女子左乳腺发现鸡蛋黄大小肿物 检查结果糟糕透了
34岁女性患者,6个月前无意中发现左乳腺肿物,鸡蛋黄大小,局部皮肤无红肿,轻微疼痛,半年来自觉无明显增大。经查体及影像学检查,发现该患者竟然得了恶性肿瘤。
【病例介绍】
女性患者,34岁。6个月前无意中发现左乳腺肿物,鸡蛋黄大小,局部皮肤无红肿,轻微疼痛,半年来自觉无明显增大。查体双乳对称,未见橘皮征及酒窝征,乳头无凹陷。左乳外上象限距乳头3cm处可触及2cm×2cm肿物,质硬,边界欠清,活动度可,与皮肤及胸肌无粘连,无明显压痛,乳头挤压无溢液,腋下未触及肿大淋巴结(图1~图3)。

图1 双乳轴、斜位像:双侧乳腺多腺体型,乳体内散在分布斑片状腺体及脂肪岛。对比右侧乳腺,左乳外上象限结构扭曲(圆圈所示),乳体内未见肿块及异常钙化征象。腋下未见肿大淋巴结。皮肤未见明显增厚,乳头未见凹陷

图2 乳腺三维超声检查:双乳腺体回声粗糙,左乳腺外上象限可见2.7cm×1.2cm肿物,形态不规整,边界模糊,CDFI可检出较丰富血流信号。诊断为左乳腺肿物,乳腺癌可能性大(BI-RADS:5类)


图3 双乳磁共振平扫及增强扫描:图A、图B分别为横断面T1WI、T2WI,图C、图D为矢状面T2WI,对比双侧乳腺可见左乳外上象限结构稍乱,T2WI为著,可见不均匀稍高信号影;图E、图F为横断面多期动态增强扫描,可见左乳外上象限病变区域明显强化,并呈持续性明显强化,邻近腺体结构扭曲
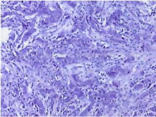
【诊断】
左乳腺外上象限浸润性导管癌(Ⅱ级)(图4)。

