10岁男孩患弥漫性中线胶质瘤 最终因肿瘤进展导致分流管阻塞死亡
10岁男孩,发现颅内多发占位1个月,遂至医院行头颅MR提示:鞍上区及左额颞病灶,鞍上病灶强化,伴脑积水,怀疑胶质瘤可能。后行在笔者医院行VP分流术,术后患者症状明显缓解。进一步查脑脊液脱落细胞,显示散在淋巴细胞。为进一步明确诊断,再次入住笔者医院。如何处理?
一、病例介绍
患者,男性,10岁,“发现颅内多发占位1个月,VP分流术后1周”入院。患者于2016年2月7日无明显诱因下出现饭后呕吐数次,呈非喷射性,呕吐物为胃内容物,随后出现嗜睡,精神状态明显下降,期间患者意识清晰,无四肢抽搐,无剧烈头痛及四肢活动障碍等不适主诉。遂至医院行头颅MR提示:鞍上区及左额颞病灶,鞍上病灶强化,伴脑积水,怀疑胶质瘤可能(图1)。给予对症支持治疗后患者症状无明显缓解,呕吐频率增加,性质较前无变化。近两周来,患者开始出现头痛,表现为呈胀痛,以额颞部为著。至儿科医院就诊,给予甘露醇脱水治疗后好转。患者就诊我院后行VP分流术。术后患者症状明显缓解,进一步查脑脊液脱落细胞,示散在淋巴细胞,恶性证据不足,目前为进一步明确诊断入院。入院查体:患者神清,精神可,双瞳等大等圆,对光反射灵敏,眼底检查提示视神经盘轻度水肿,余脑神经检查未见明显异常。四肢肌张力可,肌力正常,腱反射++,病理反射未引出,行走可,共济检查配合欠佳,闭目难立征阴性。


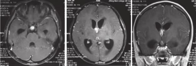
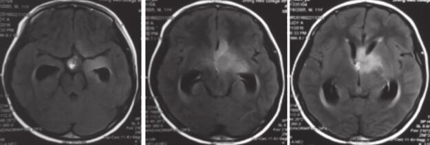
图1 患者术前头颅MR提示鞍上区及左额颞病灶,鞍上病灶强化
二、诊治建议
患者病灶位于下丘脑,质实块状,体积较大,信号均匀,包括左侧颞叶,目前考虑胶质瘤可能大,建议行导航下穿刺活检术明确。
三、治疗过程
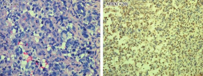
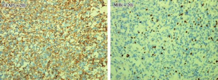
患者入院后完善术前检查,于2016年3月23日全麻下行鞍上病灶活检术。患者术后病理提示细胞密度高(图2),核异性大,核分裂随处可见,多核聚。ATRX(+),有内皮增生,无坏死,GFAP阳性,MIB-1阳性10%左右,NeuN弥漫强阳性,Olig2阳性,提示胶质来源,Sustan阳性,但是始终未找到坏死,核异型明显,最终诊断为(鞍区)胶质母细胞瘤(WHOⅣ级)。


