1岁小孩哭闹烦躁还呕吐 症状加重后检查结果令人震惊
1周岁男童,半月前无明显诱因出现哭闹不安,烦躁,进食差,坐不稳,家属未在意,未以特殊处理。十天前患儿出现呕吐,曾以“胃肠炎”治疗未见明显好转,入院前三日家属发现哭闹烦躁症状有加重,无呕吐。该患儿最终被诊断为……
【病例介绍】
患儿男,1周岁。患儿半月前无明显诱因出现哭闹不安,烦躁,进食差,坐不稳,家属未在意,未以特殊处理,十天前患儿出现呕吐,曾以“胃肠炎”治疗未见明显好转,近三日家属发现哭闹烦躁症状有加重,无呕吐。患儿一般状态差,无发热,呕吐,饮食睡眠差,大小便可。体征:神志差,嗜睡,精神反应差,全身皮肤黏膜无黄染,头颅无畸形,前囟隆起,张力高,头围51cm,双侧瞳孔等大正圆,直径约2.5cm,对光反射迟钝,颈软,张力不高,双肺呼吸音清,腹平软,未及明显包块,四肢活动可,肌力、肌张力如常,生理反射存在,病理反射未引出。哭闹时左侧腹股沟区可见囊性包块,质软,透光阴性,按压可回纳(图1)。


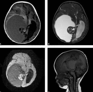
图1 右侧大脑半球深部脑实质内可见一巨大囊实性占位,大小约9.4cm×11.4cm×9.6cm,以囊性病变为主伴局部边缘实质性病变,囊性部分呈稍长T1、长T2信号,实性部分等信号,病灶内可见多个小囊状长T1、长T2信号灶。增强扫描实性部分明显强化,囊性部分及多发小囊性灶无强化。病变占位效应明显,右侧颞顶叶脑实质受压变薄,右侧侧脑室、第三脑室明显受压,左侧侧脑室扩大,左侧脑室旁见晕状长T1、长T2信号影。小脑半球未见明显异常。中线结构明显左移
【诊断】
右侧颞顶叶室管膜母细胞瘤(原始神经外胚叶肿瘤)(图2)

一、概述
室管膜母细胞瘤(ependymoblastoma)是一种罕见的恶性胚胎性脑肿瘤,好发于新生儿和幼儿。室管膜母细胞瘤过去名称繁多,较为混乱,直到1990年世界卫生组织分类才将其归类于胚胎性肿瘤范围。室管膜母细胞瘤是一种多发生于年龄较小婴幼儿的罕见的神经上皮肿瘤,5岁以下多见。室管膜母细胞瘤因其发生于颅内,由于肿块压迫,或者脑室内肿块的阻塞,引起脑积水,致继发性颅内压增高。患儿临床表现常为癫痫样发作,或是局部运动障碍。室管膜母细胞瘤多呈结节状或分叶状,大多与周围脑组织分界清楚。表面多呈灰色、质嫩、脆,体积较大肿瘤可发生出血坏死和囊性变。
【病理】
典型的室管膜母细胞瘤的发生部位及组织和细胞学特征在HE切片中形态的表现更为重要。免疫组化标记在诊断中的地位不容忽视,在小细胞性肿瘤的鉴别诊断中尤为重要。室管膜母细胞瘤的组织结构和细胞形态是比较典型的,组织切片镜下典型表现为较一致的小圆细胞,瘤细胞成复层排列围成管腔样的菊形团。免疫组化S-100、Vimenten和EMA抗体呈阳性表达。室管膜母细胞瘤超微结构研究表明,室管膜母细胞瘤在电镜中也能看到菊形团细胞由长短不一、厚而高电子密度为特点的膜复合细胞连接在一起。“流产”的纤毛和少许鞭毛小体趋向菊形团中央,还可见短的带状胶质样微丝。
【临床表现】
室管膜母细胞瘤恶性度较高,常易发生转移。转移的途径多为直接侵及,或经脑-胸腔引流转移至胸腹腔,或转移到颅外的淋巴结、肺等处。在发生局部的软脑膜侵犯时,可因此发生肿瘤的播散;发生在脑室的室管膜母细胞瘤可沿脑脊液转移。本例软脑膜未侵及,脑脊液检查阴性,临床目前尚未发现肿瘤转移到其他部位的迹象。
婴幼儿的室管膜母细胞瘤具有母细胞肿瘤的特点,其分化较差,常伴有坏死,预后不容乐观。其次肿瘤的发生部位和有无转移也与预后密切相关,发生于脑室及附近的肿瘤无法完全切除,肿瘤易复发,预后往往很差;而发生于脑叶界线清楚的肿瘤、软脑膜没有侵及的肿瘤,手术时容易完整切除,预后往往较好。
