肝脏占位已经吓掉半条命 更可怕的是肝区还出现了叩痛感
57岁男性患者,乏力1个月,发现肝脏占位1周。40岁女性患者,体检发现肝脏占位1周。两名患者肝区均出现叩痛感,经查体及影像学检查,最终被诊断为……
【病例1介绍】
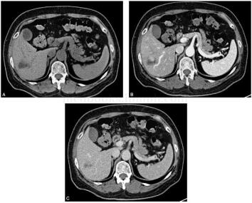
患者,男性,57岁,主诉:乏力1个月,发现肝脏占位1周。病来患者自觉乏力,无发热,无腹痛、腹胀,无血及黑便,体重未见下降。既往否认肝炎、结核病史。查体:皮肤及巩膜无黄染,腹软,无压痛,无反跳痛及肌紧张,未触及局部包块,肝脾肋下未及,墨菲征(-),肝区叩痛(+),移动性浊音(-)。AFP:8ng/ml。CT增强检查如图1。

图1 CT增强扫描:术前考虑肝脏炎性假瘤。CT平扫显示肝S6段稍低密度灶,边界模糊,中心见更低密度区,增强扫描后动脉期呈结节样强化,静脉期结节强化减弱,略低于周围肝实质,增强各时相病变内见未强化区
【病例2介绍】
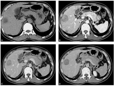
患者,女性,40岁,主诉:体检发现肝脏占位1周。病来患者无发热,无腹痛、腹胀,无血及黑便,体重未见下降。既往否认肝炎、结核病史。有长期口服避孕药史。查体:皮肤及巩膜无黄染,腹软,无压痛,无反跳痛及肌紧张,未触及局部包块,肝脾肋下未及,墨菲征(-),肝区叩痛(-),移动性浊音(-)。AFP:12ng/ml。CT增强检查如图2。

图2 CT增强扫描:考虑肝细胞腺瘤。CT平扫显示肝S5段稍低密度灶,边界模糊,增强扫描后动脉期呈结节样强化,门脉及静脉期结节强化减弱,低于周围肝实质
【诊断】
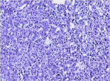
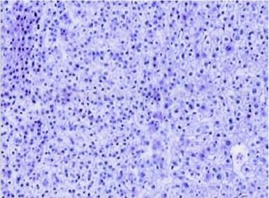
肝细胞性肝癌(hepatocellular carcinoma,HCC)(图3、图4)

图3 病理回报为肝细胞癌(高分化型)

