一大妈咳嗽4个月胸闷1个月 多次肺部CT均未见异常气管镜检查终确诊
53岁女性,无明显诱因出现咳嗽症状,未进行诊治,上述症状无缓解。加重后至当地某综合医院就诊,给予对症止咳治疗,效果差,咳嗽逐渐加重。三个月后又出现胸闷,至西安市某军队医院就诊,治疗后症状改善不明显,为进一步诊治入笔者医院。导致该患者持续咳嗽的元凶是……
【病情介绍】
患者,女,53岁,农民。因“咳嗽4个月,胸闷1个月”为主诉于2013年12月23日入院。自2013年8月以来,患者无明显诱因出现咳嗽症状,多干咳,昼夜无明显差异,当时无发热乏力、胸闷、胸痛、鼻塞、流黄鼻涕、咯血,无胸骨后灼热感、反酸等症状,未进行诊治,上述症状无缓解,并呈现逐渐加重趋势,至当地某综合医院就诊,给予完善肺部CT扫描及肺功能检查:肺部CT未见异常,肺通气功能检查未见异常(可能由于咳嗽较为剧烈,未行支气管激发试验),给予对症止咳治疗,效果差,咳嗽逐渐加重,2013年11月开始出现活动后胸闷喘息休息后胸闷症状逐渐减轻,夜间卧位时咳嗽较重,可平卧位入睡,至西安市某军队医院就诊给予复查肺通气功能,仍为正常水平,复查肺部CT:未见占位性病变及炎性改变。给予福莫特罗/布地奈德粉,4.5/160μg,每日2次,每次吸入治疗,咳嗽、胸闷症状改善不明显,为进一步诊治入院。
既往身体健康,此次患病前可正常从事农业体力劳动,无吸烟史,无过敏性鼻炎、高血压、冠状动脉粥样硬化性心脏病史,家族中无类似疾病史。
【入院诊断】
1. 咳嗽、胸闷原因待查。
2. 哮喘?
3. 支气管内膜结核?
【诊治经过】
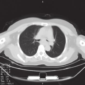
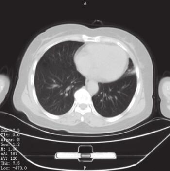
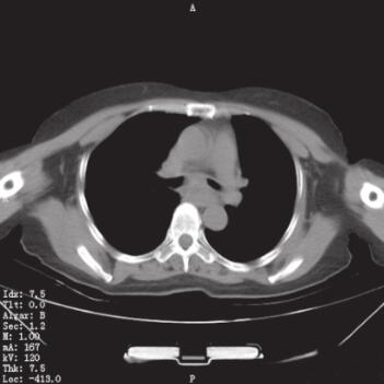
入院后检查:生命体征平稳,慢性病容,呼吸急促,口唇及甲床不发绀。上肺部可闻及双相哮鸣音,以吸气相为主,心率90次/分,律齐,各瓣膜听诊区未闻及杂音,肝脏、脾脏在肋缘下未能触及,剑突下无压痛,双下肢不水肿。血常规:WBC 7.66×109/L,N% 75.0%,HGB 135g/L,PLT 290×109/L。红细胞沉降率23mm/h。肝肾功能、生化未见异常。血气分析提示:pH 7.42,PaO2 80mmHg(1mmHg=0.133kPa),PaCO2 38mmHg。凝血指标及D-Dimer定量检测均在正常范围。入院后复查肺部CT(图1)。



图1 入院后肺部CT表现
A.隆突下肺窗显示隆突稍增宽;B.肺窗显示左肺舌叶炎性改变;C.隆突下纵隔窗显示隆突稍增宽
CT报告为左肺舌叶炎性改变,未见明确的占位性病变,考虑患者无咳痰,体温正常,血常规正常,无临床感染依据,未给予抗感染治疗,与家属进行沟通后决定完善电子支气管镜检查并在左主支气管新生物处取得病理组织。
【最后诊断】
肺鳞状细胞癌。
【治疗和转归】
肺部病变诊断明确,需要进一步进行全身评估进行肺癌的分期以制订下一步的治疗方案,家属拒绝进一步诊治,多次劝说无效,自动出院。
【重要提示】
1. 老年女性,病程较短,病情进展快。
2. 主要表现为咳嗽,多为干咳,逐渐出现呼吸困难,查体上肺闻及双相哮鸣音,以吸气相为主。
3. 反复给予舒张气道、平喘等治疗,效果不佳。
【讨论】
以咳嗽为主要症状起病的疾病众多,大致可分为3类:①呼吸系统感染:各种微生物或者寄生虫等引起的呼吸系统感染均可引起咳嗽,包括急慢性上呼吸道感染、急性气管、支气管炎、肺炎、慢性阻塞性肺疾病急性加重期、支气管扩张、肺脓肿、胸膜炎、肺结核、肺部真菌感染及寄生虫等;②非感染性呼吸系统疾病:哮喘、气道异物、嗜酸性粒细胞性支气管炎、过敏性鼻炎、支气管肺癌、间质性肺病及肺血管疾病等;③其他:肺水肿、胃食管反流、药物所致咳嗽等。
肺癌为原发于气管、支气管及肺的恶性肿瘤,包括鳞癌、腺癌、小细胞癌和大细胞癌几种主要类型。多数肺癌就诊时已经具有不同的临床症状,常见症状为咳嗽、咯血、胸痛、呼吸困难等,早期表现为刺激性咳嗽,极易误认为呼吸道感染或者气道高反应性,当中央气道内肿物引起气道狭窄,咳嗽为持续性,呈现高调的金属音,吸气相可闻及哮鸣音,如果肿物继续增大影响气道引流,可继发肺部感染。
