双眼疼痛、头痛 病理检查发现右眼内有瘤组织
62岁女性,2年前无明显诱因自觉双眼痛、头痛,查体可见右侧眼球突出。经影像学检查,发现该患者得了一种良性肿瘤。
【病例介绍】
女性患者,62岁。2年前无明显诱因自觉双眼痛、头痛,无畏光流泪,无恶心呕吐,无视物不清。查体可见右侧眼球突出(图1、图2)。

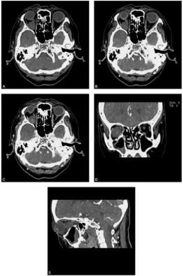
图1 双眶CT平扫、增强扫描及三维重组:图A、图B、图C为横断面平扫、增强早期及延迟期图像,图D、图E分别为冠状面和矢状面图像。右眶内球后可见类圆形软组织密度结节,边缘光滑,界限清楚,周围脂肪间隙清晰,内部密度稍不均匀,与视神经关系密切,增强早期可见病变中心明显强化,延迟扫描强化程度趋于均匀;结合三维重建可见病变位于肌锥内、视神经外下方,局部可见视神经弧形移位

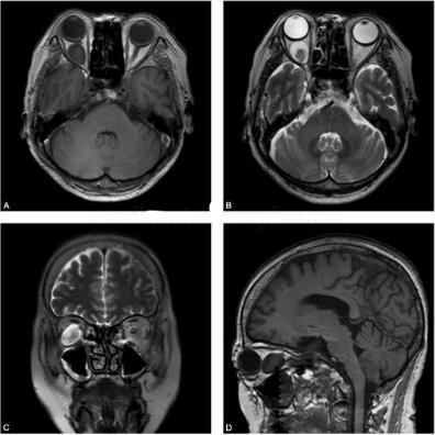
图2 双眶MRI平扫:图A、图B为横断面T1WI、T2WI,图C、图D分别为冠状面T2WI和矢状面T1WI。右眶内球后结节呈等T1信号,T2WI示病变信号欠均匀,中心呈T2稍高信号,周围长T2高信号影,病变界限清楚,周围脂肪间隙清晰,与视神经关系密切,位于视神经外下方,局部可见视神经弧形移位
【诊断】
(右眼眶内)神经鞘瘤(图3)

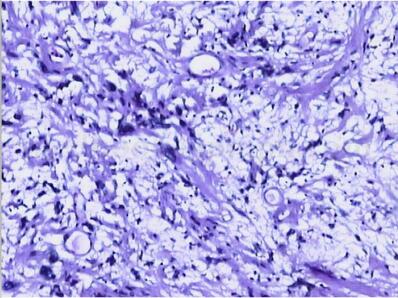
图3 病理图片:镜下见瘤组织主要有两种不同形态,即富于细胞区和细胞稀疏区,富细胞区细胞梭形、栅栏状、编织状排列,细胞稀疏区间质黏液样,其中可见非典型核和瘤巨细胞。诊断为(右眼眶内)神经鞘瘤
一、概述
神经鞘瘤(neurilemoma)是一种有包膜、生长缓慢的肿瘤,多数为良性,少数为恶性,起源于周边神经的鞘膜细胞(施万细胞),属于神经外胚叶性肿瘤。本瘤多见于神经根部、四肢及头颈部,原发于眶内者较少见,占眼眶良性肿瘤肿瘤的6%,恶性神经鞘瘤占眼眶肿瘤的0.8%。肿瘤可以在眶内或眶邻近的任何一个部位生长,最好发的部位是球后肌锥内,还见于眉弓或眼睑皮下、泪腺区、泪囊区、眼眶内上和外下方及眼球表面。
【临床特征】
眶内神经鞘瘤可发生于任何年龄,20~50岁多见,以中年女性多见。肿瘤多单独发生,病程缓慢,但却持续生长。肿瘤较小时,常无任何临床症状或轻微胀痛;当肿瘤足够大时,可引起相应的临床症状,表现为眶内肿块、眼球突出、眼球运动受限、复视、鼻窦炎等,肿瘤压迫视神经和眼球时,可引起不同程度的视力减退;肿瘤足够大而引起眶内压增高时可造成视神经萎缩或视神经乳头和视网膜水肿等眼底改变。
眶内神经鞘瘤为良性肿瘤,但若术中切除不彻底或损伤包膜,瘤组织外溢至正常组织常可以引起复发,甚至导致肿瘤恶变。
【病理改变】
良性神经鞘瘤为圆形或类圆形,边界清楚,包膜完整,质地中等。肿瘤包膜易破,切开后肿瘤呈鱼肉状,质脆;部分肿瘤可见囊变,切开后可见棕黄色黏液溢出。恶性神经鞘瘤边界不清楚,没有包膜,呈浸润性生长,或呈结节状,伴有出血、坏死或囊性变。
光镜下观察,瘤组织分为两型Antoni A型及Antoni B型。其中,Antoni A型瘤细胞呈梭形,排列致密,呈栅栏状或旋涡状排列;Antoni B型细胞呈多形性,胞浆疏松,细胞间有黏液物质。不同的患者两种类型常混合存在。部分病例细胞异型性增大,核染色深,可见核分裂象。免疫组织化学染色:S-100阳性。
恶性神经鞘瘤镜下细胞增生活跃,细胞核深染,异型性明显,可见较多的核分裂、散在瘤巨细胞。
