老奶奶咽部疼痛、吞咽困难并加重 颈部CT及喉镜均提示咽部肿物
77岁女性,20天前咽部疼痛,偶有饮水呛咳。近4天来,上述症状加重,偶有憋气。病人行颈部CT及喉镜均提示咽部肿物。该患者患有……
疾病介绍
女性,77岁。病人自述于20天前咽部疼痛,偶有饮水呛咳,无咳嗽咳痰。近4天来,上述症状加重,偶有憋气。病人行颈部CT及喉镜均提示咽部肿物。病程中,病人神志清,精神尚可,咽部疼痛明显,无发热、流涕,无咳嗽、咳痰,无头痛、恶心呕吐,饮食欠佳,睡眠可,大小便如常,体重无明显变化。
专科检查
左侧扁桃体Ⅱ度肿大,咽部可见光滑圆形新生物向下咽部突出,吞咽困难,发音不清。咽腭弓、舌腭弓慢性充血,口咽腔狭窄。
影像方法
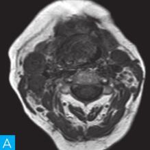
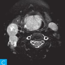
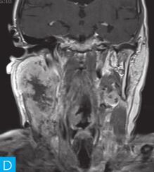
喉咽部MRI检查:病人采取仰卧位,横断位扫描为主,包括T1WI、T2WI及T2WI脂肪抑制序列,扫描范围自鼻咽部至喉咽以下,扫描层厚为3.5mm、层间隔0.35mm,矩阵512×512;辅以冠状位T2WI,矢状位T2WI序列及脂肪抑制序列,平扫后行横断位、冠状位及矢状位的增强扫描,造影剂量0.2ml/kg。见图1。






图1 咽喉部MRI:A.喉咽部MR横断面平扫T1WI;B.喉咽部MR横断面T2WI;C.喉咽部MR横断面T2压脂;D.喉咽部MR横断面增强T1WI;E.喉咽部MR冠状面T2WI;F.咽喉部MR冠状面增强T1WI
问题1 根据以上MRI图像,下列描述正确的是(多选)
A.双侧Ⅱ,Ⅲ,Ⅳ,Ⅴ区淋巴结
B.右侧扁桃体,压迫右侧杓会厌皱襞
C.病变信号均匀,表面光滑
D.病变突向喉咽腔
答案ABCD 解析:该病例发现两处病变,包括咽部和颈部。咽部的病变位于扁桃体,延伸至喉咽腔,口咽腔和梨状窝受压变窄。颈部的病变为多发淋巴结增大,淋巴结广泛分布于Ⅱ~Ⅴ区。扁桃体病变及颈部肿大淋巴结信号均较均匀,表面光滑。因此上述4个选项均正确。
问题2 颈部淋巴结增大的特征是(多选)
A.淋巴结增大,信号均匀,没有坏死
B.淋巴结位于颈动脉鞘周围,但与颈动脉鞘边界清晰,位于颈动脉鞘前后方
C.多发增大的淋巴结有融合倾向
D.淋巴结广泛分布于Ⅱ~Ⅴ区
答案ABCD 解析:该病例颈部淋巴结增大,广泛分布于Ⅱ~Ⅴ区,位于颈动脉鞘前后方的淋巴结与颈动脉鞘分界清楚,肿大淋巴结有融合趋势,且淋巴结的信号较均匀,边界光滑。因此,上述4个选项均正确。
问题3 病变表现为均匀中度强化,强化特征支持病变的诊断是(单选)
A.右侧扁桃体结核伴双侧颈部淋巴结结核
B.右侧扁桃体鳞癌伴颈部转移性淋巴结
C.右侧扁桃体淋巴瘤伴颈部淋巴瘤
D.右侧扁桃体增生伴淋巴结增生
答案C 解析:本病例中扁桃体病变表面光滑,信号均匀,提示病变来源于黏膜下。颈部肿大淋巴结分布广泛,信号均匀,不侵犯颈动脉鞘,部分淋巴结倾向融合,病变中度强化,进一步支持颈部淋巴瘤的诊断。故最佳答案为C。
病理诊断
穿刺活检所见:右侧舌根部灰白色,表面光滑较大肿物。活检组织淡粉色,质地中等。
右侧舌根部B细胞淋巴瘤。瘤细胞核呈圆形、锯齿状或不规则折叠;染色质空泡状或粗颗粒状,常有核仁,大小不等、嗜碱或嗜酸性;胞质中等量或丰富,透明、淡染或嗜双色;可见多叶核细胞或奇异细胞,核分裂象易见。
