13岁女孩颅内病变2年 是肿瘤还是另有隐情?
13岁女患者,因“发现颅内病变2年”入院。该患者患有……
一、病例介绍
患者,女性,13岁,“发现颅内病变2年”入院。
患者在2013年8月情绪激动大哭大闹后出现呕吐,低热,急诊就医以“急性胃肠炎处理”,具体治疗方案不详。次日患者出现脑膜刺激征,临床怀疑“脑膜炎”予以治疗。后行头颅CT时发现颅内出血,予以保守治疗;而后行MRI、MRA考虑AVM致出血可能(图1),规律随访。2015年3月MRI随访时考虑左侧顶部镰旁脑膜瘤可能(图2),考虑肿瘤切除而入院。患者在随访过程无特殊不适主诉,无明显阳性体征。

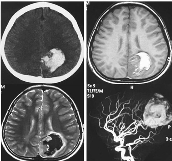
图1 2013-8-16首次CT、MRI及MRA影像
CT示左顶叶高密度为主混杂密度影,形态不规则,周围可见低密度区,后纵裂池密度增高;MRI符合亚急性早期脑内血肿改变;MRA提示左顶叶血肿区域与左侧大脑中动脉及大脑后动脉分支供血区域吻合,未见明显异常血管团

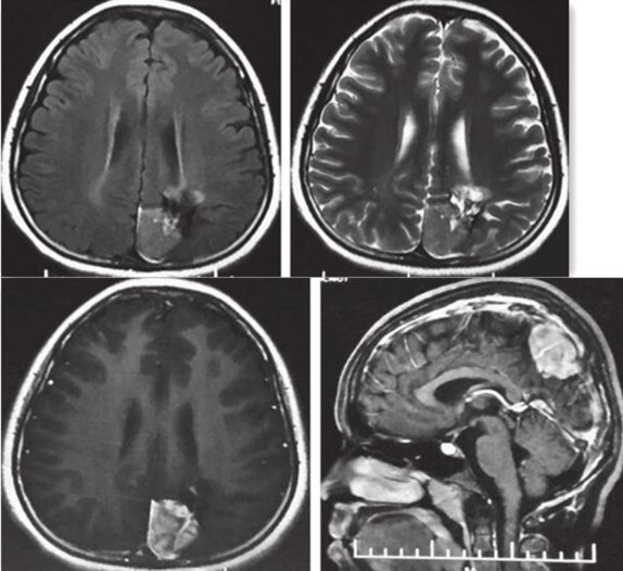
图2 2015-3-18 MRI检查图像,提示左顶叶占位合并陈旧性出血及囊变
二、诊治过程
患者入院后行术前MRI导航序列扫描(图3)及MRV(图4)。于2015年6月30日在全麻、神经导航下及术中电生理监测下行病灶切除术,病灶达镜下全切,术后患者无明显功能障碍。病理示:多形性黄色星形细胞瘤。

