男子皮肤巩膜黄染伴小便发黄 还出现腹痛 为何?
41岁男性,皮肤巩膜黄染伴小便发黄1周,还出现腹痛,增强CT示胰腺占位。该患者患有……
1.临床资料
病例4-1-33,男性,41岁,皮肤巩膜黄染伴小便发黄1周,腹痛,增强CT示胰腺占位。患病以来,患者精神、食欲、睡眠一般,体重、体力未见明显改变。
2.影像所见
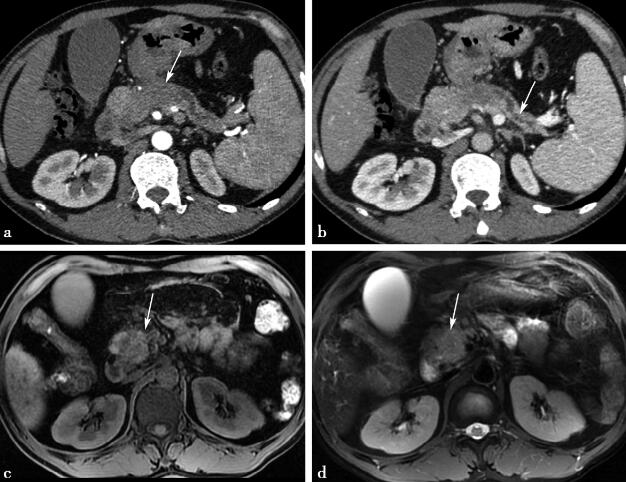
病例4-1-33:CT增强及MRI平扫。

图1a、b,CT增强动脉期和静脉期图像。图1c、d,MRI平扫的LAVA-FLEX和T2-FRFSE图像。胰头区域可见不规则异常密度影(图a箭头所示),动脉期强化程度低于正常胰腺,强化不均匀伴胰体尾区域胰管扩张(图b箭头所示)。MRI中病灶呈长T1稍长T2信号(图c、d箭头所示)
3.诊断分析
(1)胰腺癌诊断要点分析
病灶的可切除性分析,见表1。
表1 胰腺癌病灶的可切除性分析

(2)胰腺癌影像特征
1)CT表现:
胰腺实质内肿块,平扫呈低密度,由于病灶乏血供,增强扫描动脉期强化程度低于正常胰腺。胰腺癌好发于胰头(75%),其次为胰体(15%)和胰尾(10%),常引起胰管,当肿瘤发生在胆总管远端或壶腹部时,可引起胆总管和胰管同时扩张,即“双管征”。病灶发生在胰头、颈区域时,极易侵犯周围血管(腹腔干、门静脉、肠系膜上动脉、肠系膜上静脉),增强扫描可见到相应区域血管被肿瘤包绕,局部血管壁毛糙,管腔变窄
2)MRI表现:
脂肪抑制技术有助于增加病灶与正常胰腺组织之间的对比,在T1WI脂肪抑制序列中呈低或稍低信号,T2WI呈稍高混杂信号。增强扫描图像中,肿瘤强化的方式与CT一致,即病灶强化程度较正常胰腺组织偏低。MRCP序列往往对壶腹部肿块检测较为敏感,但无法提供更多的肿瘤分期信息。在DWI加权成像中,病灶呈明显高信号。
(3)胰腺癌鉴别诊断
1)胰腺神经内分泌肿瘤:
主要与类癌相鉴别,增强扫描病灶往往强化明显,且一般不会引起胰管的扩张。
2)局灶性胰腺炎:
发生在胰头部的局造性胰腺炎往往与胰头部的肿瘤难以鉴别,在PET检查中,两者均表现为放射药物摄取率升高。因此,根据具体情况应适当选择手术或影像随访。
3)胰腺转移性肿瘤:
胰腺转移性肿瘤病灶往往多发,平扫呈稍低密度,增强扫描病灶多境界清晰,而其强化方式往往和原发肿瘤相似,且对周围的血管无侵犯,也很少引起胰管和胆总管的扩张。
4.诊断
病例4-1-33,胰腺癌。
(环球医学编辑:余霞霞)
来源:《中国影像好医生病例集》
作者:郭启勇
页码:174-176
出版:人民卫生出版社
- 评价此内容
- 我要打分
近期推荐
热门关键词
最新会议
- 2013循证医学和实效研究方法学研讨会
- 欧洲心脏病学会年会
- 世界帕金森病和相关疾病2013年会议
- 英国介入放射学学会2013年第25届年会
- 美国血液学会2013年年会
- 美国癫痫学会2013年第67届年会
- 肥胖学会 2013年年会
- 2013年第9届欧洲抗体会议
- 国际精神病学协会 2013年会议
- 妇科肿瘤2013年第18届大会
- 国际创伤压力研究学会2013年第29届…
- 2013年第4届亚太地区骨质疏松症会议
- 皮肤病协会国际2013年会议
- 世界糖尿病2013年大会
- 2013年国际成瘾性药年会
- 彭晓霞---诊断试验的Meta分析
- 武姗姗---累积Meta分析和TSA分析
- 孙凤---Network Meta分析
- 杨智荣---Cochrane综述实战经验分享
- 杨祖耀---疾病频率资料的Meta分析
合作伙伴
Copyright g-medon.com All Rights Reserved 环球医学资讯 未经授权请勿转载!
网络实名:环球医学:京ICP备08004413号-2
关于我们|
我们的服务|版权及责任声明|联系我们
互联网药品信息服务资格证书(京)-经营性-2017-0027
互联网医疗保健信息服务复核同意书 京卫计网审[2015]第0344号




会员登录