图4 病理图片:镜下见癌组织成巢,核分裂多见,未见脉管内癌栓形成,诊断为浸润性导管癌(Ⅱ级)
一、概述
乳腺癌作为女性常见的恶性肿瘤,近年来发病率呈逐年上升的趋势,尤其是发病趋向年轻化,是导致女性死亡的主要恶性肿瘤之一。而乳腺癌的组织学类型是影响预后的重要因素之一,浸润性导管癌(infiltrating ductal carcinoma,IDC)是乳腺癌中最常见的病理类型,占所有乳腺癌发病率的70%~80%,预后相对较差。
【临床特征】
在女性中,乳腺癌的发病率随着年龄的增长而上升,在月经初潮前罕见,20岁前亦少见,但20岁以后发病率迅速上升,45~50岁较高,但呈相对的平坦,绝经后发病率继续上升,到70岁左右达最高峰。死亡率也随年龄而上升,在25岁以后死亡率逐步上升,直到老年时始终保持上升趋势。乳腺癌还受到遗传因素的影响,家族的妇女有第一级直系家族的乳腺癌史者,其乳腺癌的危险性是正常人群的2~3倍。男性也可发生乳腺癌,发病率极低。乳腺癌常见的临床表现为乳腺无痛性肿块,有逐渐增大趋势,乳腺疼痛,乳头溢液、出血,乳头牵拉内陷,皮肤橘皮样改变及腋窝淋巴结肿大等。
【病理改变】
目前国内将乳腺浸润性导管癌分为单纯癌、髓样癌和硬癌三种类型。单纯癌是指癌实质与间质成分比例相当,几种类型的乳腺癌混合一起,难以区分哪一型为主时也诊断为单纯癌;硬癌是指在大量致密胶原纤维内癌细胞排列成不规则小条索或单个分散,癌细胞小,呈多角形,立方状,核深染;髓样癌是指癌实质多(占2/3以上),间质少,癌细胞排列紧密,多呈片块或大巢状,癌细胞大,圆形、卵圆形、胞质丰富、嗜碱性、核大、核仁清、核分裂象多见。
WHO则按腺管形成程度、细胞核多形性及细胞核分裂计数将浸润性导管癌分为三级,分级标准为:
1.腺管形成
腺管形成>75%为1分;10~75%为2分;<10%为3分。
2.核的多型性
与肿瘤周围正常乳腺组织比较,细胞规则,核小或稍大为1分;较正常上皮细胞大,有中度异型性,可见空泡核及核仁为2分;瘤细胞多形性明显,可见巨核及畸形核为3分。
3.核分裂计数
在细胞生长活跃区,计20个高倍视野(400×)核分裂数,然后算出每10个高倍视野分裂数。0~1个/10HPF为1分;2~3个/10 HPF为2分;>3个10HPF为3分。三项相加,总分3~5分为Ⅰ级,分化好;6~7分为Ⅱ级,中度分化;8~9分为Ⅲ级,分化差。
二、影像学表现
(一)X线钼靶摄影
对乳腺癌有较高的敏感性和特异性,且简单易行,可作为乳腺癌的筛查手段。常见的表现如下:
1.肿块
表现为腺体内高密度结节或肿块,大小不等,边缘毛糙,呈分叶状,可见长短不等毛刺,周围腺体纠集,结构紊乱,也可仅表现为结构紊乱而无明显肿块影;
2.钙化
乳腺癌一个主要的X线征象,钙化形态及分布多种多样,但乳腺癌的钙化多为不定型、分支状或杆状、浓淡不一的微细钙化,多按乳腺导管分布区域呈集簇状或区段性钙化,可发生在肿块内,也可仅见微细钙化而无明显肿块影;
3.皮肤及乳头改变
病变累及皮肤,可见局部皮肤增厚、凹陷或破溃,皮下脂肪模糊,可见粗糙网状交叉的索条影,悬韧带增粗;肿瘤沿乳导管浸润累及乳头时,可见乳头回缩;
4.淋巴结增大
腋窝淋巴结是乳腺淋巴主要引流途径之一,故乳腺癌转移可累及腋窝淋巴结,表现为淋巴结增大,密度增高,淋巴结“门”结构消失。
(二)超声
1.肿块
乳腺癌肿块表现为低回声结节,内部回声大多不均匀,边界多不清晰,少部分体积较小的病灶,可见清晰边界,随病灶逐渐增大,肿瘤组织形态不规则,可见分叶状、蟹足状、海星样或毛刺状等征象,是肿瘤向周围组织侵犯的证据;
2.钙化
病变内部微细钙化或腺体内微小钙化灶被普遍认为是乳腺恶性肿瘤的重要特征,约有30%~50%的乳腺癌可见微小钙化,超声可检出这些恶性钙化,多呈区段性或集簇样分布;
3.血流改变
高灵敏度的多普勒超声可显示肿瘤内的血流分布情况,而肿瘤血管的形态学被认为是恶性肿瘤的最特异性改变,超声下可见肿瘤内丰富、高速血流信号,但当病变体积较大时,由于瘤内血管癌栓形成,血流信号稀少,病变较小时,也可血流信号稀少。
(三)CT
有较高的空间及密度分辨率,故对乳腺内病变,尤其对致密型乳腺内占位病变的显示有较高的优势,可发现腺体内大小不等软组织密度结节或肿块影,边缘分叶状,也可见腺体或病变内的微细钙化、细小毛刺、皮肤增厚、乳头内陷等征象,还可显示肿瘤对胸壁软组织侵犯及腋下淋巴结转移的情况;多期动态增强扫描,乳腺癌结节可见明显强化,多数呈“快进快出”的强化曲线类型。
(四)MRI
乳腺癌在T1WI上层低信号,T2WI上呈高信号,边缘模糊不清,可见毛刺或呈放射状改变,亦可肿块不明显而仅表现为病变局部信号异常或结构扭曲,对病变内部微细钙化显示欠佳。多期动态增强扫描及数字剪影技术的使用,使乳腺癌得以清楚显示,亦表现为“快进快出”的强化曲线类型。
三、鉴别诊断
1.乳腺纤维腺瘤
多见于年轻女性,40岁以下女性多见,多为单发,也可多发,边缘光滑、锐利,界限清楚,活动度良好,直径多为1~3cm,密度多较淡,较大者病变周围可见“环形晕”,病变内可见多发粗大钙化;CT及MRI示病变呈软组织密度/信号,密度/信号均匀,增强后表现为缓慢渐进性强化或由中心向外围扩散的离心样强化。
2.乳腺纤维囊性增生症
