55岁男子因咳嗽、咳痰、咯血、气短入院 多次治疗均效果不佳
55岁男子无明显诱因出现咳嗽、咳痰、痰中带血,先是在某三甲医院及某教学医院就医诊治效果不佳。之后又出现气短,在当地村卫生所给予对症治疗(具体不详),效果仍然不尽人意,为求进一步诊治来笔者科室就诊。该患者患有……
【病情介绍】
患者,男,55岁,农民。因“间断咯血2个月余,气短10天”于2014年12月21日入院。入院前2个月余患者无明显诱因出现咳嗽、咳痰、痰中带血,鲜红色,量少,每日2~3口,无发热、胸痛、胸闷、气短等,自行口服消炎药物无效(具体药物不详),遂相继就诊于某三甲医院及某教学医院,行胸部CT示双肺多发空腔样薄壁空洞,周围可见晕征,诊断为“双肺病灶性质待查 双肺肺炎?”,给予“哌拉西林舒巴坦、伏立康唑、左氧氟沙星、甲硝唑”等抗感染及止血治疗,效果稍好转后出院,出院后仍有咳嗽、咳痰及痰中带血。入院前10天无明显诱因出现气短,平步行走即感气短明显,咳嗽、咳痰及痰中带血症状持续存在,当地村卫生所给予对症治疗(具体不详),效果差,求进一步诊治来我科就诊。入院后查体:体温36.9℃,脉搏92次/分,呼吸42次/分,血压125/84mmHg,慢性病容,呼吸急促,口唇发绀,咽部无充血,扁桃体无肿大;右肺未闻及呼吸音,左肺呼吸音粗,心率92次/分,律齐,各瓣膜听诊区未闻及病理性杂音;腹软,无压痛、反跳痛,肝脾肋下未及;双下肢无水肿。辅助检查:胸部CT(2014年11月6日,某三甲医院):双肺多发斑片影,左肺舌段及左下肺分别可见薄壁空腔样空洞病灶,病灶周边可见晕征,右侧气胸(图1)。胸部CT(2014年11月21日,某教学医院):双肺囊样空腔病灶增多,双侧气胸,右侧胸腔气体量较前增多(图2)。胸部CT(2014年12月21日,本院):左舌段空腔病灶较前增大,左下叶基底段出现疑似空洞病灶,病灶周边可见斑片影,双侧气胸,以右侧为主,右肺受压不张(图3)。血气分析(2014年12月21日,本院,未吸氧):酸碱度7.366,二氧化碳分压45.6mmHg,氧分压40mmHg,氧饱和度71.4%。


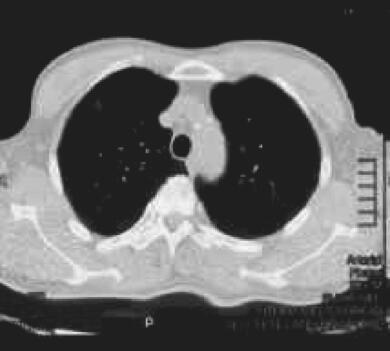
图1 2014年11月6日胸部CT
双肺多发斑片影,左肺舌段及左下肺分别可见薄壁空腔样空洞病灶,病灶周边可见晕征,右侧气胸


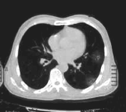
图2 2014年11月21日双肺囊样空腔病灶增多,双侧气胸,右侧胸腔气体量较前增多


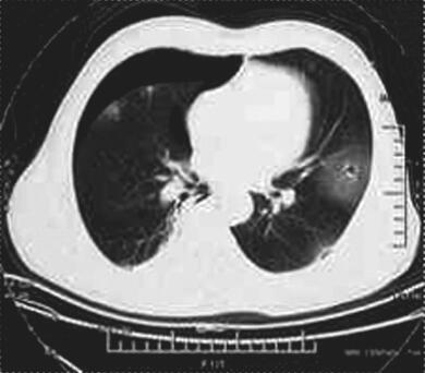
图3 2014年12月21日胸部CT
左舌段空腔病灶较前增大,左下叶基底段出现疑似空洞病灶,病灶周边可见斑片影,双侧气胸,以右侧为主
既往9年前发现脑梗死,32年前因外伤致L3、L4椎体压缩性骨折,卧床休息50天后自行愈合;50年前从房顶坠落致头颅受伤,具体治疗不详,有输血史,具体成分及量不详。无高血压、糖尿病、冠心病等慢性病史,无肝炎、结核、疟疾等传染病史。无食物、药物过敏史,预防接种史不详。已婚,配偶及女儿体健,家族史无特殊。
