老爷爷咳嗽咳痰伴呼吸困难3月余并加重 反复行TBLB才明确诊断
73岁男性,受凉感冒后出现咳嗽,咳痰,并逐渐出现呼吸困难,以活动后明显,自服中药(药名及剂量不详)症状无明显缓解。10天前无明显诱因咳嗽、咳痰、气短等症加重,在社区门诊就诊,给予输液治疗(具体诊断及治疗不详)后症状无明显缓解,为进一步诊治入笔者医院。门诊行胸片检查示:双肺下叶炎性病变,以“肺炎”收入笔者所在科室。该患者患有……
【病情介绍】
患者,男,73岁,退休。因“咳嗽、咳痰、呼吸困难3个月余,加重10天”于2014年11月28日入院。患者自诉2014年8月受凉感冒后出现咳嗽,咳痰,痰为白色泡沫样、量少、易咳出,并逐渐出现呼吸困难,以活动后明显,自服中药(药名及剂量不详)症状无明显缓解。10天前无明显诱因咳嗽、咳痰、气短等症加重,尤以夜间咳嗽明显,在社区门诊就诊,给予输液治疗(具体诊断及治疗不详)后症状无明显缓解,为进一步诊治入我院。门诊行胸片检查示:双肺下叶炎性病变,以“肺炎”收入我科。
既往有“高血压”病史十余年,最高血压180/110mmHg。自服“复方罗布麻片1片,口服,3次/日,杜仲降压片1片,口服,3次/日”,血压控制可,平时血压基本保持在110~130/75~85mmHg之间。否认有糖尿病、冠心病等慢性病史,无肝炎、结核、疟疾等传染病史。患者出生于安徽怀宁县,1964年来新疆库尔勒,从事办公室管理工作,无粉尘、毒物、放射性物质接触史,无疫区接触史,无食生鱼、生肉史。无手术输血史,无食物、药物过敏史,预防接种史不详。无烟酒嗜好。已婚,配偶及女儿体健,家族史无特殊。
【诊治经过】
入院后检查:生命体征平稳,全身浅表淋巴结未触及肿大,慢性病容,呼吸平稳,口唇及甲床无明显发绀。胸廓正常,双侧呼吸运动正常,触诊语颤左右两侧一致,双肺呼吸音低,双肺下叶可闻及散在干啰音及少量湿性啰音。心率86次/分,律齐,未闻及明显杂音。腹部查体无异常,双下肢无水肿。血常规:WBC 5.47×109/L,N% 49.9%,L% 40.4%,HGB 132g/L,PL 141×109/L。红细胞沉降率39mm/1h。肝肾功能、生化、C反应蛋白(CRP)、降钙素原(PCT)均未见明显异常。肿瘤标志物:糖类抗原CA125 134.1kU/L,其余均为正常。抗核抗体(ANA)血管炎及ENA抗体谱均正常。结核菌素试验:(-)。3次痰抗酸染色未见抗酸杆菌。3次痰培养均为正常细菌生长。血气分析提示:pH 7.41,PaO2 65mmHg,PaCO2 35mmHg。2014年11月30日肺功能示:FEV1 1.24L,占预计值的56%,FEV1/FVC 68%。肺弥散功能正常。
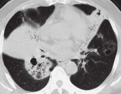
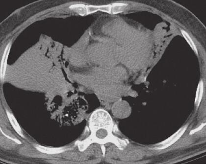
入院后给予左氧氟沙星注射液抗感染,盐酸氨溴索祛痰、多索茶碱解痉治疗,咳嗽、咳痰及呼吸困难症状改善不明显。2014年11月29日胸部CT示(图1):双肺可见大片状及片絮状高密度阴影,内可见通气征。2014年12月2日支气管镜检查提示:右肺主支气管及右肺中间段支气管充血明显,黏膜欠光滑,可见管腔轻度狭窄。活检病理提示:黏膜慢性炎症。患者感气喘,查体肺部可闻及散在哮鸣音。给予甲泼尼龙注射液40mg,1次/日,静点,3天后患者自觉气喘等症缓解,但仍有咳嗽及呼吸困难,夜间咳嗽明显2014年12月10日再次行支气管镜检查,给予TBLB,仍提示黏膜慢性炎症。请感染科会诊拟给予抗结核治疗。患者不耐受,拒绝行抗结核治疗。再次行支气管镜检查,TBLB,病理结果提示:左肺上叶舌段活检:结合HE形态及免疫表型符合B细胞非霍奇金淋巴瘤。右下活检:黏膜慢性炎,间质炭末沉积。


