同样是脾脏占位:一患者脾区叩痛 另一位却无触痛
38岁女性患者,主诉上腹部不适1年,体检发现脾脏占位5天;27岁女性患者,主诉体检发现脾大占位性病变1周。经查体及影像学检查,两名患者原来是得了这种病。
【病例1介绍】
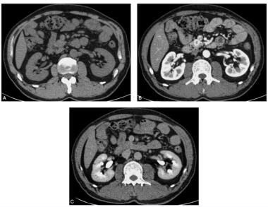
患者,女性,38岁,主诉:上腹部不适1年,体检发现脾脏占位5天。病来患者无腹泻,无呕血及黑便,二便正常。既往否认肝炎病史。查体:皮肤及巩膜无黄染,无局部隆起性包块,全腹软,无压痛,无反跳痛及肌紧张,未触及局部包块,肝脾肋下未及,墨菲征(-),脾区叩痛(+),移动性浊音(-)。CT增强,平扫时脾脏前部可见稍低密度肿块影,与脾脏实质分界欠清楚,动脉期肿块明显强化,高于周围肝实质,门脉期持续强化,高于周围脾脏实质,延迟期强化程度同周围正常组织(图1)。

图1 CT增强扫描:脾脏血管瘤。平扫脾脏前部可见稍低密度肿块影,与脾脏实质分界欠清楚,动脉期肿块明显强化,高于周围肝实质,门脉期持续强化,高于周围脾脏实质,延迟期强化程度同周围正常组织
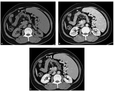
患者,女性,27岁,主诉:体检发现脾大占位性病变1周。病来患者无腹痛、腹胀,无发热,无齿龈出血。否认肝炎、结核病史。查体:皮肤及巩膜无黄染,腹软,无压痛,无反跳痛及肌紧张,未触及局部包块,脾肋下2cm可触及,边界清楚,质韧、活动可,无触痛,移动性浊音(-)。血常规:WBC:8.4×109/L,RBC:4.1×1012/L,PLT:125×109/L。CT增强,平扫显示脾脏增厚,其内多发稍低密度肿块影,与脾脏实质分界欠清楚,动脉期肿块强化不明显,边缘似见强化,静脉期强化仍低于周围正常组织(图2)。

图2 CT增强扫描:术前诊断脾脏淋巴瘤。平扫脾脏增厚,其内多发稍低密度肿块影,与脾脏实质分界欠清楚,动脉期肿块强化不明显,边缘似见强化,静脉期强化仍低于周围正常组织
【诊断】
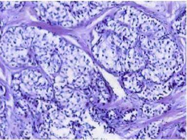
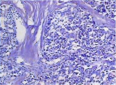
脾脏血管瘤(splenic hemangioma)(图3、图4)