图4 病理回报为肝细胞性肝癌(高分化型)
一、概述
肝细胞性肝癌(HCC)是原发性肝癌最常见的类型,占90%以上。中国肝癌死亡率为10.09/10万人。在男性中占癌症的第3位,在女性中占第4位。其发病率我国呈明显增高趋势,早期诊断、早期治疗对于HCC患者意义重大。
【流行病学特征】
中国的HCC发病率比欧美高5~10倍。流行病学调查表现,中国肝癌发病率以东南沿海最高,高达55.63/10万人,死亡率为47.93/10万人。
世界各地肝癌发病率以非洲撒哈拉沙漠以南和亚洲沿海地区发病率较高,欧、美则较低。本病可发生于2个月婴儿至80岁老人,最多发病年龄为40~49岁。男性多发,男女之比为6∶1。
【病因】
肝细胞癌的确切病因迄今尚未完全明了。目前研究表明,HCC与下述因素有关。
1.病毒性肝炎 :在中国,慢性病毒性肝炎是HCC诸多致病因素中最主要病因。观察表明:乙型肝炎病毒感染与肝癌发病率密切相关。在乙型肝炎及肝硬化患者中肝癌发病率较一般人群高9~10倍,免疫组织化学和电镜研究中均显示肝癌周围的肝硬化组织中有HBsAg存在(70%~88%)。肝癌组织中也可发现有HBsAg及乙型肝炎核心抗原(HBcAg)。分子杂交技术表明乙肝病毒DNA与人肝细胞及肝癌细胞的DNA相整合,但DNA整合对肝癌的发生意义还待研究。
2.肝硬化:在中国,原发性肝癌主要在病毒性肝炎后肝硬化基础上发生的;在欧美国家,肝癌常在酒精性肝硬化的基础上发生的。
3.黄曲霉毒素:动物实验证明黄曲霉毒素为很强的致癌物质。
4.饮用水污染。
5.遗传因素。
6.其他:亚硝胺、有机氯杀虫剂、偶氮芥类等均为值得重视的致癌因素。
【病理】
肝细胞性肝癌的病理学特征如下:
1.大体特点
一般分为:①块状型:直径在5cm以上;②巨块型:直径在10cm以上,可呈单块、多块和合块状,占77.8%;③结节型:癌结节直径在5cm以下,可有多个结节,占18.8%;④弥漫型癌结节弥散分布,占1.45%;⑤小癌型:指单结节小于3cm者,占1.93%。
2.组织学形态
癌细胞起源于肝实质细胞。分化较好者,癌细胞类似肝细胞,分化差者,癌细胞异型性明显,呈多边形,胞浆丰富,呈颗粒状,明显嗜酸性染色,有时可见胆汁小滴,胞核大深染,可见多核分裂,癌细胞排列呈条索状或巢状,其间血窦丰富,无其他间质。
【临床表现】
HCC多见于男性,起病隐匿,早期缺乏典型症状。有些早期病例,仅甲胎蛋白检测阳性而无症状和体征。
中、晚期肝癌症状如下:①肝区疼痛,多呈持续性肿痛或钝痛;②肝、脾肿大,肝大质地坚硬,表面凹凸不平;③黄疸晚期可出现;④肝硬化征象伴有肝硬化门静脉高压者可有脾大、腹水、静脉侧支循环形成等表现;⑤恶性肿瘤的全身性表现有进行性消瘦、食欲不振、发热、乏力、营养不良和恶病质等,少数肝癌者,可有特殊的全身表现,称为伴癌综合征。以自发性低血糖症、红细胞增多症较常见,其他罕见的有高血脂、高血钙、类癌综合征等;⑥转移灶症状肝内血行转移早,多数转移至肺、肾上腺、骨、胸腔、脑等部位引起相应的症状。
【治疗与预后】
肝癌的并发症主要为消化道出血、肝癌结节破裂、肝功能衰竭、感染等,这些并发症往往是导致肝癌死亡的直接原因。手术切除是目前治疗HCC的首选方法。但部分患者发现时已为晚期,只能选择介入治疗、化疗等姑息性治疗方法。
二、影像学表现
大部分HCC,依据典型的临床表现、实验室以及CT和MRI等影像学检查易于诊断。但对于部分肝炎、肝硬化病史阴性、AFP检查阴性的HCC病例,有时影像学检查可误诊。
(一)超声
超声主要作为肝炎、肝硬化患者随访的首选方法。
典型的HCC超声检查表现为:
1.包膜:直径<3cm的肝癌结节常常包膜完整。在二维声像图上可显示一圈细薄的低回声膜包围整个癌肿结节。包膜的厚度估测<0.5mm。声像图上包膜比较光滑均匀,形态规则,呈圆形或椭圆形。肝癌体积很大时,其包膜一般模糊不清内部回声。
2.癌结节内部回声高低不一,且具多变倾向。表现为低回声结节、高回声结节、混合性结节、等回声结节,其中混合性结节多见。
3.彩色多普勒超声可识别肝癌结节的流入血管、流出血管,流入血管可为肝动脉,也为门静脉。瘤内血管表现为树干状、彩点状或彩色镶嵌的簇状斑块;
4.癌栓:癌栓可出现在门静脉系统、肝静脉系统或胆道系统。
不典型HCC的超声表现:
1.少血管型肝癌:肝癌早期(<2cm)内部及周围常难检出彩色血流,需要应用单纯二维法予以观察鉴别。结节周围暗环、内部回声不均、后方增强及侧后声影四项可作为诊断的依据;
2.弥漫型肝癌:肝内弥漫分布的小病灶,在声像图上既无明显包膜,又不能观察癌结节的血供规律,很难单纯依据超声予以明确诊断。
(二)典型HCC的CT及MRI表现
CT和MRI对于典型的HCC容易作出正确诊断。
1.CT
HCC多继发于肝硬化的基础上发生。在平扫时肝脏体积缩小,肝叶比例失调,肿瘤呈类圆形或结节状,呈稍低密度影,病变边界模糊。
CT动态增强扫描对于HCC的诊断和鉴别诊断具有重要的价值。典型HCC的强化特点为“快进快出”型,即动脉期肿瘤明显强化,程度高于周围肝实质,门脉及延迟期肿瘤强化减弱,低于周围正常组织,同时可显示门脉癌栓等肿瘤侵袭、转移的征象。
2.MR
是目前诊断小肝癌首选的检查方法。
平扫表现为长T1和长T2信号,与肝实质分界欠清楚。
MRI增强扫描强化特点同CT增强扫描。
(三)不典型HCC的CT及MRI表现
HCC不典型的CT及MRI表现可有多种征象,本文仅对其主要一种征象进行详述。即“壁结节征”。
