左上腹痛还呕吐、发烧 小小年纪竟得了要命的肿瘤
9岁男童,4天前无明显诱因出现腹痛,以脐周及左上腹部为主,阵发性钝痛,渐渐加重,有呕吐3次,有发热,最高达38.3℃,大便减少,偶有咳嗽。门诊血常规化验白细胞增高,给予抗炎治疗(具体不详),症状无好转入笔者医院治疗。该患儿被确诊为……
【病例介绍】
患者男,9岁。患儿4天前无明显诱因出现腹痛,以脐周及左上腹部为主,阵发性钝痛,渐渐加重,有呕吐3次,为胃内容物,非喷射状,有发热,最高达38.3℃,无腹泻,大便减少。偶有咳嗽,无气促,无惊跳,无烦吵,无抽搐,无皮疹。门诊血常规化验白细胞增高,给予抗炎治疗(具体不详),症状无好转入院治疗。自病后,食纳差,小便可,大便减少。体征:腹平坦,腹壁无红肿,未见胃肠型及腹外疝,触诊左上腹压痛、反跳痛,似可触及一包块感,触痛明显,余腹触软,无压痛,无肌紧张,叩呈鼓音,肠鸣音可闻及,3~4次/分,无气过水声。血糖、血钙、淀粉酶、AFP、CEA等均未见异常(图1)。


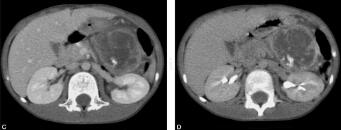
图1 上腹部胃、结肠脾区及胰腺体尾部之间可见一类圆形占位性病变,边界欠清,最大截面约65mm×61mm,病灶密度不均匀,壁薄,病灶内CT值2035HU,并可见点状、线状钙化影。病变与胃后壁之间可见少量液性密度影,CT值为8HU。病变与胰体尾部关系密切,胰腺形态失常,尾部增大,最大前后径约21mm,密度均匀。增强示肿块壁强化明显,其内强化不明显。胰腺头颈部形态密度正常,边界清晰,胰管未见扩张。脾动脉被向上推移,肿块邻近血管未见明确充盈缺损。肝脏、脾脏及双肾大小、形态及密度未见明显异常,胆囊大小形态未见明显异常。腹膜后未见明显肿大淋巴结
【诊断】
胰腺母细胞瘤(图2)

2 胰腺母细胞瘤
一、概述
胰母细胞瘤(pancreatoblastoma,PBL)又称儿童型胰腺癌、婴儿型胰腺癌。1975年Kissane首次提出胰腺PBL的概念,1977年Horie等对该肿瘤进行了组织学描述。1996年WHO分类中将其更名为胰腺外分泌恶性肿瘤。
胰母细胞瘤是一种较为罕见的胰腺低度恶性肿瘤,自Becker于1957年报道第1例胰母细胞瘤以来,关于该肿瘤的报道仅约200余例左右,国内共报道约50例。胰母细胞瘤约占胰腺非内分泌性肿瘤的0.5%,大多发生在婴幼儿,小儿少见,而成人病例则更罕见。胰母细胞瘤在亚洲国家的发病率较欧美国家高,且男性多于女性,发病平均年龄在5岁左右。
【临床表现】
胰母细胞瘤临床表现多样,缺乏特异性。早期多起病隐匿,随着瘤体的增大,后期可表现出一些非特异性症状,如腹痛、上腹部包块等。若肿瘤特别是胰头部肿瘤压迫或侵犯邻近组织器官,患儿可出现消化道梗阻、出血或黄疸等症状。晚期可表现出体重减轻、营养不良甚至恶病质。
【病理】
胰母细胞瘤最终确诊依靠病理学检查。胰母细胞瘤的组织形态学特征与人胚胎第8周的胰腺组织相似,目前认为其有2种亚型,一种由腹侧胰腺原基分化而来,位于胰头部,边界完整,预后较好;另一种由背侧胰腺原基分化而来,位于胰尾,边界不清,预后较差。胰母细胞瘤镜下表现为巢团状或者腺管状分布的特征性腺上皮细胞,常有出血和坏死。上皮成分为比较一致的多角形细胞,形成巢状、片状或腺泡状结构,少部分病例还可以有局灶性腺管形成,腺腔内有少许PAS阳性物质,由梭形细胞巢构成的“鳞状小体”是胰母细胞瘤的特异性组织病理特征之一,核分裂象少见。间叶成分包括疏松排列的梭形细胞、纤维血管间质、骨样组织、软骨样组织等。大多数肿瘤由成熟的纤维组织包绕,偶有肿瘤侵及邻近组织和器官。
【治疗】
胰母细胞瘤是一种恶性肿瘤,可局部浸润、复发和远处转移,最易出现淋巴结或肝转移,还可以出现更为广泛的播散,因此手术完整切除肿瘤是胰母细胞瘤的主要治疗方式。若能早期发现,完整切除肿瘤,患儿预后较好。胰母细胞瘤对放疗、化疗均较敏感,作为综合治疗的一部分,术前放、化疗可使肿瘤缩小,手术切除率提高;对于肿瘤已切除的患者,术后放、化疗能起到良好的辅助治疗效果。已有转移的儿童患者或成人患者预后则较差,通常是致死性的。
