大妈15年前左乳腺出现黄豆大肿物未治疗 后来肿物增大且明显胀痛
53岁女性,15年前无明显诱因发现左乳腺有一黄豆大小肿物,未作系统治疗。近3个月来自觉肿物明显增大伴明显胀痛,约鸡蛋黄大小。查体左乳外上象限乳晕边缘处可扪及一肿物。该患者患有……
【病例介绍】
女性患者,53岁,15年前无明显诱因发现左乳腺有一肿物,如黄豆大小,无明显触痛,乳腺胀痛与月经来潮有明显关系,症状持续至今,未作系统治疗。近3个月来自觉肿物明显增大伴明显胀痛,约鸡蛋黄大小。查体左乳外上象限乳晕边缘处可扪及一肿物,大小约4.5cm×2.5cm,质韧,边界尚清,活动度尚可,无明显压痛,乳头无溢液,皮肤无破溃及凹陷,左腋下未触及增大淋巴结(图1~图3)。

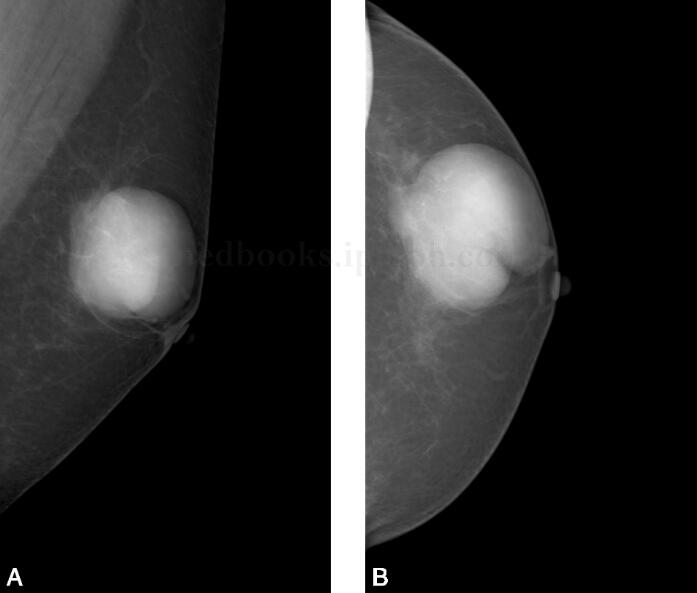
图1 左乳轴斜位片
左乳腺脂肪型,外上象限见边界清楚肿块影,大小约4.5cm×4.2cm,局部见较深切迹

图2 左乳腺超声
左乳腺体回声粗糙,可见4.6cm×4.6cm×3.0cm实性肿物,边界清,内呈低回声,CDFI可检出丰富血流信号,腋下未见明显肿大淋巴结

图3 双乳腺CT平扫及多期动态增强扫描(另一病例)
左乳腺外上象限可见软组织肿块影,边界尚清,呈略分叶状,CT值约30HU,截面约3.4cm×3.0cm,内部见点状钙化,增强扫描左乳肿物可见较明显强化,CT值升至58 HU,并见持续性强化
【诊断】
左乳腺叶状肿瘤(交界型)(图4)

