男66岁,因反复发作性胸痛1年,加重2天入院
介入治疗过程中心脏压塞是少见但临床后果非常严重的并发症,临床征象十分凶险,处理也十分棘手。可发生于:冠脉介入治疗(PCI)、心律失常射频消融术、临时或永久起搏器植入术、先天性心脏病封堵器植入术、经皮球囊瓣膜成形术等,其中以冠脉介入治疗中冠脉穿孔、心脏压塞相对常见。本文介绍一例冠脉介入治疗过程中出现心脏压塞病例。
临床资料:

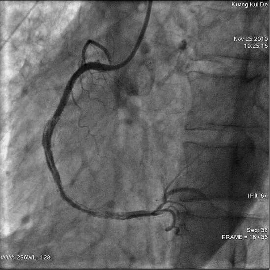
图97‐1 右冠中段喷射性冠脉穿孔

图97‐2 右冠中段穿孔完全闭合
患者男性,66岁,因反复发作性胸痛1年,加重2天入院,既往有高血压、糖尿病及慢性支气管炎病史。入院查体:意识清楚,脉搏73次/分钟,BP120/65mmHg。双肺呼吸音清,心率73次/分钟,律齐,心音低钝。心电图示:下壁导联ST段弓背向上抬高0.1~0.2mV,入院后查CK‐MB及肌钙蛋白T定量均升高但呈下降趋势,诊断冠心病,急性下壁心肌梗死,心功能Ⅰ级,高血压病3级(极高危),2型糖尿病。入院常规冠心病药物治疗1周后经桡动脉行冠脉造影显示,右冠状动脉中远段弥漫性钙化病变,狭窄最重95%以上,左冠血管硬化,多发散在斑块。随后行右冠状动脉介入术,共用肝素8000U,选用JR4.0指引导管,美国佳腾公司whisper指引导丝送至右冠状动脉远端,以2.0mm×20mm球囊预扩张狭窄处后,远段先置入Cypher 3.5mm×33mm支架12at m释放,再中段串联植入Xience V3.5mm×18mm支架14at m释放,再右冠中段串联植入Xience V3.5mm×18mm支架14at m释放。即刻造影见支架中段最后两支架重叠处冠脉穿孔破裂,造影剂呈喷射状持续外流、心包腔迅速显影(见图97‐1),患者感胸闷,心电监护显示心率110次/分,血压86/60mmHg并逐渐下降。将球囊送至穿孔部位的近端,以4~6at m压力充盈球囊,加快补液,30分钟后少量造影剂“冒烟”冠脉穿孔仍未闭合,患者感胸闷气憋明显,透视见中量心包积液,立即行心包穿刺,经6F鞘管抽吸心包积血,穿刺右股静脉以备植入临时起搏电极,并经股静脉回输心包积血。继续4~6at m持续充盈球囊,经静脉注射鱼精蛋白15 mg(5mg中和肝素1000单位),2h后再次“冒烟”穿孔较前减小,但仍不能闭合,将原支架球囊两端剪断制备一个圆柱形塑料环,将该层塑料环小心套于一个新的3.5mm×23mm支架上制成一个带膜支架,用线在支架中段小心打一个适度的活结固定膜,将低压扩张的球囊退出体外,沿导丝小心送入自制的带膜支架,定位在穿孔处20at m释放支架,“冒烟”证实冠脉穿孔完全闭合,观察数十分钟后,心包内不能继续抽出积血,行右冠造影示冠脉穿孔完全闭合,远端血流TI MI3级(见图97‐2),床旁超声心动图心包少量积液。心率80次/分,律齐,血压130/85mmHg,拔出心包穿刺的鞘管,撤导丝、导管,送回监护病房并继续服用双重抗血小板等药,病情稳定1周后出院。
讨论:
急性心脏压塞主要由心脏介入治疗中冠脉或心脏穿孔所致,为心脏介入治疗的严重并发症之一,处理不及时病死率非常高。冠脉穿孔分为三种类型:Ⅰ型常见,限于动脉外膜下,造影可见局部溃疡状或蘑菇状突出,多因导丝或旋切装置引起;Ⅱ型为心肌内或心包内局限性片状造影剂渗漏;Ⅲ型为造影剂经破孔呈喷射状持续外流、心包腔迅速显影。冠脉穿孔主要见于高龄、严重钙化、成角狭窄病变、闭塞病变、严重扭曲病变、细小冠脉病变(直径2.5mm以下)、分叉病变。穿孔的常见部位为前降支中远段,右冠中段,回旋支,及右冠远端。介入操作过程中引起冠脉穿孔或破裂的主要原因有:①导丝穿透血管壁:亲水涂层中等以上硬度的导丝在处理闭塞病变或钙化严重的扭曲病变时;涂层导丝走行至血管远端穿出末梢小血管等;②球囊扩张:半顺应性球囊持续高压扩张病变血管可造成血管夹层甚至血管全层破裂;切割球囊过度高压扩张病变导致冠脉穿孔或破裂;球囊自身破裂特别是针孔样破裂可能导致造影剂高压喷射从而增加夹层或穿孔的机会;③支架:置入过大尺寸的支架或过高压力扩张、使用高压后扩张球囊或在有严重夹层病变时误在血管内膜下送入支架,均可导致穿孔的发生;④一些冠脉治疗新技术如冠脉内旋磨术,由于采用的器械过硬或处理相对细小、扭曲的血管,导致冠脉的损伤穿孔。