图3 病理回报为脾脏血管瘤

图4 病理回报为脾脏血管瘤
一、概述
脾血管瘤(splenic hemangioma)为脾脏最常见的良性肿瘤,系脾血管组织的胚胎发育异常所致。可同时合并肝、皮肤、骨骼等多处的血管瘤,即作为全身血管瘤病的一部分。
【流行病学特征】
脾血管瘤在脾脏良性肿瘤中,发生率仅低于脾囊肿。尸检发现率为0.3%~14%,好发年龄为20~60岁,成人以海绵状血管瘤多见,儿童多为毛细血管瘤。女性患者稍多,大多数文献报告男女之比为8∶9。单发也可多发。
【病因】
通常认为脾脏血管瘤是由脾血管组织胚胎发育异常所致:血管异常增生扩张形成腔窦或腔隙构成。可以是原发性脾血管瘤,也可以是系统性血管瘤病的并发病变。
【病理】
脾血管瘤是先天性发育畸形的血管不断扩张在脾内形成错构瘤样血管瘤,病理形态上可分为结节型和弥漫型,往往无明显包膜,有时可呈含血凝块的囊腔形成,单结节脾可不肿大,多结节常伴脾肿大,弥漫型整个脾显示海绵状甚至呈囊性外观,脾肿大明显。病理组织学可分为海绵状血管瘤、毛细血管瘤及静脉性血管瘤。以海绵状血管瘤为最多见。大体病理表现为蓝-红色的膨胀性的结节,可单发也可多发。肿瘤大者内部可发生血栓、机化、纤维化、钙化及出血坏死囊变等。其基本的病理表现为小的毛细血管扩张,血管内皮细胞受压变扁平,血管腔内充满血液,并可见血栓形成、梗死、感染、纤维化及钙化等继发性病变。
【临床表现】
脾脏血管瘤因肿瘤生长缓慢,起病隐匿,病程较长,病史可长达数年甚至数十年以上。大部分脾脏血管瘤患者无自觉症状,多为体检时偶尔发现;当血管瘤增大压迫周围脏器时才出现症状,如上腹不适,饱胀感,隐痛,食欲不正常。有时病人并发脾功能亢进,表现为脾肿大,白细胞,血小板,红细胞减少而就诊,或发生脾破裂急诊入院。
【治疗与预后】
对于无自觉症状的脾脏血管瘤可密切随访、定期复查。但对于靠近脾脏被膜下的较大血管瘤,文献报道破裂的发生率可高达25%,所以对于此类血管瘤或良恶性肿瘤临床鉴别较为困难者,主张手术治疗,可考虑节段性脾切除或全脾切除后予以健康脾组织自体异位移植,尽可能保留脾脏的功能。
二、影像学表现
脾脏血管瘤的术前诊断主要通过影像学检查,彩超、CT和MRI等检查都有助于脾脏血管瘤的发现和定性,提高脾脏血管瘤的确诊率。
(一)超声
超声检查是一种简单、经济的方法,对脾脏血管瘤有较高的检出敏感性,有助于早期发现无临床症状的血管瘤,并可随访观察,为临床进行及时有效的治疗提供参考依据。
脾血管瘤的声像图表现,与肝血管瘤相似,可为单个或多个结节,呈边界清晰的高回声团块,无声影,肿块边缘欠光滑,有的可见周围血管进入病灶的边缘裂隙现象。瘤体内回声一致,其间可见回声较低的圆点状或细管状结构。较大者表现为分布不均匀的弱回声,混合回声或瘤体内血窦形成的不规则无回声区,当有纤维化时,回声呈现不均匀性增高。
多发性脾血管瘤可使脾脏不同程度肿大和外形改变。CDFI显示肿块周边有绕行的动脉和门静脉样血流,内部无血流显示。使用声诺维等造影剂行超声造影检查时,血管瘤可见环状向心性填充强化的特征性表现。
(二)典型脾脏血管瘤的CT及MRI表现
CT和MRI动态增强扫描被认为是目前确诊脾脏血管瘤的主要方法。延迟扫描观察其血流动力学特征,具有重要的诊断价值。
1.CT
CT平扫时本病呈低密度或略低密度肿块,病变可单发或多发,其边界较清楚,密度均匀。螺旋CT动态增强扫描中有其典型的强化征象,对于脾脏血管瘤的诊断有重要价值。典型的表现为:血管瘤动脉期先于肿瘤边缘呈粗斑点状强化,随强化时间延长,造影剂逐渐向中心充填,延迟后与正常脾脏密度一致。这种“持续强化”的征象与其病理学基础相吻合。因为大部分脾脏血管瘤虽然含有丰富的血液,但血流缓慢,所以肿瘤持续强化,并呈现“快进慢出”改变。一般于对比剂注入4分钟后肿瘤全部染色增强。
2.MR
信号改变类似于肝脏海绵状血管瘤。在T1WI上为低信号,T2WI为高信号,且随TE时间的延长,信号强度递增。重T2WI可显示“灯泡征”。增强扫描亦呈“持续强化”的特征,动脉期肿瘤边缘呈结节状强化,随后造影剂逐渐向中心充填,延迟后可与正常脾脏信号一致。
(三)不典型脾脏血管瘤的影像表现
血管瘤较大者中央可有瘢痕形成,CT平扫表现为病灶内更低密度区。部分病变内合并出血时,呈高密度。合并钙化时,表现为散在的点状、星芒状的钙化点或者肿瘤边缘的线样钙化。增强扫描时病变亦呈“快进慢出”的强化特点,但因病变内合并出血、坏死或瘢痕形成时,血流缓慢,上述动态变化更为缓慢,中心可有始终不强化区域。MR表现如肿瘤中心有血栓形成、瘢痕存在时,此部分T1WI表现为更低信号,T2WI呈等信号或低信号。合并出血时,T1WI呈现为高信号改变,T2WI呈现稍高或低信号。增强扫描后病变呈现不均匀强化改变,中心可见始终未强化区。
(四)DSA
