老爷爷左侧胸痛20余天、加重伴憋气4天 不料竟是罕见的“它”在捣鬼
79岁男性,入院前20天无明显诱因出现左侧腋中线及左前胸疼痛,咳嗽、咳白痰,未经诊治。入院前4天,左侧胸痛加重伴喘息、憋气,就诊于笔者医院急诊,查血常规:N%:87.5%,L%:9.0%。胸部X线片示:两肺纹理增多,左侧胸腔积液。给予左氧氟沙星抗感染治疗4天,病情有所好转,为求进一步治疗收入笔者所在科。该患者怎么了?
【病情介绍】
患者,姜某,男,79岁,因“左侧胸痛20余天,加重伴憋气4天”入院。入院前20天无明显诱因出现左侧腋中线及左前胸疼痛,咳嗽、咳白痰,无发热,呕吐,未经诊治。入院前4天,左侧胸痛加重伴喘息、憋气,就诊于我院急诊,查血常规:N%:87.5%,L%:9.0%。胸部X线片示:两肺纹理增多,左侧胸腔积液。给予左氧氟沙星抗感染治疗4天,病情有所好转,为求进一步治疗收入我科。
既往糖尿病史20余年,右眼白内障病史20余年,陈旧性肺结核病史70余年,否认病毒性肝炎、伤寒、猩红热等传染病史。个人史无特殊。适龄婚育,育2子1女,均体健。
【诊治经过】
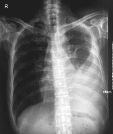
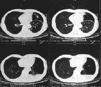
入院查体:形体消瘦,左肺叩诊呈浊音,听诊左肺呼吸音低。胸部彩超示:左侧胸腔大量积液(图1)。于入院后第2日行胸腔穿刺并细管引流术,当日共引流出约800ml血性浑浊液体。两次胸腔积液送细胞学:见癌细胞(腺型)。免疫组化:细胞角蛋白7(CK7)癌细胞(+)。血清肿瘤标志物(血还是胸腔积液?):细胞角质素19片段3.37ng/ml,糖类抗原72-4 9.03U/ml。引流3日后胸腔积液量<150ml/d,第4天引流袋内突发气泡溢出,呼吸困难加重,即刻行胸部CT示:左侧液气胸(引流术后),左肺部分萎陷、左侧胸膜增厚(图2)。该患者穿刺过程顺利,术后3日内,呼吸困难症状无反复,胸腔引流袋内未见气体逸出,第4天引流袋内突发气泡溢出,呼吸困难加重,提示穿刺操作失误造成气胸发生的可能性较小,而胸膜肿瘤灶脱落,形成癌性气胸的可能性较大。

图1 胸部X线片显示左侧胸腔大量积液

图2 胸部CT(引流术后第3天)
左侧液气胸左肺部分萎陷,左侧胸膜增厚
【最后诊断】
左侧胸膜腺癌伴癌性气胸。
【治疗和转归】
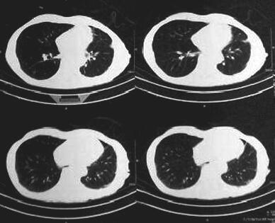
在对症支持治疗基础上,连接负压瓶给予持续负压引流,负压控制在0.2~0.5kPa之间负压引流时左肺可复张,但持续有气泡溢出,夹闭引流管后肺压缩反复出现。入院后第2日引流瓶内气泡生成减少,行胸部CT示:左侧少量气胸、左侧胸膜肥厚、粘连(图3)考虑肺复张。于入院后第24、28、31、33、35日胸膜腔内注射白介素-2 200万单位,注射后闭管6小时再开放引流。入院第35日夹闭引流管24小时后气胸无反复,胸膜腔引流量小于100ml,于入院后第36日行胸部CT示:左侧胸腔积液,左侧胸膜局部增厚、粘连,(图4)考虑左肺脏层胸膜已愈合。出院后随访3个月,未再发生气胸及胸腔积液,其后患者失访。

