罕见的心脏嗜铬细胞瘤在诊治上有何特殊性?
肾上腺外的嗜铬细胞瘤也称为副神经节瘤,多发于腹部。原发于心脏的嗜铬细胞瘤源于副神经节和内脏自主神经副神经节,最多见于左心房。由于肿瘤常累及瓣膜或冠状动脉血供,手术切除困难,预后一般较差。心脏嗜铬细胞瘤较少见,其临床表现有哪些?如何定位诊断和治疗?详见以下3则精选病例——
病例1
【病例资料】
患者男性,17岁。
主诉:多汗、头痛、心悸,发现血压高3年。
【体格检查】
一般情况:体温:37℃,脉搏:120次/分,血压:150/110mmHg,呼吸:20次/分。体格检查无特殊。
专科情况:双肾、输尿管、膀胱区未见异常。
【辅助检查】
实验室检查:24小时尿儿茶酚胺:NE:737.77μg/24h(28.67μg/24h±11.98μg/
4h);E:1.84μg/24h(4.08μg/24h±2.34μg/24h);DA:823.0μg/24h(225.76μg/ 4h±104.83μg/24h)。
影像学检查:
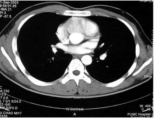
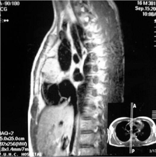
肾上腺CT未见异常;UCG未见心脏肿瘤;MIBG未见嗜铬细胞瘤征象;奥曲肽显像提示心脏内放射性浓聚区;再次复查UCG提示主动脉起始部前壁直径cm左右肿物,突出于右室流出道;CT示主动脉前壁肿瘤,与周围结构分界不清图31-1);MR(T2像)示主动脉前壁肿瘤,与周围结构分界不清(图31-2);冠状动脉造影(RCA)示右冠状动脉近段被肿物压迫闭塞,可见肿物血管影。

图31-1 CT示主动脉前壁肿瘤

图31-5 颈部CT示双侧颈动脉分叉处肿瘤
【治疗经过】
1. 给予α及β受体阻滞剂准备3个月余,效果不佳。
2. 手术治疗。于2003年12月29日于全麻、体外循环下行肿瘤切除术。术后病理:心脏嗜铬细胞瘤。
3. 术后患者恢复良好。术后第1天复查24小时尿儿茶酚胺:NE:171.24μg/ 24h;E:11.31μg/24h;CA:463.40μg/ 24h。术后两周复查24小时尿儿茶酚胺基本正常后出院。
术中所见:术中见肿瘤位于主动脉根部前壁,与主肺动脉根部、右室流出道粘连紧密,3cm×4cm大小(图31-3)。右冠状动脉细小。沿肿瘤包膜外切除肿瘤。行右冠状动脉近段结扎,将右冠状动脉肿瘤供血部分切除。以人工血管内衬自体心包修补主动脉,自体心包片修补主肺动脉前壁。

图31-3 术中所见
病例2
【病例资料】
患者女性,35岁。
主诉:阵发头痛、心悸、大汗及血压增高3年。
【体格检查】
一般情况:体温:36.7℃,心率:92次/分;血压:200/140mmHg;呼吸:20次/分。
专科情况:主动脉瓣及二尖瓣听诊区可闻及Ⅱ/Ⅵ级收缩期杂音,余体格检查无特殊。
【辅助检查】
实验室检查:24小时尿儿茶酚胺(第1次):NE:1778.92μg/24h(28.67μg/24h±11.98μg/24h);E:12.4μg/24h(4.08μg/24h±2.34μg/24h);DA:1517.47μg/24h(225.76μg/24h±104.83μg/24h);24小时尿儿茶酚胺(第2次):NE:1243.96μg/24h;E:16.03μg/24h;DA:926.89μg/24h。
影像学检查:
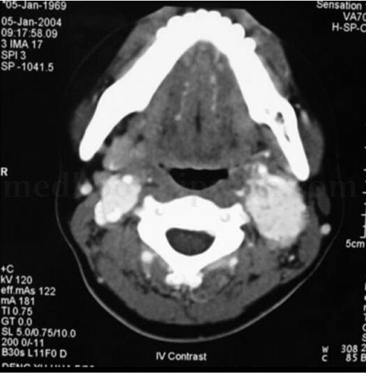
腹部CT未见异常;UCG提示左室肥厚,舒张功能降低;MIBG(-);奥曲肽显像示双侧颈动脉及纵隔右前方异常放射性浓聚区,考虑多发异位嗜铬细胞瘤;心脏增强CT显示心脏后方肿瘤(图31-4);颈部增强CT见左、右侧颈动脉分叉处直径5cm、3cm肿瘤(图31-5);冠脉造影回旋支近段发出心房支向瘤体供血,造影中有两次血压突然增高,最高达200/125mmHg,经硝普钠等治疗后可控制正常。

