甲状腺乳头状癌侵犯气管,双侧颈、上纵隔淋巴结转移,双肺转移及无名动脉出血
51岁男性,因颈部肿物4个月,伴咳嗽、痰中带血1个月住院治疗。超声检查甲状腺右叶及峡部肿物,如何治疗?
【病例简介】
患者男性,51岁。因颈部肿物4个月,伴咳嗽、痰中带血1个月于2013年6月24日住院治疗。4个月前无意间发现右颈部有一肿物,无肿痛,肿物呈渐进性增大,近1个月余伴咳嗽、痰中带血,无呼吸困难。2013年5月27日来本院检查,颈胸部CT:甲状腺右叶、峡部癌,可疑侵及气管;左叶病变,性质待定,建议增强MRI检查观察肿瘤与气管关系。双侧颈深组、右侧食管气管沟、纵隔1、2R、4R区多发淋巴结转移。双肺多发转移瘤。右颈部肿物细针穿刺示甲状腺乳头状癌。为进一步治疗2013年6月24日收入我科。自发病以来,患者无声嘶、吞咽不适、呛咳、憋气等症状;精神、睡眠尚可,大小便无异常,体重无明显改变。既往体健,其父死于胃癌。
【影像学及实验室检查】
1.2013年6月1日颈部超声
甲状腺右叶及峡部可探及不规则肿物,大小约3.1cm×1.7cm,呈多结节融合状,边界欠清楚,内部回声不均,可探及多发强回声光点,可探及丰富血流信号;甲状腺左叶未见明确占位。
右颈部、左下颈、双侧锁骨上可探及多发低回声结节,右侧大者约3.4cm×1.8cm,左侧大者约2.5cm×1.7cm,边界清楚,可探及血流信号。
超声诊断:
甲状腺右叶及峡部肿物,考虑为恶性;右颈部、左下颈、双侧锁骨上多发淋巴结转移。
2.2013年6月1日颈胸部CT
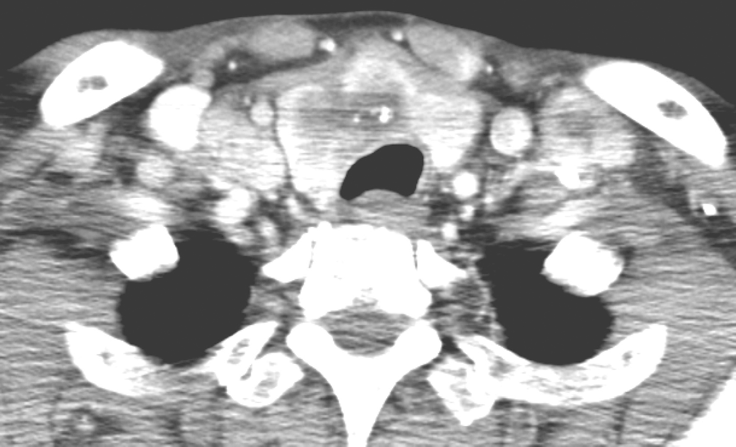
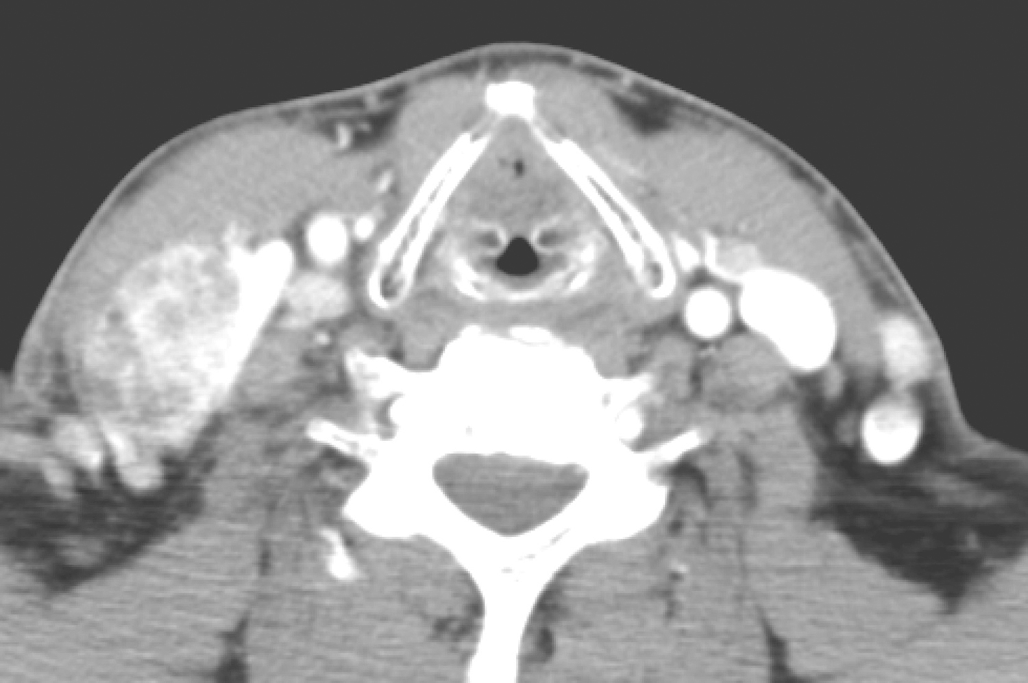
甲状腺形态饱满,峡部及右叶可见低密度结节,边缘不规则,最大截面约2.3cm×3.3cm,伴钙化,结节与气管关系密切。左侧甲状腺内亦可见密度略低区域,具体范围难以确定(图1)。
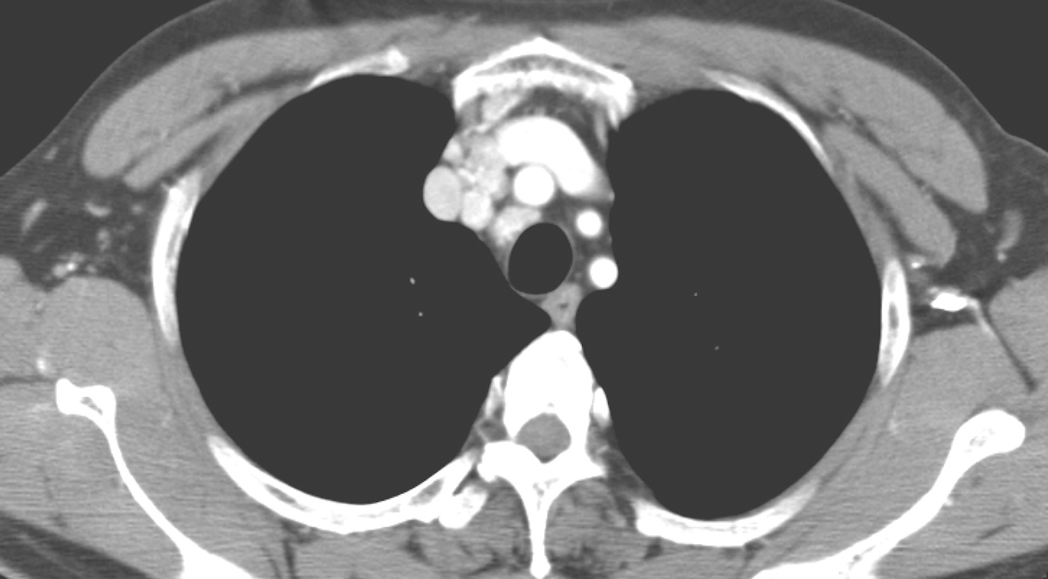
右颈Ⅱ、Ⅲ、Ⅳ区及左颈Ⅳ区、右食管气管沟、纵隔1、2R、4R区多发肿大淋巴结,较大者约3.3cm×2.1cm,不均匀强化(图2、图3)。

图1 颈部增强CT示甲状腺峡部及右叶低密度结节,左侧甲状腺内亦可见密度略低区域

图2 颈部增强CT示右侧颈部肿大淋巴结

图3 胸部增强CT示纵隔多发肿大淋巴结
余扫描范围鼻咽、口咽、喉未见明确异常。
双肺多发小结节,较大者约0.6cm,边界光整。余双肺野未见明确异常。
心包及双侧胸腔未见积液。
影像学诊断:
(1)甲状腺右叶、峡部癌,可疑侵及气管;左叶病变,性质待定,建议增强MRI检查观察肿瘤与气管关系。
(2)双侧颈深组、右侧食管气管沟、纵隔1、2R、4R区多发淋巴结转移。
(3)双肺多发转移瘤。
3.2013年6月5日电子鼻咽喉镜检查
鼻腔进镜顺利。鼻咽部结构完整,黏膜光滑,未见明显异常。口咽双侧扁桃体未见肿大。舌根部淋巴滤泡增生。下咽部表面基本光滑,未见明显异常。双侧声带活动,未见明显受限。声门下、上段气管(距声带下约2.5cm)右前壁可见隆起性肿物,病变长度约2.0cm,气管腔略变窄(图4)。病变下方气管正常。
内镜诊断:
气管肿物,结合影像学检查,考虑为甲状腺癌侵及。

图4 内镜示气管肿物
4.2013年6月15日右颈部肿物细针穿刺细胞学
发现甲状腺乳头状癌细胞。
【入院诊断】
甲状腺癌,双颈、纵隔淋巴结转移,双肺转移。
【治疗经过】
2013年6月26日在全麻下行甲状腺全切除,气管袖状切除术,双颈淋巴结清扫,胸骨劈开上纵隔淋巴结清扫。
手术过程:
患者仰卧位,麻醉成功后,取颈部U形切口,先做双颈淋巴结清扫和甲状腺全切除、双侧气管食管沟淋巴结清扫、气管袖状切除。术中见:甲状腺右叶多发结节,质硬,峡部结节直径约2.0cm,外侵,累及带状肌,右侧气管食管沟多枚肿大淋巴结,包绕喉返神经,锐性剥离,勉强保留,峡部肿物侵及气管内,第1气管环至第6气管前壁及右侧壁均肿瘤累及;第7气管环下方切开气管,直视下切除肿瘤及气管1~7环全周,环状软骨与第8气管环吻合并加固一层。
颈部手术完毕后,第2肋间L型劈开胸骨,行上纵隔淋巴结清扫,术中见肿大淋巴结主要在右前上纵隔,下界达主动脉弓下,部分融合,未侵及血管。即彻底清除上纵隔的淋巴脂肪组织,创面彻底止血后,关闭胸腔,置负压引流,分层关闭切口,清醒后安全回病房。
【术后处理】
1.密切观察生命体征的变化。
2.密切观察引流的量和颜色。
3.静脉补充钙剂,避免发生低钙症状。
4.2013年6月26日甲状旁腺素(PTH)15.90pg/ml。
5.2013年7月1日术后第5天出现伤口积气,急进手术室行清创、气管造瘘术。术中见:气管吻合口前壁0.5cm×0.5cm裂口,其余未见异常。考虑气管前壁裂开合并感染,难以Ⅰ期愈合,即行气管造瘘术。剪开气管前壁缝线,将气管前壁缺损与皮肤间断缝合造瘘,转双侧胸锁乳突肌加固造口,检查颈部无漏气后放置负压引流,术后应用抗生素。回病房密切观察。