图3 胸部CT(引流术后第21天)
左侧少量气胸、左侧胸膜肥厚、粘连

图4 胸部CT(引流术后第35天)
左侧胸腔少量积液,左侧胸膜局部增厚、粘连
【重要提示】
1.老年男性,否认慢性心肺病史。
2.主要表现为胸痛、憋气,胸部影像学示左侧大量胸腔积液。
3.胸腔积液细胞学查见腺癌细胞。
4.发现气胸距胸腔积液引流间隔较长,其间引流管未见有气体逸出。
【讨论】
癌性气胸是由恶性肿瘤所导致的气胸。肺癌所致气胸约占全部气胸病例的1.13%,原发性支气管肺癌发生气胸概率不到0.05%。恶性胸腔积液合并癌性气胸国内仅见19例报道。癌性气胸由原发性肺癌导致者极少,约80%为转移性肺肿瘤所致。其原发灶可为胰、肾、肾上腺、子宫、盲肠及乳腺等部位。本病例病理提示为腺型,不除外由消化道转移性肿瘤导致气胸的可能。研究表明,肺癌癌性胸腔积液相对于其他原因所致的胸腔积液在穿刺排液过程中发生气胸的危险性更大,其可能原因为肺癌癌性胸腔积液在原有病理改变基础上胸液排出使得肺表面失去支撑保护而导致气胸。单从癌性气胸发生率看,本病例考虑转移性肺肿瘤,而从胸腔穿刺发生气胸的危险度看,本病例为原发肿瘤为肺腺癌可能性更大。癌性气胸与一般气胸相比,引流效果差,52%完全无效,即使肺复张也多早期复发,故一旦确诊应尽可能手术。国内癌性气胸共报告132例,但大多数病例未提供负压引流时间和愈合率,负压引流1周肺复张17例,引流2周肺复张5例,引流26日肺复张1例,引流36日肺复张5例,引流1个月以上病例仅占全部报告病例的3.7%。而本例患者为高龄男性,不适宜手术治疗,故持续负压引流仍十分必要,本病例通过1个月余负压引流,最终肺良好复张,胸膜粘连愈合,且未发生感染等引流并发症,证明癌性气胸在超过1周后仍有复张可能性,这对以后临床上适当延长负压引流时间具有一定借鉴意义。近年胸膜固定术治疗恶性胸腔积液和癌性气胸得到广泛使用,胸膜固定术的原理是胸膜腔内注入硬化剂引起胸膜弥漫性炎症反应及局部凝血系统激活伴纤维蛋白沉积等,从而引起壁层和脏层胸膜粘连,最终达到胸膜腔消失的目的。滑石粉是最有效的胸膜固定硬化剂,但遗憾的是,我国目前不生产也不销售供胸膜固定的医用滑石粉。博来霉素、多西环素、四环素等均为可供选择的硬化剂,疗效不一。另外,也可通过胸膜腔局部注射生物调节因子,如白介素-2是一种免疫增强剂,具有抗病毒、抗肿瘤和增强机体免疫功能等作用,注入胸膜腔内可产生非特异性炎症,使胸膜增厚粘连,减少积液渗出。本病例通过持续负压吸引1个月余联合胸膜腔白介素-2注射使胸膜愈合,对临床具有一定借鉴意义。
【评述】
本例患者考虑为癌性气胸,参考有关文献,其可能机制有:①癌结节形成活瓣结构致管腔不全阻塞,远端的肺泡过度膨胀而破裂,气体沿叶间隔达到胸膜下,形成胸膜下大疱,后者破入胸腔;②癌性肺不张周围代偿性肺气肿导致肺大疱破裂;③贴近脏层胸膜的肺癌发生液化、坏死,破入胸腔。本例患者气胸发生在穿刺引流操作之后,其成因可能有二:一是,术中操作不当,损伤胸膜引起气胸;其二是,引流后胸膜腔压力突然减小,导致胸膜表面癌肿失去支撑,脱落掉入胸膜腔,导致胸膜损伤。但此说法尚有争议,有学者认为不同排液量的胸膜腔内压变化差异无显著性意义。这也是一般胸腔积液穿刺排液中较少出现气胸的原因,因此结合本例患者恶性胸腔积液引流后到发现气胸间隔长达72小时,呼吸困难较穿刺前改善较明显,直到复查胸部CT才出现气胸,其间胸腔引流中也未见有气体逸出,据此我们认为本患者出现气胸的原因可能是贴近脏层胸膜的肿瘤坏死,加之胸腔内压变化,导致相应部位的胸膜破裂所致。遗憾的是由于患者的原因,引流术操作后未及时行胸部影像检查,使病例缺乏了一个关键性证据,但根据临床反应的时效性可以判定,该例患者的气胸非操作所致。本患者持续胸腔负压引流基础上,进行了5次胸膜腔内白介素-2注射,注射前后胸部CT对比,可发现左侧胸膜明显粘连增厚,气胸后压缩肺脏已良好复张。
恶性胸腔积液并发癌性气胸临床上十分罕见,患者预期生存期短,肺复张可能性低,本病例显示持续负压引流联合胸膜腔内生物调节因子注射可能提高患者肺复张率,改善患者生存质量。
(朱振刚)
参考文献
1. Steinhauslin CA,Cuttat JF. Spontaneous Pneumothorax. A complication of lung cancer. Chest,1985,88(5):709-713.
2. 张景顺,陆妙贤,柳鑫鑫. 癌性自发性血气胸5例临床分析. 内科极危重症杂志,2001,7(1):28-29.