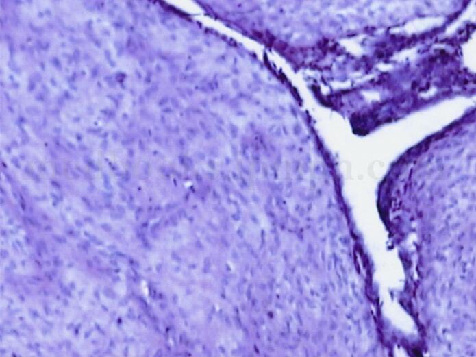
图4 病理图片
镜下见间质细胞增生,排列密集,可见核分裂,大部分腺管呈裂隙状,边缘未见浸润。诊断为(左)乳腺叶状肿瘤(交界型)
一、概述
乳腺叶状肿瘤(phyllodes tumors,PTs)是由乳腺间质和上皮成分构成的纤维上皮型肿瘤,临床非常少见,占所有乳腺原发肿瘤的0.3%~1.0%,占乳腺纤维上皮型肿瘤的2.0%~3.0%。1838年乳腺叶状肿瘤由Johannes Müller首次描述,并强调该肿瘤是良性,1931年Lee报道了其转移的恶性特征。后WHO乳腺肿瘤分类推荐了“叶状肿瘤”的命名,并将之分为良性、交界性和恶性3种类型。
【临床特征】
乳腺叶状肿瘤多见于中年女性,高峰年龄为50岁左右。多数病人为单侧乳房单发病灶,少数多发,左、右侧发病率相当。临床表现为无痛性肿块,少数伴局部轻压痛,质地硬韧,部分可有囊性感。边缘光滑,边界清晰,活动度可,与皮肤及周围组织无粘连。肿块较大时,局部皮肤受压变薄,可发生皮肤溃破并继发感染。肿瘤增长缓慢,病程较长,多数有一个较长时间无特殊不适的乳房肿块,但部分病人有肿块在短期内迅速增长的病史。
叶状肿瘤的病理组织学分类与临床过程无相关性,良性、交界性和恶性肿瘤在术后均有复发或转移可能,主要经血行转移,包括胸壁、肺、肝、中枢神经系统和骨骼等部位,因此要求切除范围应足够大,以减少二次甚至多次手术,并降低术后复发率和转移率。
【病理改变】
乳腺叶状肿瘤与纤维腺瘤同属纤维上皮型肿瘤,由良性上皮成分和间质肿瘤细胞构成,且以间质成分为主,肿瘤的间质过度增生是其本质。
大体观,叶状肿瘤体积一般较大,直径多数在5cm以上,个别肿瘤甚至长满整个乳房。常呈分叶状,质韧,界限清楚,部分有较完整的包膜。切面灰白或多色相间。肿瘤较小时类似纤维腺瘤,较大时可呈鱼肉状,类似间质肉瘤。其内常见囊腔,含清亮液体或胶冻样物质。瘤灶内可见出血、坏死、液化或黏液样变性,有时可见黏液、脂肪、纤维、平滑肌、横纹肌、软骨及骨样结构。
镜检可见肿瘤呈双相生长,比较经典的结构类型为间质肿瘤组织与上皮成分不规则无规律增生,间质组织局部增殖呈叶状突入上皮管腔,使之呈狭长而不规则的裂隙样,形成肉眼可见的囊叶状结构,并可见出血及囊变。
组织学上,可根据纤维结缔组织成分的细胞密度、细胞的异型度、核分裂出现频度及肿瘤边缘向周围组织的浸润性等,将其分为良性、交界性、恶性三类。分为三类:
1.良性(Ⅰ级)
细胞轻度异型,密度不高,核分裂0~4个/10高倍视野(HPF),无或轻到中度间质异型性增生,膨胀型边缘,无周围组织浸润,无出血、坏死;
2.交界性(Ⅱ级)
细胞中度异型,密度增高,核分裂5~9个/10HPF,中度间质异型性增生,膨胀型或浸润性边缘,可见局灶浸润,无明显出血、坏死;
3.恶性(Ⅲ级)
细胞高度密集,核分裂≥10个/10HPF,中到高度异型性增生,可见明显出血、坏死及周围浸润。另外间质细胞还可以发生脂肪肉瘤、软骨-骨肉瘤、横纹肌肉瘤或平滑肌肉瘤等异源性成分,这些成分提示叶状肿瘤预后差。
二、影像学表现
(一)钼靶X线摄影
叶状肿瘤表现为多形性,可呈圆形、椭圆形或分叶状,肿块大小不一;肿瘤体积较小时,表现为小结节状高密度影,圆形或卵圆形,内部密度均匀,边界清楚;瘤体较大时,外形呈波浪形或多囊状改变;肿瘤多呈膨胀性生长,压迫推挤周围正常腺体组织,X线上表现为肿块周边“透明晕”;病变多边界光整、界限清晰,部分恶性肿瘤向周围组织浸润,此时肿块边缘模糊不清。
(二)超声检查
肿瘤多呈类圆形或不规则分叶状,与周围组织界限清晰,边缘光滑,呈低或中等偏低回声,均匀或不均匀,极少见微钙化,超声CDFI肿瘤内部可见丰富血流信号;肿瘤较大时由于中央供养血管缺乏可表现为内部出血、坏死,肿瘤内可有多个囊性病灶,形成大小、形状不一的囊腔,内含胶冻样物或透明液体,超声扫查可探及散在分布的大小、形状不一的无回声区或低回声区。
(三)CT及MRI
两者属断层扫描,有较高的组织分辨率,并可行多期动态增强扫描,观察肿瘤血供情况,因此对乳腺病变的诊断有较高的敏感度及特异度。CT及MRI上肿瘤表现为分叶状或卵圆形肿块,边界清晰,呈软组织密度/信号,T1WI以低信号为主,T2WI以较高信号为主,较大病变内部出血、囊变则密度/信号欠均匀;动态增强后病变时间-信号强度曲线(TIC)多为渐增型或平台型。
三、鉴别诊断
1.纤维腺瘤
纤维腺瘤是临床上较为常见的乳腺良性肿瘤,病人相对较年轻,肿瘤体积一般较小,直径多在1~3cm,很少超过5cm,生长较缓慢,瘤体大小及伴发的触痛可随激素水平变化而发生周期性变化。CT上呈软组织密度,内部密度较均匀,部分可有粗大钙化;超声检查可探及光滑清晰的包膜回声,肿块内通常无明显血流信号;MRI平扫多数呈较低T1WI、较高或中等T2WI信号,特征性表现为内部分隔在T2WI上呈低或中等信号,增强后内部分隔强化程度相对较低。动态增强纤维腺瘤的强化方式多数为缓慢渐增型。
2.乳腺癌
乳腺癌可有多种形态,如果表现边界清楚的肿块,要注意观察是否合并其他恶性征象,如病变边缘分叶状和毛刺,病变内部或周围区域内恶性微细钙化,出现在癌肿周围的不规则透亮带,邻近皮肤增厚或乳头内陷等,部分病例可引起腋下淋巴结增大。CT和MR检查可见病变呈软组织密度/信号,T1WI以低信号为主,T2WI以较高信号为主,多期动态增强乳腺癌多呈快速增强及快速廓清现象。