图2 患者术后病理:HE提示患者细胞密度大,核异型大,核分裂处随处可见;ATRX阳性;GFAP阳性;MIB-1 10%左右
四、鉴别诊断
1.胶质瘤
该类疾病起病缓慢,常因颅内占位而表现为颅内压增高的症状,如头痛、恶心、呕吐及视神经盘水肿,亦可表现为癫痫发作并有神经系统局灶性定位体征,CT及MRI可见占位效应。此患者病史中存在头痛、呕吐等颅高压症状;MRI示:T1低信号,T2高信号,增强可见不均匀强化,符合高级别胶质瘤诊断。并且穿刺病理结果示胶质母细胞瘤,综上所述,考虑胶质瘤可能性大。
2.生殖细胞瘤
颅内原发肿瘤,起源于胚生殖细胞,好发于儿童及青少年,多见于鞍区、基底节区及松果体区,除局部占位效应外,常可因梗阻脑脊液循环而导致颅内压升高及脑室扩大。影像学多表现为T1等或稍低信号,T2高信号,增强可见均匀强化,边界清楚。该类患者脑脊液检查可见瘤细胞,肿瘤标记物检查,如HCG或AFP,往往可见升高。本例患者10岁男童,颅内多发占位,颅高压症状起病,伴脑室扩大,但影像学表现并不符合典型生殖细胞瘤,且术后病理提示胶质母细胞瘤,暂不考虑此病。
3.中枢神经系统淋巴瘤
该疾病可分为原发性中枢神经系统淋巴瘤和继发性中枢神经系统淋巴瘤,病程较短,常在半年以内,主要症状及体征因其占位性病变或弥漫性脑水肿引起,可表现为颅高压症状并可伴有精神方面的改变,此外,患者外周血中淋巴细胞比例可见升高,半数患者脑脊液检查可见蛋白质及淋巴细胞的升高。MRI常发现病灶强化明显,呈“棉花糖”样强化。而该患者脑脊液检查未见淋巴细胞升高,病理亦排除淋巴瘤诊断,影像学不支持淋巴瘤诊断,中枢神经系统淋巴瘤可能性不大。
4.颅内转移瘤
该类患者多可发现颅外原发病灶,多见于老年人,儿童颅内转移瘤少见,但以肉瘤及生殖细胞瘤为主,可经血流、蛛网膜下隙、淋巴系统途径或者直接侵入颅内,多表现为颅内原发占位相似的症状,如头痛、癫痫、认知功能障碍或者颅内压升高的症状及体征。影像学多表现为T1等或稍低信号,T2高信号,病灶周围水肿明显,常表现为“小病灶,大水肿”。该患者10岁男童,颅内多发占位,颅高压症状起病,鞍区病灶表现为T1低信号,T2高信号,强化明显,周围水肿不明显;而左额病灶表现为T1低信号,T2高信号,强化不明显,周围水肿明显。且术后病理提示鞍区胶质母细胞瘤,考虑颅内转移瘤可能性不大。可进一步行全身PET-CT检查,排除颅外病灶。
五、治疗原则与基于分子生物学标记物的个体化诊疗策略
表1 该病例分子病理检查结果

六、结局和预后评估
目前患者术后恢复可,依据患者术后病理建议行同步放化疗,但是患者出院后因经济原因未行进一步治疗,转回当地予对症支持处理。患者于术后1个月出现VP分流管堵塞,因急性脑积水死亡。
七、专家点评
儿童鞍区胶质母细胞瘤临床不常见,该病例经活检后组织病理学诊断为胶质母细胞瘤,进一步分子病理检测提示IDH基因未见突变,H3F3A K27M突变,结合患者年龄、组织病理学诊断及肿瘤部位,最终整合诊断为弥漫性中线胶质瘤,H3 K27M突变型。在最新发表的2016年《WHO中枢神经系统肿瘤分类》中,新增加了弥漫性中线胶质瘤这一诊断,其定义为:位于中线部位的,以星形细胞表型为主的,伴有H3F3A或者HIST1H3B/C K27M突变的高级别浸润性胶质瘤。和既往诊断中的脑干胶质瘤相比,其预后更差,2年生存率小于10%,因此最终WHO分级为WHOⅣ级。该患者病程只有2个月,最终因肿瘤进展导致分流管阻塞死亡,预后极差。
(作者:阿卜杜米吉提·艾拜杜拉 审稿人:吴劲松)
(环球医学编辑:余霞霞)
来源:《神经系统肿瘤病例析评:华山医院多学科诊疗团队临床病例精粹》
作者:毛颖 吴劲松 梁晓华
页码:17-20
出版:人民卫生出版社
- 评价此内容
- 我要打分
近期推荐
热门关键词
最新会议
- 2013循证医学和实效研究方法学研讨会
- 欧洲心脏病学会年会
- 世界帕金森病和相关疾病2013年会议
- 英国介入放射学学会2013年第25届年会
- 美国血液学会2013年年会
- 美国癫痫学会2013年第67届年会
- 肥胖学会 2013年年会
- 2013年第9届欧洲抗体会议
- 国际精神病学协会 2013年会议
- 妇科肿瘤2013年第18届大会
- 国际创伤压力研究学会2013年第29届…
- 2013年第4届亚太地区骨质疏松症会议
- 皮肤病协会国际2013年会议
- 世界糖尿病2013年大会
- 2013年国际成瘾性药年会
- 彭晓霞---诊断试验的Meta分析
- 武姗姗---累积Meta分析和TSA分析
- 孙凤---Network Meta分析
- 杨智荣---Cochrane综述实战经验分享
- 杨祖耀---疾病频率资料的Meta分析
合作伙伴
Copyright g-medon.com All Rights Reserved 环球医学资讯 未经授权请勿转载!
网络实名:环球医学:京ICP备08004413号-2
关于我们|
我们的服务|版权及责任声明|联系我们
互联网药品信息服务资格证书(京)-经营性-2017-0027
互联网医疗保健信息服务复核同意书 京卫计网审[2015]第0344号




会员登录

