-
达芬奇机器人手术治疗胃肠间质瘤一例
环球医学资讯
2024年07月15日
点击量:387
1小时条评论达芬奇手术机器人系统由三部分组成,包括医生控制台、成像系统及床旁机械臂系统。与传统的腹腔镜手术相比,达芬奇手术机器人成像更为清晰,且机械臂活动角度更大,操作更为灵活,同时达芬奇机器人手术系统还能滤过生理振动,使操作更为精确。自2006年我国大陆地区引...
-
以腹痛为首发症状的高淀粉酶型骨髓瘤1例
环球医学资讯
2024年07月12日
点击量:357
1小时条评论65岁男性,因在家中无明显诱因情况下出现中上腹持续性胀痛,伴呕吐1次,至当地医院就诊,查血淀粉酶21213U/L,诊断为急性胰腺炎,予禁食、补液、抑酸、抑酶等治疗3天后症状无缓解。为求进一步诊治,至笔者所在医院,急诊以急性胰腺炎收入院。最终,经过一步步抽丝剥...
-
胸内甲状腺肿合并甲状腺乳头状癌一例
环球医学资讯
2024年07月09日
点击量:281
1小时条评论51岁男性因体检发现甲状腺肿物3周入院。如何诊治?是否需要手术? 【病例简介】 患者男性,51岁。因体检发现甲状腺肿物3周于2017年3月23日收住院。3周前患者家属发现患者颈部肿胀,无声音嘶哑,无吞咽和呼吸困难。在当地医院检查,颈部超声示:甲状腺右叶囊...
-
腹腔镜与内镜联合治疗胃肠道间质瘤经验分享
环球医学资讯
2024年07月01日
点击量:488
1小时条评论腹腔镜与内镜联合技术(双镜联合技术)(laparoscopic and endoscopic cooperative surgery,LECS)是近年来新兴的微创外科技术。既往在单独应用腹腔镜进行手术时,由于缺乏精细的触觉,故而探查不易发现较小的病灶(瘤体直径小于2cm或2cm左右)。此外,由于腹腔镜器...
-
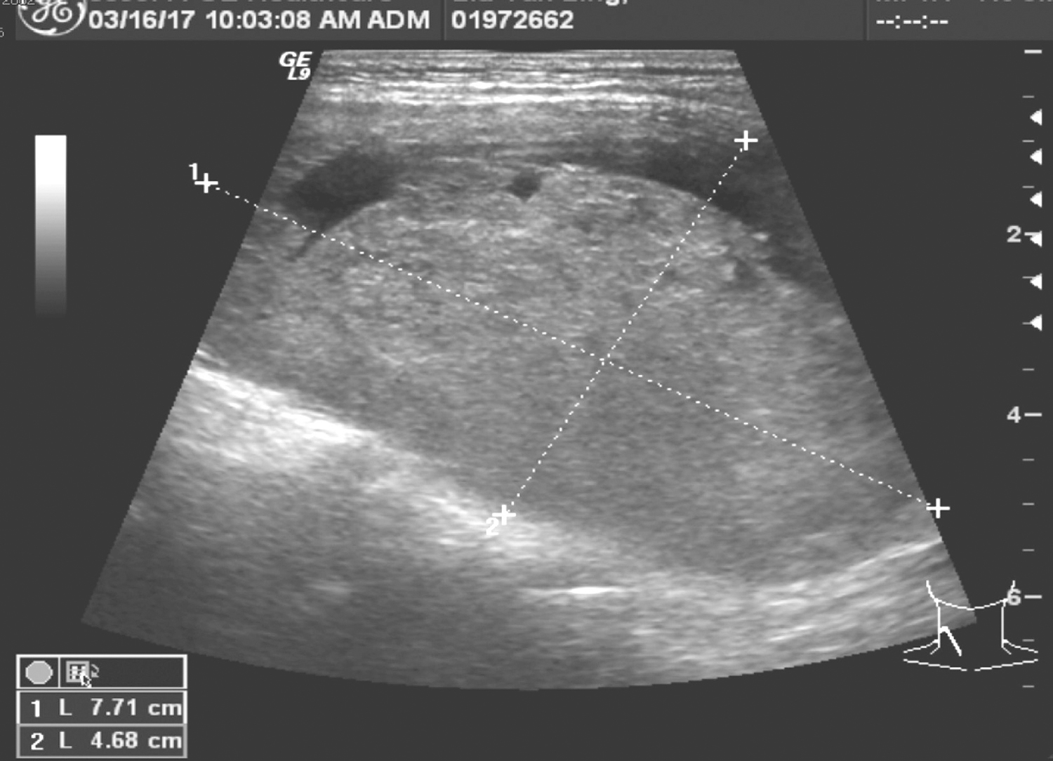
腹腔镜手术治疗胃底胃肠间质瘤一例
环球医学资讯
2024年06月24日
点击量:273
1小时条评论对于局限性、可切除的胃肠间质瘤(gastrointestinal stromal tumor,GIST),手术切除是首选的治疗方案,手术需遵循完整切除肿瘤、避免肿瘤破裂并保证切缘组织学阴性等原则。以往胃来源GIST手术方式以开腹手术为主,近年来随着手术技术及器械的进步以及微创理念的推...
