大妈间断发热且病变累及多个器官 最终因消化道大出血死亡
52岁女性,因“间断发热6个月,发现肺部阴影和眼部肿物2个月”入院,该患者最终确诊为?
【病情介绍】
患者,女,52岁,新疆巴楚县农民,维吾尔族。因“间断发热6个月,发现肺部阴影和眼部肿物2个月”于2012年4月10日收入院。患者于6个月前出现间断发热,体温39~40.5℃,伴畏寒、寒战,持续30分钟至3小时可自行降至正常,发热时间间隔2~10天,曾于当地医院行胸片检查“未见明显异常”,给予“头孢类”抗生素治疗无效。2个月前出现双眼不适、右眼视力下降,眼科检查示“右眼肿物”,切除肿物病理示“少许坏死组织”。术前胸片检查发现“右肺上野圆形密度增高影”(图1);肺CT示“右肺上叶团块影,周围见分叶征,内见空洞;左肺下叶球形占位影,周围散在片状渗出影”(图2),遂于当地医院住院诊治。行支气管镜检查发现“右上叶肿物生长,各分支管腔狭窄,右中、下叶各支通畅;左支气管各支通畅”。行左下叶支气管刷检,病理报告“大片炎性渗出及坏死组织”。进而就左肺下叶病变行经皮肺穿刺活检术,病理报告“部分肺泡上皮增生,变性坏死组织炎性细胞浸润”。发热及肺部肿物诊断未明。患者因眼部肿物切除后出现右眼发红、疼痛、视力下降,10天前于我院眼科就诊,诊断为“右眼角膜穿孔、右眼眶蜂窝织炎”,行右眼摘除术,眼球病理示“中性粒细胞浸润,部分组织坏死伴脓性渗出物”。术后5天出现消化道大出血,肠镜示“结肠多发溃疡”,肠黏膜病理示“慢性炎症”,给予输血、止血治疗后出血停止。因发热和肺部肿物原因不明,为进一步诊治收入我科。近1个月患者发热呈持续性,体温39~40℃。10天前眼科术前复查胸片显示“右上叶不张”(图3);肺CT发现“右肺上叶阻塞性肺不张,左肺团块影,周围见片状渗出影”(图4)。患者发病以来,食欲不振、乏力明显,近半年体重下降5kg。
既往发现丙型肝炎2个月,发现梅毒特异抗体阳性2个月,未诊治。否认结核等其他传染病史。

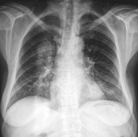
图1 胸片:右肺上野圆形密度增高影


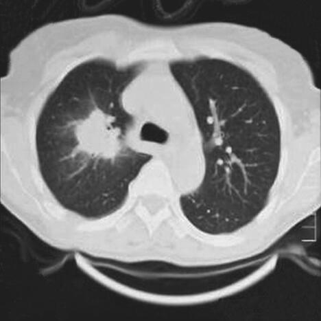
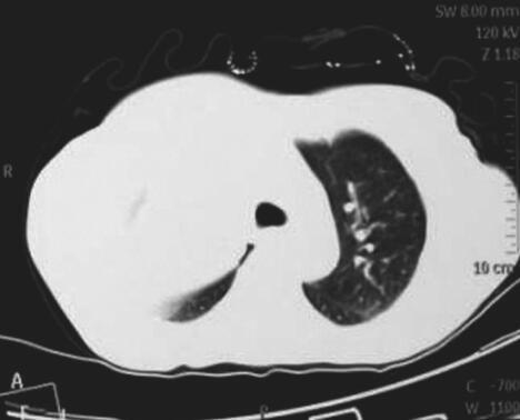
图2肺部CT
右肺上叶软组织肿块影;左肺下叶后基底段软组织影,边缘模糊

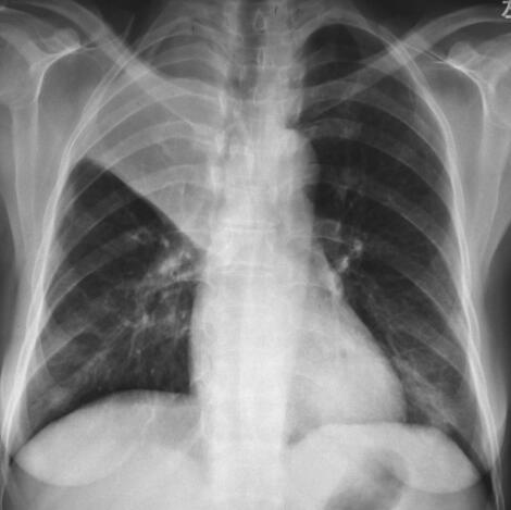
图3 胸片
右肺上叶不张,左肺下叶类圆形致密肿块影,边缘模糊,周围浅淡斑片影


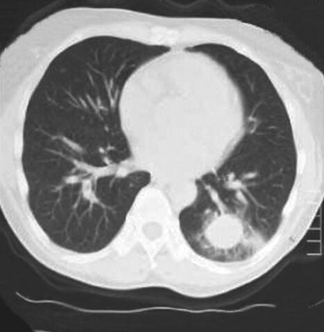
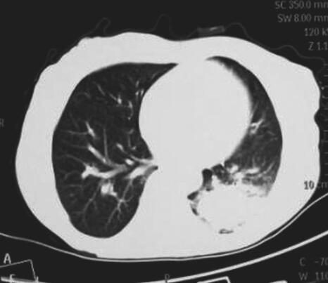
图4 肺部CT
右肺上叶阻塞性肺不张,左肺团块影,周围见片状渗出影,较前增大
【诊治经过】
入院查体:体温39.7℃,脉搏86次/分,呼吸22次/分,血压112/64mmHg。左颈后三角、左腋下各触及2~3个黄豆大淋巴结,活动,无压痛。双肺呼吸音粗,左下肺闻及湿啰音。心率86次/分,律齐,各瓣膜听诊区未闻及杂音。腹软,上腹轻压痛,无反跳痛及肌紧张,未及包块,肝脾肋下未触及,肠鸣音4~6次/分。双下肢不肿。病理征阴性。
