大叔咳嗽数年伴活动后气短 检查发现支气管内结节 是息肉还是肿瘤?
52岁男性,8年前无明显诱因间断出现轻咳,未系统诊治。4年前咳嗽症状频繁,曾就诊于当地医院,胸部CT报告示左肺上叶支气管内结节样肿物,考虑为肺癌,建议其手术治疗,患者拒绝手术治疗,也未进一步检查。近几年来咳嗽、咳痰较前有所加重,近一年出现活动后气短,遂来笔者医院就诊。该患者左肺上叶支气管内结节样肿物到底是息肉还是肿瘤?如何治疗?
患者男性,52岁,于2013年3月5日入院。
一、主诉
咳嗽、咳痰8年,加重伴活动后气短1年。
二、病史询问
(一)初步诊断思路及问诊目的
患者中年男性,慢性咳嗽、咳痰病史8年,症状加重伴活动后气短,要注意慢性气道疾病,如慢性支气管炎,慢性阻塞性肺疾病。另外,慢性咳嗽、咳痰加重伴气短要注意肺部肿瘤。因此,问诊主要围绕慢性咳嗽、咳痰的诱因(原因)、持续的时间,咳嗽、咳痰的性质、特点,伴随症状,是否诊治及治疗效果等问题展开,并兼顾重要鉴别疾病的临床表现。
(二)问诊主要内容及目的
1.咳嗽、咳痰是否有诱因,如感染或接触特殊气味?
慢性咳嗽、咳痰注意是否是反复感染诱发,慢性支气管炎的主要原因为反复的呼吸道感染。另外,接触特殊气味出现的慢性咳嗽注意咳嗽变异性哮喘。
2.咳嗽是否伴有咳痰或黄痰?
伴随咳嗽逐渐出现黄痰则要注意是否有支气管扩张等结构性肺病的可能。
3.有无发热、胸痛、咯血、呼吸困难等伴随症状?
发热常提示感染诱发疾病急性发作,胸痛要注意感染引起的胸膜炎症反应及肺部肿瘤累及胸膜。咯血则要注意肺结核活动、肺部肿瘤、肺栓塞的可能。呼吸困难则需注意评估肺功能障碍的严重程度、评价有无肺不张或肺栓塞可能。
4.入院前是否进行过诊治?结果如何?
既往的肺功能、影像学等检查对疾病诊断有重要价值,比如慢阻肺的诊断及评估,影像学上有无肺部肿瘤等。
5.既往有何种疾病?
例如肺结核病史,同时还是支气管扩张的原因之一,另外陈旧性肺结核瘢痕修复后可出现瘢痕癌。心脏病史,如慢性心功能不全,也可以表现为慢性咳嗽。
6.吸烟史?
吸烟是非常重要的,它是多种疾病的危险因素,尤其是慢阻肺和肺癌。
7.何种职业?
诸多呼吸系统疾病与职业相关,职业相关的间质性肺疾病可以引起慢性咳嗽、咳痰,例如矽肺等。
(三)问诊结果及临床分析
患者为机关干部,无粉尘等有毒有害物质接触史,吸烟20包/年,已戒4年。既往身体健康。患者8年前无明显诱因间断出现轻咳,偶有白痰,未系统诊治。4年前咳嗽症状频繁,曾就诊于当地医院,胸部CT报告示左肺上叶支气管内结节样肿物,远端肺组织膨胀不良,CT原片丢失。肺通气功能检查正常。行支气管镜检查发现左肺上叶支气管内结节样肿物,钳取肿物送检,病理无确定诊断。当地医院考虑为肺癌,建议其手术治疗,患者拒绝手术治疗,也未进一步检查。患者近几年来咳嗽、咳痰较前有所加重,近一年出现活动后气短,遂来就诊。来诊前7天先后自服红霉素、阿奇霉素等抗生素,疗效不佳。
【临床分析】
通过问诊可明确患者慢性咳嗽、咳痰并非慢阻肺所致,因肺通气功能正常。咳嗽、咳痰的主要原因是左肺上叶支气管内的肿物。在当地医院曾行支气管镜检查,但无确定病理结果。当时医生没有复查支气管镜而建议患者手术切除,患者拒绝后未再进行诊治。由此可推测患者本次就诊可能是肿物逐渐增大导致症状加重,肿瘤倾向于低度恶性或良性病变。
评价:病史采集使诊断有了较明晰的方向——气道内肿物。支气管内结节样肿物4年未处理而患者一般状态良好,提示肿物倾向低度恶性或良性病变。
三、体格检查
(一)重点检查内容和目的
考虑患者肺部肿瘤的可能性最大,因此在对患者进行系统地、全面地检查同时,应重点注意肺部体征,尤其是肺不张和胸腔积液的体征。同时,浅表淋巴结触诊要仔细进行。
(二)体格检查结果及临床分析