二、影像学表现
胰母细胞瘤早期诊断非常困难,影像学检查一经发现肿块往往已经很大。典型的CT表现为胰腺附近实性巨大肿块,最常见的形状为分叶状和球状,分叶状具有特征性但尚不具备特异性,肿块包膜多完整或不完整,边缘多清楚,肿块可强化,常伴有区域性钙化、出血、坏死及囊性变,钙化呈内部束状周边条状,钙化、出血及囊变均没有特征性。MRI表现为不均匀的长T1、长T2信号。由于胰母细胞瘤具有完整或部分包膜,因此肿块在CT、MRI显示的边界往往比较清晰,甚至和邻近正常胰腺组织间界限较清晰,从图像上不能明确判断是胰腺起源,给影像诊断该病带来难度。无论是起源于胰头部还是胰腺尾部,胰母细胞瘤均与胰管没有关系,且常向外生长,不侵袭、压迫胰管,因此胰管在CT、MRI图像上不出现梗阻扩张征象,是为胰母细胞瘤的影像学特点。如果肿块侵袭邻近血管,则可引起癌栓,在增强图像上表现为充盈缺损。
三、鉴别诊断
该病若能在CT、MRI图像上明确是胰腺起源,则影像诊断该病具有一定的准确性;但若不能明确是胰腺起源且肿块巨大情况下,则必须与成神经细胞瘤、小肠淋巴瘤、肾胚胎瘤相鉴别。
1.成神经细胞瘤
可来源于肾上腺髓质,常表现为腹膜后巨大不规则实性均质肿块,常合并出血、坏死和钙化,其中钙化以斑点状最为常见。与胰母细胞瘤相比,其发病年龄更低,临床出现特征性的副肿瘤综合征症状,以及尿中可检出儿茶酚胺。在图像上,当肿块位于在交感神经链范围内,具有特征性的年龄相关的转移模式,空间蔓延性生长并包绕血管,并亲碘造影剂,常提示成神经细胞瘤。
2.小肠淋巴瘤
CT表现为肠壁的多发结节状肿块,肿块大而形态不均,边界清晰。肠壁不均匀增厚,呈非对称性。可伴有腹膜后淋巴结癌性肿大甚至。淋巴瘤可突出于肠壁外和浆膜表面的肿块,这种情况下即需与本病例相鉴别。肠系膜受累,表现为结节状肿块、形态不规则、伴有密度减低区则为小肠淋巴瘤的沿肠系膜浸润的征象,而不考虑胰母细胞瘤。
3.肾胚胎瘤
为儿童常见恶性肿瘤,肿块既侵袭肾实质,亦向外生长形成肿块,常有假包膜,出血、坏死、囊性变较常见,坏死区域及周边被覆区可见钙化灶。于肿块周边部见残存的肾皮质,增强扫描密度显著增高,与肿瘤形成鲜明的对比,且有包绕肿块征象,则提示肿块来源于肾脏,可与胰母细胞瘤相鉴别。
【参考文献】
1.Hofie A,Yano Y,Kotoo Y,et al.Morphogenesis of pancreatoblastoma infantile carcinoma of the pancreas.Report of two cases.Cancer,1977,39,39:247-254
2.Shorter NA,Glick RD,Klimstra DS,et al.Malignant pancreatic tumors in childhood and adolescence:The Memorial Sloan—Kettefing experience,1967 to present.J Pediatr Surg,2002,37(6):887-892
3.Naik VR,Jaafar H,Leow V M,et al.Pancreatoblastoma:rare tumor accidentally found.Singapore Med J,2006,47(3):232-234
4.Gu WZ,Zou CC,Zhao ZY et al.Childhood pancreatoblastoma clinical features and immunohistochemistry analysis.Cancer Lett,2008,264(1):119-126
5.Levey JM,Banner BF.Adult pancreatoblastoma:a case report and review of the literature.Am J Gastroenterol,1996,91(9):1841-1844
