男子气短1个月 胸片提示左侧大量胸腔积液 诊断结果出乎意料
58岁男性,无诱因胸闷气短1个月,并进行性加重,偶有干咳。入院前1天于外院行胸部正位片提示左侧大量胸腔积液征象,未予任何治疗即来笔者医院就诊。询问病史发现,患者13年前因右肾透明细胞癌行右肾根治性切除术(T1N0M0),术后定期监测,病情稳定,未发现转移征象。该患者胸闷气短的原因是?
患者男性,58岁,于2011年12月19日入院。
一、主诉
气短1个月。
二、病史询问
(一)初步诊断思路及问诊目的
中老年男性,隐袭起病,主要表现为气短,外院胸部X线提示为左侧大量胸腔积液,无发热,首先考虑为恶性胸腔积液,注意除外结核性胸膜炎,因此问诊的目的主要围绕既往病史及环境接触史、起病诱因、发病时主要症状及特点、伴随症状、是否经过治疗及效果如何等问题展开,以寻找左侧胸腔积液的原因。
(二)问诊主要内容及目的
1.既往身体状况及有无结核或石棉环境接触史?
既往有结核病患者接触史或者患过结核病,甚至有糖尿病史,则支持结核性胸膜炎的诊断;曾有恶性肿瘤病史,则警惕恶性肿瘤胸膜转移;若长期石棉接触史,则需警惕石棉肺或恶性胸膜间皮瘤所致的胸腔积液;如果有结缔组织疾病,则需注意结缔组织疾病所致胸腔积液可能;甚至存在甲状腺功能减退症也可引起单侧胸腔积液,因此既往身体状况及环境暴露史,对本病的诊断可提供重要的线索。
2.发病前有无诱因?
若是外伤后出现胸腔积液,则需考虑创伤后胸腔积液;若曾有胰腺炎或食管破裂或腹部手术,则需考虑非感染性胃肠道疾病所致的反应性胸膜炎;长期服用药物如胺碘酮、博来霉素等,也可出现药物诱发的胸腔积液;若放射治疗后出现胸腔积液,则也需考虑放疗引起的胸腔积液。因此,发病前的诱因对胸腔积液的原因查找也有很大的帮助。
3.发病后临床表现及伴随症状是怎样的?
若伴随有低热、盗汗、乏力等结核中毒症状,则支持结核性胸膜炎的诊断;若感染中毒症状较重,高热、咳黄痰,则需考虑复杂型肺炎旁胸腔积液,甚至脓胸的可能;若胸痛明显,应注意恶性胸膜间皮瘤的可能;若伴浅表淋巴结的肿大,则需警惕淋巴瘤等恶性疾病。
(三)问诊结果及临床分析
患者为退休干部,目前主要从事家务。既往13年前因右肾透明细胞癌行右肾根治性切除术(T1N0M0),术后定期监测,病情稳定,未发现转移征象。否认肺结核、糖尿病、结缔组织疾病、甲状腺功能减退症、心脏病、肝脏病、肾脏病等其他病史,否认外伤、长期服用药物、放射治疗史,否认结核病及石棉接触史,无胰腺炎、食管破裂及近期腹部手术史。无诱因胸闷气短1个月,并进行性加重,偶有干咳,无发热、盗汗、胸痛、咯血、晕厥及双下肢水肿,无关节肿痛、皮疹、口腔溃疡等结缔组织疾病表现,消瘦、乏力不明显。入院前1天于外院行胸部正位片提示左侧大量胸腔积液征象,未予任何治疗即来诊。
【临床分析】