体温36.5℃,呼吸18次/分,脉搏76次/分,血压124/75mmHg。神志清楚,呼吸平稳,自主体位,口唇无发绀,未触及浅表淋巴结。气管居中,胸廓对称,左上肺呼吸音明显减弱,未闻及干湿啰音。心界不大,心音纯,律齐。腹部、四肢、神经等系统检查未见异常。
【临床分析】
体格检查结果与问诊后考虑左肺上叶支气管内肿瘤性病变相符合。左上肺呼吸音减弱提示管腔内肿物及局限性肺不张的存在。浅表淋巴结未触及,提示远端淋巴结转移的证据不足。进一步实验室和影像学检查的主要目的是明确病变性质,病理类型。建议进行胸部增强CT,凝血功能等常规检查,同时预约支气管镜检查。
评价:患者病史清晰,既往影像学及支气管镜检查均提示左肺上叶支气管内肿物,明确病理诊断是首要任务。患者未进行任何治疗的情况下生存4年,提示肿物为低度恶性或良性病变,所以进行胸部增强CT检查,以评估肿物的大小、血运情况、与周围肺组织的关系、肺门及纵隔淋巴结是否受累等,为进一步的检查和治疗提供参考。为明确肿瘤性质需要行纤维支气管镜检查。
四、实验室和影像学检查
(一)初步检查内容及目的
1.血常规、血型、凝血三项:
评估患者有无凝血功能障碍,属支气管镜术前常规检查。
2.胸部增强CT:
协助诊断。
3.痰查结核菌:
注意气管-支气管内膜结核,部分患者可表现为瘤样型气管-支气管内膜结核。
4.动脉血气分析:
评估病情。
5.支气管镜检查:
明确诊断。
(二)检查结果及临床分析
【检查结果】
1.血常规:
白细胞计数6.3×109/L,中性粒细胞百分比63%,淋巴细胞百分比28%,单核细胞百分比9%,红细胞计数4.30×1012/L,血红蛋白136g/L,血小板计数342×109/L。血型:B型;凝血功能正常。
2.痰查结核菌(3次):
阴性。
3.动脉血气分析(未吸氧):
pH 7.41,PaO2 84mmHg,PaCO2 38.2mmHg。
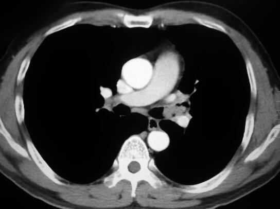
4.胸部增强CT:
左主支气管内见结节样肿物阻塞管腔,病灶强化不明显,局部低密度灶(图1)。

图1
5.纤维支气管镜检查:
左主支气管开口处见结节样肿物将管腔几乎完全阻塞,肿物呈分叶状,质软,钳取6块组织送病理检查。
【临床分析】
通过支气管镜检查证实患者胸部CT所见影像学改变为左主支气管内肿物所致,但肿物的性质尚不明确,需要病理证实。
五、病理结果及治疗方案
患者病理结果回报:支气管息肉。
【方案】
支气管镜下电切及冷冻治疗(局部麻醉)。
【理由】
支气管息肉为良性病变,且胸部增强CT提示肿物强化不明显,出血风险不大,考虑进行支气管镜下电切治疗,由于肿物质地软,段以下支气管内肿物可利用冷冻技术切除,冷冻切除的效率较高。
六、治疗效果及临床分析
(一)治疗效果
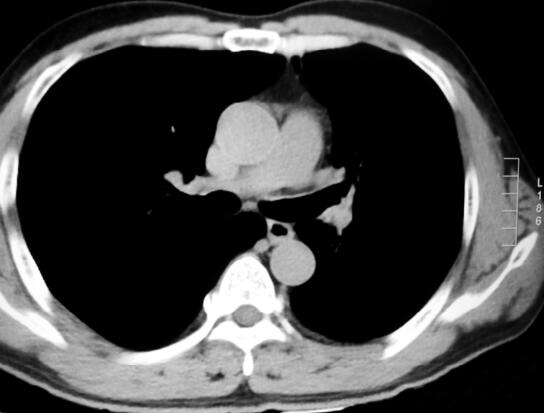
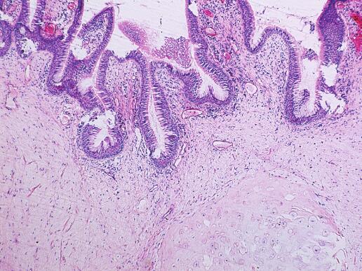
支气管肿物首先用电圈套器切除大部分,然后应用冷冻切除,肿物几乎被完全切除,左上叶支气管及左舌叶支气管清晰显示。复查胸部CT左主支气管管腔通畅(图2)。患者术后咳嗽、咳痰症状明显缓解。再次送检病理结果,肿物内可见混有成熟软骨、平滑肌组织,病理报告为错构瘤(图3HE×40)。

图2

图3
(二)临床分析
患者的治疗方案是正确的,气道良性肿瘤的首选治疗方案为手术切除,内镜下切除是常规治疗方法之一,创伤小、费用低,疗效确切。但本例患者术后病理却对诊断进行了戏剧性的改变,由常见的气道良性病变——支气管息肉变成了罕见的气道内生长的错构瘤,但二者的治疗方法没有明显区别。该患者取得了较好的疗效,症状明显改善。