6.2013年7月3日术后第7天早晨发现引流管内引流出少量鲜血,未予处理,给予密切观察。上午11:30左右患者突然出现气管内喷血,汹涌喷射状,值班医生立即放置带气囊气套管,避免血液灌入气管,并打开切口,发现颈根部出血,手指按压止血。患者随即意识丧失,自主呼吸丧失,心搏未停止,紧急气囊给氧,开放静脉通道,给予补液,输血,预防脑水肿等治疗。抢救过程患者心率最低75次/min,血压一过性降低至53/30mmHg,经按压后出血暂时控制,估计出血量3000ml,请麻醉科及ICU医生协助抢救,行深静脉穿刺,加压补液,输血及药物升压治疗。患者病情趋于稳定,血压110/60mmHg,心率145次/min,SPO2 99%,意识仍未恢复,于12:30左右急入手术室,消毒后,打开颈部及胸前伤口,剪断胸骨固定钢丝,裂开胸骨。见无名动脉后壁一约0.5cm×0.5cm破口,确认出血点为此破口处。以无损伤血管钳控制无名动脉近端,并序贯夹闭右颈总动脉及锁骨下动脉,出血停止。因无名动脉壁炎症反应较重,无法修补,遂决定结扎无名动脉,右锁骨下动脉及颈总动脉。将无名动脉表面组织分离向下推开,用双7号线分别将无名动脉近端、右颈总动脉及锁骨下动脉各结扎2道,检查出血停止,将结扎处动脉切除。清除上纵隔坏死组织,向下剪除气管前壁至无名动脉气管瘘口下方。向右延长胸部切口,游离右胸壁肌肉及皮肤,皮下组织。切除右锁骨头,将胸壁组织转移至上纵隔消灭死腔,皮肤与气管缺损下方及右侧缝合行气管造瘘。颈部冲洗,放置双颈,上纵隔负压引流。术后患者意识未恢复,血压90~60mmHg左右,转入重症监护病房密切监护。当日意识逐渐苏醒,呼之能应,遵嘱活动可完成,第2天神志恢复好,应用低分子肝素钠5000U(q12h)及右旋糖酐防止脑梗死,静脉营养、神经营养、补充白蛋白、抗感染、化痰、抑制胃酸治疗。术后4天左上肢肌力3~4级,右上肢肌力5级。术后12天自ICU转回我科,术后50天出院,出院时左上肢肌力较前改善。
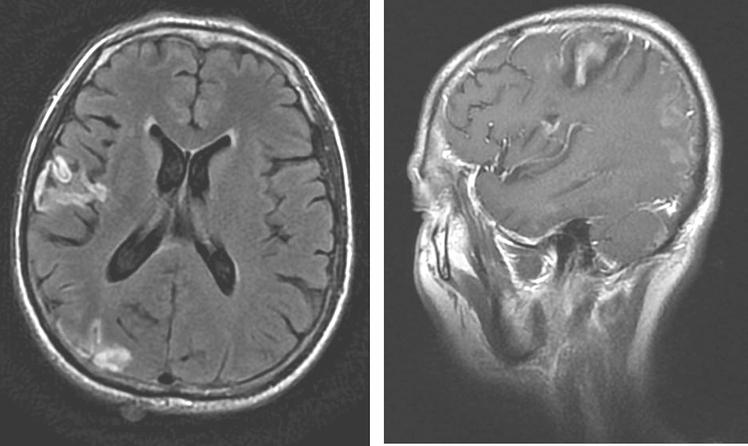
7.2013年8月16日颅脑MR 右侧大脑额、颞、顶叶及枕叶皮质及皮质下可见多发片状异常信号(图5),呈脑回样改变,T2WI/FLAIR呈高信号,增强扫描部分呈片状条状强化,局部脑沟变宽。左侧大脑半球、小脑、脑桥未见明显异常强化结节和肿物影。双侧脑室系统基本对称,未见明确扩张和移位,中线结构居中。

图5 颅脑MRI示右侧大脑额、颞、顶叶及枕叶皮质及皮质下多发片状异常信号
影像学诊断:右侧大脑额、颞、顶叶及枕叶区多发异常信号影,考虑为多发脑梗死,请结合临床。
8.2013年8月20日颈胸部CT:参阅2013年6月1日术前CT图像。
