老人左侧肢体麻木进展到右侧 心脏病?脑血栓?
69岁男性,3年前无明显诱因出现左侧上肢麻木、疼痛,当地医院按心脏疾病治疗,未好转。后进展为左侧上下肢麻木、活动不灵,当地医院诊断为脑血栓。更悲催的是,随后右侧肢体活动不灵,不能独立行走。该患者所患何病?
【病例介绍】
患者男,69岁,3年前无明显诱因出现左侧上肢麻木、疼痛,当地医院按心脏疾病治疗,未好转。2010年10月进展为左侧上下肢麻木、活动不灵,当地医院诊断为脑血栓。2011年1月患者出现右侧肢体活动不灵,不能独立行走。患者为求进一步诊治入我院。病来饮食、睡眠可,便秘,小便正常(图1)。

图1 颈椎序列整齐、曲度正常;颈3~7间盘向后隆起,颈4~7黄韧带肥厚。颈5~6椎体水平椎管内见等信号占位,大小约18.1mm×13.5mm×24.3mm,脊髓受压右移。增强占位呈均匀明显强化
【诊断】
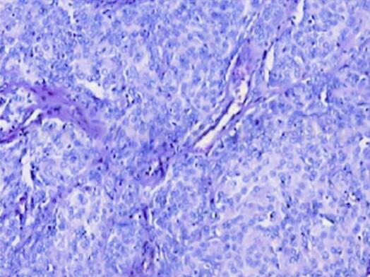
(颈椎)脊膜瘤(图2)

图2 瘤细胞上皮样呈片、呈团排列
一、概述
脊膜瘤,常位于脊髓腹侧,多数可获手术全切除。术中需对肿瘤附着处硬脊膜予以电凝处理,防止复发。脊膜瘤对放疗不敏感,化疗无效,不建议行放化疗。近年来,随着显微神经外科的发展,及术中神经电生理监测的应用,肿瘤的诊治水平得到很大提高,正确理解和应用显微外科手术技巧,加强对脊柱力学与结构的把握,提高肿瘤的治疗水平。
二、影像学表现
(一)CT
实质性肿物,轮廓规整、界限清楚,密度多高于邻近脊髓,邻近骨质反应性增生肥厚,瘤体内不规则钙化为其特征性表现。
(二)MRI
肿瘤多位于脊髓后外侧,>2个脊髓节段着很少见。典型脊膜瘤(80%~90%),T1WI和T2WI均为等信号;不典型者,T1呈低信号、T2表现为稍高信号,或为低信号(20%);囊变区为高信号,钙化致瘤体信号不均匀及T2低信号,为其MRI表现特征。Gd-DTPA增强扫描肿瘤呈持久均一强化。
(环球医学编辑:余霞霞)
来源:《疑难病例影像诊断评述》
作者:郭启勇 卢再鸣
页码:19-21
出版:人民卫生出版社
- 评价此内容
- 我要打分
近期推荐
热门关键词
最新会议
- 2013循证医学和实效研究方法学研讨会
- 欧洲心脏病学会年会
- 世界帕金森病和相关疾病2013年会议
- 英国介入放射学学会2013年第25届年会
- 美国血液学会2013年年会
- 美国癫痫学会2013年第67届年会
- 肥胖学会 2013年年会
- 2013年第9届欧洲抗体会议
- 国际精神病学协会 2013年会议
- 妇科肿瘤2013年第18届大会
- 国际创伤压力研究学会2013年第29届…
- 2013年第4届亚太地区骨质疏松症会议
- 皮肤病协会国际2013年会议
- 世界糖尿病2013年大会
- 2013年国际成瘾性药年会
- 彭晓霞---诊断试验的Meta分析
- 武姗姗---累积Meta分析和TSA分析
- 孙凤---Network Meta分析
- 杨智荣---Cochrane综述实战经验分享
- 杨祖耀---疾病频率资料的Meta分析
合作伙伴
Copyright g-medon.com All Rights Reserved 环球医学资讯 未经授权请勿转载!
网络实名:环球医学:京ICP备08004413号-2
关于我们|
我们的服务|版权及责任声明|联系我们
互联网药品信息服务资格证书(京)-经营性-2017-0027
互联网医疗保健信息服务复核同意书 京卫计网审[2015]第0344号




会员登录

