58岁女性体检时发现右肺中叶肿块 原来是一种罕见肺癌
58岁女性,体检时行胸部平片发现右肺中叶肿块。就诊于华西医院,行胸部增强CT提示右肺中叶团块影。纤维支气管镜刷片提示鳞状上皮化生伴重度异型增生。为进一步治疗入院。该患者患有……
【病情介绍】
患者,女,58岁。因“体检发现右肺中叶肿块10天”于2013年1月29日入院。患者10天前体检时行胸部平片发现右肺中叶肿块。无咳嗽、咳痰、咯血,无发热,无胸痛、胸闷。就诊于华西医院,行胸部增强CT提示右肺中叶团块影。纤维支气管镜刷片提示鳞状上皮化生伴重度异型增生。为进一步治疗入院。
患者出生于四川,无粉尘、毒物、放射性物质接触史,无疫区接触史,无食生鱼、生肉史。无手术输血史,无食物、药物过敏史,预防接种史不详。无烟酒嗜好。已婚,配偶及子女体健,家族史无特殊。
【诊治经过】
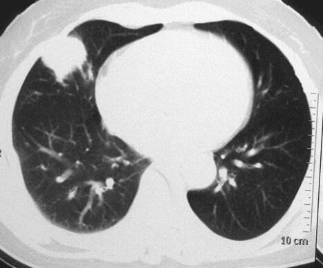
入院后查体:生命体征平稳,呼吸平稳,浅表淋巴结未扪及肿大。胸廓外形正常,双肺触觉语颤正常,双肺呼吸音清,未闻及干湿性啰音。辅助检查提示:血常规、肝肾功能、生化及心电图未见异常。胸部增强CT提示:右肺中叶团块影(图1)。纤维支气管镜刷片提示:鳞状上皮化生伴重度异型增生。入院后给予雾化、化痰等对症治疗,于2013年2月3日行右肺中叶切除术及纵隔淋巴结清扫术。术中发现胸内未见明显粘连积液,肺表面可见少量炭末沉着,肺裂发育好,占位位于右肺中叶,约3cm×2.5cm×2cm大小,累及脏层胸膜。见第2、3、4、7、9、10和11组淋巴结肿大。经过仔细止血及生理盐水胸腔冲洗后,逐层关闭患者的胸腔。手术切除的肺组织体积为10cm×5cm×3cm,支气管全长0.7cm,直径1cm。支气管黏膜较光滑,距支气管断端2.2cm紧邻胸膜下肺组织内可见一肿物,大小为3cm×2cm×1.5cm,肿物切面灰白灰褐,实性,质中,

图1 右肺中叶团块影
与周围正常组织分界欠清,侵及胸膜。肿瘤组织送检后查见癌,免疫组化染色提示:癌细胞呈PCK(+),CK5/6(+),P63(+),EBER-ISH(+),CK7(-),TTF-1(-)。支持淋巴上皮样癌。送检淋巴结第2、3、4、7、9、10和11组均未见癌转移。
【最后诊断】
原发性肺淋巴上皮样癌。
【治疗和转归】
术后未给予化疗及放疗,给予补液,抗感染等对症支持治疗。术后3个月、6个月及23个月随访,患者状况良好,无复发征象。
【重要提示】
1. 老年女性,病程较短。
2. 患者无症状,查体无阳性体征。胸部CT提示:右肺中叶团块影,肺肿瘤可能。
3. 纤维支气管镜提示右肺中叶鳞状细胞化生伴细胞增生肥大,而手术后病理标本免疫组化染色支持原发性肺淋巴上皮样癌。
【讨论】
原发性肺淋巴上皮样癌(pulmonary lympho epitheloid carcinoma,LELC)是非小细胞肺癌的一种极其罕见的类型,第1例病例于1987年被报道。根据WHO的2004年肺癌组织学类型分类,该病被归入肺大细胞癌中。该病的临床表现多种多样,多数患者在诊断该病时,并无症状。最常见的症状为干咳和胸部不适。
原发性肺LELC的发病机制尚不清楚,但多数研究表明其与EB病毒有较强相关性。原发性肺LELC可发生于任何年龄,发病率在男性及女性中无明显差异,与吸烟及吸烟史有较弱联系。
原发性肺LELC的临床表现及影像学检查缺乏特异性,完整的原发性肺LELC的诊断基于影像学检查、组织病理学和免疫组化检查,并排除其他可能的情况。其中,免疫组化染色后行组织病理学检查,是确诊原发性肺LELC的必要步骤,鼻咽部内镜或影像学检查也是必不可少的。影像学资料上常可见一巨大的、中心占位的肿瘤,伴有血管套或支气管套,较少发生钙化。显微镜检肿瘤组织,可见上皮肿瘤细胞巢状聚集,主要呈多形核排列,其周围常有大量的淋巴浆细胞浸润。免疫组化分析通常可发现膜表达肿瘤标志物阳性,包括LMP-1 VCA及CK。
原发性肺LELC也采用TNM分期。多数患者均在疾病早期(Ⅰ期或Ⅱ期)就得以诊断此时的治疗方法多为手术切除。由于该病罕见,更高分期或出现转移时尚无标准治疗方法目前多为经验性治疗。少数的病例报道,患者均同时接受放疗和化疗,包括吉西他滨,顺铂等的化疗方案有效,原发性肺LELC预后较好。
【评述】
