21岁小伙持续性头部钝痛一个月 原来是“它”在作怪
21岁男性,4年前出现多饮多尿,且进行性加重。外院确诊为尿崩症,药物后症状明显缓解。3年前头部MRI发现垂体柄增粗,但多饮多尿症状未见加重。后患者出现疲乏、食欲缺乏,遂就诊于笔者医院。该患者患有……
【主诉】
患者男,21岁。主因“1个月前出现持续性头部钝痛,可忍受,晨起时加重”就诊。
【临床资料】
1.病史
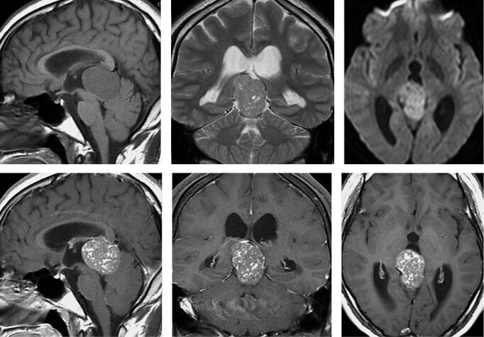
4年前出现多饮多尿,且进行性加重。外院就诊甲状腺功能及皮质醇化验检查均正常,确诊为尿崩症,药物后症状明显缓解。3年前头部MRI发现垂体柄增粗,但多饮多尿症状未见加重。后患者出现疲乏、食欲缺乏,遂就诊于我院,MRI发现鞍上占位,考虑生殖细胞瘤可能性大,放化疗后病变明显减小。
2.查体
患者精神状态良好,神志清楚,言语流利,生命体征平稳,四肢肌力肌张力正常,活动自如,饮食睡眠良好,口服弥凝后小便正常,大便正常。
3.磁共振成像参数
应用Philips Archiva 1.5T超导型MRI扫描系统,8通道头线圈,患者仰卧位。扫描序列包括矢状位T1WI,横断位T1WI、T2WI、FLAIR和DWI,冠状位T2WI。增强扫描行矢冠横断位T1WI扫描,对比剂使用加乐显,7.5ml,经肘静脉手推注射,注射后立即行增强扫描。MRI平扫见图1。

图1 三室后生殖细胞瘤
【诊断】
三室后生殖细胞瘤
(朱明旺)
(环球医学编辑:余霞霞)
来源:《磁共振成像对比剂的临床应用》
作者:李坤成
页码:239-240
出版:人民卫生出版社
- 评价此内容
- 我要打分
近期推荐
热门关键词
最新会议
- 2013循证医学和实效研究方法学研讨会
- 欧洲心脏病学会年会
- 世界帕金森病和相关疾病2013年会议
- 英国介入放射学学会2013年第25届年会
- 美国血液学会2013年年会
- 美国癫痫学会2013年第67届年会
- 肥胖学会 2013年年会
- 2013年第9届欧洲抗体会议
- 国际精神病学协会 2013年会议
- 妇科肿瘤2013年第18届大会
- 国际创伤压力研究学会2013年第29届…
- 2013年第4届亚太地区骨质疏松症会议
- 皮肤病协会国际2013年会议
- 世界糖尿病2013年大会
- 2013年国际成瘾性药年会
- 彭晓霞---诊断试验的Meta分析
- 武姗姗---累积Meta分析和TSA分析
- 孙凤---Network Meta分析
- 杨智荣---Cochrane综述实战经验分享
- 杨祖耀---疾病频率资料的Meta分析
合作伙伴
Copyright g-medon.com All Rights Reserved 环球医学资讯 未经授权请勿转载!
网络实名:环球医学:京ICP备08004413号-2
关于我们|
我们的服务|版权及责任声明|联系我们
互联网药品信息服务资格证书(京)-经营性-2017-0027
互联网医疗保健信息服务复核同意书 京卫计网审[2015]第0344号




会员登录

