一石匠反复咳嗽咳痰3年多 曾多次被诊断为支气管炎 实则…
43岁男性,3年前无明显原因反复出现刺激性咳嗽、咳痰,咳嗽后稍感气喘不适,受凉后症状加重,伴痰血,给予治疗后效果差。之后症状反复发作,每年症状发作持续3个月以上,曾多次在当地医院诊断“慢性支气管炎”,治疗后症状缓解慢。近期咳嗽加重,伴胸闷、气促,就诊于某三甲医院,给予抗感染、镇咳等治疗无好转,转诊至笔者医院,门诊以“慢些支气管炎急性发作”收入住院。该患者反复咳嗽咳痰为哪般?
【病情介绍】
患者,男,43岁,石匠。因“反复咳嗽、咳痰伴痰血3年余,加重10天”于2012年10月29日入院。3年前无明显原因反复出现刺激性咳嗽、咳痰,咳嗽后稍感气喘不适,受凉后症状加重,伴痰血,给予抗感染、止咳、化痰等治疗,疗效差。以后症状反复发作,每年症状发作持续3个月以上,曾多次在当地医院诊断“慢性支气管炎”,经抗感染等治疗后,症状缓解慢。10天前咳嗽加重,伴胸闷、气促,咳少量黄黏痰,无畏寒、发热、盗汗、胸痛等,就诊于某三甲医院,胸片提示“慢些支气管炎、肺气肿”改变,给予抗感染、镇咳等治疗,上述症状无好转,转诊我院,门诊以“慢些支气管炎急性发作”收入住院。发病以来,精神、食欲、睡眠可,大小便无异常,体重正常。
既往病史:曾有耳廓红、肿、热、痛不适,病程中反复出现虹膜睫状体炎,在眼科治疗效果差;发病后逐渐出现鼻鞍部塌陷。2001年因“双侧颈部淋巴结肿大”,行“右颈部淋巴结活检术”,术后淋巴结病理结果示:“淋巴瘤”,当时未进一步化疗。否认“肝炎、结核”等传染病病史,否认“高血压、冠心病、糖尿病”等慢性病史,出生于福建漳州,无疫区接触史,从事石匠工作10余年。无粉尘、毒物、放射性物质接触史,无外伤、手术、输血史,无药物及食物过敏史,预防接种史不详,无烟酒嗜好,未婚未育,家族史无特殊。
【诊治经过】
入院查体:双耳廓表面发亮,鼻鞍部塌陷,双侧颈部及双侧锁骨上窝可触及多个肿大淋巴结,质硬,约鹌鹑蛋样大小,活动度差,与周围组织边界模糊。气管居中,双侧呼吸运动对称;双肺叩诊清音,双肺呼吸音粗,双下肺可闻及散在干湿啰音。辅助检查:X线胸片(图1)示慢性支气管炎并双肺炎症,右肺肺大疱。喉(图2)、气管及肺部HRC(图3-1、3-2和3-3)示杓状软骨至段支气管均可见气管扩张,前壁及侧壁见多发片状高密度影,两下肺可见片状模糊高密度影,纵隔及肺门可见多发肿大淋巴结,两侧胸腔可见积液,密度较均匀,增强扫描未见明显异常强化,可见颈部深组多发淋巴结肿大。提示:①颈部、纵隔及两肺门多发肿大淋巴结,考虑淋巴瘤;②杓状软骨及气管支气管软骨骨化,考虑复发性多软骨炎,并两肺感染;③右上肺多发肺大疱;④两侧胸腔积液。入院后行“左颈部淋巴结活检术”,术后淋巴结病理示:符合滤泡性淋巴瘤Ⅰ级。电子支气管镜检查示:气管、左、右主支气管软骨环均消失,各管腔可见大量脓性痰液,吸引后各管腔通畅。红细胞沉降率54mm/h;CRP 91mg/L;ENA酶谱示:ANA、抗ds-DNA、抗Sm抗SSA、抗SSB、抗u1-nRNP、抗JO-1、抗Scl-70、抗Rib、TBAb、RF阴性;甲状腺功能、抗“O正常。多次痰培养示:白念珠菌生长。肺功能示混合性通气功能障碍、气道阻力无明显异常。

图1 胸X线片
两肺纹理多、粗、乱,双下肺低密度阴影,右肺肺大疱

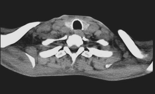
图2 喉部CT
杓状软骨骨化,颈部深组多发淋巴结肿大



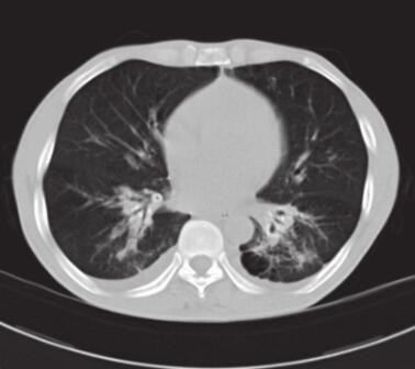