图31-4 心脏增强CT示心脏后方肿瘤

图31-5 颈部CT示双侧颈动脉分叉处肿瘤
【治疗经过】
药物准备近2个月效果不佳,2004年4月行体外循环辅助下心脏肿瘤切除术。手术过程顺利,术后血压控制稳定,有可疑心肌梗死。术后奥曲肽显像提示与术前相比心脏内放射性浓聚区消失,颈部放射性浓聚区无改变。
病例3
【病例资料】
患者男性,40岁。
主诉:发作性大汗、心悸、胸闷及血压增高两年。
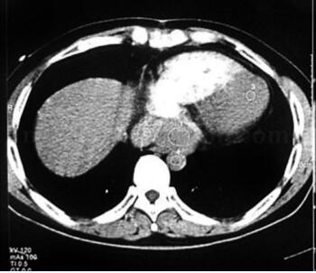
现病史:患者经超声心动图(UCG)发现心房内5cm×5cm肿物,查MRI证实心脏后下方肿瘤(图31-6)。诊断考虑“心脏肿瘤”于2003年11月在外院行手术治疗。术中见肿瘤源于房间隔,向左右房内突出,术后病理多方会诊为副神经节瘤,术后高血压明显缓解。术后两周查PET提示左房区域仍有代谢增高灶,术后1个月因心悸入我院,检查:心率150~170次/分,ECG示阵发性室上性心动过速,房室结折返,UCG房间隔回声增强,24小时尿儿茶酚胺基本正常,心脏T提示左房后下方见肿瘤(图31-7),MIBG(-),奥曲肽显像示左房部位异常放射性浓聚区临床症状轻,肿瘤基本无功能且呈地毯状生长。由于手术风险大,不考虑再次手术,仅因心律失常行射频消融治疗。

