一例下咽癌合并食管癌的诊治经验分享
39岁男性患者,因咽部疼痛5月余,进食阻挡感伴声音嘶哑20余天住院治疗。如何诊治?
【病例简介】
患者男性,39岁。因咽部疼痛5月余,进食阻挡感伴声音嘶哑20余天住院治疗。患者5个月前无明显诱因出现咽部疼痛,伴咽部异物感,进食时疼痛明显;无进食呛咳及进食阻挡;无喘息憋气,无声音嘶哑,在当地医院对症及抗炎治疗,效果差。20余天前出现进食阻挡感,半流质食物咽下尚可,疼痛程度尚可忍受,同时偶有声音嘶哑,无咯血,无呼吸困难。当地医院行电子喉镜检查示:右侧梨状窝及环后区菜花样肿物,右侧声带活动受限。为进一步诊治前来本院就诊。门诊以“下咽肿瘤”收入我科。患者发病以来精神尚可,大小便正常,述体重减轻3kg。患者既往吸烟20余年,约20支/日;饮酒13年,经常饮啤酒,约3000ml/d;否认家族成员肿瘤性疾病史,否认遗传性疾病家族史。
【影像学及特殊检查】
1.2016年7月6日本院电子喉镜检查
鼻咽部结构完整,黏膜光滑。口咽双侧扁桃体未见肿大。舌根部淋巴滤泡略增生。环后区及右侧梨状窝菜花样肿瘤,左侧梨状窝黏膜粗糙,肿瘤向上累及右侧披裂及杓间区,向下累及食管入口。右侧声带活动受限(图1)。
2.活检病理
下咽(环后区)鳞状细胞癌。
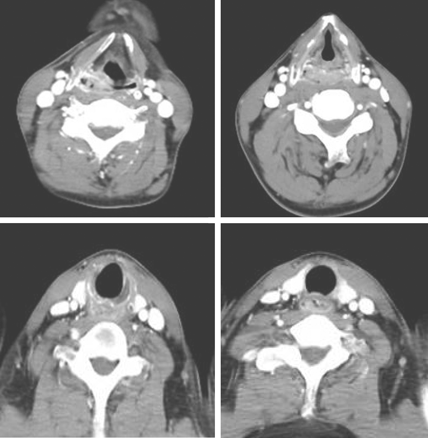
3.2016年7月6日颈胸部强化CT
环后区软组织密度影,强化明显,肿瘤累及双侧梨状窝、向下至颈段食管(图2)。双侧颈部见散在淋巴结,无明显强化。


图1电子喉镜示下咽环后区及右侧梨状窝菜花样肿瘤

图2颈胸部增强CT示下咽环后区软组织密度影
影像学诊断:
符合下咽癌累及颈段食管,双侧颈部散在淋巴结肿大。
4.2016年7月7日电子胃镜检查
距门齿24cm见不规则隆起,突向食管腔内,表明充血,累及食管腔周2/3;食管下段距门齿38cm见类圆形橘红色黏膜病变,给予活检,病理报告:(距门齿24cm)鳞状上皮原位癌,(距门齿38cm)小片鳞状上皮及贲门黏膜。
5.2016年7月8日颈部B超
甲状腺回声均匀,双颈未见明显肿大淋巴结。
6.2016年7月10日上消化道钡餐透视
下咽部充盈缺损,考虑下咽肿瘤占位(图3)。

