老爷爷无明显诱因下出现胸痛 呼吸时疼痛加重
73岁老爷爷,无明显诱因下出现胸痛,呼吸时疼痛加重,伴低热,PET/CT提示……
患者男性,73岁。
【简要病史】
胸痛近10天。无明显诱因下出现胸痛,呼吸时疼痛加重,伴低热,日间最高体温约37.7℃,晚间最高体温约38.3℃。
【实验室检查】
白细胞12.28×109/L↑,中性粒细胞10.42×109/L↑,淋巴细胞1.26×109/L。T-SPOT:阳性。NSE 72.90ng/ml↑,CYFRA21-1 11.44ng/ml↑,SCC 12.40ng/ml↑。
【其他影像学检查】
胸部CT:右肺下叶占位伴周围炎性反应。上腹部MRI:肝肾间隙占位,考虑偏恶性可能大,不典型脓肿或结核待排。
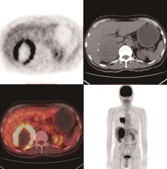
【PET/CT图像分析】
右肺下叶背段见一软组织肿块影,大小约6.2cm×5.6cm×8.5cm,上份见钙化点,内后缘与胸壁相连,邻近胸膜增厚,肿块放射性不均匀增高,SUVmax约19.5,其内见大片液化坏死区呈放射性缺损区(图1)。右肾上腺区见一巨大稍低密度肿块影,大小约8.0cm×6.6cm×11.1cm,边缘见钙化灶,与右肾及肝脏分界不清,肿块放射性不均匀增高,SUVmax约18.9(图2)。

图1 右肺下叶转移瘤
18F-FDG PET/CT横断位示右肺下叶背段软组织肿块,内后缘与胸壁相连,代谢异常增高,SUVmax为19.5

图2 右肾上腺癌
18F-FDG PET/CT横断位示右肾上腺区巨大稍低密度肿块影,边缘见钙化灶,与右肾及肝脏分界不清,代谢异常增高,SUVmax为18.9
【手术所见】
行右肺癌根治术,术中见肿块占据右下肺背段大部,类圆形,大小约12cm×10cm,质中,局部坏死。
【组织病理学】
(右下叶背段活检)低分化癌。因未表达肺腺癌标记(TTF-1及Napsin-A)需要考虑转移性,结合临床及免疫组化可能来源于肾上腺。免疫组化结果:CK(+),Vim(+),S-100(弱+),LCA(-),CK7(+),CK20(少数+),TTF-1(-),Napsin-A(-),SP-A(-),Syn(-),CgA(-),CD56(-),Villin(-),CDX-2(-),α-inhibin(-),MelanA(+),CD10(-),Hepatocyte(-),Glypican-3(-)。
点评
肾上腺癌临床较罕见,通常为侵袭性肿瘤。肾上腺肿块的最大直径可预测其是否为恶性,大多数肾上腺皮质腺瘤的直径小于4cm,而大多数肾上腺癌在被发现时直径已大于4cm,本例患者肾上腺肿块直径明显大于4cm。对于高度怀疑为恶性的单侧肾上腺肿瘤,PET/CT有很大价值。关于肾上腺肿瘤的一项研究表明,所有恶性病变均摄取FDG,而所有良性病变都不摄取。也有研究显示良性肾上腺肿瘤亦可摄取FDG,但摄取量较少。本例患者肾上腺肿块葡萄糖代谢明显增高,为鉴别病灶良恶性提供了依据。肾上腺癌远处转移的最常见部位为肝、肺、淋巴结和骨,故怀疑肾上腺癌时,应行常规胸部CT评估有无肺转移。本例患者特殊之处在于同时存在肾上腺肿物及右肺单发肿物,极易误诊为肺癌肾上腺转移。
(环球医学编辑:常路)
来源:《PET/CT图谱》
作者:赵晋华
页码:2,61
出版:人民卫生出版社
- 评价此内容
- 我要打分
近期推荐
热门关键词
最新会议
- 2013循证医学和实效研究方法学研讨会
- 欧洲心脏病学会年会
- 世界帕金森病和相关疾病2013年会议
- 英国介入放射学学会2013年第25届年会
- 美国血液学会2013年年会
- 美国癫痫学会2013年第67届年会
- 肥胖学会 2013年年会
- 2013年第9届欧洲抗体会议
- 国际精神病学协会 2013年会议
- 妇科肿瘤2013年第18届大会
- 国际创伤压力研究学会2013年第29届…
- 2013年第4届亚太地区骨质疏松症会议
- 皮肤病协会国际2013年会议
- 世界糖尿病2013年大会
- 2013年国际成瘾性药年会
- 彭晓霞---诊断试验的Meta分析
- 武姗姗---累积Meta分析和TSA分析
- 孙凤---Network Meta分析
- 杨智荣---Cochrane综述实战经验分享
- 杨祖耀---疾病频率资料的Meta分析
合作伙伴
Copyright g-medon.com All Rights Reserved 环球医学资讯 未经授权请勿转载!
网络实名:环球医学:京ICP备08004413号-2
关于我们|
我们的服务|版权及责任声明|联系我们
互联网药品信息服务资格证书(京)-经营性-2017-0027
互联网医疗保健信息服务复核同意书 京卫计网审[2015]第0344号




会员登录

