-
一例侵袭性NK细胞白血病/淋巴瘤的诊疗经验分享
环球医学资讯
2024年11月22日
点击量:397
1小时条评论42岁女性,因反复发热25天入院 ,曾在当地医院就诊时发现轻度贫血和血小板减少。抗感染治疗后症状反复,遂转诊至一三甲医院,先后经抗感染治疗仍发热, 期间查全身PET-CT,考虑为淋巴瘤,遂转诊至笔者医院。如何诊治? 一、病情摘要 1.基本情况 女性患者,42岁,...
-
一例甲状腺髓样癌诊疗经验分享
环球医学资讯
2024年11月18日
点击量:247
1小时条评论31岁女性,查体发现癌胚抗原升高2年,发现甲状腺肿物2个月余,临床符合甲状腺髓样癌,如何治疗? 【病例简介】 患者女性,31岁。因查体发现癌胚抗原升高2年,发现甲状腺肿物2个月余,于2018年3月5日收入本院头颈外科。2年前查体发现癌胚抗原升高,数值逐渐增...
-
一例肾上腺嗜铬细胞瘤所致儿茶酚胺心肌病案例诊治与…
环球医学资讯
2024年11月11日
点击量:216
1小时条评论51岁女性,因阵发性胸闷、胸痛、心悸4年,加重2天入院,考虑为急性心肌梗死可能性大;急行冠状动脉造影,左、右冠状动脉未见明显狭窄,以胸痛待查收住院。 如何诊治? 一、病情摘要 1.基本情况 女性患者,51岁,以阵发性胸闷、胸痛、心悸4年,加重2天为主诉,于2...
-
血管内大B细胞淋巴瘤诊疗及鉴别诊断
环球医学资讯
2024年11月05日
点击量:241
