青年男子大量饮酒抽烟后咳嗽咳痰、痰中带血 结果悲催了
26岁男性,入院前2个月余大量饮酒、抽烟后出现咳嗽、咳痰,痰中带血,伴右胸部疼痛,未给予重视未治疗。之后每次大量吸烟后均咯血,性状同前,偶有右膝关节疼痛。就诊于笔者医院门诊,胸片示双肺多发结节影,遂收入院。该患者怎么了?
【病情介绍】
患者,男,26岁,文职人员。2014年3月12日以“反复咳嗽、咳痰伴间断咯血2个月余为主诉入院。入院前2个月余大量饮酒、抽烟后出现咳嗽、咳痰,痰中带血4、5口,痰血混合血量约0.5ml,伴右胸部疼痛,无鼻塞流涕,无发热,未给予重视未治疗。之后每次大量吸烟后均咯血4、5口,性状同前,偶有右膝关节疼痛。3月12日就诊我院门诊,胸片示双肺多发结节影,遂收入院。吸烟史:3年余,约1~2包/日。近1年偶有大量饮酒。否认嗜药品、麻醉毒品等不良嗜好。家族史:3年前父亲患“肺结核”,出现咯血,已治愈。母亲及兄弟姐妹健康状况一般,否认家族遗传及类似病史。
【诊治经过】
入院查体未发现阳性体征。X线胸片(2014年3月12日)考虑双肺转移癌,建议进一步检查。高分辨率螺旋CT平扫:双肺弥漫性结节影,考虑转移(图1和图2)。血细胞分析(2014年3月12日)MPV 6.9fl↓。支气管镜检查示:气管腔内未见明显异常。灌洗液结核菌涂片:阴性。(2014年3月15日)气管镜刷片病理:“肺左下叶基底段”刷片见柱状上皮中性粒细胞,未查见瘤细胞。结核感染T细胞斑点试验(T-spot):阴性。支气管镜检TBLB病理回报:“左下肺基底段活检组织”送检肺组织间质见少许慢性炎细胞浸润、纤维化,血管玻璃样变,局灶肺气肿。入院给予左氧氟沙星抗感染治疗。因气管镜无阳性病理结果,患者往胸外科行外科胸腔镜检查,病理结果:“右肺下叶结节”符合神经内分泌肿瘤(副神经节瘤或神经内分泌癌等)。结合形态学(见特征性Zellballen结构,未见缎带、菊形团结构)及免疫组化结果[Vim(+)、CK(-)、CK7(-)、EMA(-)及TTF1(-)等]倾向于副神经节瘤,并见脉管内有瘤栓形成。请重点检查颈部、纵隔及腹膜后,行颈部血管彩超、纵隔CT均未发现有副节瘤原发灶,行18F-FDG体部断层显像肺部外未发现明显异常高代谢病灶。

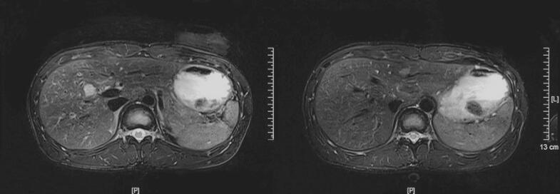
图1 磁共振平扫+增强
肝内多发结节状异常信号,考虑肿瘤性病变,①转移性,②肝原发肿瘤,请结合临床

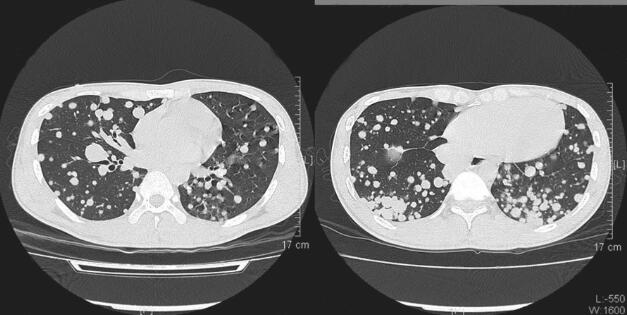
图2 肺部CT平扫:双肺多发转移瘤
【最后诊断】
原发肺多发性副神经节瘤。
【治疗和转归】
在我科只行诊断未行治疗。追踪患者,后在外院行化疗,方案不详,目前患者仍存活,但肺部结节较前明显增多,气喘症状出现。
【重要提示】
1. 青年男性,病程较短,病情进展快。
2. 主要表现为反复咳嗽、咳痰伴间断咯血,查体双肺未闻及干湿性啰音,胸部CT检查提示双肺弥漫性结节影,考虑转移。
3. 行胸腔镜病理结果:“右肺下叶结节”符合神经内分泌肿瘤。结合形态学及免疫组化结果倾向于副神经节瘤,并见脉管内有瘤栓形成。
【讨论】