图1 2014年11月29日肺部CT
双肺实变病灶并伴有空气支气管征
【最后诊断】
肺部B细胞非霍奇金淋巴瘤。
【治疗和转归】
停抗感染药物,转至血液内科行化疗,患者放弃治疗,自动出院。
【重要提示】
1. 老年男性,病程不长,亚急性起病,病情进展较慢。
2. 主要表现为反复咳嗽、咳痰、呼吸困难,查体双肺散在干啰音及湿啰音,胸部CT检查提示双肺大片状及片絮状阴影,可见支气管征,纵隔淋巴结肿大。反复行TBLB才明确诊断。
3. 给予抗感染、祛痰、平喘等治疗,效果不佳。
【讨论】
原发性肺淋巴瘤(PPL)指原发于肺内淋巴组织的恶性淋巴瘤,是结外淋巴瘤的一种罕见类型,占淋巴结外淋巴瘤的3.6%,占所有淋巴瘤的0.36%~1.20%。病理学上分为霍奇金淋巴瘤(HL)和非霍奇金淋巴瘤(NHL)两大类,大多数为非霍奇金淋巴瘤,以B细胞淋巴瘤为主。PPL病因不明,目前多数学者认为PPL是在长期各种抗原如吸烟、感染、自身免疫疾病等的刺激下逐渐产生的,是一种机体防御反应。
PPL多发生在60~80岁,男性略多于女性。常见的临床表现为咳嗽,咳痰,发热,气促等,与原发于肺部的其他疾病,如肺炎、支气管肺癌的临床表现无明显差异,因此诊断非常困难,常常发生漏诊和误诊。1993年Cordier等提出其诊断标准为:①影像学上显示肺、支气管受累,但未见纵隔淋巴结肿大;②既往没有胸外淋巴瘤诊断的病史;③无肺及支气管外其他部位的淋巴瘤或淋巴细胞性白血病的证据;④发病后3个月仍未出现胸外淋巴瘤的征象。同时满足上述4点者可诊断为PPL。
肺原发性淋巴瘤影像学表现多种多样。宋伟等将其归纳为:①结节肿块型:最常见,多为单发病灶,边界模糊,病灶内可见支气管充气征,部分病灶内可见空洞和液平;②肺炎或肺泡型:表现为沿肺段或肺叶分布的模糊斑片影,可见支气管充气征,偶见空洞;③间质型:最少见,表现为弥散的细或粗糙网状结构或网状小结节或毛玻璃样变;④粟粒型:表现为直径小于1cm的多发小结节,边界粗糙,无支气管充气征。本例属于肺炎型,见支气管充气征,未见明显肿块影,因而给诊断造成困难,一开始被误诊为肺炎,最终反复行TBLB才得以明确诊断。
该病是一种预后相对较好的恶性肿瘤,5年生存率67%~93%,中位生存时间>10年。目前多采用放疗和化疗为主的综合保守治疗方案。化疗药物国内多选择标准的CHOP方案或者R-CHOP方案。对于手术确诊的患者,建议其术后继续辅助化疗。手术治疗结合化疗或者单纯化疗,疗效均较满意。
【评述】
原发性肺淋巴瘤属于罕见病,临床特征缺乏特异性,临床思维欠缺是导致误诊误治的关键原因。回顾此例病例,可整理出清晰的诊断思路。首先,此例患者为老年男性,既往无慢性咳嗽咳痰病史及吸烟史,起病较隐匿,有上呼吸道感染的诱因,呼吸困难逐渐加重,故未引起重视,经反复治疗无效,症状进一步加重才就医,说明患者起病较缓,症状无特异性,这与细菌感染引起的肺炎病史特点有所不同。C反应蛋白、红细胞沉降率、降钙素原等炎性指标正常且抗生素治疗无效,进一步排除了细菌感染性疾病。肺部CT为双肺大片状及片絮状阴影,可见支气管充气征,纵隔淋巴结肿大,此种影像学改变要引起重视,考虑有肺淋巴瘤的可能,但要与肺部肿瘤、间质性肺疾病等疾病及肺结核等特殊感染性疾病相鉴别。而鉴别诊断的关键在于病理学依据,患者常需要多次有创操作方能确诊,因此清晰的临床思路与病理学证据是正确诊断的关键因素。