DSA造影特征性改变为动脉相,早期可见棉花团样或雪花状浓影,由于造影剂在血窦内停留时间较长,虽然逐渐变淡,直至静脉相,仍可见此征象。如肿瘤中心血流过于缓慢,或合并纤维化、血栓和出血,可在肿瘤染色的中心,见有相对的透亮影,即染色不均匀现象。一般不见动脉-门脉或动脉-静脉分流。
(五)核素显像
脾脏影像学检查方法中,尽管CT、MRI及超声的分辨率高,对脾形态的显示均优于放射性核素显像,但由于放射性核素显像独特的可反映生理功能的特点,因此其在诊断脾血管瘤方面仍具有不可替代的作用。可使用99mTc-RBC进行脾血池显像(spleen blood pool imaging)。静脉注入显像剂555~740MBq(15~20mCi)25分钟后行前、后及左侧位静态显像,此法诊断脾血管瘤灵敏度高。脾内占位病变行脾显像时多呈局限性放射性减低缺损区,如脾血池显像时在相应部位呈异常放射性浓聚区,则提示脾血管瘤。
三、鉴别诊断
1.脾脏淋巴瘤
(1)多合并脾脏增大,病变多发常见,病变与脾脏实质分界欠清楚,增强扫描各时相强化均低于周围脾脏实质是其特点;脾脏血管瘤呈延迟强化的特征,可单发或多发;
(2)脾脏淋巴瘤多合并其他部位的淋巴结肿大,如腹腔和腹膜后;脾脏血管瘤无淋巴结肿大改变。
2.脾脏囊肿
(1)低密度病变,边界清楚,囊壁光滑,增强扫描后未见强化;脾脏血管瘤稍低密度病变,呈延迟强化改变;
(2)脾脏囊肿囊壁可出现钙化,而较大血管瘤也可出现钙化,但钙化常表现为点状或星芒状。
【参考文献】
1.Morgenstern L.Hemangioma of the spleen.J Am Coll Surg,2007,205(2):386
2.Tetreau R,Beziat C,Marion D,Capillary hemangioma of the spleen on conventional and contrast-enhanced US.J Radiol.2006,87(5):575-577
3.Thiolet C,Le Marec C,Bredin C,et al.Magnetic resonance imaging of hemangioma of the spleen.Presse Med,2001,30(17):874
4.Artiko V,Obradovic'V,Petrovic'M,et al.Hemangioma of the spleen confirmed by blood pool scintigraphy.Clin Nucl Med,2004,29(10):670-671
5.Willcox TM,Speer RW,Schlinkert RT,.Hemangioma of the spleen:presentation,diagnosis,and management.J Gastrointest Surg,2000,4(6):611-613
6.Ohta H,Tsuchisaki M,Mihara Y,et al.Tc-99m DTPAHSA SPECT in a case of hemangioma of the spleen.Clin Nucl Med,1995,20(7):636
7.郭启勇.实用放射学.第3版.北京:人民卫生出版社,2007
(环球医学编辑:余霞霞)
来源:《疑难病例影像诊断评述》
作者:郭启勇 卢再鸣
页码:136-139
出版:人民卫生出版社
- 评价此内容
- 我要打分
近期推荐
热门关键词
最新会议
- 2013循证医学和实效研究方法学研讨会
- 欧洲心脏病学会年会
- 世界帕金森病和相关疾病2013年会议
- 英国介入放射学学会2013年第25届年会
- 美国血液学会2013年年会
- 美国癫痫学会2013年第67届年会
- 肥胖学会 2013年年会
- 2013年第9届欧洲抗体会议
- 国际精神病学协会 2013年会议
- 妇科肿瘤2013年第18届大会
- 国际创伤压力研究学会2013年第29届…
- 2013年第4届亚太地区骨质疏松症会议
- 皮肤病协会国际2013年会议
- 世界糖尿病2013年大会
- 2013年国际成瘾性药年会
- 彭晓霞---诊断试验的Meta分析
- 武姗姗---累积Meta分析和TSA分析
- 孙凤---Network Meta分析
- 杨智荣---Cochrane综述实战经验分享
- 杨祖耀---疾病频率资料的Meta分析
合作伙伴
Copyright g-medon.com All Rights Reserved 环球医学资讯 未经授权请勿转载!
网络实名:环球医学:京ICP备08004413号-2
关于我们|
我们的服务|版权及责任声明|联系我们
互联网药品信息服务资格证书(京)-经营性-2017-0027
互联网医疗保健信息服务复核同意书 京卫计网审[2015]第0344号




会员登录

