗体会议
- 国际精神病学协会 2013年会议
- 妇科肿瘤2013年第18届大会
- 国际创伤压力研究学会2013年第29届…
- 2013年第4届亚太地区骨质疏松症会议
- 皮肤病协会国际2013年会议
- 世界糖尿病2013年大会
- 2013年国际成瘾性药年会
- 彭晓霞---诊断试验的Meta分析
- 武姗姗---累积Meta分析和TSA分析
- 孙凤---Network Meta分析
- 杨智荣---Cochrane综述实战经验分享
- 杨祖耀---疾病频率资料的Meta分析
合作伙伴
Copyright g-medon.com All Rights Reserved 环球医学资讯 未经授权请勿转载!
网络实名:环球医学:京ICP备08004413号-2
关于我们|
我们的服务|版权及责任声明|联系我们
互联网药品信息服务资格证书(京)-经营性-2017-0027
互联网医疗保健信息服务复核同意书 京卫计网审[2015]第0344号




会员登录

