中年女性咳嗽、咳痰、胸痛、发热 曾有肿瘤史 如何诊治?
46岁女性,因“咳嗽、咳痰、胸痛半年,发热4个月,再发10天”为主诉入院。患者曾在某中医院行子宫及部分卵巢切除术,病理报告为恶性妊娠滋养细胞瘤,术后行全身化疗。此次咳嗽、咳痰、胸痛、发热为哪般?
【病情介绍】
患者张某,女,46岁,以“咳嗽、咳痰、胸痛半年,发热4个月,再发10天”为主诉入院。半年前无明显诱因出现咳嗽,阵发性非刺激性咳嗽,程度剧,咳绿色痰,量多,黏稠,咳嗽较剧时伴胸部闷痛,消瘦,4个月前出现发热,体温高达39℃,曾入住当地医院,诊断“肺脓肿”,给予“克林霉素、头孢曲松钠、阿奇霉素”点滴1个月,症状改善后出院。10天前受凉后咳嗽加重,咳大量黄脓痰,可咳出,咯血2~3口,鲜红色,量极少,就诊我院,查胸部CT:双肺多发囊状透亮区,考虑感染性病灶,为进一步诊治收住院。患者2年前在中医院行子宫及部分卵巢切除术,病理报告为恶性妊娠滋养细胞瘤,术后行全身化疗;入院查体:T 37.2℃,神情,全身浅表淋巴结未及肿大,胸廓无畸形,双肺呼吸音稍低,双下肺可闻及湿性啰音,双肺未闻及干啰音,未闻及胸膜摩擦音,心界无扩大,心率72次/分,律齐,各瓣膜听诊区未闻及病理性杂音,中下腹可见一横行长约6cm陈旧手术瘢痕,未见新生物,腹软,无压痛及反跳痛,肝脾肋下未及,双下肢无水肿。
【诊治经过】
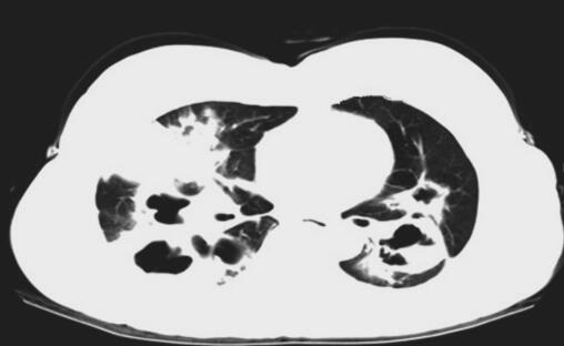
患者入院后考虑肺囊肿继发感染,给予抗感染治疗,完善相关检查,血常规:WBC 11.19×109/L,N% 68.90%;肺肿瘤标志物:CEA 2.46ng/ml,CYFRA 4.34ng/ml,NSE 9.38ng/ml;胸部CT示双肺气液囊肿并感染可能(图1);绒毛膜促性腺激素(β)HCG-BETA 5.48mIU/ml;电子支气管镜镜检未见异常;电子支气管镜肺活检病理示:子宫胎盘部位滋养细胞肿瘤肺转移。




图1 肺CT示双肺气液囊肿并感染可能
【最后诊断】
子宫胎盘部位滋养细胞肿瘤肺转移。
【治疗和转归】
患者拒绝进一步全身化疗及手术治疗,经抗感染治疗2周后复查胸部CT示两肺改变,考虑肺内气囊肿合并感染,炎症治疗后好转;患者无发热、咯血,咳嗽、咳痰、胸痛症状改善,办理出院。
【重要提示】
1. 中年女性,咳嗽、咳痰、胸痛症状。
2. 既往子宫胎盘部位滋养细胞肿瘤史。
【讨论】
临床上恶性滋养细胞肿瘤肺内转移较为常见,肺内病灶的影像学表现如下:
1. 团片状模糊阴影,大小多大于3cm。
2. 棉团样、绒球样圆形阴影,边缘模糊,中心密度略高,边缘较淡,大小多在3cm以内,治疗后边缘渐清晰。
此例患者胸部CT提示双侧肺野多发液气囊性改变,考虑与滋养细胞在肺内破坏血管壁进入肺泡,使周围组织发生炎性浸润、出血、水肿,各肺泡病变融合成团,中心坏死,形成囊肿样改变,同时滋养细胞进入呼吸性细支气管为中心的细支气管周围组织发生炎性浸润,使呼吸性细支气管狭窄、闭塞,当囊肿内黏液潴留过多,或继发化脓性感染时,囊腔易与呼吸性细支气管穿透,形成单向性活瓣样通气,从而导致囊腔内压力不断升高,形成张力性液气囊肿改变。
