【肝癌报告2023】抗PD-1抗体治疗晚期肝癌致免疫相关性心肌炎及肝炎1例
1例56岁男性患者,因确诊肝癌予以抗PD-1抗体联合仑伐替尼治疗1个周期后,患者出现心动过速。完善心电图、心肌酶、血生化等检查提示免疫相关性心肌炎、肝炎,予胺碘酮联合糖皮质激素治疗以及护肝降酶治疗,1周后患者心率及心肌酶水平基本恢复正常,肝转氨酶显著下降。
一、病例简介
(一)主诉及现病史
患者,男性,56岁。因“发现肝恶性肿瘤伴远处肺转移,介入栓塞术后1个月”至我院就诊。患者诉2020-03因“腹胀、嗳气不适,有胀痛”,行CT检查提示肝内肿瘤伴多发肺转移,给予护肝、降黄、护胃等对症支持治疗,腹部胀痛有所好转。于2020-04入住我院肝胆外科,腹部CT示:肝右叶巨大团块,考虑为恶性肿瘤性病变。肺部CT提示双肺多发结节影,转移瘤可能。瘤标示:AFP > 2000μg/L。诊断为:肝癌Ⅳ期(肺M)。于2020-04-23行肝癌栓塞术。现要求进一步免疫治疗入院。
(二)既往史
乙型肝炎病史十余年,未规范治疗。
(三)体格检查
一般情况良好,ECOG评分为0分,神志清楚,精神可,颈软、无抵抗。双侧瞳孔等大等圆,对光反射灵敏。皮肤巩膜轻度黄染,全身未触及明显浅表淋巴结肿大。胸廓未见畸形,心律齐,心脏各听诊区未闻及病理性杂音。双肺呼吸音清,未闻及干湿啰音。腹膨隆,肝区轻度压痛,全腹无反跳痛,肝脾肋下未及,肠鸣音2~3次/min,双下肢无水肿,四肢肌力5级,病理反射未引出。
(四)辅助检查
1.腹部增强CT(2020-04-21,本院)
肝右叶巨大团块,最大截面8.8cm×8.5cm×10.7cm,考虑为恶性肿瘤性病变,局部累及膈肌、胸/腹壁可能,门静脉、下腔静脉及肝右静脉内瘤栓形成。肝硬化、门静脉高压,脾大,食管-胃底静脉曲张。
2.胸部平扫(2020-04-19,本院)
双肺多发结节影,转移瘤可能,较大者直径约2.1cm。
3.肿瘤指标(2020-04-21,本院)
AF > 2000μg/L(0.89~8.78μg/L)。
4.血常规(2020-04-27)
白细胞3.04×109/L(3.5~9.5×109/L),红细胞3.97×1012/L(4.3~5.81012/L),血红蛋白122g/L(130~175g/L),血小板41×109/L(125~350×109/L)。
5.血生化(2020-04-27)
总胆红素65.7μmol/L(5.1~19.0μmol/L),直接胆红素34.5μmol/L(1.7~ 6.8μmol/L),GPT 121U/L(5~40U/L),GOT 143U/L(8~40U/L),总蛋白53.4g/L(64~83g/L),白蛋白29.0g/L(35~55g/L)。
余大便常规、尿常规、凝血功能、甲状腺功能在正常范围,心电图、心脏彩超基本正常。
(五)诊断分期
肝癌伴肺内广泛转移 Ⅳ期。
二、抗肿瘤免疫治疗过程
患者入院后给予护肝降酶退黄治疗,转氨酶及胆红素显著降低,2020-05-04行第1个周期抗PD-1抗体200mg治疗。并于2020-05-05开始口服仑伐替尼(12mg,1次/d)。
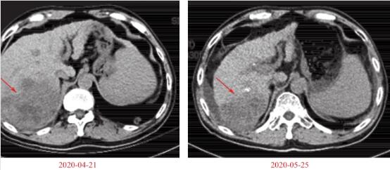
疗效评价:因仅行1个周期治疗,根据血AFP结果(61220.6μg/L,较前降低)及第2次入院前肺部CT平扫筛查结果,与前次比较示肿瘤部分消退:肝右叶病灶较前缩小(图1),双肺转移灶较前大部减小(图2),临床疗效为PR。