副神经节瘤源于副神经节的肿瘤。副神经节瘤起源于胚胎发育时期的神经嵴细胞,在发育过程中迁移到身体各处,聚集成群形成副神经节。肿瘤根据起源不同分为两类:交感性副节瘤和副交感性副节瘤。副交感性副节瘤大部分发生在颅底与颈部,以颈动脉体瘤和颈静脉球瘤常见,又称化学感受器瘤,一般无嗜铬性;交感神经副节瘤多见于腹部,其中发生在肾上腺髓质的称为嗜铬细胞瘤,而把其他交感来源称为肾上腺外副神经节瘤,可发生在颅底、颈部到前列腺、膀胱之间交感链的任何部位。也将肾上腺髓质发生的副节瘤称为嗜铬细胞瘤,发生在肾上腺外的副节瘤称为异位嗜铬细胞瘤。近25%的副交感副节瘤和50%的交感性副节瘤有家族遗传性。副神经节瘤多发于30~50岁,疾病的显露形式包括偶然发现、肿块的占位效应和儿茶酚胺过多分泌出现相应的症状。典型临床表现:头痛、心悸、出汗、间歇性高血压。不典型临床表现:高血糖、发热、体重减轻、心肌梗死等。无功能性副神经节瘤的临床症状不明显。因大部分儿茶酚胺在病灶内代谢,故较大的功能性副神经节瘤也可无症状。
CT表现:病灶多见于肾门水平主动脉旁区、Zukerkandle器、后纵隔脊柱旁和头颈部,少见部位包括胆囊、膀胱、子宫、十二指肠及精索等。病灶直径多大于3cm,形态呈圆形或类圆形,边界清楚;由于供血不均,瘤内易坏死、出血、钙化和囊变;富血供肿瘤,增强后强化显著,部分区域强化与血管强化接近。不同于嗜铬细胞瘤10%的恶性率,其他副神经节瘤(特别是腹部)有14%~50%的恶性率;有时在病理组织学检查对良、恶性也难以判断;有学者认为其良恶性可通过是否出现转移来判断;也有学者认为,当肿瘤呈恶性增殖状态时,可突破包膜,累及周围血管及实质性脏器,当与邻近组织界限模糊时可提示恶变。
【评述】
副神经节瘤是一类较少见的软组织神经内分泌肿瘤,属产肽激素瘤,起源于神经嵴细胞,根据其是否具有儿茶酚胺分泌功能又分为功能性嗜铬性和非功能性非嗜铬性化学感受器瘤两种。嗜铬性细胞瘤与交感神经系统相关,主要分布于后腹膜沿胸腰部的主动脉旁区,为肾上腺髓质次要的同源物。嗜铬性细胞瘤由于肿瘤组织具有儿茶酚胺分泌功能,临床上可出现高血压、糖尿病等症状。非嗜铬性细胞瘤与副交感神经系统相关,发生部位常见于颈动脉体、主动脉体、迷走神经、腹膜后,其他少见部位为十二指肠、肝、肾、输尿管、膀胱、前列腺及卵巢等交感神经节分布的区域,而发生于肺部者,甚是罕见它具有化学受体功能,因此又叫做化学感受器瘤,我们广义上所说的副节瘤即非嗜铬性细胞瘤化学感受器瘤。该病可发生在各个年龄段,但以成人为主,无明显性别差异性。肺副节瘤在临床上早期无任何症状,当肿瘤侵及气管、支气管时,可引起阻塞性肺炎,出现咳嗽、咳痰,发热、甚至呼吸困难等。文献报道肺副节瘤的发病部位多见于左下、右下、右上肺叶,多发占位者以双下肺叶为主。一般认为单发、肿瘤直径<5cm,多为良性副节瘤,肿瘤直径>5cm,多发,有纵隔、肺门淋巴结转移或远处转移,病理检查发现有包膜浸润,认为是恶性副节瘤。无论是良性或者恶性,治疗上均以手术切除为主。对于不能手术治疗的患者,可给予放、化疗和微创介入治疗。