6.Rajpal S,Warren RS,Alexander M,et al.Pancreatoblastoma in an adult case report and review of the literature.J Gastrointerst Surg,2006,10(6):829-836
7.Kohda E,Iseki M,Ikawa H,et al.Pancreatoblastoma.Three original cases and review of the literature.Acta Radiol,2000,41(4):334-337
8.Cingolani N,Shaco-Levy R,Farruggio A,et al.Alpha-fetoprotein production by pancreatic tumors exhibiting acinar cell differentiation.study of five cases.one arising in a mediastinal teratoma.Hum Pathol,2000,3 1(8):938-944
9.Lee YJ,Hah JO.Long-term survival of pancreatoblastoma in children.J Pediatr Hematol Oncol,2007,29(12):845-847
10.Cao L,Liu D.Diagnosis and treatment of pancreatoblastoma in China.Pcreas,2007,34(1):92-95
11.Klimstra DS,W enig BM,Adair CF,et al.Pancreatoblastoma.A clinicopathologic study and review of the literature.Am J Surg Pathol,1995.19(12):1371-1389
12.Griffin BR,Wisbeck W M,Schaller RT,et al.Radiotherapy for locally recurrent infantile pancreatic carcinoma(pancreatoblastoma).Cancer,1987,60(8):1734-1736
(环球医学编辑:余霞霞)
来源:《疑难病例影像诊断评述》
作者:郭启勇 卢再鸣
页码:252-254
出版:人民卫生出版社
- 评价此内容
- 我要打分
近期推荐
热门关键词
最新会议
- 2013循证医学和实效研究方法学研讨会
- 欧洲心脏病学会年会
- 世界帕金森病和相关疾病2013年会议
- 英国介入放射学学会2013年第25届年会
- 美国血液学会2013年年会
- 美国癫痫学会2013年第67届年会
- 肥胖学会 2013年年会
- 2013年第9届欧洲抗体会议
- 国际精神病学协会 2013年会议
- 妇科肿瘤2013年第18届大会
- 国际创伤压力研究学会2013年第29届…
- 2013年第4届亚太地区骨质疏松症会议
- 皮肤病协会国际2013年会议
- 世界糖尿病2013年大会
- 2013年国际成瘾性药年会
- 彭晓霞---诊断试验的Meta分析
- 武姗姗---累积Meta分析和TSA分析
- 孙凤---Network Meta分析
- 杨智荣---Cochrane综述实战经验分享
- 杨祖耀---疾病频率资料的Meta分析
合作伙伴
Copyright g-medon.com All Rights Reserved 环球医学资讯 未经授权请勿转载!
网络实名:环球医学:京ICP备08004413号-2
关于我们|
我们的服务|版权及责任声明|联系我们
互联网药品信息服务资格证书(京)-经营性-2017-0027
互联网医疗保健信息服务复核同意书 京卫计网审[2015]第0344号




会员登录