此类肝癌病理类型上属于少血供肝细胞癌,术后病理多为高分化。病变部分或大部分为坏死组织,而残留的肝癌组织位于肿瘤周边部或于周边部形成假包膜。
1.CT
平扫表现为低密度或稍低密度肿物,坏死区边界较清楚,增强扫描后动脉期可见明显的不均匀强化,其中壁结节明显强化,程度高于周围肝实质,门脉及静脉期壁结节强化减弱,此与典型肝细胞癌的“快进快出”相似;而肿瘤部分或大部分坏死区未见强化。
2.MRI
MRI扫描较CT具有更高的组织分辨率,对于壁结节的显示较CT更为清楚。平扫时病变呈稍长T1稍长T2信号为主的混杂信号,其内可见长T2信号的坏死区。增强扫描后壁结节动脉期明显强化,门脉及延迟期强化减弱,而坏死区未见强化。
HCC不典型CT、MRI表现还包括肿瘤囊变、无假包膜、动态扫描强化无特征等征象,多与相应的病理改变相一致。
3.DSA
不典型HCC的DSA造影表现为肿瘤局部呈现富血供肿瘤改变,供血动脉增粗,有肿瘤染色,但肿瘤染色区较CT、MRI显示病变范围小,主要原因为肿瘤坏死区未见染色。可有动静脉或动门脉血管短路。
三、鉴别诊断
1.肝细胞腺瘤
(1)肝细胞腺瘤无肝硬化病史,AFP多为阴性,女性常见,可有口服避孕药史;肝细胞癌大部分都有肝炎、肝硬化病史,AFP明显增高;
(2)肝细胞腺瘤增强各期强化程度均高于正常肝实质,肝细胞癌增强扫描呈现“快进快出”的特点,对于不典型HCC,应注意其常见的一些特征性的改变。
2.肝血管瘤
(1)肝血管瘤无肝硬化病史,AFP多为阴性;肝细胞癌大部分都有肝炎、肝硬化病史,AFP明显增高;
(2)肝血管瘤呈现典型的“快进慢出”强化方式,动脉期虽然也可见结节样强化;但强化为持续性,不典型HCC也可表现为壁结节强化征,但门脉期及延迟期强化将减弱。
3.肝脏炎性假瘤
(1)肝炎性假瘤无肝硬化病史,AFP多为阴性;肝细胞癌大部分都有肝炎、肝硬化病史,AFP明显增高;
(2)炎性假瘤动脉期无明显强化,门脉及静脉期可边缘强化。
【参考文献】
1.Kim SR,Imoto S,Nakajima T.Scirrhous hepatocellular carcinoma displaying atypical findings on imaging studies.J World J Gastroenterol,2009,15(18):2296-2299
2.Buabse F,Aybar I,Usandivaras J.Hepatocellular carcinoma:atypical presentation.Cir Esp,2006,80(6):412-413
3.Kudo M.Atypical large well-differentiated hepatocellular carcinoma with benign nature:a new clinical entity.Intervirology,2004,47(3-5):227-237
4.Yan W,Liu P,Gao W,Atypical manifestation of hepatocellular carcinoma by triple-phase spiral CT scan.Zhonghua Zhong Liu Za Zhi,2002,24(6):585-588
5.UyBarreta V,Mikesh C,Simmons B.Atypical presentation of hepatocellular carcinoma.South Med J,2000,93(5):516-519
6.Cheng AE,Yee CA,Saul R.Atypical scintigraphic presentation of hepatocellular carcinoma.Clin Nucl Med,1994,19(6):486-487
7.郭启勇.实用放射学.第3版.北京:人民卫生出版社,2007
(环球医学编辑:余霞霞)
来源:《疑难病例影像诊断评述》
作者:郭启勇 卢再鸣
页码:154-158
出版:人民卫生出版社
- 评价此内容
- 我要打分
近期推荐
热门关键词
最新会议
- 2013循证医学和实效研究方法学研讨会
- 欧洲心脏病学会年会
- 世界帕金森病和相关疾病2013年会议
- 英国介入放射学学会2013年第25届年会
- 美国血液学会2013年年会
- 美国癫痫学会2013年第67届年会
- 肥胖学会 2013年年会
- 2013年第9届欧洲抗体会议
- 国际精神病学协会 2013年会议
- 妇科肿瘤2013年第18届大会
- 国际创伤压力研究学会2013年第29届…
- 2013年第4届亚太地区骨质疏松症会议
- 皮肤病协会国际2013年会议
- 世界糖尿病2013年大会
- 2013年国际成瘾性药年会
- 彭晓霞---诊断试验的Meta分析
- 武姗姗---累积Meta分析和TSA分析
- 孙凤---Network Meta分析
- 杨智荣---Cochrane综述实战经验分享
- 杨祖耀---疾病频率资料的Meta分析
合作伙伴
Copyright g-medon.com All Rights Reserved 环球医学资讯 未经授权请勿转载!
网络实名:环球医学:京ICP备08004413号-2
关于我们|
我们的服务|版权及责任声明|联系我们
互联网药品信息服务资格证书(京)-经营性-2017-0027
互联网医疗保健信息服务复核同意书 京卫计网审[2015]第0344号




会员登录