免疫组化瘤细胞:CD20(+),CD23滤泡树突网(+),Ki-67(30%+),CD5(T细胞+),CyclinD1(-),bcl-6生发中心(+),bcl-2(+),CD10(-)。
诊断分析思路
1.本病例影像学表现提示的诊断线索
MRI平扫可见右侧扁桃体较大的软组织肿块,T1WI呈稍低信号,T2WI呈稍高信号,信号较均匀,T2WI压脂序列上呈高信号,病变与右侧咽扁桃体及舌根部分界不清,左侧咽扁桃体肿大,口咽腔明显变形狭窄,病灶延伸至喉前庭;双侧锁骨上窝及颈血管鞘周围间隙内可见多发大小不等的肿大淋巴结,大部分肿大淋巴结信号较均匀,呈稍高信号,边界清楚,右侧颈部间隙内个别肿大淋巴结内见少量斑片状液化坏死区;增强扫描后下咽部病变及双侧颈部间隙内的肿大淋巴结均呈明显的较均匀强化,提示该两处占位病变的血供较为丰富,且可能为同源性病变,因此采取“一元论”诊断思维进行分析更为合理。
2.本病例的读片思路
(1)发现病变与认证:扁桃体及颈部病变较为容易发现,主要是分析两方面:一是仔细观察咽部有无原发病变,原发病变的形态及信号;二是评价淋巴结的分布,淋巴结的信号及生长特点。本病例基本征象为扁桃体病变信号均匀,无坏死,颈部淋巴结分布广泛,信号均匀。
(2)定位诊断:对于本病例来说,发现两处病变,包括咽部和颈部。咽部的病变位于扁桃体,延伸至喉咽腔,口咽腔和梨状窝受压变窄。颈部的病变为多发淋巴结增大,淋巴结广泛分布于Ⅱ~Ⅴ区。
(3)定性诊断:首先鉴别颈部肿大淋巴结的良恶性。颈部淋巴结结核多见于年轻人,一侧或双侧发生,以一侧多见,常见于耳后、胸锁乳突肌前后缘,多发无痛、可移动结节,有结核中毒症状。该病例通过病史即能排除淋巴结结核的诊断。其次,颈部恶性肿瘤中80%为转移性肿瘤,其中转移瘤的80%来源于头颈部恶性肿瘤,主要分布于颈内静脉区、胸锁乳突肌周围淋巴结,其中多为鳞状细胞癌转移,主要来自口腔、鼻窦、喉及咽等处癌瘤,腺癌则多来自甲状腺癌及涎腺、鼻腔肿瘤。该病例在咽部发现一较大的软组织肿块,因此需要考虑下咽部恶性肿瘤并颈部多发淋巴结转移。咽部的恶性肿瘤多为鳞癌,鳞癌的淋巴结转移很容易发生中心坏死,且可融合而呈分叶状,直径达3~4cm,增强后呈环形强化,环壁厚,不规则。但该病例中淋巴结内及咽部肿块内未见明显的液化坏死区,增强后病变强化较均匀,还需要考虑颈部淋巴瘤的诊断。颈部淋巴瘤是指原发与颈部淋巴结的恶性肿瘤,包括霍奇金与非霍奇金淋巴瘤。可以一侧或双侧多发的淋巴结肿大,可融合成较大团块,MR T1WI为等信号或略低信号,T2WI为高信号,较小的病灶表现均匀,较大的病灶可有不规则坏死,增强后呈轻度强化。淋巴瘤的诊断主要依赖于穿刺活检或手术病理证实,与淋巴结转移瘤单凭影像学表现不易鉴别。
诊断与鉴别诊断
1.诊断要点
本病例的特点为右侧扁桃体肿块,病变边界较清楚,表面光滑,信号均匀。双侧颈部间隙内多发肿大淋巴结,淋巴结围绕颈动脉鞘,部分病变融合倾向,广泛分布于Ⅱ~Ⅴ区,增强后病变较明显强化。
2.鉴别诊断
(1)扁桃体鳞癌并颈部转移性淋巴结:扁桃体可发生多种原发性恶性肿瘤,鳞状细胞癌发生率较高,恶性淋巴瘤次之。扁桃体鳞癌多呈浸润性生长,病变形态多不规则,边界常不清楚,且可融合而呈分叶状,肿瘤内易囊变、坏死,常导致密度及信号不均匀,增强后大多数为明显不均匀强化,呈环形强化,环壁厚,不规则。鳞癌常有深部侵犯,侵犯范围广,且易侵犯咽旁间隙。扁桃体癌分化程度较差,侵袭性强,早期即有淋巴结转移。其颈部淋巴结转移很容易发生中心坏死,淋巴结直径可达3~4cm,其典型的影像学表现为不规则环形强化伴中心坏死区(图2)。