3. 陈玉宝. 恶性胸腔积液并癌性气胸诊治体会. 临床误诊误治,2012,25(11):60-61.
4. 徐光辉,王学忠,肖顺霞. 胸膜粘连术治疗癌性胸水合并液气胸13例. 医学理论与实践,2012,25(23):2914.
5. 丁华表,范世明,倪怡抒,等. 细管虹吸引流胸腔积液29例报告. 上海医药,1995,7:21.
6. 魏长春,刘彦彦,董秋兰,等. 大量胸水不同排液方法的临床分析. 中国防痨杂志,2002,1:26.
7. Lane S,Fasano JB,Levitt AB,et al. Spontaneous bilateral pneumothorax due to metastatic cervical carcinoma. Chest,1987,91(1):151-152.
8. 魏希强,丁静,吴丽颖. 肺癌癌性胸水穿刺排液发生气胸的临床分析. 安徽医学,2008,29(4):430-431.
9. Canto A. Points to consider when choosing a biopsy method in cases of pleurisy of unknown origin. Chest,1983, 84:176-179.
10. 藤尺武彦. 自然气胸と肺癌. 日胸,1987,46(2):103.
11. 侯科超,张安泽. 原发性肺癌合并自发性气胸32例临床分析. 中国综合临床,2005,21(6):544-545.
12. 麦转英,阮旭东. 原发性肺癌合并自发性气胸7例临床分析. 临床肺科杂志,2012,17(5):896.
13. 李霞,王忠山. 肺癌合并自发性气胸8例临床分析. 现代肿瘤医学,2010,18(1):159.
14. 张富强,李德宸. 癌性气胸 . 医师进修杂志,2003,(6):49-50.
15. 李翔,张丹,罗静. 癌性气胸1例报告. 江西医学院学报,1999,(12):344.
16. 盛兴波,苏燕. 癌性气胸6例临床分析. 临床荟萃,1999,(5):202-203.
17. 吴长生,柴福进,张岩,等. 癌性气胸6例报告. 综合临床医学,1998,(3):281-282.
18. 王寿丽,黄丽军,李德宸. 癌性气胸5例报告. 中国社区医师,2004,(10):47.
19. 方建飞,金梅良. 中心静脉导管留置胸腔抽气术治疗癌性气胸6例报导. 浙江临床医学,2006,(2):163.
20. 谭志刚,周文华. 癌性气胸1例. 沈阳医学院学报,1999,(4):249.
21. 翟文治. 肺癌并发自发性气胸 . 解放军医学杂志,1990,(6):452-453.
22. 龚璐璐,杜运华. 恶性胸腔积液胸内灌注化疗国内研究简况. 实用医药杂志,2007,24(3):356-358.
(环球医学编辑:余霞霞)
来源:《呼吸疑难少见病例解析》
作者:林江涛
页码:67-71
出版:人民卫生出版社
- 评价此内容
- 我要打分
近期推荐
热门关键词
最新会议
- 2013循证医学和实效研究方法学研讨会
- 欧洲心脏病学会年会
- 世界帕金森病和相关疾病2013年会议
- 英国介入放射学学会2013年第25届年会
- 美国血液学会2013年年会
- 美国癫痫学会2013年第67届年会
- 肥胖学会 2013年年会
- 2013年第9届欧洲抗体会议
- 国际精神病学协会 2013年会议
- 妇科肿瘤2013年第18届大会
- 国际创伤压力研究学会2013年第29届…
- 2013年第4届亚太地区骨质疏松症会议
- 皮肤病协会国际2013年会议
- 世界糖尿病2013年大会
- 2013年国际成瘾性药年会
- 彭晓霞---诊断试验的Meta分析
- 武姗姗---累积Meta分析和TSA分析
- 孙凤---Network Meta分析
- 杨智荣---Cochrane综述实战经验分享
- 杨祖耀---疾病频率资料的Meta分析
合作伙伴
Copyright g-medon.com All Rights Reserved 环球医学资讯 未经授权请勿转载!
网络实名:环球医学:京ICP备08004413号-2
关于我们|
我们的服务|版权及责任声明|联系我们
互联网药品信息服务资格证书(京)-经营性-2017-0027
互联网医疗保健信息服务复核同意书 京卫计网审[2015]第0344号




会员登录

