老奶奶上腹部不适数年未重视 加重后却查出了这种病
66岁女性,主因“上腹部不适5年,加重1周”就诊,有15年丙肝病史,所患何病?
【主诉】
患者女,66岁。主因“上腹部不适5年,加重1周”就诊。
【临床资料】
1.既往史
丙肝病史15年。
2.查体
未见异常改变。肿瘤标记物CA19-9 54.21U/ml,CEA 4.95ng/ml,甲胎蛋白AFP 94.39ng/ml,CA12-5正常。
3.磁共振成像参数
MRI胃平扫加增强扫描(GE/Discovery MR 750 3.0T)。患者影像检查前禁食8~12小时,检查前10~15分钟肌内注射山莨菪碱(654-2)20mg,即刻饮用温开水800~1000ml,采用8通道相控阵体线圈,仰卧位扫描,扫描范围从贲门向下至整个胃部。扫描序列采用T2 SSFSE(TR/TE=7058ms/72ms)、T2 FSE ASSET(TR/TE=6666ms/85ms);DWI(TR/TE=6666ms/77.9ms,b=1000s/mm2)。LAVA动态增强扫描加脂肪抑制扫描(TR/TE=3.7ms/2.2ms)层厚4~5mm,层距1mm,FOV42×42,矩阵244×256。对比剂为钆喷酸葡胺注射液(Magnevist)469.01mg/ml×15ml×2。用高压注射器行肘静脉注射,注射速率3ml/s,随后注入20ml生理盐水。动态增强扫描时间为18秒/次;总共三期增强扫描时间4分钟为左右。影像学和病理表现见图1和图2。

图1 胃癌(T3N1)


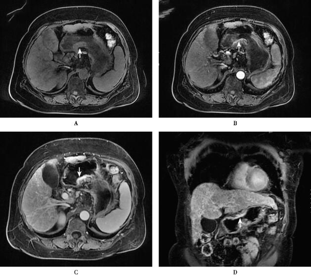
图2 肝硬化结节癌变
【鉴别诊断】
1.肝硬化结节癌变
肝硬化结节癌变的T1WI多呈低信号,T2WI多呈高信号,增强扫描典型表现为“快进快出”。
2.胃癌伴肝右叶转移瘤
显示为肝内多发或单发、边缘清楚的病灶。T1WI常表现均匀的稍低信号,T2WI则呈稍高信号。25%的肿瘤中心在T2WI上呈高信号,T1WI呈低信号,称为环靶征。有时肿瘤周围T2WI表现呈高信号环,称为亮环征或晕征,这可能与肿瘤周边水肿或丰富血供有关。
3.肝细胞癌(HCC)
在T1WI呈现为低信号者居多,高分化HCC可呈现为等或稍高信号,T2WI脂肪抑制小HCC约60%为高信号,约40%为等或低信号。动脉期均匀强化,门脉期和延迟期变为低或相对低信号。
【最终诊断】
胃癌T3N1,肝右叶肝硬化结节癌变。
【专家点评】
在胃癌M分期上,CT对胃癌的肝、肺以及腹膜等转移灶的诊断已成为常规,包括“网膜饼”、腹水以及Krukenberg瘤等,但是MRI对肝转移的显示优于CT。MRI对肝再生结节与退变结节的鉴别、肝细胞癌的分期具有重要价值,结合临床、影像特征,尤其是MRI常规及功能成像特征对准确判断肝硬化结节的恶变趋势有重要价值,是改善预后的关键。
就此例患者而言,MRI平扫显示其肝硬化背景及肝右叶占位性病变,增强扫描“快进快出”的表现将其与肝转移瘤鉴别。此例患者肝转移瘤及肝癌的鉴别,对治疗方案的选择有非常重要的意义。
MRI多方位成像利于胃壁邻近结构如胰腺、肝脏、腹壁、肾脏及肾上腺、后腹膜的全面观察,尤其矢状位图像对邻近结构受累浸润显示清楚。动态增强有助于鉴别肝、胰等实质脏器的浸润边界。此外,MRI多序列、多方位成像、动态增强扫描及具有的良好的软组织分辨率均可很好的显示胃癌其他部位的转移或种植病灶。然而MRI也有不足之处,一是检查时间较长,患者难以长时间保持平静且均匀一致的呼吸,因此在很大程度上影响了图像的质量;二是由于扫描范围较局限,动态增强时MRI显示范围较CT小。
(张惠茅)
(环球医学编辑:余霞霞)
来源:《磁共振成像对比剂的临床应用》
作者:李坤成
页码:263-266
出版:人民卫生出版社
- 评价此内容
- 我要打分
近期推荐
热门关键词
最新会议
- 2013循证医学和实效研究方法学研讨会
- 欧洲心脏病学会年会
- 世界帕金森病和相关疾病2013年会议
- 英国介入放射学学会2013年第25届年会
- 美国血液学会2013年年会
- 美国癫痫学会2013年第67届年会
- 肥胖学会 2013年年会
- 2013年第9届欧洲抗体会议
- 国际精神病学协会 2013年会议
- 妇科肿瘤2013年第18届大会
- 国际创伤压力研究学会2013年第29届…
- 2013年第4届亚太地区骨质疏松症会议
- 皮肤病协会国际2013年会议
- 世界糖尿病2013年大会
- 2013年国际成瘾性药年会
- 彭晓霞---诊断试验的Meta分析
- 武姗姗---累积Meta分析和TSA分析
- 孙凤---Network Meta分析
- 杨智荣---Cochrane综述实战经验分享
- 杨祖耀---疾病频率资料的Meta分析
合作伙伴
Copyright g-medon.com All Rights Reserved 环球医学资讯 未经授权请勿转载!
网络实名:环球医学:京ICP备08004413号-2
关于我们|
我们的服务|版权及责任声明|联系我们
互联网药品信息服务资格证书(京)-经营性-2017-0027
互联网医疗保健信息服务复核同意书 京卫计网审[2015]第0344号




会员登录