二、影像学表现
(一)CT
可见眶内占位病变,边缘光滑,界限清楚,均匀软组织密度,与眼外肌密度相近,两者相邻时常无法区分。肿瘤可发生于眶内任何部位,但肌锥内多见,形态多样,取决于生长方式,多数肿瘤在神经干一侧生长呈圆形、椭圆形、沿着神经干生长则呈长梭形,有时可见有线状神经相连,呈“小尾巴样”改变。增强扫描可见肿瘤中等均匀强化,病变内部囊变时,则表现为高密度强化区域内有不规则低密度无强化灶。病变较大时可压迫周围骨质,引起骨质吸收,因眶上裂是眼眶神经出颅的主要通路,故部分病变可经眶上裂向颅内延伸,此时常引起眶上裂开大。
(二)MR
扫描示病变为圆形或类圆形T1中等、T2高信号,边界清楚,信号均匀或不均匀,病变内部囊变区域表现为长T1、长T2信号,增强后强化方式同CT所见。MR有较高的软组织分辨率,因而可以区分肿瘤与眶内结构,故可以显示病变与视神经、眼外肌间的关系,对显示病变向颅内蔓延有较高的敏感性和特异性。
三、鉴别诊断
1.海绵状血管瘤
成人常见的眶内肿瘤,好发于中青年女性,约占2/3,常发生于球后肌锥内。CT及MR有较高的空间及软组织分辨率,故可以用于该病变的诊断。肿瘤常呈类圆形、椭圆形或卵圆形,边界清楚,边缘光滑。CT上表现为软组织密度,MRI在T1WI上呈低信号,低于眼外肌及视神经信号,在T2WI和SPIR上呈高信号,高于脑实质信号,与玻璃体信号相似,不论肿瘤体积多大,眶尖部脂肪结构存在,是该肿瘤的特征之一;增强后肿瘤明显强化,而包膜不强化;多期动态扫描肿瘤呈现特殊的渐进性强化模式,即增强早期病变中心点状和小结节状不均匀强化,随时间延迟长,强化逐步扩展至整个肿瘤,此即海绵状血管瘤另一特征性表现。
2.炎性假瘤
眶内炎性假瘤为眶内非特异性增殖性炎症,可累及眶内任何部位和所有组织,可分为肿块型、泪腺炎型、肌炎型、弥漫炎症型等,多见于中年人,一般为单侧发病,少数可双眼受累,其中肿块型需与神经鞘瘤鉴别。CT为其有效的检查手段之一,肿块型炎性假瘤表现为眶内软组织肿块,大小不一,内部密度/信号欠均匀,边缘清楚,界限清晰,眶内脂肪间隙模糊,眶尖部脂肪结构常受累消失,增强后可见轻、中度强化;病变可累及眶内其他结构,还可伴有眼环增厚、眼外肌增粗、视神经增粗及泪腺增大等。炎性假瘤对激素治疗有效,但易反复发作,这也是其主要特征之一。
3.脑膜瘤
原发于眶内的脑膜瘤包括视神经鞘脑膜瘤和起源于眶骨的脑膜瘤两种。
(1)视神经脑膜瘤沿视神经生长,CT可见视神经管状增粗,眶尖部膨大,密度增高,或呈梭形、椭圆形高密度肿块,边界清楚,可见钙化密度影,增强后呈明显均匀强化,可见“双轨征”,此为该病变最特征性的表现之一,肿瘤累及视神经管时,可引起相应管径增粗。MRI上T1及T2WI均为中等信号强度,相应节段视神经增粗,增强后明显均匀强化。
(2)起源于眶骨脑膜瘤均发生于眶外上方或眶顶骨膜。CT扫描可见眶顶或外上方后部扁平或不规则高密度占位性病变,密度较均匀,局部眶壁骨质增生、硬化,增强扫描病变可见明显均匀强化。MRI上T1WI、T2WI均表现为等信号,强化方式同CT所示,偶可见脑膜尾征。
4.皮样囊肿
一种先天发育异常性疾病,为囊性结构,囊内成分复杂,有上皮角化物质、毛发、汗液和脂质物等,因此影像学表现多样。CT上表现为眶内类圆形占位病变,内部密度欠均匀,因CT扫描密度分辨率较高,可以发现囊内的脂肪成分,表现为负性CT值,增强后可见囊壁环形强化;此外因眶内皮样囊肿多发生于骨膜外,故可发现眶壁骨凹陷及骨嵴形成等特征性改变;有时,因重力关系,病变内部可见分层样改变,上部为脂肪的透明区,下部为高密度固状物区,亦为本病特征之一。MRI上T1WI因病变内含脂肪,相应区域为高信号强度;因含汗液,T2WI亦为高信号强度,增强后可见环形囊壁强化,但MRI显示骨改变较差。
