44岁警察双下肢乏力、反复头痛、意识模糊 如何诊治?
44岁男性,先是双下肢乏力,几个月后又反复头痛,之后再次出现伴意识模糊。头颅CT及MRI提示颅内多发病变,右侧侧脑室结节样病变。按“感染性肉芽肿”予抗感染治疗,患者症状有一定改善,仍有反应迟钝。转入笔者所在科室治疗。该患者确诊为何病?如何治疗?
一、病例介绍
患者,男性,44岁。警察职业。今年3月份以来出现双下肢乏力,7月份出现反复头痛,8月中旬出现伴意识模糊。头颅CT及MRI提示颅内多发病变,右侧侧脑室结节样病变(图1,图2)。按“感染性肉芽肿”予抗感染治疗,患者症状有一定改善,仍有反应迟钝。转入我科治疗。


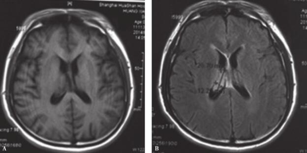
图1 右侧脑室体部结节病灶
A.头颅 MRI平扫 T1 ;B.头颅 MRI FLAIR 像;C.头颅 MRI DWI;D.头颅 MRI T1 增强


图2 颅内多发病变(FLAIR像)
A.双侧钩回-海马-杏仁核病变;B.双侧海马,小脑病变;C、D.小脑病变
(一)体格检查
神志清楚,查体合作,定时、定向可。粗查短期记忆力可。视野粗测正常。脑神经阴性。四肢肌力Ⅴ级,肌张力可,双上肢腱反射(+),膝反射(-)。感觉粗查正常,浅反射存在。双侧Babinski征、Chaddock征未引出,双侧Hoffmann征未引出。Romberg征阴性。走一字步欠佳。双侧指鼻、轮替、跟膝胫动作完成可。
(二)辅助检查
8-16 梅毒(-),HIV(-)。
8-18 头颅CT:右侧侧脑室脉络丛区密度略高,部分脑沟裂变浅。
8-18 头颅MRI平扫及增强:右侧脑室结节增殖性改变,伴邻近双侧丘脑、胼胝体压部及双侧海马内异常信号。小脑肿胀。
8-18 头颅MRS:右侧脑室结节增殖性改变,Cho/NAA比值最大为2.58。
8-19 T-SPOT(-)。
8-21 脑脊液:白细胞13×106/L,单核10/13,糖8.2mmol/L(同步血糖9.8mmol/L),氯103mmol/L,蛋白15000mg/L。未见肿瘤脱落细胞。寄生虫抗体:囊虫弱阳性。乳胶凝集试验阴性,真菌涂片阴性。细菌培养阴性。
8-23 PET-CT:右侧侧脑室后角见2.0cm×2.0cm高密度结节影,放射性摄取异常增高,SUV最大值8.3。右侧小脑幕见多发片状不均匀异常增高灶,以右侧丘脑后方,小脑蚓部明显。结论:右侧侧脑室结节影,小脑幕多发片状FDG代谢异常增高。
二、讨论目的
入院后予地塞米松抗炎,脱水降颅压治疗。患者症状未明显改善,仍有双下肢乏力,腰背部紧绷感。复查头颅MRI:病变较前有所增加,脑膜有强化。讨论病变性质,以及活检的可行性。
三、诊治建议
第一次MDT讨论:
阅片后,侧脑室内病灶信号异常,弥散信号高,偏致密,倾向考虑肿瘤病变,建议活检。但脑室内结节样病灶,小脑幕病变活检难度大。患者有颈背部疼痛,可予完善脊髓MRI和颅颈交界区MRI,完善脑脊液脱落细胞检查。并提出,脑脊液对波谱影响大,若能在此小脑发现病灶,建议对此区病灶行波谱检查。
第二次MDT讨论:
复查胸椎MRI:胸髓内可见异常信号,脊膜强化(图3)。脑脊液黏稠,不易流出。脑脊液蛋白45000mg/L。患者临床症状无改善,反应迟钝加重。讨论同意行颅内病变导航下穿刺活检。

图3 胸髓异常信号,脊膜强化
A.胸髓MRI T1像;B.胸髓MRI T2像;C.胸髓MRI增强像。胸髓内可疑异常信号,广泛脊膜强化
四、治疗过程
抗炎治疗效果欠佳。行小脑蚓部穿刺活检,病理(图4)为间变性星形细胞瘤(WHOⅢ级)。之后行全脑全脊髓放疗,6-MV X线,分三段进行调强放射治疗,2Gy/次,目前照射11次,患者双下肢活动和头痛症状明显好转。


