大爷时不时肉眼可见血尿持续1个多月 如何找出真凶?
65岁男性,间断肉眼血尿1个月余。体格检查显示双肾无叩击痛,输尿管走行区无压痛。该患者患有……
1.临床资料
病例4-2-10,男性,65岁,间断肉眼血尿1个月余。体格检查:双肾无叩击痛,输尿管走行区无压痛。实验室检查:尿常规隐血(+++),余肝功能,血常规无异常。
2.影像所见
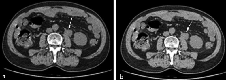
(1)病例4-2-10:
CT平扫。

图1a、b,CT平扫横断位图,显示输尿管上段肿块影(箭头所示)
(2)病例4-2-10:
MRI平扫。

图2c,T1WI。图2d、e,T2WI。图2f,冠状位T2WI。图2c~f,左输尿管上段管壁不规则增厚局部形成等T1长T2肿块影,输尿管外周毛糙(图c~e箭头所示),冠状位T2WI显示输尿管中上段低信号,输尿管增粗、迂曲(图f箭头所示)
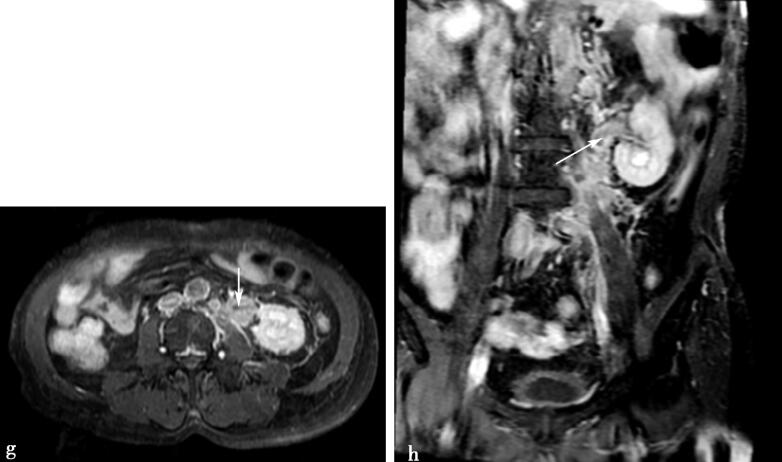
(3)病例4-2-10:
MRI增强扫描