肺癌的早期诊断是影响预后最重要的因素之一,常用的辅助检查手段为胸部X线检查胸部CT、磁共振成像(当CT不能分辨纵隔、肺门淋巴结或血管正常或者异常结构时)、痰液脱落细胞学检查、支气管镜检查、核素闪烁显像、肺癌肿瘤标志物检查及纵隔镜等。电子支气管镜在肺癌的诊断中起到其他方法难以替代的地位,大部分是在肺部影像检查发现异常怀疑肺部肿瘤的前提下才进行气管镜的检查。我们所收治的该患者以咳嗽起病,至多家医院就诊,到我院就诊前已经完善两次肺部CT扫描,均未见异常,给予完善肺通气功能检查通气功能未见异常,由于患者咳嗽严重,两家医院均未能完善支气管激发试验,按照咳嗽变异性哮喘进行治疗,但是效果差,逐渐出现胸闷喘息,至我院就诊后再次复查肺部CT,显示为左肺舌叶炎性改变,未见大气道占位性病变,但是肺部听诊闻及上肺吸气相哮鸣音,使得该患者的诊断出现困惑,与家属多次沟通,决定完善气管镜检查,气管镜显示令人吃惊,经过病理证实为中分化鳞状细胞癌。该患者的诊断过程告诉我们:在无绝对禁忌证的前提下,对于呼吸系统疾病诊断不清或者治疗效果差均是气管镜检查的适应证。
【评述】
我国烟民众多,近年雾霾范围在扩大,受雾霾影响的居民数量也在逐年增多。肺癌的病死率在城市已居首位,尤其青年和女性人群发病率和病死率迅速增长。多数患者确诊时已属晚期,治疗后中位生存期仅8~10个月,5年生存率仅10%~15%。所以早期诊断显得尤其重要,但是肺癌患者早期症状缺乏特异性,易于与呼吸道感染性疾病、气道高反应性疾病相混淆。肺部影像学检查对于肺癌的诊断可提供重要线索。但是我们所诊断的该患者存在一些特殊情况:
1. 早期仅存在干咳症状。
2. 多次肺部CT扫描均未见异常,即使出现胸闷症状,查体肺部闻及吸气相哮鸣音时肺部CT亦未能发现与之对应的影像学表现。
3. 整个病程无痰中带血、低热等较为特异性临床表现。
鉴于该患者的诊断过程,总结经验教训如下:
1. 慢性咳嗽患者必须进行系统诊治,门诊患者进行随访。
2. 仔细进行体格检查,尤其肺部的听诊,发现异常嘱患者咳嗽后或者变换体位后再次进行同一部位的听诊。
3. 无气管镜检查绝对禁忌证前提下,对于咳嗽、胸闷患者可考虑进行支气管镜检查。
4. 肺部CT未发现异常患者,不能够完全排除肺癌的诊断(甚至为肺癌Ⅲ期、Ⅳ期)。
5. 气管镜检查确诊后再次复习肺部CT表现,发现隆突较正常水平稍有增宽。本患者经过气管镜检查最终得到了确诊,但是家属拒绝进一步诊治使我们感到遗憾。
(刘宽)
参考文献
孙燕. 临床肿瘤学进展. 北京:中国协和医科大学出版社,2005:256-273.
(环球医学编辑:余霞霞)
- 评价此内容
- 我要打分
近期推荐
热门关键词
最新会议
- 2013循证医学和实效研究方法学研讨会
- 欧洲心脏病学会年会
- 世界帕金森病和相关疾病2013年会议
- 英国介入放射学学会2013年第25届年会
- 美国血液学会2013年年会
- 美国癫痫学会2013年第67届年会
- 肥胖学会 2013年年会
- 2013年第9届欧洲抗体会议
- 国际精神病学协会 2013年会议
- 妇科肿瘤2013年第18届大会
- 国际创伤压力研究学会2013年第29届…
- 2013年第4届亚太地区骨质疏松症会议
- 皮肤病协会国际2013年会议
- 世界糖尿病2013年大会
- 2013年国际成瘾性药年会
- 彭晓霞---诊断试验的Meta分析
- 武姗姗---累积Meta分析和TSA分析
- 孙凤---Network Meta分析
- 杨智荣---Cochrane综述实战经验分享
- 杨祖耀---疾病频率资料的Meta分析
合作伙伴
Copyright g-medon.com All Rights Reserved 环球医学资讯 未经授权请勿转载!
网络实名:环球医学:京ICP备08004413号-2
关于我们|
我们的服务|版权及责任声明|联系我们
互联网药品信息服务资格证书(京)-经营性-2017-0027
互联网医疗保健信息服务复核同意书 京卫计网审[2015]第0344号




会员登录