评价:原本认为支气管息肉的诊断是正确的,与复查支气管镜前对患者是低度恶性肿瘤或良性肿瘤的判断是相符合的。电切和冷冻取得更大的组织块进行病理检查再次验证,病变实为错构瘤。初次活检及在我院初次复查时活检钳钳取的组织块相对小,代表性不好,导致病理科医师没能做出正确诊断。可见获得较大的、代表性好的组织块对诊断的重要性,尤其是对良性病变的准确诊断。
【最终诊断】
左主支气管内错构瘤
七、对本病例误诊误治的思考
肺错构瘤90%发生在肺实质内,仅10%发生在气管、支气管内。本例患者属于罕见的肺支气管错构瘤,因为支气管内错构瘤罕见,在影像学上很难与肿瘤鉴别,因此导致误诊为肿瘤。此外,支气管镜活检钳钳取,如未采用多种方法联合活检,由于钳取的组织块小,其组织代表性不好,也易造成病理误诊,本例病理初诊为支气管息肉。
(一)支气管镜检查初次活检组织病理学阴性应积极地再次活检
在临床工作中,初次支气管镜活组织检查的确诊率在80%左右。受病变的类型及其与管壁关系的影响,即使是管腔内可见的病变有时也不能获得代表性好的样本。因此,再次支气管镜检查及活检有些时候是不可避免的。与患者良好的沟通,建立互信,将为再次活检创造条件,增加确诊的几率。
(二)多种活检手段联合应用寻求最具代表性的组织样本
一般来说病理组织材料的体积越大,获得代表性好的标本可能性就越大,正确诊断的几率也就越高。支气管镜取材最基本的检查包括刷检和活检钳活检,文献报道二者联合的诊断率可达80%~95%。如何提高基础活检、刷检的诊断率是目前研究的热点。对气管、支气管管腔内可见的病变来说,电切或电圈套器切除可获得更大的组织块,但需注意切缘有电烧灼后的坏死组织。另外,采用冷冻技术进行活检也可获得较大的组织块,研究显示其可将诊断率提高到96%左右。对气管、支气管管腔外的病变,支气管内超声辅助技术的应用对诊断阳性率的提高大有裨益。多种活检手段的联合应用有利于弥补各种方法自身的不足,取长补短,达到提高诊断率的目的。
综上所述,本病例误诊的关键点是:①初次活检阴性,未进行复查再次活检;②气管、支气管内肺错构瘤罕见,临床认识不足;③对既往活检后病理结果阴性的患者复查时未采用多种方法联合活检。
中国医科大学附属第一医院 侯刚
(环球医学编辑:余霞霞)
来源:《防范与走出常见诊疗误区:呼吸疾病临床病例精粹》
作者:康健
页码:359-362
出版:人民卫生出版社
- 评价此内容
- 我要打分
近期推荐
热门关键词
最新会议
- 2013循证医学和实效研究方法学研讨会
- 欧洲心脏病学会年会
- 世界帕金森病和相关疾病2013年会议
- 英国介入放射学学会2013年第25届年会
- 美国血液学会2013年年会
- 美国癫痫学会2013年第67届年会
- 肥胖学会 2013年年会
- 2013年第9届欧洲抗体会议
- 国际精神病学协会 2013年会议
- 妇科肿瘤2013年第18届大会
- 国际创伤压力研究学会2013年第29届…
- 2013年第4届亚太地区骨质疏松症会议
- 皮肤病协会国际2013年会议
- 世界糖尿病2013年大会
- 2013年国际成瘾性药年会
- 彭晓霞---诊断试验的Meta分析
- 武姗姗---累积Meta分析和TSA分析
- 孙凤---Network Meta分析
- 杨智荣---Cochrane综述实战经验分享
- 杨祖耀---疾病频率资料的Meta分析
合作伙伴
Copyright g-medon.com All Rights Reserved 环球医学资讯 未经授权请勿转载!
网络实名:环球医学:京ICP备08004413号-2
关于我们|
我们的服务|版权及责任声明|联系我们
互联网药品信息服务资格证书(京)-经营性-2017-0027
互联网医疗保健信息服务复核同意书 京卫计网审[2015]第0344号




会员登录