【原始神经外胚层肿瘤】
原始神经外胚层肿瘤(primitive neuroectodermal tumors,PNET)是一类向原始神经方向分化的小圆细胞恶性肿瘤,组织学分为Ⅳ级,生物学行为高度恶性。最初认为其远祖可能为:原始神经嵴细胞、始基性种子细胞、原始间叶细胞,目前普遍认为其来源于干细胞的突变,原始干细胞先间变而后分化或去分化,原始细胞完全是因基因调控失常而出现了向神经上皮各个不同阶段分化甚至向间叶组织分化的现象。根据发生部位不同分为中枢性原始神经外胚层肿瘤和外周性原始神经外胚层肿瘤。
上原始神经外胚层肿瘤十分少见,仅占整个脑肿瘤的0.1%左右,占儿童幕上肿瘤的1%~5%,其定义为位于大脑或鞍上的由未分化或低分化的神经上皮所构成的高度恶性的肿瘤,肿瘤细胞可沿神经元细胞、星形细胞、室管膜细胞、肌细胞或黑色素细胞谱系分化。组织病理形态学肿瘤组织呈浸润性生长,呈片块状、巢状或弥散分布,可见菊形团样或围绕血管呈放射状排列。瘤细胞较小,圆形、卵圆形或短梭形,大小一致,胞浆少,淡染或红染,少数有胞浆突起。核圆形、卵圆形,核膜清楚,核分裂象多见,病理性核分裂象亦可见。瘤组织之间见有增生的纤维组织分隔,间质血管丰富,出血、坏死及钙化易见。
二、影像学表现
MRI在诊断幕上原始神经外胚层瘤具有重要价值。MRI对软组织具有良好的分辨率,无骨骼伪影干扰,尤其对PNET侵犯邻近结构及其范围显示十分清楚。幕上原始神经外胚层肿瘤的MRI表现依部位不同而变化。PNET多发生于脑叶深部位置,肿瘤体积常较大。与其他常见的颅内肿瘤相比,PNET在MRI平扫T1WI信号相对更低,T2WI信号更高,信号更不均匀。肿瘤的实质部分为T1WI等或略低信号区、T2WI信号强度较高。由于肿瘤生长较快,其内部常伴有囊变和坏死区,表现为T1WI明显低信号、T2WI明显高信号。囊变和坏死区并不局限于肿瘤中央部,而是在瘤体内呈灶状散在分布,亦可见于肿瘤边缘。部分病例肿瘤内可发生出血,在T1WI上表现为高信号。有时病灶内可见代表钙化和含铁血黄素的低信号区。虽然PNET是高度恶性的肿瘤,呈浸润性生长,但肿瘤边界清楚,虽然占位效应明显,但不伴或只伴有轻度瘤周水肿,在引起梗阻性脑积水后常可见明显的脑室旁间质性脑水肿。增强后扫描肿瘤实质部分呈明显强化,囊变和坏死区无强化。
三、鉴别诊断
幕上PNET的MRI表现尽管有特点但缺少特异性,又由于发病率低,常误诊为其他肿瘤。MRI诊断主要与脑胶质瘤鉴别。二者的MRI表现有较多相似之处,鉴别有一定困难,需要经验的不断积累。
1.低级星形细胞瘤:肿瘤常位于白质,边界清,信号呈较均一的稍长T1、长T2信号,增强后多无强化,随着恶性级别增加,瘤周水肿和强化程度也增加,边界模糊不清。而PNET虽为低分化的高度恶性肿瘤,强化明显,但边界却较清楚,瘤周水肿程度轻或无。
2.间变星形细胞瘤:与之相比则较少见出血和钙化。
3.少枝胶质细胞瘤:虽然也易发生钙化,但属较良性的肿瘤,生长缓慢,其占位效应和强化程度较PNET轻,也不发生播散和转移。
4.室管膜瘤:脑室内伴有室管膜分化特征的PNET易见瘤内囊变和坏死区,强化程度也不如室管膜下瘤显著。
5.淋巴瘤:单发或多发局灶性团块,易发生在中线区,呈长T1、等或稍长T2脑膜瘤样信号,囊变少见,强化显著,有沿血管和血管周围间隙播散的倾向。
儿童幕上PNET非常少见,本病例MRI表现较典型,虽然确诊PNET需要病理学检查,但本病例的MRI表现基本可排除其他常见的颅内肿瘤,为诊断儿童PNET积累经验。