图3上消化道钡餐示下咽部充盈缺损
【入院诊断】
1.下咽癌(环后区T4N0M0)。
2.中段食管癌。
【病程记录】
2016年7月15日主任医师查房记录:患者拟行全麻下食管肿瘤黏膜内剥离术(ESD),术中见食管距门齿24~27cm处黏膜隆起、粗糙糜烂,NBI提示新生血管,卢戈氏液不着色,范围超过食管周大于2/3、接近环周。考虑术后食管瘢痕狭窄可能性大,不宜做ESD手术;结合患者影像学检查结果。主任医师查房:考虑下咽肿瘤范围较大,累及食管入口,且中段食管原位癌,不适合内镜手术;可限期行“双侧颈淋巴结清扫+全喉、全下咽切除+食管内翻剥脱胃上提胃咽吻合术”。术前常规准备,充分向患者及家属交代病情及手术风险,进行术前谈话并签署知情同意书。
【治疗经过】
2016年7月20日全麻下行双侧颈淋巴结清扫+全喉全下咽切除+食管内翻剥脱胃上提胃咽吻合术。
患者取仰卧位,经口插管全麻。置垫肩,头后仰,置胃管,导尿。消毒颈、胸、腹术区,取颈前U形切口,颈阔肌深面上下分离皮瓣,护皮固定。双侧颈部行Ⅱ~Ⅳ区淋巴结清扫,保留颈内静脉、副神经、胸锁乳突肌及部分颈丛。沿正中白线切开,分离双侧胸骨舌骨肌,切断舌骨上下肌群,切除舌骨。结扎切断甲状腺峡部,将甲状腺腺叶向两侧分离,显露食管侧缘及咽缩肌。自第3、4气管环间切开气管,气管颈前造瘘。清扫双侧气管食管沟淋巴结,切断喉返神经。于舌骨水平结扎喉上动静脉血管,会厌谷入路横断咽腔,沿咽后间隙向下分离,游离颈段食管,切断迷走神经食管束支。
腹部自剑突至脐部正中切口,胃网膜血管弓外游离胃结肠、胃脾韧带,结扎切断胃网膜左及胃底血管,肝胃韧带血管弓外游离切断胃左血管,游离切断贲门食管周围血管结缔组织,自下而上钝性分离纵隔食管床与食管上方游离部分相通。贲门处切断食管,胃端缝合。经颈部食管置入胃管,引导无菌带至颈部,下端与食管贲门断端缝合,上提将全食管内翻剥脱,连同全喉全下咽一并切除,胃体经食管床上提至颈部,胃底与咽部对位吻合,外层加固。冲洗术野,置负压引流管,逐层缝合切口,患者清醒后更换硅胶全喉气管套管,安全返回病房。
【术后处理】
1.监测生命体征;给予预防感染、抗反流及补液支持治疗。
2.注意切口及引流情况;引流量每日少于20ml可拔除引流管。
3.气管切开护理,保持气道通畅及气道湿化。
4.术后8-10天适时给予经口进食,少食多餐。
5.术后2周内限期行术后辅助性放疗。
【术后病理】
(下咽及颈段食管)鳞状细胞癌Ⅱ级[切面面积7.5cm×(0.3~1.0)cm]。食管处下方4.5cm及6cm处查见鳞状细胞原位癌,肿物下方9cm处查见鳞状细胞原位癌,局灶呈鳞癌侵及黏膜肌层(镜测长度0.8cm)。
左上纵隔淋巴结(2/4)、右上纵隔淋巴结(4/7)、右颈部淋巴结(1/30)查见转移癌;肿物周围淋巴结(0/2)、颏下淋巴结(0/3)、胃左淋巴结(0/5)、贲门旁淋巴结(0/5)、左咽后淋巴结(0/2)、右咽后淋巴结(0/1)、左颈部淋巴结(0/19)均未见转移癌。
pTNM分期:
下咽癌(环后区pT4aN1M0);食管癌(pT1aN2M0)。
【术后随诊】
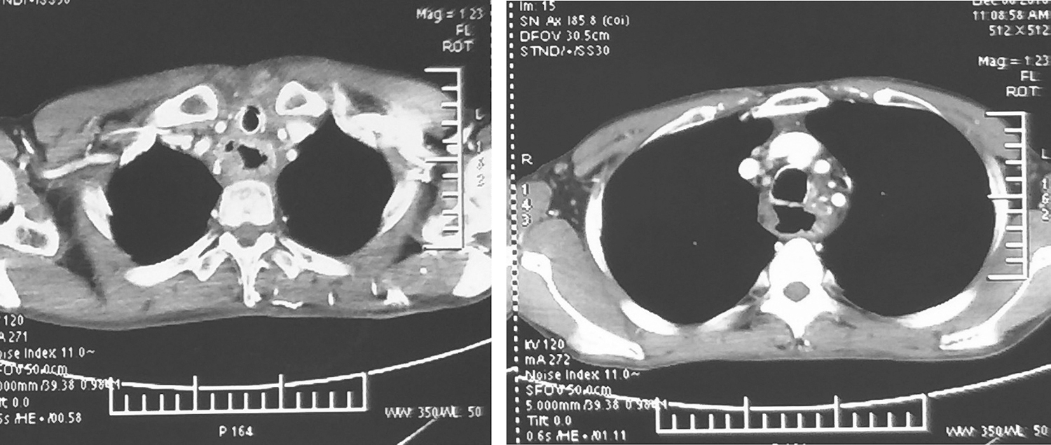
术后每3个月复查,每半年行颈胸强化CT检查(图4)。现已随访1年10个月,健在,无复发及转移。