图3 MRI示左顶叶异常信号团块表现同2015-3-18相仿,团块向左前方突入左侧脑室后角

图4 MRV提示上矢状窦近窦汇上方显示不连续,提示受压改变
三、组织病理学诊断
如图5所示。

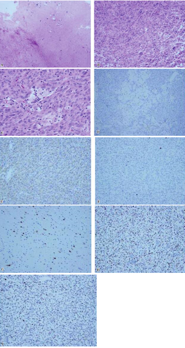
图5 组织病理
A.(×40)瘤细胞位于皮质下,位置浅表,伴多灶性皮质内钙化;B.(×200)瘤细胞弥漫分布,异型性大,见多核,巨核瘤细胞;C.(×400)瘤细胞黄色瘤样改变,核多形性,染色质温和;D.(×100)CD34示血管阳性;E.(×200)GFAP示瘤细胞胞质弥漫阳性;F.(×200)增殖指数1%,较低;G.(×200)皮质神经元表达NeuN核阳性;H.(×200)瘤细胞显示Olig2核阳性;I.(×200)瘤细胞显示P53核阳性
四、最终诊断
左顶叶多形性黄色星形细胞瘤(PXA)。
五、诊治建议
肿瘤已达全切,无需进一步综合治疗。
六、讨论
PXA的概念是由 Kepes 等人于1979年首次提出,是一种少见的神经上皮源性肿瘤,不到星形细胞瘤的1%,15~25岁的青年患者多见,平均发病年龄约22岁,临床上多以难治性癫痫起病。98%的PXA位于幕上,颞叶最多见,占50%左右,其次为顶叶,额叶,枕叶。PXA多位于大脑半球浅表面,部分侵入软脑膜。肿瘤不同程度地浸润周围脑实质,并有向周围间隙生长的倾向。影像学上PXA呈不规则占位阴影,边界尚清楚,肿瘤实质部有强化,常伴有囊变,可有囊壁强化,部分瘤周水肿。在此病例中,患者以脑出血为由发现占位,而AVM是儿童常见的非外伤性脑出血病因,急性脑出血时血肿可掩盖畸形血管,故不能明确诊断,需要血肿吸收时行相关脑血管造影检查。但是该病例行头颅MRA检查时,血肿尚未吸收,故未能提供准确畸形血管信息,之后亦未行DSA检查,故很长时间以“AVM未可能诊断”而随访。2015年行MRI时诊断为脑膜瘤也是根据脑膜瘤的常见影像特征,如发生在大脑凸面,邻近脑膜受累,增强可见明显强化等征象进行诊断。事实上对于类似表现的肿瘤还需要与毛细胞星形细胞瘤、节细胞胶质瘤和少突胶质瘤鉴别。综上:患者2013年出血时掩盖了真正的占位,2015年复查时由于血肿消失,占位显现。尽管2015年该病灶表现为典型的实质强化合并囊变特征,需要鉴别毛细胞星形细胞瘤、节细胞胶质瘤和少突胶质瘤,但是以上鉴别肿瘤包括PXA合并出血都极其罕见。PXA在治疗上以手术为主,根据肿瘤的生长部位,尽可能做到肿瘤全切除。我院回顾分析显示导致肿瘤没有完全切除的原因主要是肿瘤过于靠近功能区、脊髓束或重要的血管如颈内动脉和大脑中动脉等。对于未全切除者,术后可行放化疗治疗。
七、点评
这一病例的特殊之处在于该肿瘤是以颅内自发性出血为首发症状。这种肿瘤卒中在PXA等颅内的低级别胶质瘤中较为少见,而在恶性程度较高的高级别胶质瘤中多见。我院回顾分析显示,PXA最常见的临床表现为癫痫和头痛,报道的21例患者中有9例出现头痛,其中恶心呕吐伴颅内压增高者为4例,但未出现出血。本病例中患者年纪较轻,自发性脑内血肿位于顶枕叶皮质,大脑中、后动脉供血区域,因此很容易做出倾向于AVM出血的初步诊断。由于较小的畸形血管团出血时,往往被血肿压迫无法在MRA、CTA甚至DSA上显影。所以,需在血肿吸收后再行检查方可明确诊断。而本例患者,未在血肿吸收后及时复查DSA,所以AVM的诊断未及时排除,而是在一年多后的随访MRI时发现肿瘤。因此,对此类患者的诊疗,应在CT显示血肿吸收后尽早行DSA来明确或排除血管性疾病的诊断,并且行MRS等代谢影像检查辅助诊断肿瘤性病变。
(作者:尼加提·库都来提 审稿人:庄冬晓 任彦)
参考文献
[1]耿道颖,陈星荣. 星形细胞肿瘤的影像学诊断. 中国医学计算机成像杂志,2000(4):237-247.
[2]周凭,鲍伟民,张荣,等. 多形性黄色星形细胞瘤(附21例报告). 中国临床神经科学,2003,11(4):380-382.
[3]Kepes JJ,Rubinstein LJ,Eng LF. Pleomorphic xanthoastrocytoma : a distinctive meningocerebral glioma of young subjects with relatively favorable prognosis. A study of 12 cases. Cancer,1979,44(5):1839-1852.
[4]Giannini C,Scheithauer BW,Burger PC,et al. Pleomorphic xanthoastrocytoma:what do we really know about it? Cancer,1999 ,85(9):2033-2045.
[5]Pahapill PA,Ramsay DA,Del Maestro RF. Pleomorphic xanthoastrocytoma:case report and analysis of the literature concerning the efficacy of resection and the significance of necrosis. Neurosurgery,1996,38(4):822-828.
(环球医学编辑:余霞霞)
来源:《神经系统肿瘤病例析评:华山医院多学科诊疗团队临床病例精粹》
作者:毛颖 吴劲松 梁晓华
页码:1-7
出版:人民卫生出版社
- 评价此内容
- 我要打分
近期推荐
热门关键词
最新会议
- 2013循证医学和实效研究方法学研讨会
- 欧洲心脏病学会年会
- 世界帕金森病和相关疾病2013年会议
- 英国介入放射学学会2013年第25届年会
- 美国血液学会2013年年会
- 美国癫痫学会2013年第67届年会
- 肥胖学会 2013年年会
- 2013年第9届欧洲抗体会议
- 国际精神病学协会 2013年会议
- 妇科肿瘤2013年第18届大会
- 国际创伤压力研究学会2013年第29届…
- 2013年第4届亚太地区骨质疏松症会议
- 皮肤病协会国际2013年会议
- 世界糖尿病2013年大会
- 2013年国际成瘾性药年会
- 彭晓霞---诊断试验的Meta分析
- 武姗姗---累积Meta分析和TSA分析
- 孙凤---Network Meta分析
- 杨智荣---Cochrane综述实战经验分享
- 杨祖耀---疾病频率资料的Meta分析
合作伙伴
Copyright g-medon.com All Rights Reserved 环球医学资讯 未经授权请勿转载!
网络实名:环球医学:京ICP备08004413号-2
关于我们|
我们的服务|版权及责任声明|联系我们
互联网药品信息服务资格证书(京)-经营性-2017-0027
互联网医疗保健信息服务复核同意书 京卫计网审[2015]第0344号




会员登录