图31-6 MR(T2像)示心脏后下方肿瘤

图31-7 术后CT示心脏肿瘤残留
【讨论内容】
文献综述:肾上腺外的嗜铬细胞瘤也称为副神经节瘤,可发生于神经外胚层来源的所有组织,如交感神经节、交感神经链、腹主动脉旁副神经节等,占嗜铬细胞瘤的10%,且多发于腹部,其他部位的嗜铬细胞瘤仅占1%~2%。原发于心脏的嗜铬细胞瘤源于副神经节(心房或房间隔)和内脏自主神经副神经节(如源于鳃弓-冠状动脉、肺动脉或主动脉弓),最多见于左心房。由于肿瘤常累及瓣膜或冠状动脉血供,手术切除困难,预后一般较差。自1974年Besterman等首次报道成功切除1例心脏嗜铬细胞瘤以来,迄今文献报道51例。心脏嗜铬细胞瘤发病年龄为13~61岁,女性多于男性(女性占61%~75%)。与肾上腺嗜铬细胞瘤不同,心脏嗜铬细胞瘤生长方式更具侵袭性。
我院近十年来共收治嗜铬细胞瘤患者161例,肾上腺外患者46例,占28.5%,心脏嗜铬细胞瘤3例,占1.86%,其中近三年来共收治83例,肾上腺外患者29例,占34.9%。
诊断方面:
1. 临床表现:心脏嗜铬细胞瘤临床表现与儿茶酚胺水平、肿瘤大小、与正常心肌竞争血供及转移所致疼痛症状有关。与一般嗜铬细胞瘤相似,高血压及阵发性头痛、心悸和大汗可见于多数心脏嗜铬细胞瘤,但症状发作情况不如一般嗜铬细胞瘤剧烈。少数患者有胸闷等心肌缺血表现。故对某些因心肌缺血表现就诊的患者,如有上述三联征、血压不稳定等不典型表现者,不应简单认为是冠心病表现而简单处理,否则在冠脉造影甚至扩张或支架置入等操作过程中可能会出现血流动力学急骤改变等情况而难以处理。
2. 实验室检查:嗜铬细胞瘤最佳的筛查方法依赖于实验室检查,目前用于筛查嗜铬细胞瘤实验室检查项目至少有21种。99%的肾上腺嗜铬细胞瘤24小时尿甲基肾上腺素或儿茶酚胺高于正常水平,但文献报道心脏嗜铬细胞瘤实验室检查也可能正常。
3. 心脏嗜铬细胞瘤定位诊断:心脏嗜铬细胞瘤定位诊断较为困难,131I-MIBG显像对嗜铬细胞瘤检测的敏感性为88%,特异性达99%,Sawka等亦报道心脏嗜铬细胞瘤131I-MIBG检查的假阴性结果。与131I-MIBG对神经嵴起源的肿瘤很高的特异性相比,生长抑素受体显像特异性较低,在多种其他肿瘤、肉芽肿和自身免疫性疾病经常有阳性结果。但对心脏嗜铬细胞瘤具有更高的灵敏性和诊断价值。
MRI和CT对明确和证实心脏嗜铬细胞瘤并了解其形状特点、周围浸润方面有重要价值,CT要求为高速增强CT,而慢速CT不能适应心脏处于快速运动中的特点,亦难以捕捉肿瘤与心脏腔室增强剂摄取差异的短暂时刻。与CT相比,MRI对软组织有更高的分辨率和敏感性,嗜铬细胞瘤MRI在T2像中呈高信号,而心脏血流在T2像中呈低信号,因而MRI诊断心脏嗜铬细胞瘤较CT扫描更具优势。超声心动图对发现心脏嗜铬细胞瘤意义值得研究,文献报道普通超声心动图和经食道超声心动图对心脏嗜铬细胞瘤均有很高的检出率(4/5和7/7),并总结出其特征为“位于房室间沟邻近心外膜冠状动脉的卵圆形、颗粒状肿瘤”,将经食道超声列为最有效的检出手段之一。冠脉造影有利于明确肿瘤血供情况,指导手术设计及术前准备,但操作风险大,宜作充分准备。
4. 治疗 心脏嗜铬细胞瘤的治疗必须考虑恶性高血压及心律失常的预防,手术切除视肿瘤的具体情况,包括单纯肿瘤切除,或同时行心脏结构的重建,甚至原位心脏移植。术前评估应包括明确多发或转移病灶,这主要依赖于31I-MIBG和生长抑素受体显像;冠状动脉造影对明确肿瘤血供及是否累及冠状动脉有利,超声心动图、MRI及动态增强CT等检查有利于明确肿瘤局部侵袭破坏,有助于术前明确和准备心脏结构的重建,甚至准备心脏移植(主要针对侵及房室间沟、左心室,累及三尖瓣等难以完整切除肿瘤和需心脏重建的病例)。体外循环对心脏嗜铬细胞瘤手术并非绝对必要,选择与否决定于肿瘤部位、范围及血供情况。但体外循环可使心脏在手术过程中与体循环分开,减少血管活性物质对体循环的影响,有助于避免和减少术中出现大的血流动力学波动。本组2例患者体外循环下行肿瘤手术切除时,血流动力学改变不似设想中剧烈,可能与体外循环下手术时肿瘤激素不进入全身循环有关。
手术并发症包括术中大出血导致死亡(20%)、心肌梗死(12%)、切除不完全12%)、心律失常及血流动力学不稳定。心脏嗜铬细胞瘤手术常涉及心脏结构的重建,术前应进行充分准备。
【专家点评】
心脏嗜铬细胞瘤切除后,患者三联征及血压增高等表现常有缓解,成功切除肿瘤可永久治愈或减轻临床症状,文献报道手术成功率可达80%以上,术后平均生存期4~108个月。由于心脏嗜铬细胞瘤血供丰富,呈侵袭性生长,与周围重要组织结构粘连,一般难以达到根治性切除。心脏嗜铬细胞瘤的病程复杂,术后仍有可能不能肯定病变的性质,复发与否难以预料,术后应注意随诊或辅以其他非手术治疗,如核素内放射治疗等。
参考文献:
1. Whalen RK,Althausen AF,Daniels GH. Extra-adrenal pheochromocytoma.J Urol,1992,147(1):1-10.
2. Besterman E,Bromley LL,Peart WS. An intrapericardial phaeochromocytoma. Br Heart J,1974,36(3):318-320.
3. Osranek M,Bursi F,Gura GM,et al. Echocardiographic features of pheochromocytoma of the heart. Am J Cardiol,2003,91(5):640-643.
