老爷爷反复发热、咳嗽、痰中带血伴右侧胸痛 病因不止一个
65岁男性,无明显诱因开始出现咳嗽,阵发性,时有痰中带血伴发热,伴右侧胸痛,呈持续性隐痛,于当地医院治疗(具体不详),效果欠佳。后至笔者医院行胸部CT示“右上肺空洞形成,右上肺结节影伴纵隔淋巴结肿大”,为进一步诊治收入笔者医院住院治疗。哪里出了问题?
【病情介绍】
患者,闻某,男,65岁,农民。因“反复发热、咳嗽、痰中带血伴右侧胸痛2个月余”于2014年11月15日入院。患者2个月余前无明显诱因开始出现咳嗽,为阵发性,咳中等量“灰黑色”痰,无腥臭味,时有痰中带血,色暗红,量不多,无咯满口鲜血,伴发热,体温最高达38℃左右,发热前有畏寒,无寒战,热型不规则,伴有右侧胸痛,呈持续性隐痛,无肩背部放射痛,无胸闷气喘,于当地医院治疗(具体不详),效果欠佳。后至我院行胸部CT示“右上肺空洞形成,右上肺结节影伴纵隔淋巴结肿大”,为进一步诊治于2014年11月15日收入我院住院治疗。
患者既往体健。出生于江苏省宿迁市,无粉尘、毒物、放射性物质接触史,无疫区接触史,无手术输血史,无食物、药物过敏史,预防接种史不详。有30余年吸烟史,1200年支,无嗜酒史。已婚,配偶及子女体健,家族史无特殊。
【诊疗经过】
入院后检查:T 37.4℃,P 112次/分,神志清楚,右肺呼吸音偏低,右肺可及少许湿性啰音。实验室及器械检查:血常规:淋巴细胞比率9.0%,中性粒细胞百分比85.6%,白细胞13.1×109/L;D-二聚体350μg/L;C反应蛋白146.8mg/L;生化:葡萄糖9.11mmol/L,谷氨酰转肽酶116.0U/L,谷草转氨酶23.0U/L,谷丙转氨酶78.0U/L,白蛋白32.5g/L,总蛋白59.6g/L;腹部彩超检查未见明显异常。心脏彩超未见明显异常。尿粪常规未见异常。
入院后先后给予“亚胺培南西司他汀、左氧氟沙星+万古霉素”抗感染等综合治疗,上述症状无缓解,复查胸部CT示病灶较前增多(图1),遂于2014年11月24日行CT引导下经皮肺穿刺活检术,病理示“机化性肺炎”,调整抗生素为“头孢哌酮舒巴坦”,同时给予“甲泼尼龙”应用后症状逐渐好转,后复查胸部CT示病灶较前明显吸收,但右上肺结节及纵隔多发淋巴结无明显变化。复查癌胚抗原42.96ng/ml,考虑恶性肿瘤可能,于2014年12月10日行TBNA检查,病理提示找见恶性肿瘤细胞,倾向小细胞癌。患者及家属要求出院,告知相关风险,表示理解,后患者再次出现反复发热,最高38.5℃,热型不规则,发热前无寒战,复查胸部CT示右肺结节样病灶较前略增大,提示肺癌在进展。于2014年12月27日行“EP”方案化疗,具体剂量:依托泊苷0.1g d1~3,顺铂30mg d1~3,并继续给予甲泼尼龙片口服,并逐渐减量。患者体温逐渐降至正常,咳嗽、咳痰症状逐渐好转,咯血、胸痛症状消失。



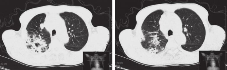
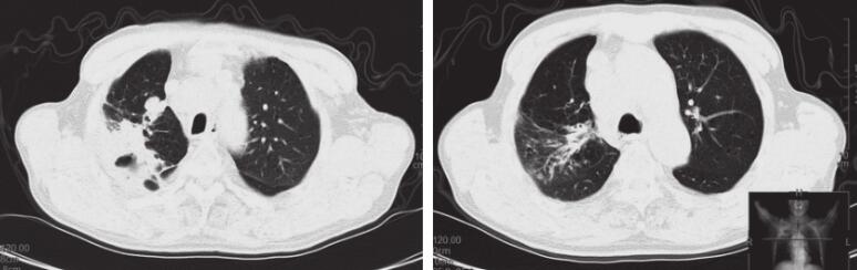
图1 2014年11月15日(A)、2014年12月25日(B)、2015年1月14日(C)CT表现
右肺可见斑片状高密度影,右上肺见结节影。经治疗后右上肺斑片影较前明显吸收,右上肺结节较前增大后又趋于稳定。现仍处于随访中
【最后诊断】
右肺小细胞癌伴纵隔转移,右侧机化性肺炎,2型糖尿病。
【治疗和转归】
患者定期来我院行“EP”方案化疗,后多次复查胸部CT示右侧机化性肺炎较前明显吸收,纵隔淋巴结大小较前无增大,且在随访中。
【重要提示】
1.老年男性,反复发热、咳嗽、痰中带血伴右侧胸痛2个月余。
2.有长期大量吸烟史,入院后多次测血糖高于正常,考虑糖尿病诊断。
3.查体示右肺呼吸音低,右肺可及少许湿性啰音。胸部CT示右上肺斑片影伴空洞形成,右上肺结节,纵隔多发淋巴结肿大,右侧胸腔少量积液。血癌胚抗原高于正常。
4.反复抗感染治疗,效果差。
【讨论】
闭塞性细支气管炎伴机化性肺炎(BOOP)是由Eplet等于1985年提出的以闭塞性细支气管炎伴有程度不同的机化性肺炎为病理表现的一种临床病理综合征。70%~90%病因不明称为特发性BOOP即隐源性机化性肺炎(cryptogenic organizing pneumonia,COP),属特发性间质性肺炎的一个亚型;少数有明确病因或并发一些系统性疾病,称为继发性机化性肺炎,如衣原体和支原体等感染后机化性肺炎、类风湿性或结缔组织病(CTD)伴机化性肺炎、药物(两性霉素B、呋喃妥因、金制剂等)相关性机化性肺炎、器官(骨髓、肺、肾)移植后机化性肺炎、放射治疗后机化性肺炎、恶性肿瘤后机化性肺炎、环境暴露如纺织印刷染料、青霉菌尘引起的机化性肺炎及其他如炎症性肠病、慢性甲状腺炎、慢性酒精性肝硬化、HIV感染等引起的机化性肺炎。