【参考文献】
1.Dohrmann GJ,Farwell JR,Flannery JT.Ependymomas and ependymoblastomas in children.Neurosurg,1976,45(3):273-283
2.李青,徐庆中,译.神经系统肿瘤病理学和遗传学.北京:人民卫生出版社,2006,6:147-149
3.Cruz-Sanchez FF,Haustein J.Rossi ML,et al.Ependymoblastoma:histological,immunohistochemieal study and ultrastruetural study of five cases.Histopathology,1988,12(1):l7-27
4.Kouyialis A T,Boviatsis EI,Karampelas IK,et al.Primitive supratentorial neuroectodermal tumor in an adult.J Clin Neurosci,2005,12(4):492-495
5.Law M,Kazmi K,Wetzel S.Dynamics susceptibility contrast-enhanced perfusion and conventional MR imaging findings for adult patients with cerebral primitive neuroectodermal tumors.Neuroradiology,2004,25(6):997-1005
6.Klisch J,Hussttedt H,Hennings,et al.Supratentorial primitive neuroectodermal tumors:diffusion-weighted MRI.Neuroradiology,2000,42(6):393-398
(环球医学编辑:余霞霞)
来源:《疑难病例影像诊断评述》
作者:郭启勇 卢再鸣
页码:255-258
出版:人民卫生出版社
- 评价此内容
- 我要打分
近期推荐
热门关键词
最新会议
- 2013循证医学和实效研究方法学研讨会
- 欧洲心脏病学会年会
- 世界帕金森病和相关疾病2013年会议
- 英国介入放射学学会2013年第25届年会
- 美国血液学会2013年年会
- 美国癫痫学会2013年第67届年会
- 肥胖学会 2013年年会
- 2013年第9届欧洲抗体会议
- 国际精神病学协会 2013年会议
- 妇科肿瘤2013年第18届大会
- 国际创伤压力研究学会2013年第29届…
- 2013年第4届亚太地区骨质疏松症会议
- 皮肤病协会国际2013年会议
- 世界糖尿病2013年大会
- 2013年国际成瘾性药年会
- 彭晓霞---诊断试验的Meta分析
- 武姗姗---累积Meta分析和TSA分析
- 孙凤---Network Meta分析
- 杨智荣---Cochrane综述实战经验分享
- 杨祖耀---疾病频率资料的Meta分析
合作伙伴
Copyright g-medon.com All Rights Reserved 环球医学资讯 未经授权请勿转载!
网络实名:环球医学:京ICP备08004413号-2
关于我们|
我们的服务|版权及责任声明|联系我们
互联网药品信息服务资格证书(京)-经营性-2017-0027
互联网医疗保健信息服务复核同意书 京卫计网审[2015]第0344号




会员登录