实验室检查:血常规:WBC 2.54×109/L,N% 68%,HGB 109g/L,PLT 80×109/L。尿、便常规未见异常。血气分析(未吸氧):pH 7.57,PaCO2 29mmHg,PaO2 53mmHg,BE 5.2mmol/L。血LDH 481U/L,总蛋白42.0g/L,白蛋白22.0g/L,ALT 95U/L,AST 144U/L。CRP<8.00μg/ml,ESR 7mm/h。血液细菌培养阴性,丙型肝炎抗体(+),梅毒过筛试验(+),梅毒确认试验(+),HIV抗体(-),PPD皮试(-),真菌-D葡聚糖检测(G试验)<10pg/ml(正常范围<100pg/ml),降钙素原(PCT)0.08ng/ml(<0.05ng/ml)。血清CA153为30.12U/ml(0~25U/ml),神经元特异性烯醇化酶(NSE)20.9ng/ml(0~16.3ng/ml),癌胚抗原、甲胎蛋白、血清CA125、CA199正常。α1微球蛋白2.20mg/dl(0~1.25mg/dl),β2微球蛋白4.19mg/L(1.42~3.21mg/dl)。类风湿因子227IU/ml(0~20IU/ml),抗核抗体(-),可浸出核抗原抗体(ENA)谱(-),抗中性粒细胞胞质抗体(ANCA)(-)。铁蛋白>1500ng/ml(11~306.8ng/ml)。腹部B超肝脾未见异常。
入院后给予对症支持治疗。第3天行左肺下叶病变经皮肺穿刺活检术,病理初步回报为“肺组织炎症”,抗酸染色、PAS染色等均阴性。第6天无诱因出现消化道出血,排大量鲜血便,行肠镜示“盲肠及升结肠多发大小不等溃疡,溃疡较深,部分溃疡底部可见肌层组织,溃疡表面轻度渗血,升结肠可见点状黏膜下出血”。结肠黏膜组织病理提示,固有层内见大量淋巴样细胞浸润,可见小淋巴细胞。复检左下肺穿刺组织,镜下见局部肺泡间隔增宽,其中见多量异形淋巴样细胞浸润,部分组织伴有退变坏死。复检右眼球病理组织,示正常结构破坏,局部见纤维素样坏死并急慢性炎性细胞浸润,局部组织内见多量异型淋巴样细胞浸润。进一步对组织切片行免疫组化染色,结果:(左下肺)CD56、CD3阳性;CD5散在细胞阳性,阳性细胞数<CD3;TIA-1阳性;(眼球)CD56部分阳性,CD3阳性;CD5小部分细胞阳性,阳性细胞数<CD3;CD20阴性;Gr-B散在细胞阳性。原位杂交:左下肺及眼球EBER均阴性。
【最后诊断】
非霍奇金细胞毒性T细胞淋巴瘤,倾向NK/T细胞淋巴瘤。
【治疗和转归】
入院第6天出现消化道出血,排大量鲜血便,后出现失血性休克。30小时失血量约8000ml,血红蛋白最低降至33g/L,经抢救无效死亡。
【重要提示】
1. 中年女性,病程6个月,以发热起病,前期表现为间断发热,抗生素治疗无效,近1个月为持续性高热。
2. 病变累及眼、肺、肠道多器官。
3. 胸部CT示“双肺肿块样病变”,且多次CT提示肺部病变进展迅速。
4. 多次、多部位初步病理学检查均提示“炎症性病变”。