【参考文献】
1.周艳,姜军,叶明福.乳腺叶状肿瘤30例诊断与治疗分析第三军医大学学报,2003,25(23):2090-2093
2.Goel NB,Knight TE,Pandey S,et al.Fibrous Lesions of the Breast:Imaging-Pathologic Correlation.Radio Graphics,2005,25:1547-1559
3.Ernhard Kraemer,Jurgen Hoffmann,Carmen Roehm,et al.Cystosarcoma phyllodes of the breast:a rare diagnosis:case studies and review of literature.Archives of Gynecology and Obstetrics,2007,276(6):649-653
4.张淑平,刘佩芳.乳腺叶状肿瘤的临床与影像诊断.国际医学放射学杂志,2009,32(5):449-452
5.程文,张久维,荆慧,等.乳腺叶状肿瘤的影像分析.中国医学影像技术,2009,25(8):1381-1383
6.谢坪,何远智,付凯,等.乳腺分叶状肿瘤的临床及X线钼靶表现分析.放射学实践,2005,20(8):670-672
7.Tavassoli FA,Devilee P.World Health Organization Classification of tumours:pathology and genetics of tumours of the breast and female genital organs.Lyon:IARC Press,2003:100-103
8.严松莉,唐旭平,曹亚丽.超声在乳腺叶状瘤和纤维腺瘤鉴别诊断中的价值.中华超声影像学杂志,2006,15:202-204
9.张嵘,李勇.乳腺叶状瘤的影像诊断.中华放射学杂志,2004,38:717-720
10.Franceschini G,Masetti R,Brescia A,et al.Phyllodes tumor of the breast:magnetic resonance imaging findings and surgical treatment.Breast J,2005,11:144-145
11.Wurdinger S,Herzog AB,Fischer DR,et al.Differentiation of phyllodes breast tumors from fibroadenomas on MRI.AJR,2005,185:1317-1321
12.Yilmaz E,Sal S,Lebe B,et al.Differentiation of phyllodes tumors versus fibroadenomas:mammographic and sonographic features.Acta Radiol,2002,43:34-39
13.Liberman L,Bonaccio E,Hamele-Bena D,et al.Benign and malignant phyllodes tumors:mammographic and sonographic findings.Radiology,1996,198:121-124
14.Esposito NN,Mohan D,Brufsky A,et al.Phyllodes tumor:a study of 30 cases.Arch Pathol lab Med,2006,130:1516-1521
(环球医学编辑:余霞霞)
来源:《疑难病例影像诊断评述》
作者:郭启勇 卢再鸣
页码:221-224
出版:人民卫生出版社
- 评价此内容
- 我要打分
近期推荐
热门关键词
最新会议
- 2013循证医学和实效研究方法学研讨会
- 欧洲心脏病学会年会
- 世界帕金森病和相关疾病2013年会议
- 英国介入放射学学会2013年第25届年会
- 美国血液学会2013年年会
- 美国癫痫学会2013年第67届年会
- 肥胖学会 2013年年会
- 2013年第9届欧洲抗体会议
- 国际精神病学协会 2013年会议
- 妇科肿瘤2013年第18届大会
- 国际创伤压力研究学会2013年第29届…
- 2013年第4届亚太地区骨质疏松症会议
- 皮肤病协会国际2013年会议
- 世界糖尿病2013年大会
- 2013年国际成瘾性药年会
- 彭晓霞---诊断试验的Meta分析
- 武姗姗---累积Meta分析和TSA分析
- 孙凤---Network Meta分析
- 杨智荣---Cochrane综述实战经验分享
- 杨祖耀---疾病频率资料的Meta分析
合作伙伴
Copyright g-medon.com All Rights Reserved 环球医学资讯 未经授权请勿转载!
网络实名:环球医学:京ICP备08004413号-2
关于我们|
我们的服务|版权及责任声明|联系我们
互联网药品信息服务资格证书(京)-经营性-2017-0027
互联网医疗保健信息服务复核同意书 京卫计网审[2015]第0344号




会员登录