图2 扁桃体鳞癌并颈部转移性淋巴结:A.咽喉部MR横断面平扫T1WI;B.咽喉部MR横断面T2WI;C.咽喉部MR横断面增强T1WI;D.咽喉部MR冠状面增强T1WI
(2)颈部淋巴结结核:多见于年轻人,一侧或双侧发生,以一侧多见,常见于耳后、胸锁乳突肌前后缘,多发无痛、可移动结节,有结核中毒症状。影像学可以反映淋巴结的病理改变,淋巴结均匀强化,边缘光整,周围脂肪间隙清晰为淋巴结结核肉芽肿期;淋巴结强化不均匀和薄壁环形强化为淋巴结结核干酪样坏死期;淋巴结不规则厚壁环形强化,中心可见未强化区为淋巴结周围炎期;不规则厚壁环形强化,环不完整,中心未强化区延伸至淋巴结外,周围脂肪间隙消失为结核第四期,即包膜破坏,多个淋巴结融合,形成结核脓肿。部分病人多期病理改变的淋巴结共同存在,部分淋巴结内可见点状钙化。淋巴结结核内部为干酪样坏死,CT值常大于35HU以上,平扫时坏死区与未坏死区分界不清,增强后显示清晰。淋巴结结核的淋巴结可融合成团,与肌肉粘连,周围脂肪间隙模糊消失,局部皮肤增厚,甚至破溃形成窦道。
专家点评
该病例首先对病变进行定位,包括咽部的和颈部的。咽部的病变:病变位于扁桃体,延伸至喉咽腔,口咽腔和梨状窝受压变窄(引起异物感和吞咽困难的原因)。颈部的病变:多发淋巴结增大,淋巴结广泛分布于Ⅱ~Ⅴ区。扁桃体病变的信号特征:扁桃体病变表面光滑,提示黏膜完整,病变来源于黏膜下,病变信号均匀,无坏死,进一步支持病变来源于黏膜下。颈部淋巴结病变的特征:淋巴结分布广泛,信号均匀(可以初步排除结核和转移,后两者容易坏死),围绕颈动脉鞘,但是不侵犯颈动脉鞘(转移容易侵犯颈动脉鞘),部分淋巴结融合倾向(结核淋巴结增大,无融合倾向,而且容易坏死),病变中度强化,进一步支持颈部淋巴瘤的诊断。诊断原则:首先仔细观察咽部有无原发病变,原发病变的形态及信号,尤其黏膜是否完整。其次评价淋巴结的分布,淋巴结的信号及生长特点。
(病例供稿:新疆医科大学第一附属医院 丁爽)
(点评专家:天津市第一中心医院 夏爽)
(环球医学编辑:余霞霞)
来源:《中华医学影像案例解析宝典.头颈分册》
作者:王振常 满凤媛
页码:203-206
出版:人民卫生出版社
- 评价此内容
- 我要打分
近期推荐
热门关键词
最新会议
- 2013循证医学和实效研究方法学研讨会
- 欧洲心脏病学会年会
- 世界帕金森病和相关疾病2013年会议
- 英国介入放射学学会2013年第25届年会
- 美国血液学会2013年年会
- 美国癫痫学会2013年第67届年会
- 肥胖学会 2013年年会
- 2013年第9届欧洲抗体会议
- 国际精神病学协会 2013年会议
- 妇科肿瘤2013年第18届大会
- 国际创伤压力研究学会2013年第29届…
- 2013年第4届亚太地区骨质疏松症会议
- 皮肤病协会国际2013年会议
- 世界糖尿病2013年大会
- 2013年国际成瘾性药年会
- 彭晓霞---诊断试验的Meta分析
- 武姗姗---累积Meta分析和TSA分析
- 孙凤---Network Meta分析
- 杨智荣---Cochrane综述实战经验分享
- 杨祖耀---疾病频率资料的Meta分析
合作伙伴
Copyright g-medon.com All Rights Reserved 环球医学资讯 未经授权请勿转载!
网络实名:环球医学:京ICP备08004413号-2
关于我们|
我们的服务|版权及责任声明|联系我们
互联网药品信息服务资格证书(京)-经营性-2017-0027
互联网医疗保健信息服务复核同意书 京卫计网审[2015]第0344号




会员登录