(1)甲状腺术后,术区未见明确异常强化结节或肿物;气管切开术后,双侧颈部清扫术后改变,颈前皮肤略增厚,皮下多发索条影,双侧胸锁乳突肌密度不均匀,边界不清楚,考虑术后改变,请随诊。右颈总动脉内可见栓子形成(图6)

图6 颈部增强CT示右颈总动脉内栓子形成
(2)双肺透气度较前减低,双肺散在斑片及索条影,以双下肺为著,考虑炎症,请随诊;双肺多发小结节,部分较前饱满,边界光整,左肺下叶胸膜下类结节及胸膜结节状增厚,大者0.7cm,以上建议密切随诊。
(3)心包少许积液。双侧胸腔未见积液。
(4)肝脏左右叶交界处结节,约0.6cm×1.3cm,边界不清楚,密度不均匀,建议超声。
(5)鼻咽、口咽、喉未见明确异常。
(6)颈部、纵隔及双侧肺门未见明确肿大淋巴结。
【术后病理】
(甲状腺右叶)、(甲状腺左叶)、(甲状腺峡部)、(气管前壁)甲状腺乳头状癌,呈多灶性浸润,最大者大小2.4cm×2cm×1.5cm,侵犯甲状腺被膜外纤维脂肪及周围横纹肌组织,可见脉管瘤栓,累及气管前壁。左叶旁见甲状旁腺。
淋巴结转移性癌(52/128):
(右颈2区淋巴结)1/12
(右颈3区淋巴结)2/5
(右颈4区淋巴结)3/16
(右颈5区淋巴结)1/6
(左颈2区淋巴结)1/6
(左颈3区淋巴结)0/5
(左颈4区淋巴结)6/24
(左颈5区淋巴结)0/11
(右气管食管沟淋巴结)10/11,部分累及被膜外;另见甲状旁腺。
(左气管食管沟淋巴结)3/4
(右锁骨后淋巴结)1/1
(上纵隔清扫)24/27,部分累及被膜。
pTNM分期:pT4N1M
【术后随诊】
1.2014年2月11日实验室检查 促甲状腺素(TSH)0.535μIU/ml,甲状腺球蛋白(TG)22.07ng/ml。
2.2014年2月13日做颈胸部CT “甲状腺癌术后”复查,并同2013年8月20日CT图像比较。
(1)甲状腺术后,术区未见明确异常强化结节或肿物;气管切开术后,双侧颈部清扫术后改变;颈前皮肤略增厚及皮下多发索条影较前减轻;双侧胸锁乳突肌密度不均匀,边界不清楚,考虑术后改变,请随诊。
(2)双肺散在斑片及索条影,较前减轻;双肺多发小结节及胸膜下类结节,大致同前,建议密切随诊。
(3)心包积液较前吸收。双侧胸腔未见积液。
(4)肝脏左右叶交界处结节,较前不明显。
(5)扫描范围鼻咽、口咽、喉未见明确异常。
(6)颈部、纵隔及双侧肺门未见明确肿大淋巴结。
3.2017年7月14日电话随诊患者外院碘治疗一次,因不吸碘未再做碘治疗。2016年11月外院诊断为脑瘤,2016年12月死于脑瘤。
【专家点评】