【讨论】
患者以发热起病,前期表现为间断发热,抗生素治疗无效,近1个月为持续性高热。发病初期胸片检查未见异常,4个月后因眼肿物行手术治疗前胸片检查发现双肺肿物,从多次CT检查来看,肺部病变进展较快。同时眼部病变恶化,行右眼摘除术,术后发生2次消化道大出血,抢救无效死亡。该例病情复杂,外院和我院两次经皮肺穿刺活检均提示肺组织炎症性病变,眼球病理和肠道病理亦报告为炎症性病变。在诊断方面,常见的感染性疾病根据临床表现和初步病理学检查,基本可以除外。其他少见病原体如布氏杆菌、寄生虫病等,临床表现和实验室检查均不支持。累及多个器官的系统性疾病应该考虑,例如较为常见的韦格纳肉芽肿病,但肺、眼、肠道组织病理检查均未见坏死性肉芽肿和血管炎病变,ANCA阴性,可能性不大。其他风湿免疫性疾病临床和实验室检查不支持。患者影像学虽表现为肺部肿块,但病变在较短的时间内明显增大,且多次病理结果均未见肺部恶性肿瘤细胞,肺癌可考虑除外。卡波西肉瘤分为4型,其中经典型与种族有关,在我国新疆地区曾有报道,患者多为维吾尔族和哈萨克族,临床表现以皮损最为多见,也可伴有眼、肺、消化道病变,但多见于男性,病理以梭形细胞增生、血管瘤样结构、红细胞外渗、含铁血黄素沉积以及慢性炎症细胞浸润为主。该患者多次病理检查未见卡波西肉瘤的特异性表现,该病可除外。综合临床特点和病理结果,考虑以淋巴瘤可能性最大。淋巴瘤可表现为长期间断发热,可累及包括眼和肠道在内的多个器官,肺部病变多样,可为肿块、实变、多发结节、甚至间质性改变,病变可在短期内明显增大或加重。该患者淋巴瘤重要标志物铁蛋白、LDH、β2微球蛋白均升高。另外值得重视的一点是,肺部淋巴瘤在病理上不像其他恶性肿瘤例如肺癌那样容易识别,特别是在肺组织标本较小或病理表现不典型的情况下,如果临床上不提前给予提示,病理科不进行针对性的免疫组化检查,往往难以做出诊断。就该例患者而言,临床上高度疑诊淋巴瘤后,与病理科沟通,进一步行免疫组化染色,泛T细胞标志CD3阳性,NK细胞标志CD56阳性,细胞毒性T细胞标志TIA-1阳性,但NK/T细胞的重要标志EBER阴性,因此诊断为非霍奇金细胞毒性T细胞淋巴瘤,倾向NK/T细胞淋巴瘤。此种淋巴瘤细胞形态以坏死性病变为主,在所有淋巴瘤中预后最差。
【评述】
肺淋巴瘤根据侵犯形式分为原发性肺淋巴瘤(primary pulmonary lymphomas,PPL)和继发性肺淋巴瘤(secondary pulmonary lymphomas,SPL)。PPL是指病变起源于支气管黏膜相关淋巴结和(或)肺内淋巴组织,无纵隔、肺门及其他部位的淋巴瘤,约占全部淋巴瘤病例的0.5%。SPL是指肺外淋巴瘤的肺内浸润,主要由纵隔淋巴结直接浸润或由远处淋巴瘤病灶血行转移至肺部所致。本例为SPL,以发热和眼部症状为首发。在出现眼部症状时,胸片发现肺内阴影,已经提示可能是一种累及多器官的疾病;但临床上一直针对眼疾进行治疗,忽视了系统性病变的进一步确诊,最终失去治疗时机。据报道非霍奇金淋巴瘤累及肺的发生率约24%,低于霍奇金病的38%。肺淋巴瘤的病理诊断,通常需要进行外科肺活检获得较大块的肺组织标本。