【诊治经过】
入院后给予行胸腔闭式引流术,哌拉西林抗感染治疗。结合患者急性起病,咳嗽、咳痰、咯血,影像学示双肺多发空腔样薄壁空洞病变伴周围晕征,抗感染治疗效果差,考虑是否为血管炎,行ANCA等相关化验均为阴性。患者气短症状明显缓解后复查胸部CT示右侧气胸及右肺不张好转,但双肺多发囊样薄壁空腔病变伴周围晕征较前无明显好转。患者治疗过程中未覆盖结核菌,是否为结核性空洞?但结核性空洞常单发,多位于两肺上叶尖后段和下叶背段。即使是多发者,其空洞也表现出单发空洞的特点即:空洞壁较厚.周围有弧形、环形钙化灶和卫星病灶,偏向肺门侧常有引流支气管。且患者无低热、乏力、盗汗等结核中毒症状,于某教学医院曾完善肺结核相关检查均阴性,暂不考虑。患者无免疫受损病史,空洞壁较光整,空洞内无球形结节随体位变动及新月征表现,肺曲霉菌感染也不考虑。患者无高热、畏寒、咳脓臭痰等症状,且空腔壁薄,内无液平,抗感染治疗无效,金黄色葡萄球菌肺炎及多发肺脓肿也暂不考虑。是否为临床上较少见的空腔型多发肺转移瘤?但三次痰细胞学均为阴性,建议患者于胸腔镜下肺活检,病理结果回报:低分化肉瘤。患者及家属拒绝进一步治疗,自动出院。
【最后诊断】
肺低分化肉瘤(原发灶未明)。
【重要提示】
1. 老年男性,平素体健,急性起病,病程短,病情进展快。
2. 主要表现为咳嗽、咳痰、咯血、气短等症,胸部CT示双肺多发薄壁囊样空腔伴周围晕征。
3. 间断抗感染治疗2个月,症状缓解不明显。
【讨论】
肺部恶性肿瘤以肺癌多见,肺肉瘤无论原发还是转移均较为罕见,这些肿瘤无论在生物学、诊断学、鉴别诊断和预后方面与原发性肺癌相似。肺部恶性肿瘤通常先由影像学检查发现,胸部CT表现为肺周围或中央部位的单发或多发结节或肿块,如形成空洞则多为厚壁偏心空洞,而以多发薄壁空洞为主的影像学表现则较为少见。多发薄壁空洞在临床上常见于感染性疾病。如结核、金黄色葡萄球菌性肺炎、肺脓肿及肺真菌感染多见。结核性空洞好发于青壮年,患者常有结核中毒症状,如低热、乏力、盗汗和咯血。红细胞沉降率快和结核菌素试验阳性。痰中可查到结核菌,病灶多位于上叶尖后段及下叶背段,空洞大小不一,空洞壁厚薄不均,内外壁均不甚光滑,邻近可见卫星病灶,有时可见到与胸膜的粘连带和引向肺门的引流支气管。金黄色葡萄球菌肺炎:起病急,高热、畏寒等症状严重。空洞呈两肺多发、壁薄,常有液平,周围有炎性浸润,伴有肺内多发圆形阴影。其变化非常快,常在1周内消失或又出现新的病灶,一般抗感染治疗效果较好。多发肺脓肿空洞患者常有高热、胸痛等症状,病灶好发生于上叶后段,下叶背段与基底段,其周围常有大量未完全吸收的炎症灶并空洞内常有液平。肺真菌病中的曲菌病、隐球菌病和球孢子菌病均可产生空洞,常见于高龄、糖尿病、肿瘤、慢性消耗性疾病等免疫功能低下者;长期使用广谱抗生素、大量激素者。临床多表现为长期不规则发热、咳嗽、丝状黏痰及原发病症状。痰液真菌涂片及培养阳性。胸部CT检查可见融合的小结节病灶,肿块边缘可见“环”征或“晕圆”征,空洞内壁光滑。
