35岁男性鼻塞半年 哪里出了问题?
35岁男性,鼻塞半年,CT检查发现左侧上颌窦内可见实性病灶。该患者患有……
1.临床资料
病例2-2-1,男性,35岁,鼻塞半年。
2.影像所见
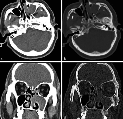
病例2-2-1:以耳部为中心的头颅CT扫描及重建图像。

图1a,轴位软组织窗。图1b,轴位骨窗。图1c,重建后冠状位软组织窗。图d,重建后冠状位骨窗。左侧上颌窦内可见实性病灶,CT值约为44HU,上颌窦口扩大,病灶凸向左侧鼻腔内,鼻中隔略向右侧偏曲,骨质受压变薄
3.诊断分析
(1)内翻乳头状瘤概述:
内翻乳头状瘤为发生在鼻腔、鼻窦的良性肿瘤,以中年男性多见,常见单侧持续性、进行性鼻塞、流涕、涕中带血或鼻出血。好发于鼻腔侧壁,特别是中鼻甲的游离缘,由移行上皮和柱状上皮增殖形成,其特点为增生的上皮团块向基质内倒生,基底膜水肿;常侵及筛窦和上颌窦,破坏周围组织和骨质。
(2)内翻乳头状瘤影像特征:
CT表现为一侧鼻腔或鼻窦内不规则软组织密度灶,边界较清,密度均匀,可轻或中度强化。鼻中隔可阻挡肿瘤向对侧生长,肿瘤较大时,压迫鼻中隔移位,骨质吸收变薄或破坏。在MRI图像上,肿瘤在T1WI呈中等信号,T2WI呈较高信号,多伴有阻塞性炎症。肿瘤呈轻中度强化。
(3)内翻乳头状瘤鉴别诊断:
CT和MRI为主要的检查方法,可以多方位显示病灶的形态和范围,需与鼻窦炎、息肉鉴别,后两者呈双侧发病且骨质破坏较少。
4.诊断
病例2-2-1,内翻乳头状瘤。
(环球医学编辑:余霞霞)
来源:《中国影像好医生病例集》
作者:郭启勇
页码:75-77
出版:人民卫生出版社
- 评价此内容
- 我要打分
近期推荐
热门关键词
最新会议
- 2013循证医学和实效研究方法学研讨会
- 欧洲心脏病学会年会
- 世界帕金森病和相关疾病2013年会议
- 英国介入放射学学会2013年第25届年会
- 美国血液学会2013年年会
- 美国癫痫学会2013年第67届年会
- 肥胖学会 2013年年会
- 2013年第9届欧洲抗体会议
- 国际精神病学协会 2013年会议
- 妇科肿瘤2013年第18届大会
- 国际创伤压力研究学会2013年第29届…
- 2013年第4届亚太地区骨质疏松症会议
- 皮肤病协会国际2013年会议
- 世界糖尿病2013年大会
- 2013年国际成瘾性药年会
- 彭晓霞---诊断试验的Meta分析
- 武姗姗---累积Meta分析和TSA分析
- 孙凤---Network Meta分析
- 杨智荣---Cochrane综述实战经验分享
- 杨祖耀---疾病频率资料的Meta分析
合作伙伴
Copyright g-medon.com All Rights Reserved 环球医学资讯 未经授权请勿转载!
网络实名:环球医学:京ICP备08004413号-2
关于我们|
我们的服务|版权及责任声明|联系我们
互联网药品信息服务资格证书(京)-经营性-2017-0027
互联网医疗保健信息服务复核同意书 京卫计网审[2015]第0344号




会员登录