4. Yamaguchi S,Hida K,Nakamura N,et al. Multiple vertebral metastases from malignant cardiac pheochromocytoma—case report. Neurol Med Chir(Tokyo),2003,43(7):352-355.
5. Jeevanandam V,Oz MC,Shapiro B,et al. Surgical management of cardiac pheochromocytoma. Resection versus transplantation. Ann Surg,1995,221(4):415-419.
6. Lin JC,Palafox BA,Jackson HA,et al. Cardiac pheochromocytoma:resection after diagnosis by 111-indium octreotide scan. Ann Thorac Surg,1999,67(2):555-558.
7. Fitzgerald PJ,Ports TA,Cheitlin MD,et al. Intracardiac pheochromocytoma with dual coronary blood supply:case report and literature review. Cardiovasc Surg,1995,3(5):557-561
8. JebaraVA,Uva MS,Farge A,et al. Cardiac pheochromocytomas. Ann Thorac Surg,1992,53(2):356-361
9. Young WF Jr. Pheochromocytoma:how to catch a moonbeam in your hand. Eur J Endocrinol,1997,136(1):28-29
10. Kudva YC,Young WF Jr. Sensitivity of 24-hours urine metanephrines and fractionated catecholamines in benign sporadic adrenal pheochromocytoma. In:Program and Abstracts of 79th AnnualMeeting of the Endocrine Society. Minneapolis,1997,106
11. Sawka AM,Young WF Jr,Schaff HV. Cardiac phaeochromocytoma presenting with severe hypertension and chest pain. Clin Endocrinol(Oxf),2001,54(5):689-692
12. Tenebaum F,Lumbroso J,Schlumberger M. et al. Comparison of radiolabeled octreotide and meta-iodobenzylguanidine(MIBG)scintigraphy in malignant pheochromocytoma.J Nucl Med,1995,36(1):1-6
13. Quint LE,Glazer GM,Francis IR,et al. Pheochromocytoma and paraganglioma:comparison of MR imaging with CT and 131I-MIBG scintigraphy. Radiology,1987,165(1):89-93
14. Orringer MB,Sisson JC,Glazer G,et al. Surgical treatment of cardiac pheochromocytomas. J Thorac Cardiovasc Surg,1985,89(5):753-757
来源:《泌尿外科疑难病例讨论精选》
作者:那彦群 陈山
参编:王建业 王晓峰 李汉忠 万奔 马潞林
页码:141-142
出版:人民卫生出版社
- 评价此内容
- 我要打分
近期推荐
热门关键词
最新会议
- 2013循证医学和实效研究方法学研讨会
- 欧洲心脏病学会年会
- 世界帕金森病和相关疾病2013年会议
- 英国介入放射学学会2013年第25届年会
- 美国血液学会2013年年会
- 美国癫痫学会2013年第67届年会
- 肥胖学会 2013年年会
- 2013年第9届欧洲抗体会议
- 国际精神病学协会 2013年会议
- 妇科肿瘤2013年第18届大会
- 国际创伤压力研究学会2013年第29届…
- 2013年第4届亚太地区骨质疏松症会议
- 皮肤病协会国际2013年会议
- 世界糖尿病2013年大会
- 2013年国际成瘾性药年会
- 彭晓霞---诊断试验的Meta分析
- 武姗姗---累积Meta分析和TSA分析
- 孙凤---Network Meta分析
- 杨智荣---Cochrane综述实战经验分享
- 杨祖耀---疾病频率资料的Meta分析
合作伙伴
Copyright g-medon.com All Rights Reserved 环球医学资讯 未经授权请勿转载!
网络实名:环球医学:京ICP备08004413号-2
关于我们|
我们的服务|版权及责任声明|联系我们
互联网药品信息服务资格证书(京)-经营性-2017-0027
互联网医疗保健信息服务复核同意书 京卫计网审[2015]第0344号




会员登录