常用的微创介入治疗方法有支气管动脉栓塞,CT引导下的氩氦靶向冷冻治疗、射频、放、化疗粒子植入等,对于有气道阻塞的患者,可在支气管镜引导下通过氩气刀及二氧化碳冷冻治疗将肿瘤消除,畅通气道,并局部注射化疗药物维持疗效,可取得较好效果。在本例患者中,其以咯血症状就诊,病变部位在双肺,经外科胸腔镜活检病理确诊,因肿瘤直径>5cm,又为多发,且其他部位无原发灶,故考虑为原发于肺的多发的恶性副节瘤,故仍以手术切除为首选。该例患者门诊就诊时胸片报告为肺癌双肺多发转移,但是胸片中肿块的性质与严格意义的肺癌肿块不太相似,故应该考虑其他罕见病,故收入院行病理检查。入院后行气管镜检查病理未取到有意义的组织,故往胸外科行肺活检,最终确诊。此病例给我们的经验教训是发现肺部不明原因肿块时,如果出现与肺部实体瘤不符的征象时,不要想当然以为就是肺癌,应多往其他疾病考虑,积极行活检取病理明确诊断。尽早为患者诊断,尽早行相关治疗。
(杨萍)
参考文献
1. Aubertine CL,Flieder DB. Primary paraganglioma of the lung. Ann Diagn Pathol,2004,8:237-241.
2. 高建华,崔英,洪宝强,等. 前列腺恶性嗜铬性副节瘤一例. 临床放射学杂志,2004,23:945.
3. ROSAI. 外科病理学. 回允中,译. 第9版. 北京:北京大学医学出版社,2006:1117.
4. 高鹏. 肺化学感受器瘤1例. 中国肿瘤临床,2007,34:1361.
5. 周云芝,王洪武,秦芳. 肺副节瘤一例. 中华临床医师杂志,2011,5(17):5242-5243.
(环球医学编辑:余霞霞)
来源:《呼吸疑难少见病例解析》
作者:林江涛
页码:49-52
出版:人民卫生出版社
- 评价此内容
- 我要打分
近期推荐
热门关键词
最新会议
- 2013循证医学和实效研究方法学研讨会
- 欧洲心脏病学会年会
- 世界帕金森病和相关疾病2013年会议
- 英国介入放射学学会2013年第25届年会
- 美国血液学会2013年年会
- 美国癫痫学会2013年第67届年会
- 肥胖学会 2013年年会
- 2013年第9届欧洲抗体会议
- 国际精神病学协会 2013年会议
- 妇科肿瘤2013年第18届大会
- 国际创伤压力研究学会2013年第29届…
- 2013年第4届亚太地区骨质疏松症会议
- 皮肤病协会国际2013年会议
- 世界糖尿病2013年大会
- 2013年国际成瘾性药年会
- 彭晓霞---诊断试验的Meta分析
- 武姗姗---累积Meta分析和TSA分析
- 孙凤---Network Meta分析
- 杨智荣---Cochrane综述实战经验分享
- 杨祖耀---疾病频率资料的Meta分析
合作伙伴
Copyright g-medon.com All Rights Reserved 环球医学资讯 未经授权请勿转载!
网络实名:环球医学:京ICP备08004413号-2
关于我们|
我们的服务|版权及责任声明|联系我们
互联网药品信息服务资格证书(京)-经营性-2017-0027
互联网医疗保健信息服务复核同意书 京卫计网审[2015]第0344号




会员登录