乳腺常见的良性病变中居于第二位,30~40岁女性多见,多为双乳同时发生,主要临床表现为周期性乳房疼痛,腺体增厚及肿块形成,部分病人症状及体征与月经关系密切,并与雌激素使用情况有相关性。X线上表现为腺体组织内弥漫性片状或结节状密度增高影,边缘模糊/清楚,CT/MRI示增生腺体与正常腺体密度/信号一致,囊性增生时腺体内可见多发囊性结构,表现为大小不等、类圆形、低密度/长T1、长T2信号影,增强后可见缓慢渐进性强化。
3.乳腺术后改变
乳腺手术可引起腺体结构紊乱,表现为乳腺结构扭曲,小梁走行僵直,部分纠集,易与乳腺癌混淆。结合手术病史及相关查体(如体表可见手术瘢痕)不难作出鉴别。
【参考文献】
1.郭启勇.实用放射学.第3版.北京:人民卫生出版社,2007
2.李秋林,吕建东,林东虎.乳腺癌的影像学表现及应用价值.普通外科进展,2009,12(5):430-433
3.鲍润贤,叶兆祥,刘佩芳.体部肿瘤CT诊断学.天津:天津科学技术出版社,2005:523-533
4.从新丽,李树祝,武乐斌,等.乳腺癌的影像诊断现状与进展.医学影像学杂志,2003,13(8):602-605
5.扬帆,孔祥泉,韩萍,等.动态增强坚硬乳腺磁共振成像研究.临床放射学杂志,2001,20(1):17-20
6.Furuta A,Ishibashi T,Takahashi S,et al.Magnetic resonance imaging of breast cancer:correlation between contrast enhancement and tumor angiogenesis.Nippon Igaku Ioshasen Gakkai Zasshi,1999,59(12):682-688
7.张静,田建明.乳腺癌的影像学检查.医学影像学杂志,2004,14(9):767-769
8.尹成方,章阳,王银龙,等.CT诊断乳腺肿瘤临床价值的研究.医学影像学杂志,1997,7(4):221-223
9.杜勇,沈天真,陈克敏.乳腺癌的影像学检测.国外医学:临床放射学分册,1994,3(2):130-133
10.盖希,李占文.影像学检查在乳腺癌诊断中的评价.现代实用医学2009,21(4):418-420
11.Jackson VP.Diagnostic mammography.Radiol Clin North Am,2004,42(5):853-870
12.贺斌,张克云,张立军,等.乳腺癌腋窝淋巴结转移的X线诊断价值.影像诊断与介入放射学,2007,16(4):167-169
13.么刚,刘影,孙建男,等.多层螺旋CT在乳腺疾病检查中的应用.CT理论与应用研究,2006,15(3):40-43
14.Lee JM,Orel SG,Czerniecki BJ,et al.MRI before reexcision surgery in patients with breast cancer.AJR,2004,182(2):473-480
15.Londero V,Bazzocchi M,Del Frate C,et al.Locally advanced breast cancer:comparison of mammography,sonography and MR imaging in evaluation of residual disease in women receiving neoadjuvant chemotherapy.Eur Radiol,2004,14(8):1371-1379
(环球医学编辑:余霞霞)
来源:《疑难病例影像诊断评述》
作者:郭启勇 卢再鸣
页码:213-217
出版:人民卫生出版社
- 评价此内容
- 我要打分
近期推荐
热门关键词
最新会议
- 2013循证医学和实效研究方法学研讨会
- 欧洲心脏病学会年会
- 世界帕金森病和相关疾病2013年会议
- 英国介入放射学学会2013年第25届年会
- 美国血液学会2013年年会
- 美国癫痫学会2013年第67届年会
- 肥胖学会 2013年年会
- 2013年第9届欧洲抗体会议
- 国际精神病学协会 2013年会议
- 妇科肿瘤2013年第18届大会
- 国际创伤压力研究学会2013年第29届…
- 2013年第4届亚太地区骨质疏松症会议
- 皮肤病协会国际2013年会议
- 世界糖尿病2013年大会
- 2013年国际成瘾性药年会
- 彭晓霞---诊断试验的Meta分析
- 武姗姗---累积Meta分析和TSA分析
- 孙凤---Network Meta分析
- 杨智荣---Cochrane综述实战经验分享
- 杨祖耀---疾病频率资料的Meta分析
合作伙伴
Copyright g-medon.com All Rights Reserved 环球医学资讯 未经授权请勿转载!
网络实名:环球医学:京ICP备08004413号-2
关于我们|
我们的服务|版权及责任声明|联系我们
互联网药品信息服务资格证书(京)-经营性-2017-0027
互联网医疗保健信息服务复核同意书 京卫计网审[2015]第0344号




会员登录