1小时条评论49岁男性,受凉后出现阵发性咳嗽,咳少许白色黏液痰,按上呼吸道感染对症治疗后症状部分缓解,治疗后发热1个月,如何诊治? 一、病情摘要 1.基本情况 男性患者,49岁,因咳嗽半年,发热1个月,于2005年9月入院。患者于半年前,受凉后出现阵发性咳嗽,咳少许白色...
-
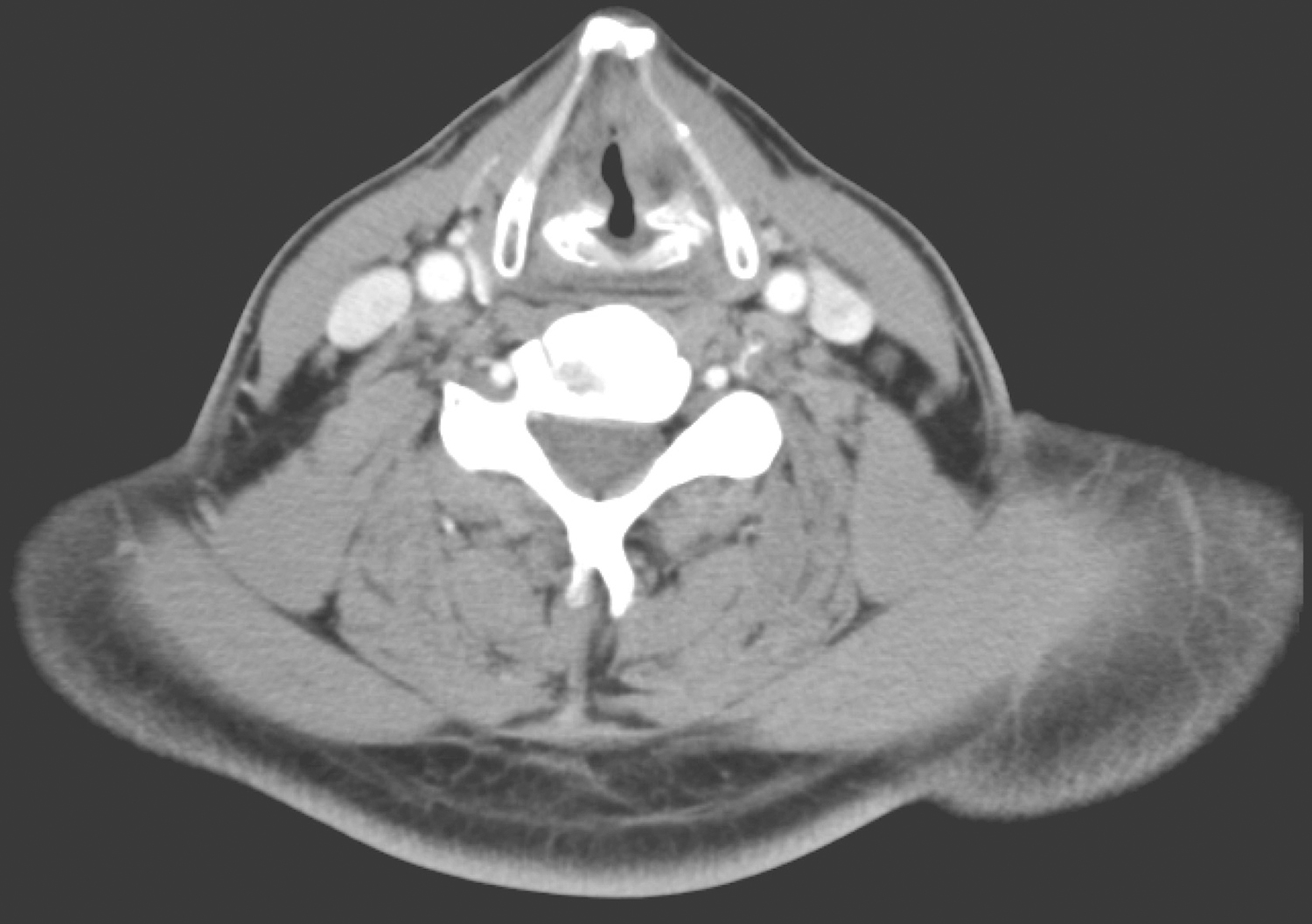
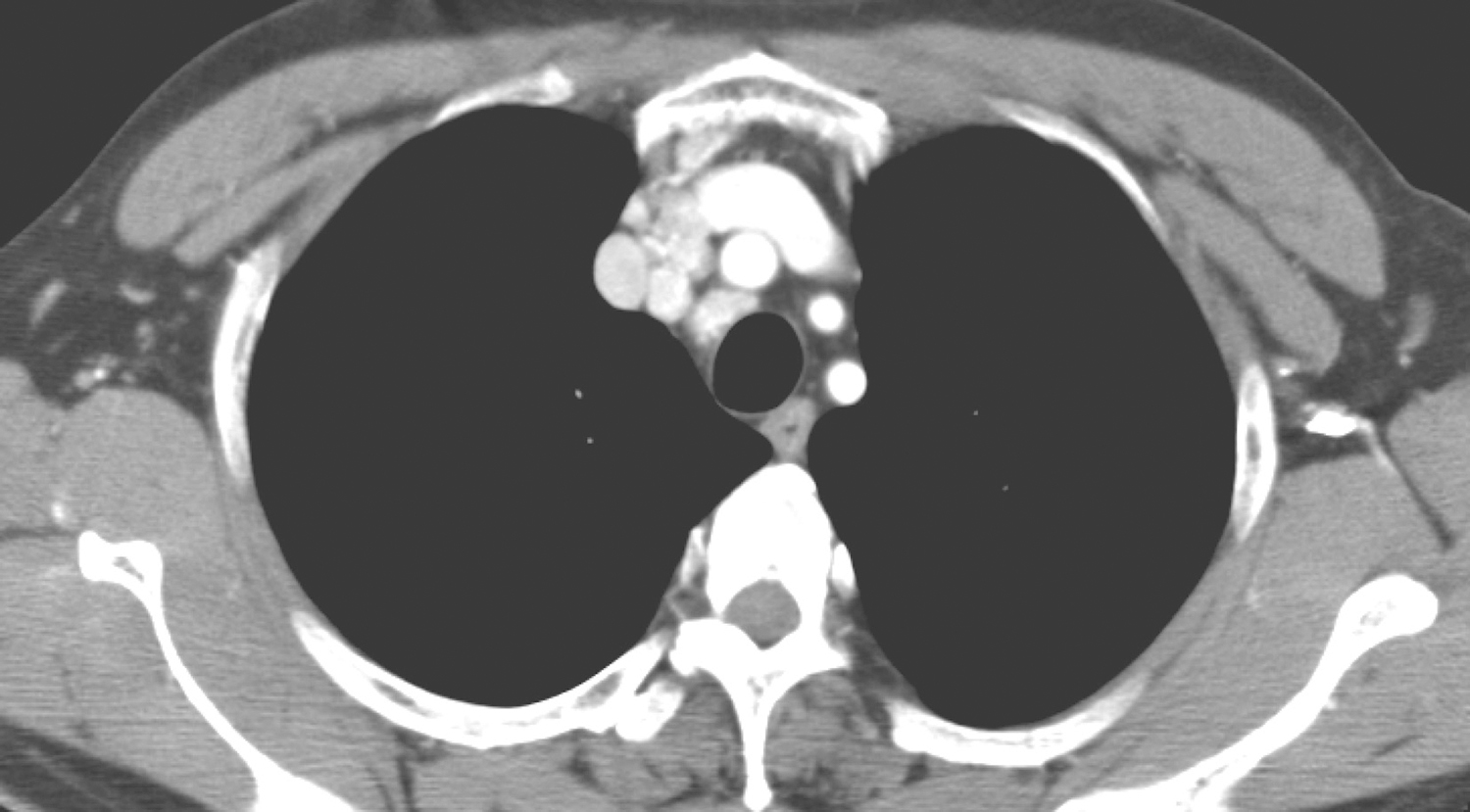
甲状腺滤泡癌术后复发伴转移一例诊治经验分享
环球医学资讯
2024年11月04日
点击量:242
1小时条评论58岁男性患者,甲状腺癌外院二次术后3年余,发现右颈肿物1个月余。行穿刺细胞学检查提示发现癌细胞,病理会诊考虑甲状腺滤泡状癌,颈胸CT检查提示双颈、上纵隔淋巴结转移瘤。如何治疗? 【病例简介】 患者男,58岁。因甲状腺癌外院二次术后3年余,右颈肿物1...
-
声门型喉癌激光术后多次复发外科诊疗经验分享
环球医学资讯
2024年10月21日
点击量:833
1小时条评论50岁男性,喉癌激光术后近1年,局部复发。为最大限度地保留患者的喉功能,术前如何制定手术方案是关键。 【病例简介】 患者男性,50岁。因喉癌外院激光术后近1年,局部复发1周于2016年8月26日收住院治疗。2015年10月患者因无明显诱因出现声音嘶哑在当地医科...
-
胃肠道间质瘤的术前治疗
环球医学资讯
2024年10月14日
点击量:189
1小时条评论61岁男性,体检发现腹腔占位,如何诊治? 【病例摘要】 患者,男性,61岁,1周前于外院体检发现腹腔占位,行MRI检查示:腹腔占位,肿物大小约10cm,胃肠道间质瘤(gastrointestinal stromal tumors,GIST)可能。患者为求进一步治疗,遂至复旦大学附属肿瘤医...