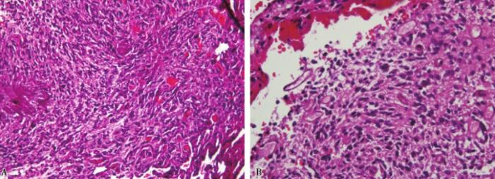
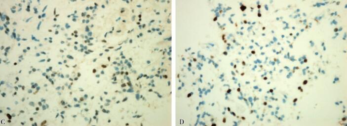
图4 小脑蚓部病理
A.放大200倍,瘤细胞弥漫分布,密度较高;B.放大400倍,瘤细胞异型性大,见核分裂象;C.放大400倍,瘤细胞呈P53核阳性表达;D.放大400倍,瘤细胞呈Ki-67表达指数较高
五、鉴别诊断
1.恶性肿瘤
(1)“CNS胚胎性肿瘤,NOS”的定义:
①位于小脑以外罕见的胚胎性神经上皮肿瘤;②偶见神经细胞、星形胶质细胞、肌细胞、黑色素细胞分化;③无其他CNS肿瘤的组织学和(或)分子遗传学变异特征;④多数相当于原先的cPNET经典型。鉴于以上诊断条件,“CNS胚胎性肿瘤,NOS”为排除性诊断。2016修订版废弃了cPNET及其亚型室管膜母细胞瘤的命名,将2007版的cPNET及其亚型(CNS神经母细胞瘤、CNS神经节细胞神经母细胞瘤、髓上皮瘤、室管膜母细胞瘤)做了重新分类和(或)命名。①将有C19MC基因座扩增或融合的髓上皮瘤和室管膜母细胞瘤并入ETMR的C19MC变异型;②将C19MC基因座正常的室管膜母细胞瘤并入ETMR的NOS型;③将CNS神经母细胞瘤、CNS神经节细胞神经母细胞瘤及C19MC基因座正常的髓上皮瘤由cPNET的亚型升格为CNS胚胎性肿瘤的独立亚类;④将小脑以外无其他CNS肿瘤组织学及分子遗传学变异特征的“cPNET”重新命名为“CNS胚胎性肿瘤,NOS”。
(2)髓母细胞瘤:
为好发于儿童的颅内恶性肿瘤。绝大多数位于小脑蚓部。肿瘤可随脑脊液播散。临床表现为颅高压和小脑损害的表现。头颅CT可见小脑蚓部或四室内均匀一致的等密度或稍高密度占位。头颅MRI见肿瘤实质部分表现为长T1长T2信号。
2.特殊感染
包括病毒、细菌、结核和真菌等。但患者病程中均无发热,脑脊液生物源性检查未有阳性发现。按感染性炎症治疗疗效不明显。
六、治疗原则与基于分子生物学标记物的个体化诊疗策略
病理明确为肿瘤性病变。该病变沿着蛛网膜下隙播散,无法行手术切除治疗。行全脑全脊髓照射。
七、结局和预后评估
该患者为肿瘤性病变,而且沿着蛛网膜下隙播散,预后欠佳。
八、专家点评
按照2016年版WHO中枢神经系统肿瘤分类,间变性胶质瘤(WHO Ⅲ级)包括:间变性星形细胞瘤,间变性少突胶质瘤,间变性少突-星形细胞瘤(NOS)及间变性室管膜瘤。
间变性星形细胞瘤是弥漫性浸润的恶性星形细胞肿瘤,成人好发,发生于大脑半球,可能起源于WHO Ⅱ级弥漫性星形细胞瘤,亦可能原发,通常无低度恶性原始病变,具有进展为胶质母细胞瘤的倾向。多为单发,但多发亦不少见。组织学特征与弥漫性星形细胞瘤基本相似,但细胞密度、核异型性、染色质深染和核分裂象增加。局灶性或弥漫性高细胞密度是诊断依据。与弥漫性星形细胞瘤相比,间变性星形细胞瘤MIB-1(Ki-67)抗原标记指数升高。
初诊为间变性胶质瘤的患者,术中应力争做到最大化安全切除肿瘤,以明确病理诊断以及提高后续辅助治疗的效果。术后的辅助治疗可以根据相关的分子病理特征进行进一步划分,其中最新版的《中国中枢神经系统恶性脑胶质瘤诊断与治疗指南(2015版)》对于间变性胶质瘤的治疗方案给予了明确指导与规范。针对弥漫播散性的病例,除了常规的头部放疗同步替莫唑胺化疗+替莫唑胺辅助化疗以外,脊髓全节段的放疗也必不可少。
(作者:吴劲松 审稿人:初曙光 陈宏)
参考文献
2016世界卫生组织中枢神经系统肿瘤分类第4版修订版胚胎性肿瘤部分介绍.中华医学会病理学分会脑神经病理学组 .中华病理学杂志,2017,46(7):449-452.
(环球医学编辑:余霞霞)
来源:《神经系统肿瘤病例析评:华山医院多学科诊疗团队临床病例精粹》
作者:毛颖 吴劲松 梁晓华
页码:21-26
出版:人民卫生出版社
- 评价此内容
- 我要打分
近期推荐
热门关键词
最新会议
- 2013循证医学和实效研究方法学研讨会
- 欧洲心脏病学会年会
- 世界帕金森病和相关疾病2013年会议
- 英国介入放射学学会2013年第25届年会
- 美国血液学会2013年年会
- 美国癫痫学会2013年第67届年会
- 肥胖学会 2013年年会
- 2013年第9届欧洲抗体会议
- 国际精神病学协会 2013年会议
- 妇科肿瘤2013年第18届大会
- 国际创伤压力研究学会2013年第29届…
- 2013年第4届亚太地区骨质疏松症会议
- 皮肤病协会国际2013年会议
- 世界糖尿病2013年大会
- 2013年国际成瘾性药年会
- 彭晓霞---诊断试验的Meta分析
- 武姗姗---累积Meta分析和TSA分析
- 孙凤---Network Meta分析
- 杨智荣---Cochrane综述实战经验分享
- 杨祖耀---疾病频率资料的Meta分析
合作伙伴
Copyright g-medon.com All Rights Reserved 环球医学资讯 未经授权请勿转载!
网络实名:环球医学:京ICP备08004413号-2
关于我们|
我们的服务|版权及责任声明|联系我们
互联网药品信息服务资格证书(京)-经营性-2017-0027
互联网医疗保健信息服务复核同意书 京卫计网审[2015]第0344号




会员登录