尽管针吸活检或经支气管活检辅以相应检查,有可能做出恶性淋巴瘤的诊断,但有文献报道针吸活检和经支气管活检的确诊率仅为25%和30%。其原因为淋巴瘤组织结构和细胞学存在较大变异性,通常需要充足的组织标本才能明确诊断。有的淋巴瘤(例如T细胞淋巴瘤)细胞可以是多形态的,而且混杂炎症细胞,会使得病理诊断更加困难。继发性改变、活检造成的组织变形,也是在标本太小的情况下难以对结果做出准确判断的原因。考虑到淋巴瘤诊断需要进行复杂的实验室检查,临床医师应该向病理科提供新鲜标本,同时在申请单上说明或口头告知病理医师临床考虑到淋巴瘤的可能性。这样通过临床与病理的充分合作,才能提高肺部淋巴瘤的诊断水平。
(李然 孙永昌)
参考文献
1. Graham BB,Mathisen DJ,Mark EJ,et al. Primary pulmonary lymphoma. Ann Thorac Surg,2005,80:1248-1253.
2. William J,Variakojis D,Yeldandi A,et al. Lymphoproliferative neoplasms of the lung:a review. Arch Pathol Lab Med,2013,137:382-391.
3. Wannesson L,Cavali F,Zucca E. Primary pulmonary lymphoma:current status. Clin Lymphoma Myeloma,2005,6:220-227.
(环球医学编辑:余霞霞)
来源:《呼吸疑难少见病例解析》
作者:林江涛
页码:36-40
出版:人民卫生出版社
- 评价此内容
- 我要打分
近期推荐
热门关键词
最新会议
- 2013循证医学和实效研究方法学研讨会
- 欧洲心脏病学会年会
- 世界帕金森病和相关疾病2013年会议
- 英国介入放射学学会2013年第25届年会
- 美国血液学会2013年年会
- 美国癫痫学会2013年第67届年会
- 肥胖学会 2013年年会
- 2013年第9届欧洲抗体会议
- 国际精神病学协会 2013年会议
- 妇科肿瘤2013年第18届大会
- 国际创伤压力研究学会2013年第29届…
- 2013年第4届亚太地区骨质疏松症会议
- 皮肤病协会国际2013年会议
- 世界糖尿病2013年大会
- 2013年国际成瘾性药年会
- 彭晓霞---诊断试验的Meta分析
- 武姗姗---累积Meta分析和TSA分析
- 孙凤---Network Meta分析
- 杨智荣---Cochrane综述实战经验分享
- 杨祖耀---疾病频率资料的Meta分析
合作伙伴
Copyright g-medon.com All Rights Reserved 环球医学资讯 未经授权请勿转载!
网络实名:环球医学:京ICP备08004413号-2
关于我们|
我们的服务|版权及责任声明|联系我们
互联网药品信息服务资格证书(京)-经营性-2017-0027
互联网医疗保健信息服务复核同意书 京卫计网审[2015]第0344号




会员登录