通过问诊可明确,既往除了13年前因右肾透明细胞癌行右肾根治性切除术(T1N0M0),无其他系统疾病及异常环境暴露史,本次发病前无明确诱因,主要表现为进行性加重的胸闷气短,考虑为左侧大量胸腔积液压迫所致,无其他感染中毒征象,故应在体格检查时重点注意气管是否移位、有无浅表淋巴结肿大、骨痛、皮疹、关节肿胀畸形等其他引起单侧胸腔积液的原因,并通过实验室检查(血液和胸腔积液化验)和影像学检查进一步查找胸腔积液的原因。通过目前的问诊基本可以明确,左侧胸腔积液的原因考虑为渗出液可能性大,充血性心力衰竭、肝硬化、肾病综合征、低蛋白血症等所致的漏出液可能性不大,非感染性胃肠道疾病、药物、放射治疗、外伤所致渗出液不支持。结缔组织疾病、甲状腺功能减退、肺栓塞所致胸腔积液及类肺炎性胸腔积液临床证据也不足。
三、体格检查
(一)重点检查内容和目的
目前胸腔积液的原因主要锁定在恶性胸腔积液和结核性胸膜炎,但更倾向于前者,虽然结核性胸膜炎的临床表现也不支持,但部分患者结核中毒症状也可以表现不典型,待行胸腔积液化验后,以进一步除外诊断。考虑为恶性胸腔积液的可能性比较大,但恶性肿瘤的来源不清,因此在对患者进行系统地、全面地检查同时,应重点注意有无浅表淋巴结肿大、骨转移等其他远处转移的征象。
(二)体格检查结果及临床分析
体温36.5℃,心率86次/分,呼吸20次/分,血压130/85mmHg。神情语明,颜面及周身无水肿,口唇无发绀,浅表淋巴结未触及,气管右偏,左侧肋间隙饱满,呼吸运动减弱,胸壁无压痛,左下肺叩诊呈浊至实音,左侧语音震颤、语音共振和呼吸音均减弱,右侧呼吸运动增强,右肺呼吸音粗,双肺无干湿啰音,右侧背部至侧腹部可见一斜行术后瘢痕,长约10cm,余心脏、腹部、四肢、神经系统等检查未见异常。
【临床分析】
患者主要表现为胸闷气短,结合胸部查体,提示左侧大量胸腔积液体征,至此考虑左侧胸腔积液应该是此次就诊的主要原因,需结合其胸部影像学资料,以进一步明确诊断。
四、实验室和影像学检查
(一)初步检查内容及目的
1.胸部CT、全腹CT:
明确胸部及全腹情况,查找有无恶性肿瘤的可能。
2.血常规:
明确有无感染征象。
3.血肿瘤标志物:
协助查找恶性肿瘤的来源。
4.风湿免疫指标:
除外结缔组织疾病所致胸腔积液。
5.甲状腺功能三项(TSH、FT3、FT4):
除外甲状腺功能减退所致胸腔积液。
6.肝功能、肾功能、尿常规、便常规、肝炎病毒学、HIV:
协助评估病情及宿主情况。
7.胸腔积液化验:
明确胸腔积液性质、查找胸腔积液原因。
(二)初步检查结果及临床分析
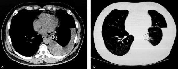
1.胸部CT(2011年12月19日引流900ml胸腔积液后):左侧胸腔积液伴左肺下叶膨胀不全,左侧叶间积液,纵隔及左肺门增大淋巴结,心包少量积液(图1A纵隔窗、B肺窗)。

图1
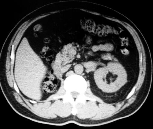
2.全腹CT(2011年12月28日):左肾可见一类圆形低密度影,直径约0.8cm,其内CT值为15HU,扫描范围内右肾未见显示,其他肝脏、脾脏、胆囊、胰腺、膀胱、前列腺均正常,腹膜后及盆腔未见增大淋巴结。诊断建议:左肾小囊肿,右肾缺如,术后改变(图2)。

图2