图3g、h,腹部MRI增强扫描,示左输尿管增厚成肿块样,肿块部分中度强化(箭头所示)
3.病理结果及诊断

图4i,(左侧肾盂及输尿管)浸润性尿路上皮癌(中-低分化)伴局灶区鳞状细胞分化。肿瘤组织浸润至肾周脂肪组织,“肾门、腹主动脉旁”淋巴结(7/8)未见转移(远端输尿管切缘,镜下尿路上皮呈不典型增生改变,部分区域上皮挤压脱落,伴灶性出血水肿,余未见其他)
4.诊断分析
(1)输尿管肿瘤概述:
输尿管肿瘤较为少见,其中80%左右为恶性肿瘤。1%~75%的肿瘤发生在输尿管下段。好发于中老年人,一般与输尿管局部炎症、结石、化学致癌物质等刺激或诱发因素有密切关系。临床症状主要是无痛性全程血尿,伴或不伴腰腹胀痛。由于肿瘤引起的输尿管梗阻,部分患者于腹部可触及肾积水所致的肿块。当血块或肿瘤阻塞输尿管时可伴绞痛发作。但这些临床特点是非特异性的,输尿管结石、结核、炎症等其他泌尿系统疾病也可出现类似症状,故早期诊断较难。
输尿管恶性肿瘤多来自输尿管上皮组织,依组织类型分为移行细胞癌、鳞癌和腺癌,其中以移行细胞癌最为常见,鳞癌和腺癌少见。输尿管移行细胞癌大多为中分化的肿瘤,也有部分肿瘤分化较差。分化良好的肿瘤病灶较局限,其生长方式呈结节状、菜花状、息肉状向腔内突起。管腔横径未完全被肿瘤占据时一般不引起管腔增宽,待肿瘤占据管腔或大于管腔横径时易引起管腔增宽,甚至使管腔呈膨胀性改变。这类肿瘤一般不向管壁外浸润,管壁连续性存在,管壁与周围组织仍可清楚辨认,只是管壁变薄。该类肿瘤很少发生区域性淋巴结增大或远处转移,手术易切除,预后良好。肿瘤细胞分化差的肿瘤其生长方式呈浸润性生长,肿瘤沿输尿管壁向腔内外浸润性生长,受累输尿管范围较长,使输尿管腔狭窄、闭塞,向外浸润周围组织范围广,使输尿管管壁与周围组织界线不清,周围组织水肿,形成团块,并使区域性淋巴结肿大或远处转移,这类肿瘤恶性程度高,手术不易彻底切除,预后差。
输尿管肿瘤分期分级与肿瘤细胞分化程度、生长式密切相关。输尿管癌大致可分5期:①T0期肿瘤局限于黏膜内;②T1期肿瘤侵犯固有膜;③T2期肿瘤侵犯肌层;④T3期肿瘤穿透外膜和侵犯周围脂肪;⑤T4期肿瘤侵犯邻近脏器或伴局部淋巴结转移。分级采用世界卫生组织(WHO)上泌尿道移行细胞癌组织病理分级法,I级:分化良好;Ⅱ级:中等分化;Ⅲ级:分化不良或未分化。
目前临床用于诊断此病的主要影像手段有B超、IVU、RUP、CT和MRI。B超的使用最为广泛,绝大多数患者的间接征象如输尿管、肾盂积水可被显示,相当一部分患者可直接提示输尿管癌或肿瘤的诊断,但输尿管位置较深,走行长且较细,肿块较小时不易发现,且超声检查时易受肠气、检查者手法等因素影响,可重复性差。
IVU的表现多数为患侧肾盂、输尿管不显影或显影不良,能够明确提出肿瘤或占位诊断的只有11.5%,而且无法评价肿瘤的范围。虽然其假阴性率较低,但考虑其还有碘对比剂和X线辐射双重损伤的因素,在今后检查选择上似可尽量少用。
RUP的诊断准确率较高。但由于这种检查须经膀胱镜插管,有一定的创伤和痛苦,部分患者因各种因素使检查失败。与静脉肾盂造影一样它也无法显示肿瘤的整体情况,并且有碘对比剂和X线辐射损伤,这些都限制了它的广泛应用。
多数输尿管癌CT亦能做出较准确的诊断,但总体的诊断准确率明显低于MRI。组织对比分辨率较低,仅有横轴面扫描和扫描范围不够可能是主要原因。有研究者认为CT在输尿管癌的诊断、分期及对处理方法的影响上作用有限。但随着多排CT的发展,多排螺旋CT的出现使扫描范围更大、更方便、分辨率更高,这不但提高病灶检出率,结合三维后处理技术还可以更好地显示输尿管管壁及管腔内的情况,对输尿管肿瘤进行术前分期、手术路径选择、手术方法选择和预后评价有很大帮助。MRI检查技术中常规MRI可有横断面、矢状面、冠状面扫描,可观察输尿管走向,肿瘤部位、大小、形态和周围组织受浸润的情况,以及上段输尿管和肾盂扩张程度,为临床提供诊断依据和设计治疗方案。
