-
内镜经黏膜下隧道肿瘤切除术切除食管胃肠间质瘤一例
环球医学资讯
2024年09月16日
点击量:227
1小时条评论内镜经黏膜下隧道肿瘤切除术(submucoal tunneling endoscopic resection,STER)是利用内镜治疗技术在消化道黏膜层与固有肌层间建立一条管状人工隧道,并利用该隧道进行黏膜下层、固有肌层、浆膜层直至消化道外的诊疗操作。相对于胃,食管只有外膜而无浆膜覆盖,使...
-
声门型喉癌喉部分切除一例
环球医学资讯
2024年09月15日
点击量:479
1小时条评论59岁男性患者,声音嘶哑半年余,病因何在? 【病例简介】 患者男性,59岁。因声音嘶哑半年余于2017年4月10日收入头颈外科。半年前患者无明显诱因出现声音嘶哑,当地医院就诊给予中药治疗,声嘶症状稍缓解;近期外院鼻咽喉镜,发现喉内肿物,活检病理为(右声...
-
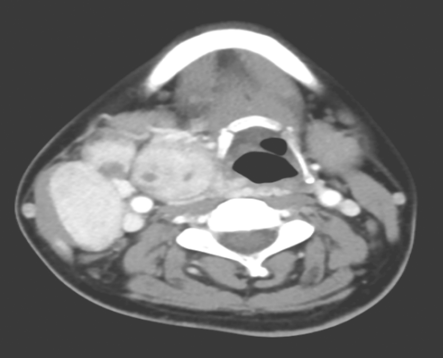
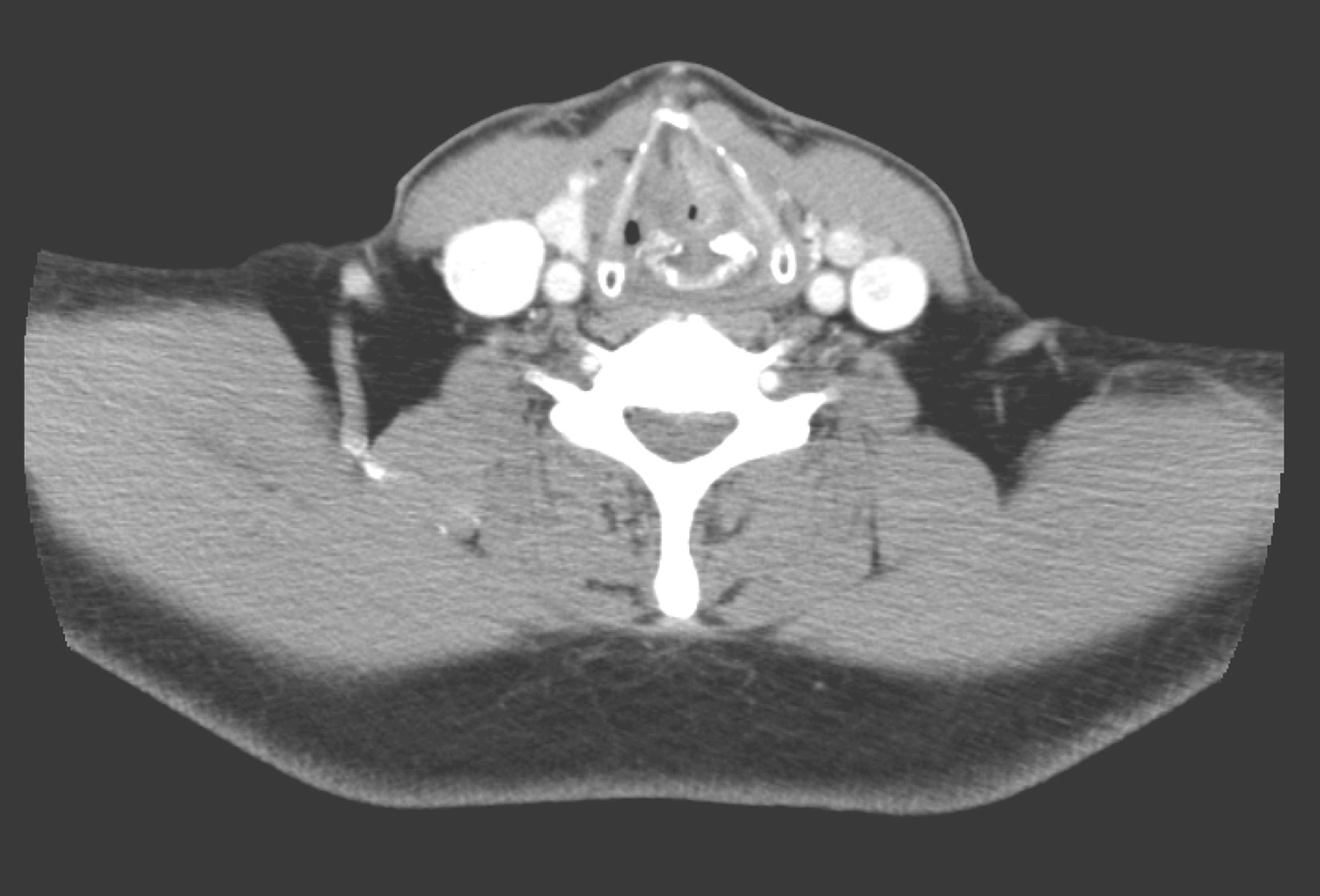
甲状腺乳头状癌术后复发并右颈部淋巴结及双肺转移诊…
环球医学资讯
2024年09月02日
点击量:456
1小时条评论33岁女性,甲状腺肿物外院术后10余年,颈部肿块9年,现约鸡蛋大小。不能提供10年前的手术资料和病理切片,且超声检查考虑良性病变,问题如何解决? 【病例简介】 患者女性,33岁。因甲状腺肿物外院术后10余年,颈部肿块9年于2017年2月23日收住院。10年前患者...
