老爷爷高血压30余年且近期控制不佳 检查发现祸不单行
75岁男性,以“发现血压高30余年,控制不佳1个月”主诉入院。如何诊治?
病史摘要
患者男性,75岁,以“发现血压高30余年,控制不佳1个月”主诉入院,30余年前体检发现血压升高,不同日多次测量血压超过140/90mmHg,无明显头晕、乏力,无阵发性心悸、面红,无明显胸闷、胸痛,无头痛,无肢体活动或感觉异常,无视力下降,无少尿、泡沫尿,无黑矇、晕厥,诊断为高血压,最高血压“170/110mmHg”,间断服用“硝苯地平缓释片、降压合剂”等治疗,近期坚持服用“硝苯地平控释片30mg 1次/日,珍菊降压片1片 3次/日”,未规律监测血压水平,偶测血压波动于“140~150/80~90mmHg”。1个月前,反复测血压高,波动于“160~170/90~110mmHg”,无四肢无力、烦渴等明显不适,为求进一步诊治遂来我院住院治疗。发病以来,精神可,尿多,体重无明显增减。
既往史:既往体健,除降压药物外无其他药物摄入,饮食偏淡。无烟酒嗜好。
家族史:父母早逝(具体不详),大姐及弟弟均为高血压患者。
体格检查
体温36.5℃,脉搏68次/分,血压160/100mmHg(右上肢),150/92mmHg(左上肢),174/110mmHg(右下肢),178/98mmHg(左下肢)。体质指数22,双肺未及干湿啰音。心尖搏动位于左侧第5肋间锁骨中线处,心率74次/分,律齐,各瓣膜听诊区未及病理性杂音。双侧桡动脉及足背动脉搏动一致有力。脐周、上腹部及背部肋脊角处均未闻及血管杂音。双下肢无水肿。
辅助检查
肝肾功未及明显异常;血脂:总胆固醇4.90mmol/L,低密度脂蛋白胆固醇1.8mmol/L;糖化血红蛋白:5.7%;电解质:血钾2.9~3.3mmol/L,血钠152~155mmol/L;尿蛋白定量、尿微量白蛋白/尿肌酐均大致正常。
X线胸片提示:主动脉增宽,心肺膈未及明显异常。
心电图提示:窦律,左室高电压并心肌劳损。
动态血压监测:全天血压增高,收缩压及舒张压负荷均异常,昼夜节律消失,波动曲线呈反杓型。
动态心电图提示:窦性心律,平均心率65次/分,偶发房性期前收缩,多源性室性期前收缩1013次,短阵室速1阵次,成对室性期前收缩29阵次,室性期前收缩二联律8阵次,ST-T改变,心率变异性减低。
心动超声:左心室舒张末期内径50mm,左心室收缩末期内径30mm,射血分数67%,左心房增大,室间隔厚度14mm,左室游离壁13mm,室间隔:游离壁约1.08。
头颅MRI:双侧侧脑室旁及半卵圆中心白质轻度脱髓鞘改变并多发腔隙性脑梗死。
入院诊断
原发性高血压3级(极高危);低钾血症;心律失常-多源性室性期前收缩,非持续性室性心动过速,成对室性期前收缩,室性期前收缩二联律。
诊治经过及诊治思维
1. 简要治疗过程
入院后检查结果提示低钾血症,结合近期血压难以控制,考虑存在继发性高血压,经功能学及影像学检查,诊断为“原发性醛固酮增多症”,但患者及家属考虑患者高龄,不愿行醛固酮腺瘤切除术,予以药物保守治疗,醛固酮受体拮抗剂螺内酯40mg,1次/日,硝苯地平控释片30mg,1次/日。
2. 病史特点
①患者老年男性,高血压病史长,年轻时起病,血压控制不佳;②靶器官损害严重,存在明显的心室肥厚;③入院后生化结果回报提示低钾血症。
3. 临床诊治思路
患者为高龄患者,初步印象考虑原发性可能性大,但患者年轻时即发现高血压,近期血压难以达标,且入院查血钾偏低,综合上述因素,需要排除有无继发性高血压可能,向患者及家属沟通并交代病情,进一步完善相关检查:
皮质醇节律正常;甲状腺功能、类风湿因子、结缔组织全套、血沉大致正常,24小时尿钾241mmol/L(参考值50~100mmol/L);双肾及肾血管超声:未见异常。
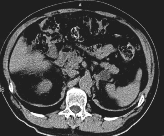
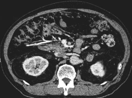
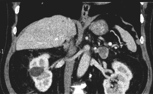
双侧肾上腺CT扫描示:双侧肾上腺区类圆形低密度影,与双侧肾上腺外支分界不清(图1)。双侧肾上腺增强CT扫描:双侧肾上腺区类圆形占位,肿瘤性病变可能:转移瘤?腺瘤?(图2,图3)。

图1 双肾及肾上腺CT:CT示双侧肾上腺腺瘤(箭头标注处)