-
下咽癌右颈淋巴结转移放化疗后局部复发1例
环球医学资讯
2024年10月08日
点击量:739
1小时条评论56岁男性,下咽癌放化疗近1年半,复查发现局部复发,如何治疗?了解诊疗过程,可吸取哪些经验和教训用于临床实践中? 【病例简介】 患者男性,56岁。因下咽癌放化疗近1年半,近期复查发现局部复发于2016年2月18日收住院。患者于2014年5月因咽部疼痛伴咽部异...
-
胃肠间质瘤伴肝转移的术前治疗
环球医学资讯
2024年10月01日
点击量:426
1小时条评论随着药物研究的进展以及临床实践的深入,伊马替尼等靶向药物在胃肠间质瘤(gastrointestinal stromal tumor,GIST)治疗中的应用越来越广泛。近年来,伊马替尼逐渐被用于GIST的术前治疗,在晚期及特殊部位GIST的综合治疗中发挥着重要的作用。肝脏是GIST最常见的转移...
-
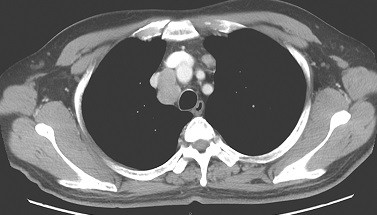
甲状腺乳头状癌侵犯气管,双侧颈、上纵隔淋巴结转移…
环球医学资讯
2024年09月28日
点击量:520
1小时条评论51岁男性,因颈部肿物4个月,伴咳嗽、痰中带血1个月住院治疗。超声检查甲状腺右叶及峡部肿物,如何治疗? 【病例简介】 患者男性,51岁。因颈部肿物4个月,伴咳嗽、痰中带血1个月于2013年6月24日住院治疗。4个月前无意间发现右颈部有一肿物,无肿痛,肿物呈...










会员登录

