【肝癌报告2023】54岁患者体检查出肝癌 术后生存5年不料又出现复发
54岁患者,7年前体检发现肝内占位,超声造影显示肝顶部不均匀低回声灶造影增强特征,考虑肝癌。术后随访5年未见复发。2年前复查MRI,发现肝顶部一类圆形等T1稍短T2信号占位,脂肪抑制序列等信号,扩散序列高信号,增强后呈环形强化。考虑肝癌复发。此次如何处理?
1.病史介绍
男性,54岁,患者于7年前(2010年12月)体检发现肝内占位。超声:肝左叶不均匀低回声,建议超声造影检查。超声造影:肝顶部不均匀低回声灶造影增强特征,考虑肝癌。MRI:肝顶部类圆形等T1等T2信号占位,轴位大小约3.83cm×3.52cm,考虑肝癌。甲胎蛋白:349.80μg/L。分别于2011年1月、2011年3月行TACE序贯射频消融治疗。术后随访5年未见复发。2年前2016年8月复查MRI:肝顶部一类圆形等T1稍短T2信号占位,脂肪抑制序列等信号,扩散序列高信号,增强后呈环形强化。考虑肝癌复发。
2.术前检查
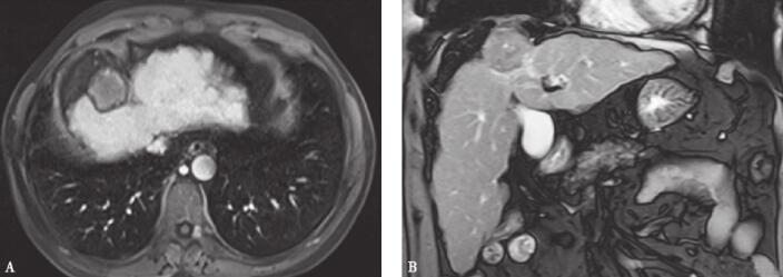
MRI检查肝顶部类圆形等T1等T2信号占位,轴位大小约3.83cm×3.52cm,考虑肝癌(图1)。

图1 术前检查MR图像
3.介入手术操作
肝动脉灌注化疗栓塞术序贯肝肿瘤射频消融术。
肝动脉造影化疗栓塞术:
常规穿刺部位消毒铺巾,局部用2%的利多卡因5ml麻醉。按Seldinger技术规范,行右侧股动脉穿刺,“冒烟”显示导管位于动脉内,将导管头端置于腹腔干动脉造影,显示肝动脉增粗、紊乱,肝实质内近肝门区可见不规则异常肿瘤染色。导管头置于肝右动脉经导管给予盐酸表柔吡星20mg,奥沙利铂100mg行灌注术。再经导管给予奥沙利铂50mg与碘油8ml的混悬液行肝动脉化疗栓塞术。术后造影复查示:肝实质内可见碘油颗粒沉积良好,未见明显肿瘤染色(图2)。


图2 TACE术中图像
TACE术后10d行射频消融治疗,患者平卧,平静呼吸,CT定位后,平扫见肝顶部碘油颗粒沉积的病灶。上腹部消毒铺巾,用2%的利多卡因行穿刺部位局部麻醉,给予盐酸异丙嗪注射液25mg,盐酸哌替啶注射液50mg静滴。在CT定位下经皮穿刺入肝内病灶内,分4个位点行射频消融术,分别消融10min、8min、8min、6min。术毕CT扫描见肿瘤区消融满意后行针道消融,针尖加热至70℃以上状态下缓慢退出射频消融穿刺针,再次CT扫描未见肝实质内及包膜下出血,未见明显气胸征象。
4.术后情况
2017年10月复查,MRI:原肿瘤较前增大并新发病灶。AFP>1000µg/L。再次行TACE治疗,并口服分子靶向药物索拉非尼治疗(图3)。

