-
一例下咽癌双颈淋巴结转移行术前同步放化疗+根治手…
环球医学资讯
2025年10月09日
点击量:134
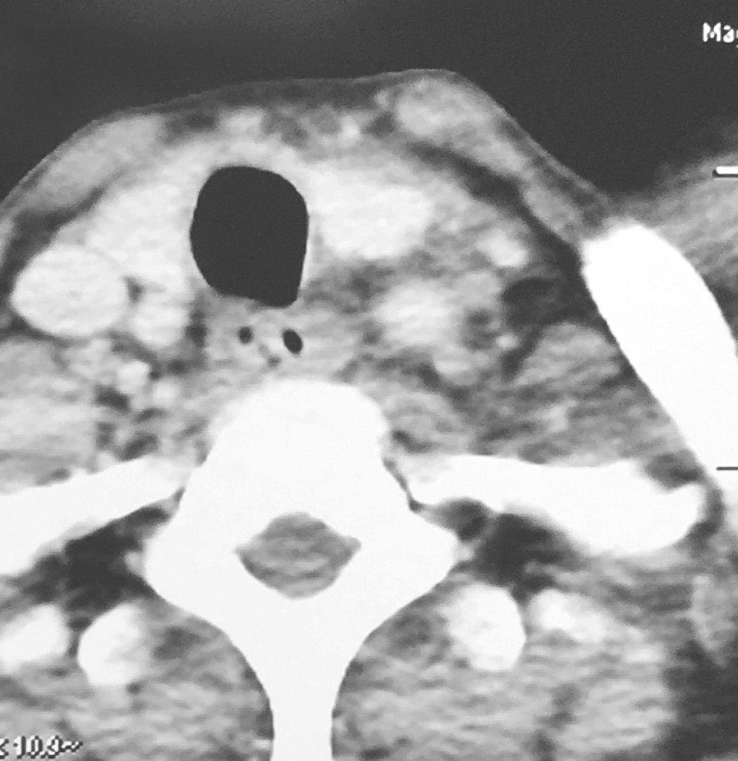
1小时条评论50岁男性,因咽部疼痛、不适感10个月,声音嘶哑半年,饮水呛咳伴呼吸憋闷1个月余住院治疗。如何进行综合治疗? 【病例简介】 患者男性,50岁。因咽部疼痛、不适感10个月,声音嘶哑半年,饮水呛咳伴呼吸憋闷1个月余住院治疗。患者10个月前即有咽部疼痛、不适...
-
一例下咽癌右颈淋巴结转移诊治经验分享
环球医学资讯
2025年09月19日
点击量:211
1小时条评论51岁男性,半年前出现咽部不适感,近2个月来加重并声音嘶哑。曾以咽炎口服中成药治疗,效果不佳。如何诊治? [病例简介] 患者男性,51岁。因咽部不适感半年,加重并声音嘶哑2月余住院治疗。患者半年前即有咽部不适感,无明显疼痛,无吞咽阻挡感,未予在意。...
-
一例EGFR exon19 del突变阳性小细胞肺癌诊治经验分享
环球医学资讯
2025年09月17日
点击量:82
1小时条评论老年女性,有冠心病支架植入术病史。以咳嗽、痰中带血起病,外院胸部CT提示右肺占位。骨扫描示左前第3、6肋骨局限性浓聚。肿瘤标记物CEA增高。如何诊治? [病例简介] 患者女性,77岁,主因咳嗽,痰中带血5天入院。患者于2018年1月1日无明显诱因间断出现咳嗽...