图1 肝脏病灶缩小

图2 多个肺部病灶缩小
三、免疫治疗不良反应诊治过程
1.免疫不良反应临床表现及实验室检查
2020-06-02患者无明显诱因出现心动过速(约200次/min),自诉胸闷、心悸。急查血未见心肌酶异常。2020-06-03复查示肌钙蛋白I 295.3ng/L(< 26.2ng/L),GOT > 700U/L(8~40U/L),LDH 1 151U/L(109~245U/L),诊断为免疫相关性心肌炎3级。2020-06-07查GOT 188U/L(8~40U/L),结合GOT结果,考虑免疫相关性肝炎3级。
2.辅助检查
2020-06-02 EKG检查见图3。

图3 心电图检查
3.治疗经过
出现心动过速后立刻联系心内科急会诊,给予胺碘酮0.15g静脉推注,后使用0.3g+50mL 5%葡萄糖持续慢滴,1h后心率降至160~170次/min,后逐渐降低并维持在110~120次/min。17h后,心率突降至67次/min,遂停用胺碘酮。20min后心率降至30~40次/min。
2020-06-03再次查EKG,见图4。

图4 心电图
再次联系心内科会诊后,考虑为心动过缓为胺碘酮反应。2020-06-03至2020-06-04给予甲泼尼龙260mg(4mg/kg)静脉治疗(2020-06-03甲泼尼龙治疗后4h心率即恢复正常);2020-06-05至2020-06-07给予甲泼尼龙130mg(2mg/kg)静脉治疗;2020-06-08至2020-06-10给予甲泼尼龙65mg(1mg/kg)静脉治疗;2020-06-11开始口服泼尼松40mg并出院,嘱其每周减量10mg至停药。2020-06-09复查EKG,见图5。