图4颈胸部增强CT示无肿瘤复发或转移
【专家点评】
1.我院曾对住院治疗的96例下咽癌患者行电子胃镜检查,术前普通钡餐透视及胸部强化CT均未发现占位病变,而同期电子胃镜发现病变并病理证实存在食管及胃癌前病变或癌变者达27.08%。可见下咽癌患者同期发生上消化道多原发癌变的比例是较高的。电子胃镜检查(白光观察、NBI检查和卢戈氏液染色)能够有效的发现早期病变,推荐应作为下咽癌术前常规检查项目。
2.对于早期食管孤立癌灶,可选择内镜下食管病变黏膜下剥离术(ESD手术),术后2周待食管创面修复后再行下咽肿瘤手术;对于下端食管近贲门的病变,可同期行下咽癌切除+下端食管或胃部分切除术;对于食管多发癌灶,或中下段食管病变不宜行内镜切除者,可选择全下咽全食管切除+胃上提咽胃吻合术。
3.下咽癌易早期发生淋巴结转移,此例患者术前颈部触诊及CT均未提示颈部淋巴结转移征象。考虑下咽癌隐匿性转移比例高,患者局部肿瘤病期较晚,给予双侧颈淋巴结清扫,术后病理证实右侧颈部1/30查见转移。同时该患者存在食管多发早期癌变病灶,也需一并行气管食管沟及上纵隔淋巴结清扫,术后病理证实双侧上纵隔淋巴结存在多发转移。
知识来源
人卫知识数字服务体系
- 评价此内容
- 我要打分
近期推荐
热门关键词
最新会议
- 2013循证医学和实效研究方法学研讨会
- 欧洲心脏病学会年会
- 世界帕金森病和相关疾病2013年会议
- 英国介入放射学学会2013年第25届年会
- 美国血液学会2013年年会
- 美国癫痫学会2013年第67届年会
- 肥胖学会 2013年年会
- 2013年第9届欧洲抗体会议
- 国际精神病学协会 2013年会议
- 妇科肿瘤2013年第18届大会
- 国际创伤压力研究学会2013年第29届…
- 2013年第4届亚太地区骨质疏松症会议
- 皮肤病协会国际2013年会议
- 世界糖尿病2013年大会
- 2013年国际成瘾性药年会
- 彭晓霞---诊断试验的Meta分析
- 武姗姗---累积Meta分析和TSA分析
- 孙凤---Network Meta分析
- 杨智荣---Cochrane综述实战经验分享
- 杨祖耀---疾病频率资料的Meta分析
合作伙伴
Copyright g-medon.com All Rights Reserved 环球医学资讯 未经授权请勿转载!
网络实名:环球医学:京ICP备08004413号-2
关于我们|
我们的服务|版权及责任声明|联系我们
互联网药品信息服务资格证书(京)-经营性-2017-0027
互联网医疗保健信息服务复核同意书 京卫计网审[2015]第0344号




会员登录