3.血肿瘤标志物(CEA、NSE、Cyfra21-1、CA199、CA125、AFP)、血、尿、便常规、肝肾功、甲功三项、血沉、风湿三项(RF、CRP、ASO)、免疫球蛋白、补体、ANA、抗dsDNA抗体、抗ENA抗体均正常,狼疮细胞、肝炎病毒学及HIV均阴性。
4.行3次胸膜腔穿刺术,共抽出胸腔积液量约2800ml,均为红色浑浊液体,比重1.034~1.037,淋巴细胞百分比50%,间皮细胞百分比15%~30%,中性粒细胞百分比20%~35%,ADA 5~6IU/L,LDH 158~188IU/L,PRO 4.4~5.2g/dl,胸腔积液液基薄层细胞制片术均见大量淋巴细胞和间皮细胞,结核菌(集菌+PCR)阴性,胸腔积液一般菌培养阴性。
【临床分析】
中老年男性,单侧大量胸腔积液,无发热等感染中毒表现,胸腔积液化验提示渗出液,血性,以淋巴细胞和间皮细胞为主,ADA正常,结合胸部CT:纵隔及左肺门增大淋巴结,故首先考虑为恶性胸腔积液,但具体的病因仍不明确。对本患者初步考虑原因可能如下:肺癌合并胸膜转移、胸膜间皮瘤、淋巴瘤。其他常见原因如乳腺癌、胃肠道肿瘤、泌尿生殖系统肿瘤等,现有检查暂不支持。结核性胸膜炎依据不足,可除外感染性胸腔积液以及甲状腺功能减退症或结缔组织病导致胸腔积液。
评价:诊断锁定在恶性胸腔积液是正确的,但因左侧大量胸腔积液致左肺压缩、接近肺不张,故无法明确左肺组织内的情况,但根据常见病及胸部CT结果:纵隔及左肺门增大淋巴结,初步判断为肺癌并胸膜转移、胸膜间皮瘤、淋巴瘤可能性大。虽有右肾癌,但13年前已全部切除,且病情一直很稳定,没有转移表现,正如患者自己所说“10多年了,已经忘记了肾癌的事了”,且此次左肾仅有一个小囊肿,无实性占位,故想当然地把肾癌并胸膜转移排除了。这是对肾脏恶性肿瘤的生物学特性了解不清,导致临床诊断偏倚。
五、再次检查结果及临床分析
充分引流胸腔积液致左肺组织大部分复张,再次阅读胸部CT:左肺组织内未见异常病变,但左侧少许胸腔积液内靠近后胸壁处似见一局部密度增高影,呈梭形,故考虑有可能为胸腔积液原因。遂于2011年12月30日行俯卧位胸部CT(图3A纵隔窗、B肺窗)示左后胸壁胸膜局部增厚,可见一软组织密度影,呈梭形,大小约4.5cm×1.9cm,CT值约为35HU。故取得此软组织的病理,有可能真相大白。与家属沟通后,行CT引导下胸膜活检术。病理回报:透明细胞癌,免疫组化(图4 HE×40):Vimentin(+),CK(+),CD10(+),CK5/6(-),CR(-),MC(-),TTF(-),CK7(-),CEA(-),透明细胞癌,考虑肾细胞癌转移来源。

图3

图4
【临床分析】
至此,左侧胸腔积液原因明确,为肾透明细胞癌并胸膜转移。这个结果出乎意料,该患者13年前因右肾透明细胞癌已行右肾根治性切除术,难道是又出现左肾癌?左肾癌并左侧胸膜转移?入院时腹部CT提示左肾小囊肿,右肾缺如,未见左肾癌证据,虽曾患右肾癌,但右肾13年前已全部切除,不存在右肾癌复发的可能性。且患者于1年前曾体检行胸部X线检查提示正常,左侧胸腔未见积液征象,即1年前无左侧胸膜转移。因此,这是一个令人费解的结果,肾癌并胸膜转移究竟是怎么回事呢?
