青年女子咳嗽、气喘并加重 一时间竟查不出所以然
32岁女性,入院前6个月开始出现阵发性咳嗽,曾多次就诊于医院,考虑支气管炎,予药物治疗(具体不详),仍反复咳嗽、气喘。入院前1个月余就诊某医院,行肺功能检查示通气功能混合型减退,以阻塞性为主(轻度),伴小气道中度损害。对症治疗后效果不佳。入院前1天患者出现咳嗽、气喘较前加重,遂转诊,行胸片检查示两中下肺阴影,考虑炎症。予治疗后(具体不详)症状稍好转,转诊笔者医院,为进一步诊治,门诊拟“咳嗽、气促待查”收住入院。
【病情介绍】
患者,女性,32岁。因“反复咳嗽、气喘6个月,加重1天”为主诉于2010年10月1日10时40分步行入院。入院前6个月开始出现阵发性咳嗽、咳痰,痰为黄黏痰,量少,不易咳出,伴气促,活动后明显,曾多次就诊于医院,考虑支气管炎,予药物治疗(具体不详),仍反复咳嗽、气促,夜间及活动后明显,油漆、汽油等气味亦可诱发咳嗽、气喘。入院前1个月余就诊某医院,行肺功能检查示通气功能混合型减退,以阻塞性为主(轻度),伴小气道中度损害。药物舒张试验阳性,FEV1改善量> 200ml,改善率达到12%。予布地奈德吸入,效果不佳。入院前1天患者出现咳嗽、气喘较前加重,夜间不能平卧,遂转诊,行胸片检查示两中下肺阴影,考虑炎症。予治疗后(具体不详)症状稍好转,转诊笔者医院,为进一步诊治,门诊拟“咳嗽、气促待查”收住入院。病程中食欲稍减退,二便正常。
入院查体:T 37.0℃,P 102次/分,R 22次/分,BP 104/76mmHg,SPO2 99%(吸空气)。神清,步行入院。全身浅表淋巴结未触及肿大。口唇无发绀,双侧颈静脉无怒张,肝颈静脉回流征阴性,双肺呼吸音粗,未闻及干湿性啰音。心前区无隆起,心尖搏动位于第5肋间左锁骨中线外0.5cm,无抬举感,无震颤,无心包摩擦感。心相对浊音界向左下扩大,心率102次/分,律齐,P2 > A2,心尖部可闻及4/6级舒张期杂音,无心包摩擦音。桡动脉脉率102次/分,律齐,无水冲脉,枪击音,毛细血管搏动征阴性。腹平软,全腹无压痛、反跳痛,肝脾肋下未触及。双下肢无水肿。
入院诊断:咳嗽、气促待查、风湿性心脏病可能性大、慢性心力衰竭急性加重、肺部感染可能。
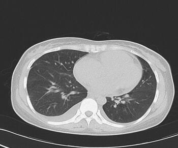
诊治经过:入院后查血常规示:WBC 11.3×109/L,N 77.3%,Hb 127g/L,PLT 202×109/L;生化:LDH 545IU/L,Ca2+ 1.9mmol/L,余未见异常;cTnI 0.20ng/ml,BNP 1315pg/ml;凝血:PT 15.4秒,APTT 36.5秒,INR 1.28,FIB 4.1g/L,D-二聚体0.93μg/ml;抗“O”47.5IU/ml;血沉:5mm/h,入院后第1天予青霉素、异帕米星联合抗感染,硝酸甘油、利尿剂减轻心脏负荷,营养心肌等治疗。入院第3天查肺部CT(图1),入院第4天查心脏彩超。入院第5天请心外科会诊,转心外科手术治疗。入院第8天在全麻CPB下行“左心房黏液瘤切除术”。手术顺利,术后继续给予阿莫西林-舒巴坦钠抗感染、营养心肌等对症处理,患者恢复顺利,复查血常规、生化大致正常,复查心电图、胸片未见明显异常,入院后第15天复查心脏彩超示左心房黏液瘤术后,左心房内未见异常征象,二尖瓣反流(+~++),心包少量积液。入院第17天出院。但该患者出院后肿瘤复发,术后半年内死亡。

图1 胸部CT示双肺感染,双侧胸腔少量积液,右上肺局限性肺气肿
最终诊断:左心房恶性纤维组织细胞瘤、二尖瓣关闭不全、三尖瓣关闭不全、慢性心力衰竭急性加重、心功能Ⅲ级、肺部感染。
重要提示
1.青年女性,反复咳嗽、气喘6个月,加重1天,夜间不能平卧。
2.查体提示双肺呼吸音粗,心界向左下扩大,心尖部可闻及4/6级舒张期杂音,P2 > A2。
3.血象高,肌钙蛋白、BNP升高,胸部CT示双肺感染,双侧胸腔少量积液,右上肺局限性肺气肿。
【讨论】
