男14岁,右上臂隐痛2年,加重1周伴功能障碍1小时
患者,男性,14岁,2年前出现右上臂隐痛,呈间歇性。近2年身高增长明显,1周来疼痛加剧,于1小时前扭伤后出现功能障碍。
主诉 右上臂隐痛2年,加重1周伴功能障碍1小时
一、病史询问及思维提示
1. 病程与肿瘤性质的关系。
肿瘤的发展过程、进展速度和病程长短与肿瘤的性质密切相关。一般来说,良性骨肿瘤病程长,进展速度缓慢,临床症状变化不明显,邻近关节功能正常;反之,恶性骨肿瘤病程短,进展迅速,临床症状急剧恶化,邻近关节功能受累。
2. 病因及有无外伤史。
骨囊肿的病因可能与髓内出血、感染的炎症组织软化、干骺端静脉发育异常等有关。外伤史可诱发本病临床症状提前表现,同时对于判断是否并发病理性骨折有重要意义。
3. 疼痛部位与年龄的关系。
10~15岁年龄阶段的肱骨上段髓内最常见的肿瘤是单纯骨囊肿;向骨外生长的肿瘤最常见的是骨软骨瘤;骨肉瘤少见,骨巨细胞瘤在此年龄段几乎不发生。
4. 疼痛的性质。
疼痛对于某些肿瘤性质具有一定诊断价值,夜间疼痛多为恶性骨肿瘤的特点。良性骨肿瘤除非发生病理性骨折常常无疼痛,即使出现骨痛也不剧烈,可反复发作,但总趋势是逐渐减弱的或平稳的。恶性骨肿瘤早期常常为间歇性和不规则性隐胀痛,然后转为持续性剧痛,口服镇痛药效果不佳,疼痛发展的总趋势是逐渐增强的,骨囊肿局部疼痛多为隐痛,而剧烈疼痛多是发生病理性骨折的征象。
5. 有无病理性骨折表现?
外伤史可以诱发病理性骨折。轻微外伤后突发剧烈疼痛、局部肿胀和畸形常常提示病理性骨折,临床多见于良性骨肿瘤和骨转移癌。
6. 既往的诊疗情况。
既往的重要诊断及化验检查(包括实验室及辅助检查,尤其是X线片检查)、治疗(包括非手术及手术治疗)情况有助于了解肿瘤的发展状况,也是下一步治疗方案的重要借鉴依据。询问结果:14岁男性,右上臂隐痛2年,进展缓慢,临床症状变化不明显,邻近关节功能正常。近1周疼痛加剧,1小时前轻微外伤后出现功能障碍。此次为初次就诊。
二、初步的体格检查
1. 有无肿块及肿块的性质。
肿块及肿块的性质是鉴别良性及恶性骨肿瘤的重要临床表现。骨肿瘤合并软组织肿块主要见于恶性骨肿瘤,长骨增粗多见于良性骨肿瘤。骨囊肿多无明显的肿块,但发生病理性骨折后可以出现局部肿胀或增粗。
2. 检查患肢局部情况。
了解肢体有无压痛、反常活动、畸形及患肢神经血管损伤,可初步判断其诊断和是否需急诊手术;检查患侧肩关节功能情况,可初步评估病情、决定治疗方案和治疗效果。
查体结果:右上臂近端明显肿胀,局部压痛、叩击痛明显,有轻度向外成角畸形,无反常活动。右肩关节活动主动受限、被动正常。
三、初步检查项目—X线检查
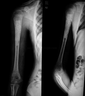
1. 选择X线检查的原因 了解病变性质及有无骨折,在诊断中有着不可替代的作用(图78-1)。
2. 检查结果 病变位于右肱骨近端干骺端,呈单房均匀透亮轴向椭圆形囊性变,病灶处骨皮质变薄,边界清晰,可见骨折线。

图78-1 右肱骨上段及肱骨干透亮轴向囊性变,骨皮质变薄
四、初步诊断
右肱骨上端单纯性骨囊肿伴病理性骨折
五、进一步检查项目
1. 进一步检查的目的
(1)明确病灶的性质(病理学诊断)。
(2)评估疾病的范围及程度,以选择合理的治疗方案。
2. 进一步检查的措施——CT及MRI 骨囊肿依据发病特征和临床表现及X线表现往往可以确诊,但对于不典型的病例要补充CT及MRI检查。结果:CT示囊内CT值明显低于脂肪CT值,与水相当;MRI示囊内为T1加权低信号和T2高信号。
六、初步治疗方案
1. 方案的理论依据 单纯性骨囊肿随着年龄和生长发育具有局限性和自愈性,因此其治疗具有动态性和多元性的特点。①年龄小(<10~13岁)的活动期骨囊肿,应以保守治疗为佳,骨囊肿内注射类固醇类药物,2~3次后50%~60%可达完全愈合。即使有病理性骨折,也应采取手法复位、外固定的治疗方式,因为该年龄段的病理性骨折4~6周即可临床愈合。另外,病理性骨折后骨囊肿本身局限性和自愈性过程加快,部分患者不需植骨而痊愈。②对年龄大(>13岁)的静止期骨囊肿,应以病灶刮除植骨为佳。此年龄段伴有病理性骨折的患者,在病灶刮除植骨的同时可以根据情况选择实施骨折复位钢板内固定,但应注意避免损伤肱骨头骺板(图78-2)。

图78-2 右肱骨上段骨囊肿刮除、灭活、异体骨植骨术后
2. 治疗方案
(1)首先采取行囊肿刮除、灭活、植骨术的治疗方式。
(2)定期随访,观察骨折和囊肿愈合情况。
七、门诊随访注意事项
1. 右上臂外固定4周,4周后开始肩肘关节功能康复训练。
2. 伤后2、4、8周摄片复查,此后每6~10个月摄片复查,以动态了解囊肿发展情况。
来源:《骨科疾病临床诊疗思维》
作者:裴福兴
参编:宋跃明 王光林 方跃 孔清泉 刘浩
页码:379-382
出版:人民卫生出版社
- 评价此内容
- 我要打分
近期推荐
热门关键词
最新会议
- 2013循证医学和实效研究方法学研讨会
- 欧洲心脏病学会年会
- 世界帕金森病和相关疾病2013年会议
- 英国介入放射学学会2013年第25届年会
- 美国血液学会2013年年会
- 美国癫痫学会2013年第67届年会
- 肥胖学会 2013年年会
- 2013年第9届欧洲抗体会议
- 国际精神病学协会 2013年会议
- 妇科肿瘤2013年第18届大会
- 国际创伤压力研究学会2013年第29届…
- 2013年第4届亚太地区骨质疏松症会议
- 皮肤病协会国际2013年会议
- 世界糖尿病2013年大会
- 2013年国际成瘾性药年会
- 彭晓霞---诊断试验的Meta分析
- 武姗姗---累积Meta分析和TSA分析
- 孙凤---Network Meta分析
- 杨智荣---Cochrane综述实战经验分享
- 杨祖耀---疾病频率资料的Meta分析
合作伙伴
Copyright g-medon.com All Rights Reserved 环球医学资讯 未经授权请勿转载!
网络实名:环球医学:京ICP备08004413号-2
关于我们|
我们的服务|版权及责任声明|联系我们
互联网药品信息服务资格证书(京)-经营性-2017-0027
互联网医疗保健信息服务复核同意书 京卫计网审[2015]第0344号




会员登录