下述表现有助于PPL诊断的可能:①年龄在60岁左右,无症状或咳嗽、咳少量痰,有胸闷、胸痛、呼吸困难等症状者;②肺部影像表现为结节、肿块或实变病灶并伴有空气支气管征,合并肺间质性改变,无肺门及纵隔淋巴结的肿大,无胸膜增厚及胸腔积液;③病灶变化趋势不大,并且长期存在。病理学是确诊的关键,而病理标本获取途径主要通过TBLB、PTNB、内科胸腔镜、VATS及开胸手术切除。对此我们的经验是,首先选用损伤性小、患者的依从性较好的方式,如TBLB、PTNB、内科胸腔镜下胸膜活检,并可多次活检以提高阳性率。但是若上述诊断方法仍不能明确诊断或诊断所需时间较长时仍应,再考虑采取VATS等外科介入方式进行活检、及时诊断。
(吴永红)
参考文献
1. Ferraro P,Trastek VF,Adlakha H,et al. Primary non Hodgkin’s lymphoma of the lung. Ann T horac Surg,2000,69(4):993-997.
2. Arnaoutakis K,Oo TH. Bronchus-associated lymphoid tissue lymphomas. South Med J,2009,102(12):1229-1233.
3. Cordier JF,Chailleuz E,Lanque D,et al. Primary pulmonary lymphomas:a clinical study of 70 cases in nonimmunocompromised patients. Chest,1993,103(1):201-208.
4. 宋伟,王立,严洪珍. 肺内淋巴瘤的影像诊断. 中华放射学杂志,2001,35(1):49-51.
5. Cadranel J,Wislez M,Antoine M. Primary pulmonary lymphoma. Eur Respir J,2002,20:750.
6. Troch M,Streub,Petk ov,et al. Does MALT lymphoma of the lung require immediate treatm ent?Analysis of 11 untreated cases with long term follow up. Anti cancer Res,2007,27:3633-3637.
(环球医学编辑:余霞霞)
来源:《呼吸疑难少见病例解析》
作者:林江涛
页码:76-79
出版:人民卫生出版社
- 评价此内容
- 我要打分
近期推荐
热门关键词
最新会议
- 2013循证医学和实效研究方法学研讨会
- 欧洲心脏病学会年会
- 世界帕金森病和相关疾病2013年会议
- 英国介入放射学学会2013年第25届年会
- 美国血液学会2013年年会
- 美国癫痫学会2013年第67届年会
- 肥胖学会 2013年年会
- 2013年第9届欧洲抗体会议
- 国际精神病学协会 2013年会议
- 妇科肿瘤2013年第18届大会
- 国际创伤压力研究学会2013年第29届…
- 2013年第4届亚太地区骨质疏松症会议
- 皮肤病协会国际2013年会议
- 世界糖尿病2013年大会
- 2013年国际成瘾性药年会
- 彭晓霞---诊断试验的Meta分析
- 武姗姗---累积Meta分析和TSA分析
- 孙凤---Network Meta分析
- 杨智荣---Cochrane综述实战经验分享
- 杨祖耀---疾病频率资料的Meta分析
合作伙伴
Copyright g-medon.com All Rights Reserved 环球医学资讯 未经授权请勿转载!
网络实名:环球医学:京ICP备08004413号-2
关于我们|
我们的服务|版权及责任声明|联系我们
互联网药品信息服务资格证书(京)-经营性-2017-0027
互联网医疗保健信息服务复核同意书 京卫计网审[2015]第0344号




会员登录