近年来,甲状腺癌发生率有明显的增加趋势,随着超声仪器的发展和技术的提高,检出率的增加更明显。国内资料报道(Chen et al,2016)2015年我国甲状腺肿瘤的发生率为90.0/10万,男性为22.2/10万,女性为67.9/10万。甲状腺乳头状癌为甲状腺癌最常见的类型,与甲状腺滤泡状癌统称为分化型甲状腺癌,文献报道(Mao et al,2016)占所有甲状腺恶性肿瘤的80%~90%;甲状腺乳头状癌组织学上分为不同的亚型,常见的亚型为传统的甲状腺乳头状癌和滤泡型乳头状癌,占所有甲状腺乳头状癌的90%以上。
甲状腺乳头状癌的术前诊断,主要依赖于超声检查和穿刺细胞学检查,CT和MRI检查主要是了解肿瘤和周围解剖结构的关系及侵犯范围。2012年中国版《甲状腺结节和分化型甲状腺癌诊疗指南》明确指出高分辨率超声检查是评估甲状腺结节的首选方法,但鉴别能力与超声医师的经验相关;不建议将CT、MRI和18F-FDG PET作为评估甲状腺结节的常规检查。术前评估甲状腺结节良恶性时,FNAB是灵敏度和特异性最高的方法,超声引导下FNAB可以提高取材成功率和诊断准确率。
该例患者术前超声检查甲状腺右叶及峡部肿物,考虑为恶性,右颈部、左下颈、双侧锁骨上多发淋巴结转移。右颈肿物穿刺细胞学检查发现乳头状癌细胞,得到进一步确诊。术前CT检查提示甲状腺右叶、峡部癌,可疑侵及气管;左叶病变,性质待定,双侧颈深组、右侧食管气管沟、纵隔1、2R、4R区多发淋巴结转移;双肺多发转移瘤。后经电子喉镜进一步确诊肿瘤侵及气管。甲状腺乳头状癌由于对放化疗缺乏敏感性,其主要的治疗手段是手术治疗,术后选择性应用碘治疗和TSH抑制治疗。
2012年中国版《甲状腺结节和分化型甲状腺癌诊疗指南》对分化型甲状腺癌推荐:①原发灶:应用全/近全甲状腺切除术或甲状腺腺叶+峡部切除术;②中央区:术中在有效保留甲状旁腺和喉返神经情况下,行病灶同侧中央区淋巴结清扫术;③颈部:对临床颈部非中央区淋巴结转移(cN1b)的患者行侧颈区淋巴结清扫;对部分临床颈部中央区淋巴结转移(cNla)的患者,行择区性颈淋巴结清扫术。建议分化型甲状腺癌的全/近全甲状腺切除术适应证包括:①童年期有头颈部放射线照射史或放射性尘埃接触史;②原发灶最大直径>4cm;③多癌灶,尤其是双侧癌灶;④不良的病理亚型,如PTC的高细胞型、柱状细胞型、弥漫硬化型、实体亚型,FTC的广泛浸润型,低分化型甲状腺癌;⑤已有远处转移,需行术后”131I治疗;⑥伴有双侧颈部淋巴结转移;⑦伴有腺外侵犯(如气管、食管、颈动脉或纵隔侵犯等)。全/近全甲状腺切除术的相对适应证是:肿瘤最大直径介于1~4cm之间,伴有甲状腺癌高危因素或合并对侧甲状腺结节。
