大妈耳后有一蚕豆大小肿物 CT提示右侧腮腺区占位病变
48岁女性,3个月前偶然发觉右耳后有一个肿物,蚕豆大小,无不适,CT扫描发现右侧腮腺区占位病变。该患者患有……
【主诉】
患者女,48岁。主因“右耳发现小肿物3个月”就诊。
【临床资料】
1.症状
3个月前偶然发觉右耳后有一个肿物,蚕豆大小,无不适,CT扫描发现右侧腮腺区占位病变。
2.查体
患者面部基本对称,右侧耳后可触及一个肿物,约1cm×2cm×2cm大小,无触痛,质地中等,界限尚清,活动度一般,与周围组织有粘连感,表面皮肤无红肿,皮温无升高,无面瘫症状。双侧颌下及颏下均未触及淋巴结,舌背无异常,舌体活动自如,各腺体无红肿,分泌液清亮。
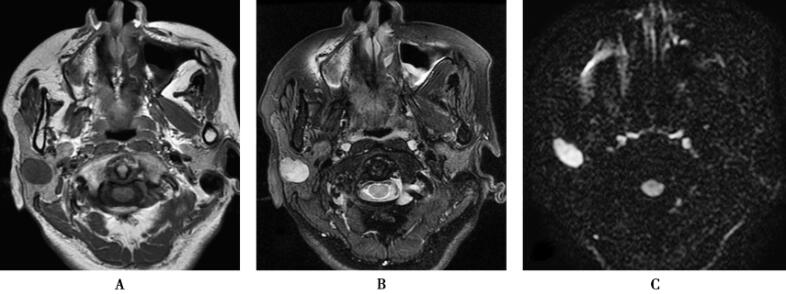
3.磁共振成像参考
应用3.0T超导型MRI扫描仪(HDx,GE),8通道头线圈,获取SE体轴横断T1WI(TR/TE=600ms/8.68ms),3mm层厚,1mm间隔,512×512矩阵,200mm视野,FSE加脂肪抑制横断和冠状位T2WI[TR/TE=(3180~6000ms)/(44~88ms)],3mm层厚,1mm间隔,512×512矩阵,200mm视野。DWI:应用多b值成像,TR/TE=6000ms/109.9ms,3mm层厚,1mm间隔,512×512矩阵,200mm视野。应用钆喷酸葡胺(剂量0.1mmol/kg体重),以2.5ml/s流率注射,进行动态增强扫描,并作TIC曲线,获取横断位和冠状位T1WI扫描(图1)。


图1右腮腺混合瘤
【诊断】
右腮腺混合瘤
【鉴别诊断】
1.右侧腮腺多形性腺瘤右侧腮腺浅叶上部见椭圆形病灶,边界清晰,见浅分叶,病灶内部信号欠均匀,T1WI呈稍低信号,T2WI呈高信号,信号不均匀,DWI呈高信号,增强扫描病灶延迟性强化,强化欠均匀,TIC曲线呈持续强化型。
2.腺淋巴瘤(Warthin瘤)亦多见于腮腺浅叶后下极,T1WI和T2WI均呈高信号,颇具特征,增强扫描中度快速强化、快速消退,此征象可与腮腺多形性腺瘤鉴别。
【最终诊断】
右侧腮腺浅叶混合瘤。HE染色(×40倍),镜下粘液背景中可见上皮及肌上皮细胞。
【专家点评】
腮腺良性多形性腺瘤又称为多形性腺瘤,是最常见的唾液腺肿瘤,好发于青壮年。良性者常偶然发现无痛性肿块,表面光滑,界限清晰,质地中等,多位于腮腺浅叶下极。MRI在T1WI为等信号,T2WI为高信号,周边可见低信号薄壁包膜。腮腺多形性腺瘤动态增强扫描TIC曲线呈持续强化型,早期强化不明显,延迟期显著强化为其特征性改变。原因是本病属于良性肿瘤,毛细血管内皮细胞相对完整,通透性相对正常,对比剂需较长时间才能通过肿瘤血管渗透至细胞外间隙,其间质成分多、结构复杂,廓清时间也相应延长,根据此强化特点可以与腮腺腺淋巴瘤相鉴别。后者的动态增强扫描表现为快速强化、快速消退。
(郭亮 马星星)
(环球医学编辑:余霞霞)
来源:《磁共振成像对比剂的临床应用》
作者:李坤成
页码:238-239
出版:人民卫生出版社
- 评价此内容
- 我要打分
近期推荐
热门关键词
最新会议
- 2013循证医学和实效研究方法学研讨会
- 欧洲心脏病学会年会
- 世界帕金森病和相关疾病2013年会议
- 英国介入放射学学会2013年第25届年会
- 美国血液学会2013年年会
- 美国癫痫学会2013年第67届年会
- 肥胖学会 2013年年会
- 2013年第9届欧洲抗体会议
- 国际精神病学协会 2013年会议
- 妇科肿瘤2013年第18届大会
- 国际创伤压力研究学会2013年第29届…
- 2013年第4届亚太地区骨质疏松症会议
- 皮肤病协会国际2013年会议
- 世界糖尿病2013年大会
- 2013年国际成瘾性药年会
- 彭晓霞---诊断试验的Meta分析
- 武姗姗---累积Meta分析和TSA分析
- 孙凤---Network Meta分析
- 杨智荣---Cochrane综述实战经验分享
- 杨祖耀---疾病频率资料的Meta分析
合作伙伴
Copyright g-medon.com All Rights Reserved 环球医学资讯 未经授权请勿转载!
网络实名:环球医学:京ICP备08004413号-2
关于我们|
我们的服务|版权及责任声明|联系我们
互联网药品信息服务资格证书(京)-经营性-2017-0027
互联网医疗保健信息服务复核同意书 京卫计网审[2015]第0344号




会员登录