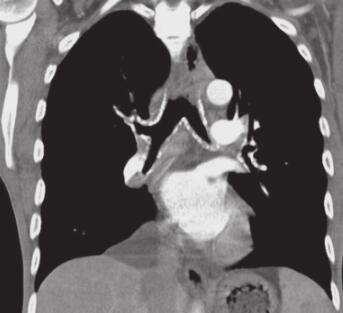
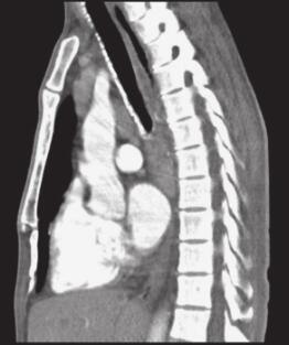
图3 肺部CT
两下肺可见片状模糊高密度影,纵隔及肺门可见多发肿大淋巴结,气管支气管软骨骨化
【最后诊断】
复发性多软骨炎、非霍奇金淋巴瘤、肺部感染。
【治疗和转归】
给予醋酸泼尼松片50mg/d,阿司匹林肠溶片100mg/d,同时给予“左氧氟沙星、头孢曲松、氟康唑”抗感染等治疗,7天后咳嗽、咳痰症状明显缓解,肺部干湿性啰音明显减少。2012年11月8日转血液科,给予“COP”方案(环磷酰胺400mg d1~5,长春新碱2mg d1,泼尼松80mg d1~5)全身静脉化疗治疗非霍奇金淋巴瘤,患者病情明显缓解。
【重要提示】
1. 患者为中年男性,发病前无明显诱因。
2. 主要表现慢性咳嗽、咳痰等症状;曾有耳廓红、肿、热、痛不适,反复出现虹膜睫状体炎,逐渐出现鼻鞍部塌陷。查体示双耳廓表面发亮,鼻鞍部塌陷,双侧颈部及双侧锁骨上窝可触及多个肿大淋巴结,质硬,约鹌鹑蛋样大小,活动度差,与周围组织边界模糊。双肺呼吸音粗,双下肺可闻及散在干湿啰音。
3. 辅助检查提示ESR、CRP升高;电子支气管镜检查示气管、左、右主支气管软骨环均消失,各管腔可见大量脓性痰液;颈胸SCT示杓状软骨至段支气管均可见气管扩张,前壁及侧壁见多发片状高密度影,两下肺可见片状模糊高密度影,纵隔及肺门可见多发肿大淋巴结,两侧胸腔可见积液,密度较均匀,增强扫描未见明显异常强化,可见颈部深组多发淋巴结肿大;左颈部淋巴结活检及病理示:符合滤泡性淋巴瘤Ⅰ级。
4. 激素、抗感染、化疗治疗有效。
【讨论】
复发性多软骨炎(relapsing polychondritis,RP)是一种原因不明、反复发作的多系统疾病,自身免疫因素可能参与其发病过程。RP主要累及透明软骨和弹性软骨,表现为耳、鼻、喉气道、关节软骨和眼睛等器官反复发作的非感染性炎症,是临床上罕见的自身免疫性疾病是软骨组织复发性退化性炎症。
多数患者以耳廓、鼻软骨等疾病症状首次就诊,而呼吸系统受累常提示预后不佳。197年McAdam等首先提出了一套较完善的诊断标准,认为6项典型临床表现(双耳廓软骨炎喉及气管软骨炎、鼻软骨炎、血清阴性非侵蚀性多关节炎、眼部炎症和耳蜗及前庭受损)中符合3项者可确诊。RP与血液系统疾病合并存在主要为骨髓异常增生症,其中多数为男性,半数合并急慢性髓性白血病及再生障碍性贫血均已有报告。RP可合并有霍奇金病,RP合并非霍奇金淋巴瘤更是罕见。目前仍无特异性治疗,常规治疗包括药物、手术、介入3种方法①药物方面,激素可抑制病变的急性发作。吸入型糖皮质激素是有效的。当单纯激素治疗效果不佳或减量困难或累及气管、支气管时应考虑联合应用免疫抑制剂、生物制剂等。②介入、手术治疗:当患者因气管软骨塌陷引起重度呼吸困难时应立即行气管切开,必要时呼吸机辅助呼吸。对于气管狭窄靠近下端气管切开难以奏效时可考虑介入气道内支架。
【评述】