肺原发性LELC较为少见,起初常常被误诊为肺腺癌或鳞癌,在肺癌的鉴别诊断过程中应该将原发性肺LELC作为其中一种可能的病理类型。由于本病临床表现及影像学检查缺乏特异性,常造成误诊。这就要求临床医师在疾病的诊断过程中尽量采用多种检查方法获取临床证据,使证据更充分。纤维支气管镜刷片较为广泛地应用在肺部肿瘤的诊断过程中但纤维支气管镜刷片由于取材的限制,主要是获取一些细胞学标本,其代表性并不如组织标本。
在本病例中,纤维支气管镜刷片提示:鳞状上皮化生伴重度异型增生,属于癌前病变,其治疗和预后评估均不同于原发性肺LELC,而本病例最终的手术切除肿块病理学提示原发性肺LELC。如果在术前常规行经皮肺穿刺活检或许能更早确诊,为进一步治疗提供更加准确的支持。
临床实践中,对于原发性肺LELC的诊断,应该从病史、临床表现、体征、影像学及组织病理学等方面对病例进行鉴别诊断,并最终得以正确诊治。
(梁娅莎 罗凤鸣)
参考文献
1.Begin LR,Eskandari J,Joncas J,et al. Epstein-Barr virus related lymphoepithelioma-like carcinoma of lung. J Surg Oncol,1987,36:280-283.
2.Ma H,Wu Y,Lin Y,et al. Computed tomography characteristics of primary pulmonary lymphoepithelioma-like carcinoma in 41 patients. Eur J Radiol,2013,82:1343-1346.
3.Mo Y,Shen J,Zhang Y,et al. Primary lymphoepithelioma-like carcinoma of the lung:distinct computed tomography features and associated clinical outcomes. J Thorac Imaging,2014,29:246-251.
4.Huang CJ,Feng AC,Fang YF,et al. Multimodality treatment and long-term follow-up of the primary pulmonary lymphoepithelioma-like carcinoma. Clin Lung Cancer,2012,13:359-362.
5.Liang Y,Wang L,Zhu Y,et al. Primary pulmonary lymphoepithelioma-like carcinoma:fifty-two patients with long-term follow-up. Cancer,2012,118:4748-4758.
(环球医学编辑:余霞霞)
- 评价此内容
- 我要打分
近期推荐
热门关键词
最新会议
- 2013循证医学和实效研究方法学研讨会
- 欧洲心脏病学会年会
- 世界帕金森病和相关疾病2013年会议
- 英国介入放射学学会2013年第25届年会
- 美国血液学会2013年年会
- 美国癫痫学会2013年第67届年会
- 肥胖学会 2013年年会
- 2013年第9届欧洲抗体会议
- 国际精神病学协会 2013年会议
- 妇科肿瘤2013年第18届大会
- 国际创伤压力研究学会2013年第29届…
- 2013年第4届亚太地区骨质疏松症会议
- 皮肤病协会国际2013年会议
- 世界糖尿病2013年大会
- 2013年国际成瘾性药年会
- 彭晓霞---诊断试验的Meta分析
- 武姗姗---累积Meta分析和TSA分析
- 孙凤---Network Meta分析
- 杨智荣---Cochrane综述实战经验分享
- 杨祖耀---疾病频率资料的Meta分析
合作伙伴
Copyright g-medon.com All Rights Reserved 环球医学资讯 未经授权请勿转载!
网络实名:环球医学:京ICP备08004413号-2
关于我们|
我们的服务|版权及责任声明|联系我们
互联网药品信息服务资格证书(京)-经营性-2017-0027
互联网医疗保健信息服务复核同意书 京卫计网审[2015]第0344号




会员登录

