29岁女子时不时头痛伴右侧眼睑下垂 不料查出了肿瘤
29岁女性,突发头痛伴恶心呕吐,伴双眼复视,就诊外院查头CT诊断蛛网膜下隙出血,当地医院住院对症支持治疗后患者头痛及复视症状消失,患者具体诊疗过程不能回忆。第二天进一步查头颅MRI提示鞍上区占位,T1低信号T2高信号,明显均匀强化,外院建议定期随访。因出现右眼睑下垂及行走不稳,就诊笔者医院。该患者患有何病?如何治疗?
一、病例介绍
患者,女性,29岁,间断头痛伴右侧眼睑下垂2月余入院。
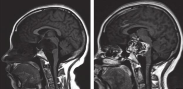
患者于2014年9月15日出现突发头痛伴恶心呕吐,伴双眼复视,就诊外院查头CT诊断蛛网膜下隙出血,当地医院住院对症支持治疗后患者头痛及复视症状消失,患者具体诊疗过程不能回忆。2014年9月16日患者进一步查头颅MRI提示鞍上区占位,T1低信号T2高信号,明显均匀强化,外院建议定期随访。患者于2个月前开始出现右眼睑下垂及行走不稳,就诊我院。头颅MRI提示:鞍上可见异常信号肿块影,T1WI低信号,T2WI高信号,增强后混杂增强信号,CT提示病灶钙化(图1)。回忆本次病程,患者无明显头痛及恶心呕吐,无复视,无四肢活动障碍。



图1 2015-2术前影像学检查
鞍上可见异常信号肿块影,MR T1WI低信号,T2WI高信号,增强后混杂增强信号,CT提示病灶钙化
体检:神清,精神可,双侧动眼神经及展神经麻痹,右侧为甚,右侧面瘫,感觉减退,左上肢肌力Ⅳ+,右上肢肌力Ⅳ,左下肢肌力Ⅴ,右下肢肌力Ⅴ-,双侧腱反射亢进,左侧病理征阳性,右侧未引出,走路不稳,指鼻准,Romberg征(+)。
既往史:5年前重症肌无力(眼肌型)病史。
二、讨论目的
1. 目前诊断?
2. 手术后下一步治疗方案?
三、诊治建议
根据患者目前病史及影像学资料考虑软骨黏液样纤维瘤,建议下一步行放疗。
四、治疗过程
患者入院后积极完善相关检查,行肿瘤切除术,手术肿瘤部分切除,目前患者术后康复中。
五、鉴别诊断
患者目前主要的鉴别诊断如下:
1.脊索瘤
脊索瘤是局部的侵袭性或恶性肿瘤,主要好发于50~60岁的中老年,以颅底蝶枕和骶尾部最常见。脊索瘤生长缓慢,在出现症状前,往往已患病5年以上。脊索瘤的生长虽然缓慢,且很少发生远处转移(晚期可转移),但其局部破坏性很强,CT可以表现出颅底骨质破坏明显,该患者颅底CT未见明显骨质破坏,暂不考虑该诊断。
2.软骨肉瘤
软骨肉瘤起源于软骨或软骨结缔组织,是一种常见的恶性肿瘤,发病率仅次于骨肉瘤。肿瘤细胞形成软骨,而不形成骨。根据肿瘤发生的部位,软骨肉瘤可分为中央型和周围型;根据肿瘤起源又可分为原发性软骨肉瘤和继发性软骨肉瘤,瘤软骨钙化是最基本且具有特征性的表现。依据患者影像学检查,暂不能确立该诊断,待正式病理诊断明确。
六、治疗原则与基于分子生物学标记物的个体化诊疗策略
手术治疗;术后根据正式组织病理诊断结果辅以放疗。
七、结局和预后评估
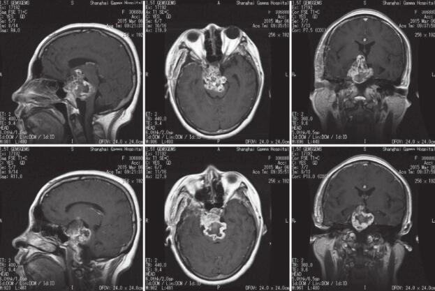
患者术后病理回报:(右中颅底)高分化软骨肉瘤。患者外科病房出院后就诊放疗中心行放疗,予6MV X线局部野IMRT放疗DT:54.75Gy/26Fx(图2),病程中予对症支持治疗。患者放疗前后(图3、图4)病灶缩小。患者随访至2017年8月,病灶稳定,症状同前。

图2 患者术后放疗计划示意图

图3 2015-3患者术后接受放疗前MRI,提示鞍上区肿瘤术后改变

图4 2015-6患者放疗后复查MRI,提示鞍上区病灶较放疗前(图2)略缩小
八、专家点评
斜坡及鞍上区肿瘤中,依据患者入院MRI怀疑脊索瘤可能,但是根据患者入院CT提示肿瘤钙化明显,颅底骨质无明显破坏,考虑软骨黏液纤维瘤可能;考虑患者肿瘤部分切除,术后长期随访仍有复发可能,结合患者肿瘤生长部位,复发手术难度较大,遂建议术后行放疗,控制肿瘤生长。骨源性肿瘤的放疗剂量高于传统的颅内肿瘤,为了减少对周围脑神经以及脑组织的放射性损伤,推荐采用三维适形技术以及调强技术。新型的质子放疗-重离子技术尤其适合于颅底骨源性肿瘤的放疗,提高疗效,降低放射性损伤的几率和程度。
(作者:阿卜杜米吉提·艾拜杜拉 审稿人:初曙光)
(环球医学编辑:余霞霞)
来源:《神经系统肿瘤病例析评:华山医院多学科诊疗团队临床病例精粹》
作者:毛颖 吴劲松 梁晓华
页码:220-224
出版:人民卫生出版社
- 评价此内容
- 我要打分
近期推荐
热门关键词
最新会议
- 2013循证医学和实效研究方法学研讨会
- 欧洲心脏病学会年会
- 世界帕金森病和相关疾病2013年会议
- 英国介入放射学学会2013年第25届年会
- 美国血液学会2013年年会
- 美国癫痫学会2013年第67届年会
- 肥胖学会 2013年年会
- 2013年第9届欧洲抗体会议
- 国际精神病学协会 2013年会议
- 妇科肿瘤2013年第18届大会
- 国际创伤压力研究学会2013年第29届…
- 2013年第4届亚太地区骨质疏松症会议
- 皮肤病协会国际2013年会议
- 世界糖尿病2013年大会
- 2013年国际成瘾性药年会
- 彭晓霞---诊断试验的Meta分析
- 武姗姗---累积Meta分析和TSA分析
- 孙凤---Network Meta分析
- 杨智荣---Cochrane综述实战经验分享
- 杨祖耀---疾病频率资料的Meta分析
合作伙伴
Copyright g-medon.com All Rights Reserved 环球医学资讯 未经授权请勿转载!
网络实名:环球医学:京ICP备08004413号-2
关于我们|
我们的服务|版权及责任声明|联系我们
互联网药品信息服务资格证书(京)-经营性-2017-0027
互联网医疗保健信息服务复核同意书 京卫计网审[2015]第0344号




会员登录