患者为左心房恶性纤维组织细胞瘤合并肺部感染、心力衰竭,此病属心脏原发肿瘤,罕见。恶性纤维组织细胞瘤是恶性间质肿瘤,约占原发性心脏肿瘤的10%,年轻女性发病率较高,通常累及左心房,临床上,可引起左心房流入道及流出道阻塞症状及充血性心力衰竭,常易并发肺部感染。心脏彩超及磁共振成像是有效检查手段,术前不易确诊,易与左心房黏液瘤相混淆,鉴别诊断主要依靠病理提示有成纤维细胞,手术治疗为有效治疗方法,因肿瘤广基无蒂,手术以疏通左心房流入道及流出道为主要目的,彻底切除较困难,因此预后较差。本病例起病较缓,发病早期主要表现为咳嗽、气喘,异味可诱发加重,且行肺功能检查示药物舒张试验阳性,容易被误诊为支气管哮喘,而忽视了心脏的体征及相关检查,按哮喘治疗效果不佳后,转诊到笔者医院。转笔者医院前1天上述症状加重,夜间不能平卧,心力衰竭症状加重,并发肺部感染,查体提示二尖瓣相对性狭窄体征,从常见病、多发病考虑,首先误诊为风湿性心脏病、二尖瓣狭窄。
后查心脏彩超提示左心房异常团块回声(考虑左心房黏液瘤)。因为左心房肿瘤多为黏液瘤,故考虑左心房黏液瘤可能性大,左心房黏液瘤为良性肿瘤,预后较好,结果术后病理回报是左心房恶性纤维组织细胞瘤。在医学日益发展的今天,大型检查日益完善,临床医师对疾病的诊断越来越依赖于大型检查,易忽视体格检查,本病例误诊的原因首先是因为发病早期医师单凭病史及肺功能报告武断考虑肺部疾病,而忽视了心脏的查体,其后误诊为风湿性心脏病则是对心脏杂音的听诊欠缺经验,特别是肿瘤扑落音的听诊。心脏彩超医师考虑为心房黏液瘤则是因为陷入了常见病、多发病的怪圈,未考虑到罕见恶性肿瘤的可能。此病例的诊断是一波三折,提出此病历,有利于拓展内科医师的临床思维,提高警惕,重视体格检查基本功的培养,减少漏诊及误诊,提高临床医师对此病的认识。
【专家评析】
原发性心脏肿瘤少见,左心房恶性纤维组织细胞瘤更为罕见。后者属恶性间质肿瘤,占原发性心脏肿瘤的10%。由于原发性心脏恶性肿瘤生长方式不尽相同,决定了其多样而非特异性的临床症状和体征,可出现心力衰竭、心包积液、心律失常、栓塞、猝死等临床表现。本例患者由于咳嗽,气喘、呼吸困难的症状,易与呼吸系统疾病混淆;由于出现左心衰竭症状、二尖瓣舒张期杂音,易与风湿性心脏病二尖瓣狭窄混淆;由于心脏彩超提示左心房异常团块,易与左心房黏液瘤混淆,所以在术前确诊困难。但是在临床上应重视对心脏体征的检查,了解心脏杂音的部位、响度,了解杂音是否随体位、时间变化而改变,了解杂音有无伴随异常心音;注意对二尖瓣舒张期杂音的鉴别。本例患者虽经过手术治疗,病理确诊为原发性左心房恶性纤维组织细胞瘤,但由于肿瘤基底部较宽,难以根治性切除,术后预后差。
参考文献
1.汪曾炜,刘维永,张宝仁.心脏外科学.北京:人民军医出版社,2003.
2.张志豪,张锦贤.左心房恶性纤维组织细胞瘤1例.武警医学院学报,2003,02:89.
(环球医学编辑:余霞霞)
来源:《急诊临床病案评析:感染与心血管性疾病》
作者:陈旭岩 王仲
页码:210-212
出版:人民卫生出版社
- 评价此内容
- 我要打分
近期推荐
热门关键词
最新会议
- 2013循证医学和实效研究方法学研讨会
- 欧洲心脏病学会年会
- 世界帕金森病和相关疾病2013年会议
- 英国介入放射学学会2013年第25届年会
- 美国血液学会2013年年会
- 美国癫痫学会2013年第67届年会
- 肥胖学会 2013年年会
- 2013年第9届欧洲抗体会议
- 国际精神病学协会 2013年会议
- 妇科肿瘤2013年第18届大会
- 国际创伤压力研究学会2013年第29届…
- 2013年第4届亚太地区骨质疏松症会议
- 皮肤病协会国际2013年会议
- 世界糖尿病2013年大会
- 2013年国际成瘾性药年会
- 彭晓霞---诊断试验的Meta分析
- 武姗姗---累积Meta分析和TSA分析
- 孙凤---Network Meta分析
- 杨智荣---Cochrane综述实战经验分享
- 杨祖耀---疾病频率资料的Meta分析
合作伙伴
Copyright g-medon.com All Rights Reserved 环球医学资讯 未经授权请勿转载!
网络实名:环球医学:京ICP备08004413号-2
关于我们|
我们的服务|版权及责任声明|联系我们
互联网药品信息服务资格证书(京)-经营性-2017-0027
互联网医疗保健信息服务复核同意书 京卫计网审[2015]第0344号




会员登录