心脏压塞是冠脉穿孔等的严重程度,将导致患者迅速出现血流动力学不稳定——血压迅速下降甚至心脏停搏,其抢救及处理起来十分棘手,因此预防介入治疗中血管和心脏穿孔、破裂,在介入器械的选择和操作上特别注意,从而避免心脏压塞的发生非常重要。本例患者发生心脏压塞可能与患者冠脉本身严重硬化扭曲,选择的支架偏大且使用后扩张球囊高压后扩张等原因有关。
分析本例心脏压塞抢救成功的原因:①延时低压球囊扩张。一旦发现冠脉穿孔,立即使用球囊持续低压充盈压迫冠脉穿孔处近段。该病例术中出现Ⅲ型冠脉穿孔,血流速度快,心包迅速显影,很快将导致心脏压塞,延时低压球囊扩张是最为常用的方法,球囊:血管比为0.8~1.0,采用4~6at m低压力,扩张时间刚开始为10分钟,初次扩张后闭合仍不完全,应再次低压扩张15~45分钟,该操作甚至应优先于心包穿刺或I ABP。②及时心包穿刺。一旦患者出现烦躁不安、心率减慢、血压下降、透视下心影扩大和搏动减弱等心包填塞征象,应立即进行心包穿刺,抽吸心包积血,解除心脏压塞,不可存侥幸心理。如果积血较多,必要时自体血液回输和输血治疗。由于冠脉介入治疗患者常使用较多抗凝抗血小板药物,即使是末梢血管破裂,也可能持续出血导致心包压塞,故严密观察和及时心包穿刺引流十分重要。资料显示延时球囊扩张加及时心包穿刺能使70%~80%的患者避免外科手术。③带膜支架的使用;持续低压球囊扩张仍不能封闭破口,应立即在破口处植入PTFE带膜支架。该病例经数小时持续低压球囊扩张仍不能完全闭合缺口,考虑缺口较大,故及时在破口处植入带膜支架。由于我国多数中心不一定常规准备PTFE带膜支架,因此危及时刻自己制备带膜支架有时可以起到意想不到的效果。本例采用原支架球囊和一个新的普通支架,临时制备了一个简单的带膜支架。推送时避免过度用力导致支架表面外膜脱落,植入时要求支架准确定位。对于Ⅲ型穿孔,有时需要植入带膜支架,特别是需要保持非梗死相关血管持续开放时。④拮抗抗凝作用。初期冠脉穿孔(特别是Ⅰ型和Ⅱ型穿孔),应在努力封闭破口的同时继续抗凝,以防止冠脉内血栓形成。但如果破口较大特别是Ⅲ型穿孔、长时间低压球囊扩张后仍有造影剂持续外渗时,应停用肝素和GP Ⅱb/Ⅲa受体拮抗剂,加用鱼精蛋白中和肝素应十分谨慎,有引发支架内血栓形成危险,特别对于非穿孔血管内的支架,一旦形成血栓将加重病情,可考虑输注血小板(6~10单位)和新鲜血浆。本例患者冠脉破口较大,经长时间低压扩张球囊不能闭合,且仅在梗死相关血管植入支架,故使用少量鱼精蛋白部分中和肝素,并继续双重抗血小板等治疗。
来源:《心脏病学实践2011——新进展与临床案例》
作者:胡大一 马长生
参编:张心刚 方圻 刘力生 杜昕 乔岩
页码:601-602
出版:人民卫生出版社
- 评价此内容
- 我要打分
近期推荐
热点文章
热门关键词
合作伙伴
Copyright g-medon.com All Rights Reserved 环球医学资讯 未经授权请勿转载!
网络实名:环球医学:京ICP备08004413号-2
关于我们|
我们的服务|版权及责任声明|联系我们
互联网药品信息服务资格证书(京)-经营性-2017-0027
互联网医疗保健信息服务复核同意书 京卫计网审[2015]第0344号




会员登录

