32岁男子时不时腰痛长达数月 不曾想查出了这种病
32岁男性,间断腰部疼痛10个月余,不曾想查出了这种病。
1.临床资料
病例4-2-1,男性,32岁,间断腰部疼痛10个月余。体格检查:体温36.7℃,脉搏76次/分,血压110/70mmHg,呼吸20次/分,神志清,精神状态可,腹平软,肝脾肋下未及,双侧输尿管走行区无压痛,双肾区无叩击痛。
2.影像所见
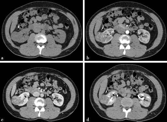
病例4-2-1:CT平扫和增强。

图1a,轴位平扫。图1b~d,动态增强,右肾中极可见一软组织异常密度影,平扫呈等低密度,增强后动脉期可见不均匀性强化,排泄期为低密度
3.病理结果及诊断

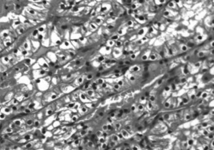
图2,病理诊断:右肾透明细胞癌FurhmanⅡ级
4.诊断分析
(1)肾脏透明细胞癌概述:
早期一般无症状,好发于老年男性,典型者可见间歇性肉眼血尿、腰部疼痛及腹部包块。影像学上可见肾脏上极占位性病变,体积较大者,多合并出血、坏死,密度信号不均匀,增强后可见明显不均匀性强化,常合并肾静脉及下腔静脉栓子;肾门及腹膜后淋巴结转移。
(2)肾脏透明细胞癌影像诊断
影像学通常可见肾脏占位性病变,密度或信号不均匀,可见囊变坏死,增强扫描呈快进快出表现,可合并肾静脉及下腔静脉血栓,肾门及腹膜后淋巴结转移。
1)CT表现:
肿瘤好发于肾脏上极,大小不一,可形成假包膜,大部分边缘清晰,当肿瘤体积较大时可突破肾脏薄膜,边界模糊;平扫可因内囊变坏死、出血密度不均。增强后明显不均匀性强化,典型者表现快进快出强化方式;肿瘤较大出现转移时,可见到肾静脉及下腔静脉栓子形成,肾门周围及腹膜后可见淋巴结转移;
2)MRI表现:
平扫肿块体积较小者,无明显囊变坏死时,边界清晰,T1WI等低信号、T2WI等高信号,信号尚均匀,较大者出现坏死囊变、出血时,可见病灶信号明显不均匀,边缘模糊不清。可见假包膜,呈环状长T1短T2信号。增强后可见呈典型快进快出式变现,较大者出现囊变坏死部分未见明显强化;DWI上呈高信号。
(3)肾脏透明细胞癌鉴别诊断
1)肾脏乳头状细胞癌:
少血供肿瘤,预后较好,CT平扫常成等高密度,密度均匀,增强后肾皮质期肿瘤强化程度明显低于肾皮质,呈轻度强化,T2加权上一般呈低信号,肿瘤多有完整薄膜。
2)肾脏嫌色细胞癌:
恶性程度低,肿瘤出现坏死囊变、出血少见,质地较均匀,可见钙化,增强后呈均匀或不均匀性轻中度强化。
3)肾脏错构瘤:
良性病变,边界清,密度多不均匀,典型者CT或MRI上可见脂肪组织,增强后可见软组织成分明显强化。
4)肾脓肿:
多有腰痛,发热等临床症状,密度或信号不均匀,增强后可见环形强化,脓肿中心坏死液化成分一般不强化,多侵及肾周脂肪间隙,肾周筋膜多增厚。
(环球医学编辑:余霞霞)
来源:《中国影像好医生病例集》
作者:郭启勇
页码:190-193
出版:人民卫生出版社
- 评价此内容
- 我要打分
近期推荐
热门关键词
最新会议
- 2013循证医学和实效研究方法学研讨会
- 欧洲心脏病学会年会
- 世界帕金森病和相关疾病2013年会议
- 英国介入放射学学会2013年第25届年会
- 美国血液学会2013年年会
- 美国癫痫学会2013年第67届年会
- 肥胖学会 2013年年会
- 2013年第9届欧洲抗体会议
- 国际精神病学协会 2013年会议
- 妇科肿瘤2013年第18届大会
- 国际创伤压力研究学会2013年第29届…
- 2013年第4届亚太地区骨质疏松症会议
- 皮肤病协会国际2013年会议
- 世界糖尿病2013年大会
- 2013年国际成瘾性药年会
- 彭晓霞---诊断试验的Meta分析
- 武姗姗---累积Meta分析和TSA分析
- 孙凤---Network Meta分析
- 杨智荣---Cochrane综述实战经验分享
- 杨祖耀---疾病频率资料的Meta分析
合作伙伴
Copyright g-medon.com All Rights Reserved 环球医学资讯 未经授权请勿转载!
网络实名:环球医学:京ICP备08004413号-2
关于我们|
我们的服务|版权及责任声明|联系我们
互联网药品信息服务资格证书(京)-经营性-2017-0027
互联网医疗保健信息服务复核同意书 京卫计网审[2015]第0344号




会员登录