2018年5月美国国家综合癌症网络(NCCN)发布了《甲状腺癌指南》2018年第1版,该指南推荐甲状腺全切除的适应证为下列任何一项:①明确的远处转移;②甲状腺外侵犯;③肿瘤直径>4cm;④颈部淋巴结转移;⑤分化差;⑥辐射暴露史;⑦双侧结节。对颈部临床明确或穿刺证实的患者行受累区域的治疗性颈清扫。
该例患者诊断明确,在充分的术前准备后完成甲状腺全切除、双颈双气管食管沟淋巴结清扫、胸骨劈开上纵隔淋巴结清扫、受累气管的袖状切除。甲状腺癌侵及气管常见的处理方式有三种:①气管袖状切除,适应于至少一侧喉返神经正常和肿瘤侵犯长度<6cm者;②锁骨骨膜瓣修复,适应于一侧喉返神经正常和侧壁肿瘤侵犯不超过环周的一半者;③气管造瘘,适应于双侧喉返神经受侵和肿瘤侵犯环周的一半以上者。Chen等(2017)认为甲状腺癌侵及气管的袖状切除是具有挑战性的,受肿瘤侵犯气管的长度和患者颈部长度的双重影响,必要时可行舌骨上和/或纵隔腔松解。该例患者幸运的是手术非常顺利,但不幸的是术后发生气管瘘,可能的原因是患者清醒后颈部过仰导致气管撕裂引起,随后继发感染,引起无名动脉出血。事后反思,该例患者术中给予舌骨上松解,或术后采取避免颈部过仰的措施,有可能避免后续事件的发生;再者术中直接行气管造瘘,手术既简单,术后又避免了严重并发症的发生。因此,手术方式的选择尤为重要,术前周密设计,术中谨慎处理,术后可避免严重并发症的发生。幸运的是患者经医务人员及时积极地抢救和治疗,最终生存下来,虽然出现肢体的活动障碍,但患者能够自理生存。
患者术后病理甲状腺乳头状癌,呈多灶性浸润,侵犯甲状腺被膜外纤维脂肪及周围横纹肌组织,可见脉管瘤栓,累及气管前壁;淋巴结转移性癌(52/128)。由于病情较晚,肿瘤侵及范围广泛,且出现肺转移,故出院后建议碘治疗,由于转移灶不吸碘,患者仅接受一次碘治疗。2012年中国版《甲状腺结节和分化型甲状腺癌诊疗指南》明确指出131I清灶治疗适用于无法手术切除、但具备摄碘功能的分化型甲状腺癌转移灶(包括局部淋巴结转移和远处转移),其治疗目的为清除病灶或部分缓解病情;清灶治疗的疗效与转移灶摄取131I的程度和131I在病灶中的滞留时间直接相关,还受到患者年龄、转移灶的大小和部位,以及病灶对131I的辐射敏感性等因素的影响。