-
一例下咽癌左颈淋巴结转移的诊治经验分享
环球医学资讯
2025年09月05日
点击量:143
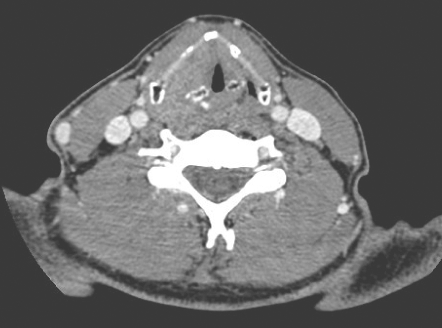
1小时条评论51岁男性,6个月前无明显诱因出现咽部异物感,1个月前出现咽部疼痛,呈钝痛,吞咽时加重。门诊行电子喉镜检查见左侧梨状窝粗糙新生物,如何诊治? 【病例简介】 患者男性,51岁。因咽部异物感6月余,咽痛1月余住院治疗。患者6个月前无明显诱因出现咽部异物感...
-
一例下咽癌合并早期食管癌及同步放化疗诊治经验分享
环球医学资讯
2025年08月24日
点击量:166
1小时条评论48岁男性,因左颈肿物伴咽痛3个月余,肿物生长明显伴呼吸困难2周气管切开后收入头颈放疗科。如何选择治疗方案? 【病例简介】 患者男性,48岁。因左颈肿物伴咽痛3个月余,肿物生长明显伴呼吸困难2周气管切开后于2011年8月31日收入头颈放疗科。3个月前患者无意中发...
-
一例表现为肺实变的原发性肺淋巴瘤疑难病例诊治解析
环球医学资讯
2025年08月06日
点击量:114
1小时条评论老年男性,反复发热伴咳嗽、咳痰5年余,胸部CT以右肺实变为主要表现,外院先后给予抗细菌、抗真菌和抗结核菌治疗均无显效,病程迁延,症状反复出现。该患者所患何病? 【病例简介】 患者男性,64岁。主因反复咳嗽、咳痰5年,加重伴发热2天入院。5年前无明显诱因出...
-
一例淋巴瘤肺转移继发噬血细胞综合征诊治经验分享
环球医学资讯
2025年08月01日
点击量:143
1小时条评论青年男性,以发热伴咳嗽急性起病,胸部CT报告右下肺阴影,外院反复抗感染治疗无法退热,曾确诊NK/T细胞淋巴瘤Ⅱ期,淋巴瘤放化疗后观察1年余。该患者本次所患何病?如何治疗? 【病例简介】 患者男性,29岁。主因发热伴咳嗽20余天入院。2017年5月11日无明显诱因出...
-
一例声门上型喉癌全喉切除及双侧颈部淋巴结清扫的诊…
环球医学资讯
2025年07月25日
点击量:207
1小时条评论73岁男性,因声音嘶哑8个月就诊。喉镜检查提示右侧室带、声带占位;活检病理报大部分为鳞状细胞原位癌,部分区域有浸润。如何进一步诊治? 【病例简介】 患者男性,73岁。因声音嘶哑8个月于2017年3月24日收入本院头颈外科。2016年8月患者无明显诱因出现声音...
-
一例肝间叶源性恶性肿瘤伴脊柱、右股骨颈、腹膜后淋…
环球医学资讯
2025年07月18日
点击量:120
1小时条评论56岁男性,因反复腹痛伴发热3个月入院。在治疗过程中,经强有力抗感染治疗,患者病情持续进展。该患者所患何病? 一、病情摘要 1.基本情况 男性患者,56岁,因反复腹痛伴发热3个月,于2015年8月入院。3个月前,患者无明显诱因出现右上腹痛,症状逐渐加重,腹部CT...
-
一例声门上型喉癌扩大水平部分喉切除及双侧颈清扫,…
环球医学资讯
2025年06月27日
点击量:119
1小时条评论54岁男性,因咽部疼痛2月余入院。喉镜检查发现喉内肿物,活检为鳞状细胞癌。如何治疗? 【病例简介】 患者男性,54岁。因咽部疼痛2月余于2014年11月6日收住院。2个月前患者无明显诱因出现喉部疼痛,当地医院对症治疗,效果不佳,喉镜检查发现喉内肿物,活检...










会员登录