图2 双肾及肾上腺增强CT(轴位):CT示双侧肾上腺腺瘤(箭头标注处)

图3 双肾及肾上腺增强CT(冠状位):CT示双侧肾上腺腺瘤(箭头标注处)
头颅MRI:双侧侧脑室旁及半卵圆中心白质轻度脱髓鞘改变并多发腔隙性脑梗死。
血管紧张素醛固酮立卧位实验:试验前一天晚10:00pm至次日上午8:00am需绝对卧床休息,8:00am抽血测肾素、血管紧张素Ⅱ、醛固酮(卧位)8:00~12:00am起床站立或行走4小时,12:00am抽血测肾素、血管紧张素Ⅱ、醛固酮(立位);结果:卧位肾素0.52ng/(ml·h),卧位血管紧张素Ⅱ 40.20pg/ml,卧位醛固酮210.84pg/ml;立位肾素0.93ng/(ml·h),立位血管紧张素Ⅱ 53.67pg/ml,立位醛固酮122.76pg/ml。
计算患者的ARR(血浆醛固酮/肾素活性比值,plasma aldosterone-renin ratio)为40.54,立卧位实验显示立位醛固酮水平不升高反而降低,结合其双侧肾上腺CT结果,考虑为醛固酮腺瘤(双侧)。患者及家属考虑患者高龄,不愿行醛固酮腺瘤切除术,予以药物保守治疗,醛固酮受体拮抗剂螺内酯40mg,1次/日,硝苯地平控制片30mg,1次/日。
最终诊断:原发性醛固酮增多症 醛固酮腺瘤(双侧) 继发性高血压。
专家点评
患者长期高血压,伴水钠潴留、醛固酮水平升高导致左室明显肥厚,心脏舒张功能减低,心肌细胞相对缺血,局部电活动不稳定,加之低血钾可导致室性心律失常,甚至恶性室性心律失常。患者高血压病程长,既往具有高血压家族史,不排除为原发性高血压合并醛固酮腺瘤可能,临床上往往根据临床经验诊断为原发性高血压,没有进一步筛查其继发性高血压原因造成误诊漏诊,进而延误了最佳手术治疗时机,本例患者因年龄而放弃手术治疗。因此在临床诊断中,认真筛查并积极寻找继发性高血压线索,提高继发性高血压的诊断率,使得患者获得早期治疗,避免心、脑、肾、血管等靶器官的严重损害。
以下高血压人群均为原醛可疑人群,需要进一步筛查:
(1)难治性高血压或高血压2级(JNC 7)(>160~179/100~109mmHg),3级(>180/110mmHg);
(2)不能解释的低钾血症(包括自发性或利尿剂诱发者);
(3)发病年龄早者(<50岁);
(4)早发性家族史,或脑血管意外<40岁者;
(5)肾上腺偶发瘤;
(6)PHA一级亲属高血压者;
(7)与高血压严重程度不成比例的脏器受损(如左心室肥厚、颈动脉硬化等)者。
随访情况
患者出院后门诊随诊,将螺内酯逐渐加量,至确诊后6个月服用螺内酯60mg 2次/日,苯磺酸氨氯地平5mg 1次/日,自测血压波动于130~140/70~80mmHg,行动态血压监测是血压平均值正常,波动曲线呈杓型,多次复查血钾均正常,波动于3.8~4.6mmol/L之间,复查心动超声示:室间隔厚度为11mm。
(环球医学编辑:余霞霞)
来源:《中国高血压疑难病例荟萃》
作者:蔡军 刘力生 孙宁玲 吴海英
页码:10-13
出版:人民卫生出版社
- 评价此内容
- 我要打分
近期推荐
热门关键词
最新会议
- 2013循证医学和实效研究方法学研讨会
- 欧洲心脏病学会年会
- 世界帕金森病和相关疾病2013年会议
- 英国介入放射学学会2013年第25届年会
- 美国血液学会2013年年会
- 美国癫痫学会2013年第67届年会
- 肥胖学会 2013年年会
- 2013年第9届欧洲抗体会议
- 国际精神病学协会 2013年会议
- 妇科肿瘤2013年第18届大会
- 国际创伤压力研究学会2013年第29届…
- 2013年第4届亚太地区骨质疏松症会议
- 皮肤病协会国际2013年会议
- 世界糖尿病2013年大会
- 2013年国际成瘾性药年会
- 彭晓霞---诊断试验的Meta分析
- 武姗姗---累积Meta分析和TSA分析
- 孙凤---Network Meta分析
- 杨智荣---Cochrane综述实战经验分享
- 杨祖耀---疾病频率资料的Meta分析
合作伙伴
Copyright g-medon.com All Rights Reserved 环球医学资讯 未经授权请勿转载!
网络实名:环球医学:京ICP备08004413号-2
关于我们|
我们的服务|版权及责任声明|联系我们
互联网药品信息服务资格证书(京)-经营性-2017-0027
互联网医疗保健信息服务复核同意书 京卫计网审[2015]第0344号




会员登录