复发性多软骨炎(RP)是一种原因不明、累及全身多系统、少见的自身免疫性疾病,主要表现为累及软骨和其他全身结缔组织包括耳、眼、鼻、关节、心血管系统及呼吸道等,大多数以呼吸道受累为首发表现。临床上具有反复发作和缓解、进展性、炎性破坏性的特点。其以呼吸道受累合并非霍奇金淋巴瘤病例罕见。由于医师对RP缺乏认识,易导致漏诊、误诊、误治,本病例的诊治过程就很好地说明了这一点。该病例给大家的启示主要有:①当临床表现与常见病、多发病的表现相似时,可先按常见病、多发病的治疗原则进行治疗,而一旦治疗效果不佳时就应及时调整诊治思路。比如本病例发病初期主要表现为慢性咳嗽、咳痰,在发作时间上也符合慢性支气管炎的诊断标准,因而易误诊为慢性支气管炎,但患者经常规抗感染、对症治疗后症状改善不明显,此时就应注意诊断是否正确。②在疾病的诊治过程中全面、系统的体格检查是十分重要的,这样可以发现一些容易忽视的其他部位的体征,为进一步的临床诊断提供支持。③常规的影像学检查并不能完整反映部分气管及支气管腔内病变,而支气管镜检查恰好能弥补这种不足,因而,对于原因不明的慢性咳嗽,应及时进行支气管镜检查。RP患者如能早期确诊、及时采取综合治疗,有可能延长患者的存活期。
(杨松 潘玉辉)
参考文献
1. 朱裴钦,韩锋锋,姚迪,等. 以呼吸道损害为唯一表现的复发性多软骨炎. 临床肺科杂志,2014,19(9)1589.
2. McAdam LP,O’Hanlan MA,Bluestone R,et al. Relapsing polychondritis:prospective study of 23 patients and review of the literature. Medicine(Baltimore),1976,55(3):193-215.
3. 李林光,李坤鹏,张江林. 43例复发性多软骨炎耳部表现并文献复习. 军医进修学院学报,2012,33(6)560.
4. 司慧敏,王红,孙凌云. 复发性多软骨炎4例诊疗体会及文献复习. 吉林医学,2010,31(31):5515-5516.
5. 张杰根,张钗,王美玲,等. 复发性多软骨炎误诊哮喘2例报告及文献复习. 军医进修学院学报,2012,33(4):412-414.
6. 王春亭,李怀臣,胡立宽,等. 气道支架介入加腔内照射治疗晚期中心型肺癌的临床观察. 中国实用内科杂志,2001,21(11):681-682.
(环球医学编辑:余霞霞)
来源:《呼吸疑难少见病例解析》
作者:林江涛
页码:6,40-42
出版:人民卫生出版社
- 评价此内容
- 我要打分
近期推荐
热门关键词
最新会议
- 2013循证医学和实效研究方法学研讨会
- 欧洲心脏病学会年会
- 世界帕金森病和相关疾病2013年会议
- 英国介入放射学学会2013年第25届年会
- 美国血液学会2013年年会
- 美国癫痫学会2013年第67届年会
- 肥胖学会 2013年年会
- 2013年第9届欧洲抗体会议
- 国际精神病学协会 2013年会议
- 妇科肿瘤2013年第18届大会
- 国际创伤压力研究学会2013年第29届…
- 2013年第4届亚太地区骨质疏松症会议
- 皮肤病协会国际2013年会议
- 世界糖尿病2013年大会
- 2013年国际成瘾性药年会
- 彭晓霞---诊断试验的Meta分析
- 武姗姗---累积Meta分析和TSA分析
- 孙凤---Network Meta分析
- 杨智荣---Cochrane综述实战经验分享
- 杨祖耀---疾病频率资料的Meta分析
合作伙伴
Copyright g-medon.com All Rights Reserved 环球医学资讯 未经授权请勿转载!
网络实名:环球医学:京ICP备08004413号-2
关于我们|
我们的服务|版权及责任声明|联系我们
互联网药品信息服务资格证书(京)-经营性-2017-0027
互联网医疗保健信息服务复核同意书 京卫计网审[2015]第0344号




会员登录