图3 术后复查MR图像
5.病例解析
此患者通过体检发现肿瘤,经过肝动脉化疗栓塞术、射频消融术、分子靶向药物治疗等多种模式综合治疗,生存期大于5年。说明肝癌的治疗需要多种模式、多种方法的综合运用,需要对患者进行个体评价,优化选择,以期患者得到最大获益。
磁共振对于肝癌的诊断及术后评价较CT有更好的特异度与灵敏度。对于肝癌患者肝动脉灌注化疗栓塞术序贯肝肿瘤射频消融术,往往能够获得较好的治疗效果。主要表现在如下几方面:①碘油会在肿瘤内沉积,能够为射频消融术提供一定的引导。而且通过TACE治疗后,可以将肿瘤的位置、大小以及边缘等清晰显示出来,还能够显示CT无法定位和定性的微小病灶,明确射频消融的具体范围。②先给予TACE治疗,能够有效阻断肿瘤的血液供应,让肿瘤发生去血管化反应,这样在采用射频消融术治疗时,电极产生的热量就不会被血液循环抵消,抑制热沉降效应,达到提高消融治疗效果的目标。③TACE治疗后再行CT引导下射频消融治疗,还能够降低肿瘤穿刺出血以及针道转移等不良反应的发生率。④通过射频消融治疗能够减少反复TACE治疗导致的肝功能损伤。
同外科手术切除一样,尽管TACE序贯射频消融能够降低肿瘤复发概率,但总体来说,肝癌的复发或新发率仍达到30%。需要清醒的认识到肝癌的病情变化复杂,需要综合治疗,重视局部加局部治疗和局部联合全身治疗。全身治疗主要包括分子靶向药物治疗和免疫治疗。在分子靶向药物,索拉非尼仍然是唯一获得批准治疗晚期肝癌的药物。两项大型国际多中心Ⅲ期临床试验均证明索拉非尼对于不同国家地区、不同肝病背景的晚期肝癌患者均有一定的生存获益。在免疫治疗方面,主要包括免疫调节剂干扰素α、胸腺肽等。近年来肿瘤免疫治疗的最大热点是免疫检查点阻断剂,CTLA-4阻断剂、程序性死亡蛋白1及配体(PD-1/PD-L1)阻断剂等。这些治疗手段均有一定的抗肿瘤作用,但尚待大规模的临床研究加以验证。
(环球医学编辑:余霞霞)
来源:《介入治疗经典病例解析》
作者:任伟新
页码:180-183
出版:人民卫生出版社
- 评价此内容
- 我要打分
近期推荐
热门关键词
最新会议
- 2013循证医学和实效研究方法学研讨会
- 欧洲心脏病学会年会
- 世界帕金森病和相关疾病2013年会议
- 英国介入放射学学会2013年第25届年会
- 美国血液学会2013年年会
- 美国癫痫学会2013年第67届年会
- 肥胖学会 2013年年会
- 2013年第9届欧洲抗体会议
- 国际精神病学协会 2013年会议
- 妇科肿瘤2013年第18届大会
- 国际创伤压力研究学会2013年第29届…
- 2013年第4届亚太地区骨质疏松症会议
- 皮肤病协会国际2013年会议
- 世界糖尿病2013年大会
- 2013年国际成瘾性药年会
- 彭晓霞---诊断试验的Meta分析
- 武姗姗---累积Meta分析和TSA分析
- 孙凤---Network Meta分析
- 杨智荣---Cochrane综述实战经验分享
- 杨祖耀---疾病频率资料的Meta分析
合作伙伴
Copyright g-medon.com All Rights Reserved 环球医学资讯 未经授权请勿转载!
网络实名:环球医学:京ICP备08004413号-2
关于我们|
我们的服务|版权及责任声明|联系我们
互联网药品信息服务资格证书(京)-经营性-2017-0027
互联网医疗保健信息服务复核同意书 京卫计网审[2015]第0344号




会员登录