带着疑问,进行文献检索,发现国内外均有肾癌切除术后并发远处转移的病例报道。目前国内有1例最长时间为肾癌切除术后12年并发肺、胸膜转移的病例。国外有报道,肾癌术后19年转移至口腔黏膜的病例。甚至有1例病例,发现锁骨上淋巴结转移,病理证实为肾透明细胞癌来源,但当时及随诊20个月均未发现肾脏肿瘤。由此可见,肾癌的转移可以表现多样,且可以有很长的潜伏期,有报道原发灶和转移灶之间可以长达20~25年。
【最终诊断】
右肾癌术后Ⅳ期(T1N0M1)、左侧胸膜转移
六、调整治疗方案及疗效
予放胸腔积液治疗,胸腔内给药(顺铂),口服索拉非尼治疗(靶向药物)。现用药1年,病情控制,无胸腔积液及其他转移征象。
七、对本病例误诊的思考
单侧胸腔积液是呼吸科的常见疾病之一,其中恶性胸腔积液是胸腔积液中常见的一种类型,在成人胸腔积液中占38%~52%。在恶性胸腔积液中,胸膜转移性肿瘤占95%以上,而原发于胸膜的肿瘤较少见。胸膜转移性肿瘤中常见的原因依次为:肺癌、乳腺癌、淋巴瘤、泌尿生殖道肿瘤,胃肠道肿瘤。来源于肾细胞癌的恶性胸腔积液比较罕见,约占1%~2.2%。
肾细胞癌血供丰富,因此易发生血行转移和远处转移,并有很高的转移潜力。常见转移部位为:肺(76%),局部淋巴结(66%),骨(42%),肝(41%)。因此,临床工作中,当发现恶性胸腔积液时,应考虑到肾脏为其潜在来源,即使在其切除若干年之后,甚至当发现转移灶而原发灶不明时,仍需要密切关注肾细胞癌。
综上所述,本病例被延误诊断关键点是:①忽略对胸腔转移病灶CT影像学特征的辨识;②对恶性胸腔积液少见原因认识不足。
小贴士
肾透明细胞癌与远处转移
肾透明细胞癌血供丰富,易发生血行转移和远处转移,并有很高的转移潜力。其转移可以表现多样,且可以有很长的潜伏期,有报道原发灶和转移灶之间可以长达20~25年。而且,即使在其切除若干年之后,仍可以发生转移。因此,当发现转移灶而原发灶不明时,需密切关注肾透明细胞癌。
大连医科大学附属第一医院 孙秀娜 张中和
(环球医学编辑:余霞霞)
来源:《防范与走出常见诊疗误区:呼吸疾病临床病例精粹》
作者:康健
页码:178-182
出版:人民卫生出版社
- 评价此内容
- 我要打分
近期推荐
热门关键词
最新会议
- 2013循证医学和实效研究方法学研讨会
- 欧洲心脏病学会年会
- 世界帕金森病和相关疾病2013年会议
- 英国介入放射学学会2013年第25届年会
- 美国血液学会2013年年会
- 美国癫痫学会2013年第67届年会
- 肥胖学会 2013年年会
- 2013年第9届欧洲抗体会议
- 国际精神病学协会 2013年会议
- 妇科肿瘤2013年第18届大会
- 国际创伤压力研究学会2013年第29届…
- 2013年第4届亚太地区骨质疏松症会议
- 皮肤病协会国际2013年会议
- 世界糖尿病2013年大会
- 2013年国际成瘾性药年会
- 彭晓霞---诊断试验的Meta分析
- 武姗姗---累积Meta分析和TSA分析
- 孙凤---Network Meta分析
- 杨智荣---Cochrane综述实战经验分享
- 杨祖耀---疾病频率资料的Meta分析
合作伙伴
Copyright g-medon.com All Rights Reserved 环球医学资讯 未经授权请勿转载!
网络实名:环球医学:京ICP备08004413号-2
关于我们|
我们的服务|版权及责任声明|联系我们
互联网药品信息服务资格证书(京)-经营性-2017-0027
互联网医疗保健信息服务复核同意书 京卫计网审[2015]第0344号




会员登录

