7岁女孩头痛伴呕吐数天 祸根是?如何治疗?
7岁女孩,因“头痛伴呕吐10天”于复旦大学附属儿科医院就诊。外院头颅MRI提示左侧额顶叶肿瘤,该患者最终确诊为何病?如何治疗?
一、病例介绍
患儿,女性,7岁。2014年5月11日因“头痛伴呕吐10天”于复旦大学附属儿科医院就诊。
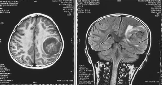
辅助检查:外院头颅MRI提示:左侧额顶叶肿瘤(图1)。


图1 外院头颅MRI(2014-5-8)提示左侧额顶叶肿瘤
2014-5-13在全麻下行左侧额顶叶肿瘤切除术。病理提示:(左额顶叶)高级别胶质瘤。
华山医院病理科会诊:恶性胶质瘤伴PNET成分(相当于WHO Ⅳ级);免疫组化分析:GFAP(+)、Olig2(-)、P53(+/-)、INA(+/-)、NenN(-/+)、EMA(-)、Nestin(+)、Syn(-/+)。
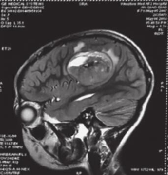
2014-7-22患者于放疗科入院治疗。查体:神清,对答切题,KPS 90,四肢肌力Ⅴ级,病理征阴性(图2)。

图2 术后头颅MRI(2014-7-22)显示病灶切除,术野局部可见条索样强化
2014-7-29脊髓MRI:胸脊髓、腰脊髓未见异常信号。
二、讨论目的
该病病理:恶性胶质瘤伴PNET成分(相当于WHO Ⅳ级),临床上比较少见,目前尚无标准治疗方案。
1.患儿目前病理分析。
2.针对该病理,术后最佳治疗方案
(1)放疗:局部病灶放疗?全脑全脊髓放疗?
(2)化疗:替莫唑胺?EP方案?CCNU?联合方案?其他?
三、诊治建议
1.由于是外院病理切片,所以没有病理切片的图片做参考。病理科专家根据病理会诊报告的文字内容,根据免疫组化的分析结果,考虑病理上还是倾向恶性胶质瘤,其中的PNET成分可能是从形态学上来分析的(可能存在局灶的分化差的、原始成分多一些的细胞)。也建议进一步做分子病理检测(IDH1等)来明确诊断。从现有病理资料上,诊断倾向于恶性胶质瘤。
2.建议按照恶性胶质瘤的诊疗方案予以局部野放疗及化疗。
3.因病理报告中提示伴PNET成分,而PNET可能出现脑脊液播散,故治疗后随访中建议关注脊髓MR。
四、治疗过程
1.放射治疗:瘤床区予局部野放射治疗DT:54Gy/27Fx。
2.替莫唑胺75mg/m2同步化疗。
3.患者放化疗期间耐受好,无相关副作用。
五、鉴别诊断
1.低级别星形细胞瘤
肿瘤多位于白质,边界清楚,信号均匀的长T1、长T2信号,多无明显强化,周围多无水肿,多位于脑实质深部。少突胶质细胞瘤常有钙化,与PNET较难鉴别,但PNET增强较少突胶质细胞瘤更明显且更均匀。
2.转移瘤
易发生在灰白质交界区,常多发,病灶较大时易发生囊变和出血,且肿块周围水肿明显,对鉴别有一定价值,故根据病史和MRI表现多可以鉴别转移瘤和PNET。
3.淋巴瘤
易发生于中线部位,呈单发或多发局灶性团块影,呈长T1、等或稍长T2信号,囊变少见,明显强化,而PNET肿块位置表浅,邻近脑膜,但肿块周围脑膜无明显增厚增强。
4.生殖细胞瘤
需与位于第三脑室后部的PNET鉴别,生殖细胞瘤信号及增强多不均匀,常位于松果体区,也可发生于鞍上或基底节区,根据部位及其信号表现常易鉴别。
5.脑膜瘤和脑膜血管外皮瘤
PNET肿块位置表浅,邻近脑膜,信号均匀,呈稍长T1稍长T2信号,多需与脑膜瘤鉴别;部分PNET肿块内可发生坏死,多需与脑膜血管外皮瘤鉴别。PNET肿块位于脑实质内,邻近脑膜无增厚增强。
本病例的病理诊断明确为:
恶性胶质瘤伴PNET成分(WHO Ⅳ级)非常罕见,对其影像表现认识不足,但是一些影像特征可以提示PNET不能排除,如位置表浅,强化显著,弥散受限成分多(DWI高信号),以及水肿相对较轻等。但是PNET的最终诊断依然依赖于病理诊断。
中枢性原始神经外胚层肿瘤在原始神经外胚层肿瘤中较为少见,为神经嵴衍生的较原始的外胚层肿瘤,主要由原始神经上皮产生,具有多向分化的潜能,侵袭性生长,广泛脑脊液播散,预后极差。PNET发病率低,仅占整脑肿瘤的0.1%左右,且多见于儿童小时,病理诊断是最终的诊断。PNET的临床症状与其他幕上肿瘤相似常见:头痛、呕吐、颅内高压症状,伴有肢体无力及抽搐,伴有步态不稳表现。中枢性原始神经外胚层肿瘤的治疗:一般为手术治疗,术后再辅以放疗化疗等综合治疗措施。
六、治疗原则与基于分子生物学标记物的个体化诊疗策略
华山医院神经病理室分子病理诊断报告书(2014-8):
1. MGMT启动子未甲基化,甲基化比率<10%。
2. IDH1基因R132位点,IDH2基因R172位点未见突变。
3. EGFR未扩增。
七、结局和预后评估
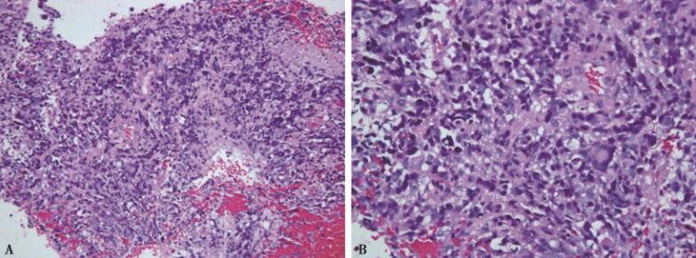
1.病理切片(图3)由病理科送香港中文大学医学院威尔士亲王医院病理解剖及细胞学系主任吴浩强教授共同会诊,会诊意见(2014-9)为间变性星形细胞瘤WHOⅢ级。