-
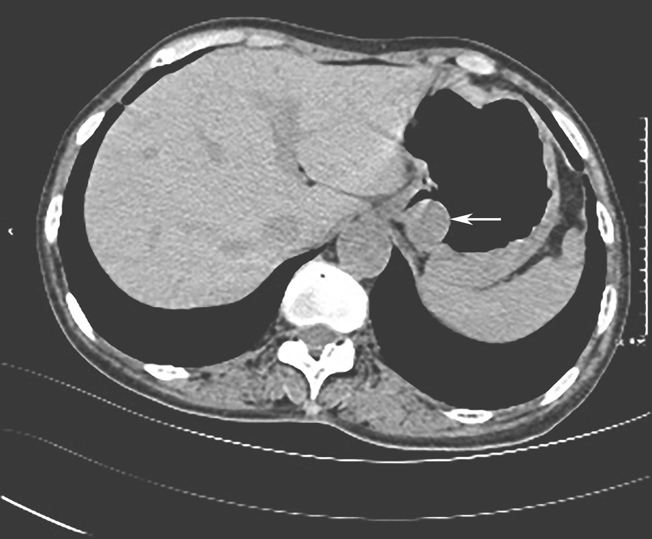
一例原发性肺血管肉瘤的诊断和鉴别诊断
环球医学资讯
2024年09月01日
点击量:288
1小时条评论75岁男性,无明显诱因出现反复痰中带血,当地医院给予抗感染、抗结核治疗1个月(具体不详),症状未缓解。患者遂来我院进一步诊治。患者20年前因胃溃疡出血行胃大部切除术,此次咯血是哪里出了问题? 【病情摘要】 1.基本情况 男性患者,75岁,退休教师,因反复...
-
一例典型的复发转移巨大胃肠间质瘤的术前治疗经验分享
环球医学资讯
2024年08月27日
点击量:422
1小时条评论在伊马替尼问世之前,复发转移的巨大胃肠间质瘤(gastrointestinal stromal tumor,GIST)患者的生存质量和生存率都较低,外科手术切除风险较大,较难达到R0切除,患者术后预后不佳。伊马替尼的出现在一定程度上改变了这一现状,目前越来越多的学者认为,伊马替尼术...
-
声门型喉癌(T3N0M0)左扩大垂直部分喉切除一例
环球医学资讯
2024年08月20日
点击量:680
1小时条评论60岁男性,因声音嘶哑半年入院。门诊电子鼻咽喉镜提示左侧声带可见肿物,如何诊治? 【病例简介】 患者男性,60岁。因声音嘶哑半年于2017年2月20日收住院。半年前患者无明显诱因出现声音嘶哑,在当地医院对症治疗,近期声音嘶哑加重,外院喉镜检查发现左声门...
-
黏膜下剥离术切除贲门胃肠道间质瘤一例经验体会
环球医学资讯
2024年08月13日
点击量:357
1小时条评论内镜黏膜下剥离术(endoscopic submucosal dissection,ESD)是以内镜黏膜切除术(endoscopic mucosal resection,EMR)为基础,通过在黏膜下注射含有染色剂的生理盐水,利用几种特殊的高频电刀将病灶周围黏膜切开,再将病灶完整剥离,达到治愈目的的技术。内镜下黏...
-
张利强教授:一文读懂骨髓增生异常综合征
环球医学资讯
2024年08月05日
点击量:433
1小时条评论骨髓增生异常综合征(myelodysplastic syndrome,MDS)是一组高度异质性、获得性造血干/组细胞克隆性疾病,以骨髓病态造血和高风险向急性白血病转化为特点,表现为难治性一系或多系细胞减少的血液病。研究表明儿童MDS与成人MDS有很大不同,表现为发病率较成人低,国...
-
声门型喉癌(T2N0M0)垂直部分喉切除一例
环球医学资讯
2024年07月29日
点击量:1048
1小时条评论62岁男性,吸烟40余年,饮酒20余年,无明显诱因出现声音嘶哑,对症治疗后效果不佳,如何处理? 【病例简介】 患者男性,62岁。因声音嘶哑4月余于2015年6月15日收入头颈外科。4个月前患者无明显诱因出现声音嘶哑,在外院对症治疗,效果不佳,近期外院鼻咽喉镜...
-
一例甲状腺乳头状癌右颈部淋巴结转移的诊治
环球医学资讯
2024年07月26日
点击量:410
1小时条评论42岁男性,因发现甲状腺肿物1个月余入院。术前结合病史和辅助检查,确诊为甲状腺癌右颈淋巴结转移,如何处理? (一)病例简介 患者男性,42岁。因发现甲状腺肿物1个月余于2017年2月22日收住院。1个月前患者体检发现甲状腺肿物,无声嘶、吞咽不适、呛咳、憋...










会员登录