5.神经纤维瘤
眶内神经纤维瘤为眶内极罕见病变,可发生于眼睑、视神经、眼眶、视网膜等多个部位。CT或MRI可清楚显示病变自身及受累部位,分别表现为上睑肥厚,眶周及颞、颧部丛状神经纤维瘤;蝶骨发育不良,蝶骨大小翼或额骨眶板缺失;颅眶骨畸形,眶腔不对称性扩大,眶上、下裂及视神经孔扩大;眼球突出,体积增大;眶内软组织肿块;泪腺肿大,眼外肌肥厚,视神经增粗等。病变常质地较为均匀,很少见囊性变,增强后轻度均匀强化。
【参考文献】
1.何彦津,宋国祥,丁莹.3476例眼眶占位性病变的组织病理学分类.中华眼科杂志,2002,38:396-398
2.宋国祥.眼眶神经鞘瘤.中华眼科杂志,1980,16:306
3.艾思明,黄海威,吴中耀,等.眼部神经鞘瘤的诊断和治疗.中国神经精神疾病杂志,2004,30(5):357-359
4.何为民,罗清礼.眼部神经鞘瘤临床病理分析.眼科研究,2008,26(8):606-608
5.史季桐,宋国祥,肖利华,等.常见眼眶内肿瘤的影像诊断分析.中华眼科杂志,1997,33(2):92-96
6.闫凤全,崔光彬,魏经国,等.眶内海绵状血管瘤的MRI表现.实用放射学杂志,2008,24(3):314-316
7.王伟霞,党计锋.眶内炎性假瘤13例临床与CT分析.中国煤炭工业医学杂,2007,10(7):815
8.宋国祥.眼眶病学.北京:人民卫生出版社,1999:76-77;214-220
9.叶青,何为民,康剑书.18例眼部神经纤维瘤的临床病理分析,华西医学2009,24(1):165-168
(环球医学编辑:余霞霞)
来源:《疑难病例影像诊断评述》
作者:郭启勇 卢再鸣
页码:228-232
出版:人民卫生出版社
- 评价此内容
- 我要打分
近期推荐
热门关键词
最新会议
- 2013循证医学和实效研究方法学研讨会
- 欧洲心脏病学会年会
- 世界帕金森病和相关疾病2013年会议
- 英国介入放射学学会2013年第25届年会
- 美国血液学会2013年年会
- 美国癫痫学会2013年第67届年会
- 肥胖学会 2013年年会
- 2013年第9届欧洲抗体会议
- 国际精神病学协会 2013年会议
- 妇科肿瘤2013年第18届大会
- 国际创伤压力研究学会2013年第29届…
- 2013年第4届亚太地区骨质疏松症会议
- 皮肤病协会国际2013年会议
- 世界糖尿病2013年大会
- 2013年国际成瘾性药年会
- 彭晓霞---诊断试验的Meta分析
- 武姗姗---累积Meta分析和TSA分析
- 孙凤---Network Meta分析
- 杨智荣---Cochrane综述实战经验分享
- 杨祖耀---疾病频率资料的Meta分析
合作伙伴
Copyright g-medon.com All Rights Reserved 环球医学资讯 未经授权请勿转载!
网络实名:环球医学:京ICP备08004413号-2
关于我们|
我们的服务|版权及责任声明|联系我们
互联网药品信息服务资格证书(京)-经营性-2017-0027
互联网医疗保健信息服务复核同意书 京卫计网审[2015]第0344号




会员登录