图3病理切片
A.瘤细胞弥漫分布,密集成片;血丰富。B.瘤细胞核浆比例高,核异型性明显,部分区域可见菊心团样排列
2.根据分子病理学报告:MGMT启动子未甲基化,甲基化比率<10%;提示预后较差。IDH1基因R132位点,IDH2基因R172位点未见突变。提示化疗不敏感。
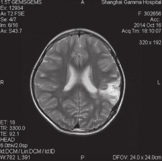
3.患者2014年10月16日放疗后一个月复查MRI(图4)提示:病情稳定。


图4 2014-10-16放疗后一个月复查MRI提示:病情稳定
八、专家点评
1.本例儿童幕上肿瘤,前面已做很好鉴别诊断。严格讲,仅凭影像学是很难做出准确的诊断和鉴别诊断。例如,少突胶质瘤和PNET均可有钙化,瘤周少活无水肿;GBM和PNET都可有囊变、坏死和出血,注射增强剂后均可不均匀增强;周边型PNET(P-PNET)和脑膜瘤常有脑膜尾征(术时肿瘤常与硬脑膜粘连)。因此,凭影像学诊断,只能说某种肿瘤可能大或可能少些。目前,最后的诊断仍依靠病理学、组织学检查。
2.本例肿瘤病理检查除有HGG表现外,还有原始神经上皮标记物阳性,故病理诊断恶性胶质瘤伴有PENT成分。颅内PENT可分中央型(C-PNET)和P-PNET两类。C-PNET分布于脑白质内,如在后颅窝,则称髓母细胞瘤;如长在松果体称松果体母细胞瘤;如在嗅沟,称嗅母细胞瘤等。本例长在大脑白质内。P-PNET长在脑(髓)外,过去称为尤文肉瘤,它常与硬脑膜粘连。P-PNET在IHC中表达CD99(MIC2),C-PENT不表达,且基因分析有MVCN扩增和染色体2、8呈多倍体,可加以区别。由于C-PNET和P-PENT均可发生播散,因此,对确诊者,在术后应加神经轴放疗和化疗(选用长春新碱、顺铂、CCNU、环磷酰胺)。
3.新版2016 WHO classification of Tumors of the CNS胶质母细胞瘤,IDH野生型章节中关于胶质母细胞瘤含原始神经元成分。弥漫胶质瘤包含一个或多个有神经分化的原发结节。原发的区域与邻近的胶质瘤分界清,细胞密度高,核浆比例高,核分裂多。可出现神经母菊心团,髓母细胞瘤或其他中枢神经系统胚胎性肿瘤的图像。神经元标记Synaptophysin表达,GFAP表达少,Ki-67表达指数比邻近的胶质瘤成分明显提高。这个亚型可能原发,或已知的胶质瘤病灶进展而来。生存时间和基因特征都和通常的胶质母细胞瘤相似。这个亚型通常伴更高的脑脊液播散(30%~40%)以及MYCN或MYC基因的扩增。
因此,本例应密切随访头和脊髓MR(增强)。
(作者:吴劲松 审稿人:梁晓华)
(环球医学编辑:余霞霞)
来源:《神经系统肿瘤病例析评:华山医院多学科诊疗团队临床病例精粹》
作者:毛颖 吴劲松 梁晓华
页码:35-40
出版:人民卫生出版社
- 评价此内容
- 我要打分
近期推荐
热门关键词
最新会议
- 2013循证医学和实效研究方法学研讨会
- 欧洲心脏病学会年会
- 世界帕金森病和相关疾病2013年会议
- 英国介入放射学学会2013年第25届年会
- 美国血液学会2013年年会
- 美国癫痫学会2013年第67届年会
- 肥胖学会 2013年年会
- 2013年第9届欧洲抗体会议
- 国际精神病学协会 2013年会议
- 妇科肿瘤2013年第18届大会
- 国际创伤压力研究学会2013年第29届…
- 2013年第4届亚太地区骨质疏松症会议
- 皮肤病协会国际2013年会议
- 世界糖尿病2013年大会
- 2013年国际成瘾性药年会
- 彭晓霞---诊断试验的Meta分析
- 武姗姗---累积Meta分析和TSA分析
- 孙凤---Network Meta分析
- 杨智荣---Cochrane综述实战经验分享
- 杨祖耀---疾病频率资料的Meta分析
合作伙伴
Copyright g-medon.com All Rights Reserved 环球医学资讯 未经授权请勿转载!
网络实名:环球医学:京ICP备08004413号-2
关于我们|
我们的服务|版权及责任声明|联系我们
互联网药品信息服务资格证书(京)-经营性-2017-0027
互联网医疗保健信息服务复核同意书 京卫计网审[2015]第0344号




会员登录