图5 心电图-3
指标变化见图6~图8。

图6 心肌酶变化趋势

图7 GOT变化趋势

图8 GPT变化趋势
四、临床思维与决策
文献报道免疫相关性心律失常中,以房性心律失常为主,如窦性心动过速、房性心动过速、房扑甚至房颤;且房性心律失常更多与心脏外情况有关,如高龄、感染、肺部病变等。室性心律失常相对发生率较低,大多伴发心肌病变,尤其是心肌炎,预后较差。心肌炎是免疫治疗比较少见的心脏不良反应,发生率在0.06%~3.8%,发生时间在首次用药后15~30d。本例患者与文献报道相符,为室上性心动过速伴发心肌炎,并在免疫治疗后第29天发生。免疫治疗相关心脏不良反应具有高致死性风险,其中心肌炎的致死率高达39.7%~50%。本例患者心肌炎急性发作,迅速加重;此外,本例患者还伴发转氨酶升高,提示免疫相关性肝炎的发生;病情危重,若未及时干预治疗将危及生命。
五、经验与体会
在发生严重不良反应后应中止免疫治疗方案,并使用免疫抑制剂或免疫调节剂控制反应,主要用药为大剂量糖皮质激素,必要时使用TNFα拮抗剂等。
1. 本案例的病因是什么?
本案例诊治过程中,从临床表现、实验室检查、心电图检查,免疫相关性心肌炎、免疫相关性肝炎的诊断较为明确。
2. 本案例的临床决策是否得当?
在本例患者出现心律失常后及时请心内科会诊,因当日查血未出现心肌酶升高,仅给予抗心律失常治疗。次日心肌酶升高,肝酶升高,诊断明确为免疫相关性心肌炎合并心律失常;免疫相关性肝炎;遂给予大剂量激素冲击治疗。在及时治疗后心肌酶及肝酶逐步下降,激素逐渐减量,患者情况好转。总体治疗决策得当。
3. 从本案例能获得哪些经验及教训?
当免疫治疗患者出现非房性心律失常时,要立刻警惕伴发心肌炎的可能,动态监测相关指标,尽早开始大剂量激素治疗。
六、专家点评
本例患者本身为肝癌晚期,转氨酶及胆红素基线水平高,容易忽视免疫相关性肝炎的发生,动态监测血生化的改变对免疫相关性肝炎的诊断与甄别极为重要。患者同时发生心脏毒性与肝毒性,致死率高,及时的诊断与适量的激素治疗带来了较好的治疗效果。
临床前研究显示人心肌细胞损伤后出现PD-1和PD-L1的表达。PD-1和CTLA-4缺陷小鼠可发生致死性心肌炎。心肌炎患者的心肌活检显示大量淋巴细胞浸润,多累及房室结和窦房结,有或无心肌纤维化。进一步分析可以发现其中T细胞标志物CD3及巨噬细胞标志物CD68表达阳性。
常用的治疗免疫相关性心脏毒性的药物包括糖皮质激素和免疫抑制剂,如英夫利西单抗、抗胸腺细胞球蛋白(ATG)等。糖皮质激素是首选药物。大多使用高剂量的糖皮质激素,如甲泼尼龙。首次使用剂量常为1~2mg/kg,随后逐渐减少。然而,一些研究表明,仅使用皮质类固醇可能不足以解决免疫治疗相关不良反应,甚至在类固醇治疗之后,许多患者仍然有恶性心律失常和心力衰竭症状恶化。因此,出现心脏毒性应该及时请心脏病专家协诊,有时需要联合使用其他治疗药物包括利尿剂、阻断剂、ACEI抑制剂和抗心律失常药物等。
七、述评
相比放化疗等传统治疗手段,免疫治疗不良反应的临床表现相对隐蔽,需要医患紧密联系,及时干预。作为肿瘤临床医生,以下方面需要注意:
1. 积极学习指南,了解各种不良反应的发生率、发生时间及症状,并做好医患沟通,有助于患者出现反应时能及时报告给医生。
2. 一旦发生免疫相关不良反应,及时请相关科室会诊,制订最优治疗方案。
3. 糖皮质激素及免疫抑制剂的使用严格遵循指南,用药期间动态监测各项指标。
(环球医学编辑:余霞霞)
来源:《肿瘤免疫治疗严重不良反应案例分析》
作者:潘宏铭
页码:436-440
出版:人民卫生出版社
- 评价此内容
- 我要打分
近期推荐
热门关键词
最新会议
- 2013循证医学和实效研究方法学研讨会
- 欧洲心脏病学会年会
- 世界帕金森病和相关疾病2013年会议
- 英国介入放射学学会2013年第25届年会
- 美国血液学会2013年年会
- 美国癫痫学会2013年第67届年会
- 肥胖学会 2013年年会
- 2013年第9届欧洲抗体会议
- 国际精神病学协会 2013年会议
- 妇科肿瘤2013年第18届大会
- 国际创伤压力研究学会2013年第29届…
- 2013年第4届亚太地区骨质疏松症会议
- 皮肤病协会国际2013年会议
- 世界糖尿病2013年大会
- 2013年国际成瘾性药年会
- 彭晓霞---诊断试验的Meta分析
- 武姗姗---累积Meta分析和TSA分析
- 孙凤---Network Meta分析
- 杨智荣---Cochrane综述实战经验分享
- 杨祖耀---疾病频率资料的Meta分析
合作伙伴
Copyright g-medon.com All Rights Reserved 环球医学资讯 未经授权请勿转载!
网络实名:环球医学:京ICP备08004413号-2
关于我们|
我们的服务|版权及责任声明|联系我们
互联网药品信息服务资格证书(京)-经营性-2017-0027
互联网医疗保健信息服务复核同意书 京卫计网审[2015]第0344号




会员登录