另外,常用于尿路疾病检查的MRU(泌尿系统水成像),该检查方法可用于各种原因引起的输尿管梗阻性病变,梗阻上方尿路积水可清晰显示,通过积水部位尿路的影像从而清晰显示梗阻部位,MRU对于肾盂和输尿管肿瘤除显示梗阻部位及其上方尿路积水情况外,还可显示肿瘤部分。
(2)输尿管肿瘤影像特征
1)CT表现:
主要表现是输尿管管壁局限性不规则增厚,管腔向心性或偏心性狭窄,管腔消失,见腔内的软组织密度肿块影,增强后增厚的管壁(腔)内肿块表现为较明显的均匀增强,继发上段输尿管和肾盂扩张积液。肿块较小者多呈圆形边缘光整或有小棘状突起,较大者(直径>5cm)多不规则,中央可见密度减低的坏死液化区与周围组织粘连浸润。
2)MRI表现:
表现为输尿管管壁不规则增厚呈等T1 长T2信号影,腔内生长型可呈结节状、分叶状、不规则充盈缺损。肿块大时使管腔扩张、膨胀、迂曲。MRI信号T1WI为低信号或等信号,T2WI为高、等信号,增强后可见强化。
(3)输尿管肿瘤鉴别诊断
1)输尿管阴性结石、血凝块:
CT值的测量有一定帮助,且无增强。在MRI扫描图像上T1WI、T2WI上均为低信号,增强后不强化。
2)输尿管炎症:
输尿管炎症显示管腔轻度均匀性狭窄,管壁轻度均匀性增厚,边缘光整,与正常段输尿管呈移行性,沿输尿管走行周围组织呈轻度肿胀。输尿管癌使管腔狭窄、闭塞,管壁不规则增厚,范围较炎症局限,病变段输尿管与周围组织界线不清,形成团块状改变常引起管腔渐进性狭窄,范围一般较长,增厚的管壁较均匀,无肿块形成,临床上尿路刺激症状可提示诊断。
3)输尿管结核:
多继发于肾结核,病变范围亦较长,呈串珠状或虫蚀状管腔狭窄,管壁不规则增厚,输尿管不扩张为其特点。
4)输尿管息肉:
发病年龄较轻,好发于输尿管上1/3段,为条状充盈缺损,有蒂,管壁光整,无破坏、增厚。
5)输尿管良性肿瘤:
如乳头状瘤与管壁呈窄基底相连此时应考虑良性可能,而恶性多为广基底。
6)输尿管外病变:
如腹膜后肿瘤和腹膜后纤维化可见较大肿块推移或包绕输尿管,可引起输尿管狭窄,肾盂扩张给水,但病灶无沿输尿管长轴扩展的趋势。
(环球医学编辑:余霞霞)
来源:《中国影像好医生病例集》
作者:郭启勇
页码:207-212
出版:人民卫生出版社
- 评价此内容
- 我要打分
近期推荐
热门关键词
最新会议
- 2013循证医学和实效研究方法学研讨会
- 欧洲心脏病学会年会
- 世界帕金森病和相关疾病2013年会议
- 英国介入放射学学会2013年第25届年会
- 美国血液学会2013年年会
- 美国癫痫学会2013年第67届年会
- 肥胖学会 2013年年会
- 2013年第9届欧洲抗体会议
- 国际精神病学协会 2013年会议
- 妇科肿瘤2013年第18届大会
- 国际创伤压力研究学会2013年第29届…
- 2013年第4届亚太地区骨质疏松症会议
- 皮肤病协会国际2013年会议
- 世界糖尿病2013年大会
- 2013年国际成瘾性药年会
- 彭晓霞---诊断试验的Meta分析
- 武姗姗---累积Meta分析和TSA分析
- 孙凤---Network Meta分析
- 杨智荣---Cochrane综述实战经验分享
- 杨祖耀---疾病频率资料的Meta分析
合作伙伴
Copyright g-medon.com All Rights Reserved 环球医学资讯 未经授权请勿转载!
网络实名:环球医学:京ICP备08004413号-2
关于我们|
我们的服务|版权及责任声明|联系我们
互联网药品信息服务资格证书(京)-经营性-2017-0027
互联网医疗保健信息服务复核同意书 京卫计网审[2015]第0344号




会员登录