-
胰腺多发浆液性囊性肿瘤(SCN)1例诊治体会
环球医学资讯
2024年06月22日
点击量:344
1小时条评论浆液性囊腺瘤(serous cystic neoplasm,SCN)需与VHL综合征相关型SCN及分支胰管型导管内乳头状黏液性肿瘤(intraductal papillary mucinous neoplasm,IPMN)鉴别,以制订科学的临床决策。 【病例简介】 患者女性,56岁,因发现胰尾部囊性病灶半年余入院。患者...
-
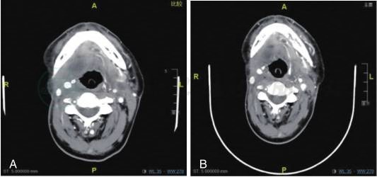
右舌根鳞状细胞癌术后放疗后复发病例的全程管理
环球医学资讯
2024年06月14日
点击量:398
1小时条评论59岁男性,右舌根鳞状细胞癌术后放疗后3个月复发。本病例将介绍复发转移性头颈部鳞癌全程管理。 【病例介绍】 患者,男性,59岁。 主诉:右舌根鳞状细胞癌术后放疗后3个月复发。 2018-06-10因右舌根肿物于当地医院切取活检,病理示:鳞状细胞癌。 ...
-
一例典型浆液性囊性肿瘤诊治经验体会
环球医学资讯
2024年06月07日
点击量:129
1小时条评论69岁女性,全腹持续性绞痛20余日,程度较剧烈,如何诊治? 一、病例简介 患者女性,69岁,20余天前出现腹痛,呈全腹持续性绞痛,程度较剧烈,疼痛持续数小时后缓解,伴腹泻3~4次,无其他不适。外院CT提示胰腺占位。 体格检查: 身高153cm,体重60.5kg...
-
口腔鳞癌术后放化疗后转移患者,经多线治疗获得长期…
环球医学资讯
2024年05月27日
点击量:403
1小时条评论52岁男性,确诊口腔鳞癌,经过多程治疗后失败,出现局限于头颈部的寡转移灶。采用何种方案可获得长期生存? 一、病例介绍 患者,男性,52岁。 2016-05-24患者因左颊部疼痛1年余,院外就诊,查体见:左颊,D6~8牙龈,左下颌前庭沟,左翼下颌皱襞扪及3cmt...
-
西妥昔单抗联合TPF一线方案治疗复发并转移性头颈部…
环球医学资讯
2024年05月20日
点击量:756
1小时条评论57岁男性,左上颈部肿块增大4个月,伴声嘶,确诊为下咽癌肝转移,由于远处转移的出现,限制了外科手术和放射治疗作为首选治疗手段。本病例为初治寡转移的晚期下咽癌提供了宝贵经验。 【病例介绍】 患者,男性,57岁。 主诉:左上颈部肿块增大4个月,伴声嘶...










会员登录