患者为中年男性,平素体健,无职业危险因素,急性起病,咳嗽、咳痰、痰中带血,胸部CT示双肺多发斑片影,左肺舌段及左下肺分别可见薄壁空腔样空洞病灶,病灶周边可见晕征,影像学上符合感染性疾病表现,但常规抗感染治疗无效,与一般感染性疾病病程不符合,且行ANCA等相关化验排除血管炎。最终经胸腔镜肺活检诊断为肺低分化肉瘤,但因患者及家属拒绝进一步检查,未能明确原发灶。查阅文献,以多发薄壁空洞为主要表现的肺部恶性肿瘤报道较少,恶性征象不典型,比较容易误诊或漏诊。临床医师应依据常见病、单种病、器质性疾病及患者整体等临床诊断思维的基本原则,仔细分析空洞的CT表现并结合患者年龄、临床症状的动态观察及以往的影像资料多能作出正确的诊断。
(成建德 李萍 白学礼)
参考文献
1. 张珺辉. 胸部空洞、空腔性疾病的临床诊断思维与实践. 中国全科医学,2004,7(20):1479-1480.
2. 沈维敏,李向阳,梁红,等. 肺部薄壁空洞性病变的CT诊断. 老年医学与保健,2006,12(3):177-179.
3. 吴斌,戴元荣. 空洞型肺转移瘤CT表现的临床分析与探讨. 实用医学杂志,2007,23(23):3722-3723.
4. 陈昆涛,何健垣,仇光禹. 肺空洞性病变的CT定量分析. 实用医学影像杂志,2008,9(1):16-18.
5. 吴洁,李子玲. 双肺多发性空洞改变的原发性肺腺癌1例. 临床肺科杂志,2011,16(8):1300-1301.
(环球医学编辑:余霞霞)
来源:《呼吸疑难少见病例解析》
作者:林江涛
页码:101-105
出版:人民卫生出版社
- 评价此内容
- 我要打分
近期推荐
热门关键词
最新会议
- 2013循证医学和实效研究方法学研讨会
- 欧洲心脏病学会年会
- 世界帕金森病和相关疾病2013年会议
- 英国介入放射学学会2013年第25届年会
- 美国血液学会2013年年会
- 美国癫痫学会2013年第67届年会
- 肥胖学会 2013年年会
- 2013年第9届欧洲抗体会议
- 国际精神病学协会 2013年会议
- 妇科肿瘤2013年第18届大会
- 国际创伤压力研究学会2013年第29届…
- 2013年第4届亚太地区骨质疏松症会议
- 皮肤病协会国际2013年会议
- 世界糖尿病2013年大会
- 2013年国际成瘾性药年会
- 彭晓霞---诊断试验的Meta分析
- 武姗姗---累积Meta分析和TSA分析
- 孙凤---Network Meta分析
- 杨智荣---Cochrane综述实战经验分享
- 杨祖耀---疾病频率资料的Meta分析
合作伙伴
Copyright g-medon.com All Rights Reserved 环球医学资讯 未经授权请勿转载!
网络实名:环球医学:京ICP备08004413号-2
关于我们|
我们的服务|版权及责任声明|联系我们
互联网药品信息服务资格证书(京)-经营性-2017-0027
互联网医疗保健信息服务复核同意书 京卫计网审[2015]第0344号




会员登录