其发病机制日前尚不清楚。目前认为机化性肺炎是肺组织对不同因素的肺损伤所产生的共同反应,是多种疾病在肺部的共同表现。其特征性病理表现为终末和呼吸性细支气管、肺泡囊、肺泡内见由黏液样的成纤维细胞形成的疏松结缔组织或肉芽组织,形成机化性肺炎。
本病的诊断需结合临床、放射及病理特征,并排除韦格纳肉芽肿(现称为坏死性肉芽肿性血管炎)、肺淋巴瘤、过敏性肺炎、非特异性间质性肺炎等,但其确诊需依据肺活检病理。如经纤维支气管镜肺活检(transbronchial lung biopsy,TBLB)病理提示细支气管以下的小气道内肉芽组织形成及机化性肺炎,则结合临床,诊断可成立,否则应开胸肺活检。
机化性肺炎的治疗以泼尼松首选,预后良好,但继发于多发性肌炎的机化性肺炎则疗效欠佳,预后不佳,临床上应做到早诊断,早治疗。
【评论】
机化性肺炎伴肺恶性肿瘤临床较为少见,极易误诊。其发病隐匿性高,临床及影像学表现特异性均差,在治疗临床证据不能解释(尤其是在多种、长期抗生素治疗无效)的肺炎时,应根据影像学结果行TBNB或经皮穿刺肺组织活检,必要时可行多次活检以获得病理学依据,根据病理结果给予相应治疗措施。从以上病例,我们可以找出以下线索:老年男性,有长期大量吸烟史,同时伴痰中带血、右侧胸痛,故首先要考虑肺癌可能;胸部CT示肺斑片影伴空洞形成,肺小结节,纵隔多发淋巴结肿大。入院后给予反复抗感染治疗,疗效差。后经病理证实为机化性肺炎伴肺恶性肿瘤,经激素及化疗等处理后复查胸部CT示右肺斑片影病灶较前明显吸收,右上肺结节趋于稳定,证实治疗有效。
机化性肺炎伴肺恶性肿瘤在临床上发生概率相对较少,临床上极易误诊为普通肺炎,给予反复抗感染治疗而延误病情,对于此类情况我们一定要重视患者的临床表现及影像学特征,并借助组织病理学来尽早明确诊断,尽早治疗,从而可有效地延长患者生存期,改善患者生活治疗。
(王丽芳 施斌 高蔚)
参考文献
1.Epler GR,Colby TV,McLoud TC,et al. Bronchiolitis obliterans organizing pneumonia. N Engl J Med,1985,312:152-158.
2.Colby TV. Pathologic aspects of bronchiolitis obliterans organizing pneumonia. Chest,1992,102(Suppl):38s-43s.
3.Epler GR. Bronchiolitis obliterans organizing pneumonia. Arch Intern Med,2001,161(2):158-164.
4.Colby TV. Bronchiolitis. Pathologic considerations. Am J Clin Pathol,1998,l09(1):101-109.
5.Costabel U,Guzman J,Teschler H. Bronchiolitis obliterans with organising pneumonia:outcome. Thorax,1995,50(Suppl1):s59-s64.
(环球医学编辑:余霞霞)
来源:《呼吸疑难少见病例解析》
作者:林江涛
页码:32-35
出版:人民卫生出版社
- 评价此内容
- 我要打分
近期推荐
热门关键词
最新会议
- 2013循证医学和实效研究方法学研讨会
- 欧洲心脏病学会年会
- 世界帕金森病和相关疾病2013年会议
- 英国介入放射学学会2013年第25届年会
- 美国血液学会2013年年会
- 美国癫痫学会2013年第67届年会
- 肥胖学会 2013年年会
- 2013年第9届欧洲抗体会议
- 国际精神病学协会 2013年会议
- 妇科肿瘤2013年第18届大会
- 国际创伤压力研究学会2013年第29届…
- 2013年第4届亚太地区骨质疏松症会议
- 皮肤病协会国际2013年会议
- 世界糖尿病2013年大会
- 2013年国际成瘾性药年会
- 彭晓霞---诊断试验的Meta分析
- 武姗姗---累积Meta分析和TSA分析
- 孙凤---Network Meta分析
- 杨智荣---Cochrane综述实战经验分享
- 杨祖耀---疾病频率资料的Meta分析
合作伙伴
Copyright g-medon.com All Rights Reserved 环球医学资讯 未经授权请勿转载!
网络实名:环球医学:京ICP备08004413号-2
关于我们|
我们的服务|版权及责任声明|联系我们
互联网药品信息服务资格证书(京)-经营性-2017-0027
互联网医疗保健信息服务复核同意书 京卫计网审[2015]第0344号




会员登录