2018年5月美国国家综合癌症网络(NCCN)发布了甲状腺癌指南2018年第1版,指南推荐以下情况的甲状腺乳头状癌患者应用碘治疗:①肉眼可见甲状腺外侵犯,②原发灶>4cm,③术后非刺激性Tg>5~10ng/ml,④明确的或怀疑远处转移的病变。对甲状腺乳头状癌碘治疗无效者推荐TSH抑制治疗,其抑制水平,对明确肿瘤残留或复发高危的患者,TSH控制在0.1mU/L以下;对无明确肿瘤残留或复发低危的患者,TSH控制在参考范围的低线或以下;对长期无瘤患者TSH可维持在参考范围。同时指南对长期TSH抑制的患者推荐每日口服1200mg钙剂和1000u维生素D。该指南指出对碘难治性复发的远处转移的甲状腺乳头状癌可应用小分子激酶抑制剂等靶向药物。
患者术后半年复查甲状腺功能,TSH为0.535μIU/ml,而TG为22.07ng/ml,说明TSH抑制治疗效果不理想,肿瘤得不到控制;且肺转移灶不吸碘,说明碘治疗无效,肿瘤不断进展,导致2年后出现脑转移。如果患者碘治疗后加强TSH抑制治疗,必要时再给予靶向治疗,也许肿瘤生长能够得到限制,延缓患者的生存时间。
总之,本例患者病情较晚,手术较大,术后出现严重的并发症。对该类患者术前应周密设计,反复与患者和家属沟通,一旦出现并发症应积极应对和处理;治疗成功后应加强多学科的综合治疗,以确保患者的长期生存。
知识来源
人卫知识数字服务体系
- 评价此内容
- 我要打分
近期推荐
热门关键词
最新会议
- 2013循证医学和实效研究方法学研讨会
- 欧洲心脏病学会年会
- 世界帕金森病和相关疾病2013年会议
- 英国介入放射学学会2013年第25届年会
- 美国血液学会2013年年会
- 美国癫痫学会2013年第67届年会
- 肥胖学会 2013年年会
- 2013年第9届欧洲抗体会议
- 国际精神病学协会 2013年会议
- 妇科肿瘤2013年第18届大会
- 国际创伤压力研究学会2013年第29届…
- 2013年第4届亚太地区骨质疏松症会议
- 皮肤病协会国际2013年会议
- 世界糖尿病2013年大会
- 2013年国际成瘾性药年会
- 彭晓霞---诊断试验的Meta分析
- 武姗姗---累积Meta分析和TSA分析
- 孙凤---Network Meta分析
- 杨智荣---Cochrane综述实战经验分享
- 杨祖耀---疾病频率资料的Meta分析
合作伙伴
Copyright g-medon.com All Rights Reserved 环球医学资讯 未经授权请勿转载!
网络实名:环球医学:京ICP备08004413号-2
关于我们|
我们的服务|版权及责任声明|联系我们
互联网药品信息服务资格证书(京)-经营性-2017-0027
互联网医疗保健信息服务复核同意书 京卫计网审[2015]第0344号




会员登录