恶性滋养细胞肿瘤肺部转移与临床联系最为密切的即为HCG值,恶性滋养细胞肿瘤的发生均有HCG值的不同程度升高,有肺内转移病灶时,HCG均升高;本例患者HCG无异常升高,考虑为子宫及部分卵巢手术切除即术后化疗对恶性滋养细胞清除及抑制。
【评述】
恶性滋养细胞肿瘤肺部转移表现呈多样性,需要根据临床病史、影像学资料、HCG测定、纤维支气管镜检查、经皮肺活检及手术切除病理以明确诊断。
(尹小文 黄茂宏)
参考文献
1.贺国丽,陈春英,王雪,等. X线和CT对恶性滋养细胞肿瘤肺转移的诊断价值. 中国肿瘤临床与康复,2005,12:265-267.
2.李飞,向平. 绒癌和恶性葡萄胎肺转移的X线表现. 湖北民族学院学报,2004,21(3):50.
3.袁源. 妊娠滋养细胞肿瘤肺转移68例临床分析. 交通医学,2007,21:295-296.
4.Kuo KT,Chen MJ,Lin MC. Epithelioid trophoblastic tumor of the broad ligament:a case report and review of the literature. Am J Surg Pathol,2004,28:405-409.
5.程晓东,吕卫国. 上皮样滋养细胞肿瘤六例临床分析. 中国妇产科杂志,2008,43:281-285.
6.李荣. 胎盘部位滋养细胞肿瘤的诊断治疗. 江苏医药,2007,33:1163-1164.
(环球医学编辑:余霞霞)
来源:《呼吸疑难少见病例解析》
作者:林江涛
页码:46-48
出版:人民卫生出版社
- 评价此内容
- 我要打分
近期推荐
热门关键词
最新会议
- 2013循证医学和实效研究方法学研讨会
- 欧洲心脏病学会年会
- 世界帕金森病和相关疾病2013年会议
- 英国介入放射学学会2013年第25届年会
- 美国血液学会2013年年会
- 美国癫痫学会2013年第67届年会
- 肥胖学会 2013年年会
- 2013年第9届欧洲抗体会议
- 国际精神病学协会 2013年会议
- 妇科肿瘤2013年第18届大会
- 国际创伤压力研究学会2013年第29届…
- 2013年第4届亚太地区骨质疏松症会议
- 皮肤病协会国际2013年会议
- 世界糖尿病2013年大会
- 2013年国际成瘾性药年会
- 彭晓霞---诊断试验的Meta分析
- 武姗姗---累积Meta分析和TSA分析
- 孙凤---Network Meta分析
- 杨智荣---Cochrane综述实战经验分享
- 杨祖耀---疾病频率资料的Meta分析
合作伙伴
Copyright g-medon.com All Rights Reserved 环球医学资讯 未经授权请勿转载!
网络实名:环球医学:京ICP备08004413号-2
关于我们|
我们的服务|版权及责任声明|联系我们
互联网药品信息服务资格证书(京)-经营性-2017-0027
互联网医疗保健信息服务复核同意书 京卫计网审[2015]第0344号




会员登录

